SV2A Recombinant Rabbit Monoclonal Antibody [PSH10-69]
cat.: HA723233
Product Type: Recombinant Rabbit monoclonal IgG, primary antibodies
Species reactivity: Human, Mouse, Rat, Cynomolgus monkey, Pig
Applications: WB, IHC-P, IHC-Fr, IP
Clonality: Monoclonal
Clone number: PSH10-69
Form: Liquid
Storage condition: Shipped at 4℃. Store at +4℃ short term (1-2 weeks). It is recommended to aliquot into single-use upon delivery. Store at -20℃ long term.
Storage buffer: PBS (pH7.4), 0.1% BSA, 40% Glycerol. Preservative: 0.05% Sodium Azide.
Concentration: 1ug/ul
Purification: Protein A affinity purified.
Molecular weight: Predicted band size: 83 kDa
Isotype: IgG
Immunogen: Recombinant protein within N terminal Human SV2A.
Positive control: Human cerebellum tissue, mouse cerebellum tissue, mouse pancreas tissue, rat cerebellum tissue, rat pancreas tissue, Mouse brain tissue lysate, Rat brain tissue lysate.
Subcellular location: Presynapse, Cytoplasmic vesicle, secretory vesicle, synaptic vesicle membrane.
Recommended Dilutions:
  WB
  IHC-P
  IHC-Fr
  IP

1:5,000
1:500-1:2,000
1:500
1-2μg/sample
Uniprot #: SwissProt: Q7L0J3 Human | Q9JIS5 Mouse | Q02563 Rat
Alternative names: KIAA0736 OTTHUMP00000014065 SV2 Sv2a SV2A_HUMAN Synaptic vesicle glycoprotein 2 Synaptic vesicle glycoprotein 2A Synaptic vesicle protein 2a
Images
HA723233_1.jpg Fig1: Application: IHC-Fr

Species: Mouse

Site: Cerebellum

Sample: Frozen section

Antibody concentration: 1:500

Antigen retrieval: Not required
HA723233_2.jpg Fig2: Application: IHC-Fr

Species: Rat

Site: Cerebellum

Sample: Frozen section

Antibody concentration: 1:500

Antigen retrieval: Not required
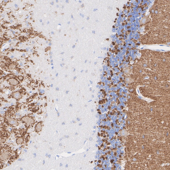
HA723233_3.jpg Fig3: Immunohistochemical analysis of paraffin-embedded human cerebellum tissue with Rabbit anti-SV2A antibody (HA723233) at 1/500 dilution.

The section was pre-treated using heat mediated antigen retrieval with Tris-EDTA buffer (pH 9.0) for 20 minutes. The tissues were blocked in 1% BSA for 20 minutes at room temperature, washed with ddH2O and PBS, and then probed with the primary antibody (HA723233) at 1/500 dilution for 1 hour at room temperature. The detection was performed using an HRP conjugated compact polymer system. DAB was used as the chromogen. Tissues were counterstained with hematoxylin and mounted with DPX.
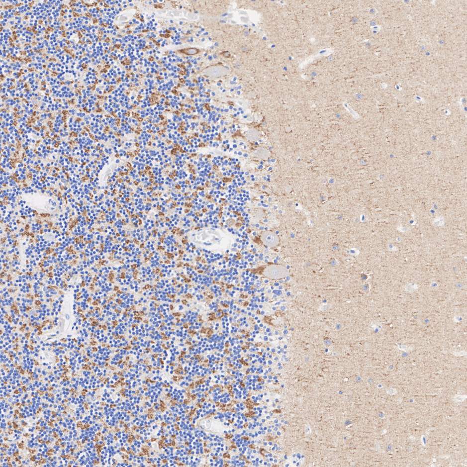
HA723233_4.jpg Fig4: Immunohistochemical analysis of paraffin-embedded mouse cerebellum tissue with Rabbit anti-SV2A antibody (HA723233) at 1/2,000 dilution.

The section was pre-treated using heat mediated antigen retrieval with Tris-EDTA buffer (pH 9.0) for 20 minutes. The tissues were blocked in 1% BSA for 20 minutes at room temperature, washed with ddH2O and PBS, and then probed with the primary antibody (HA723233) at 1/2,000 dilution for 1 hour at room temperature. The detection was performed using an HRP conjugated compact polymer system. DAB was used as the chromogen. Tissues were counterstained with hematoxylin and mounted with DPX.
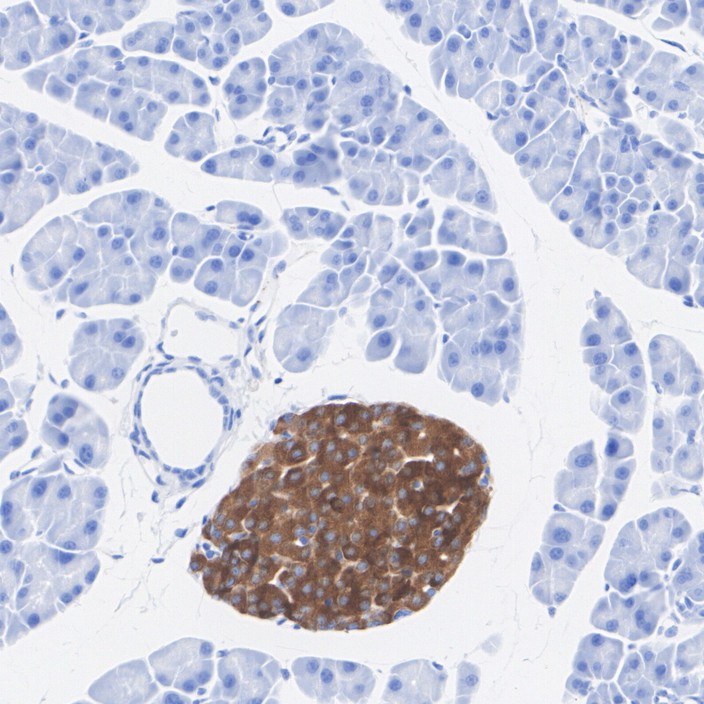
HA723233_5.jpg Fig5: Immunohistochemical analysis of paraffin-embedded mouse pancreas tissue with Rabbit anti-SV2A antibody (HA723233) at 1/2,000 dilution.

The section was pre-treated using heat mediated antigen retrieval with Tris-EDTA buffer (pH 9.0) for 20 minutes. The tissues were blocked in 1% BSA for 20 minutes at room temperature, washed with ddH2O and PBS, and then probed with the primary antibody (HA723233) at 1/2,000 dilution for 1 hour at room temperature. The detection was performed using an HRP conjugated compact polymer system. DAB was used as the chromogen. Tissues were counterstained with hematoxylin and mounted with DPX.
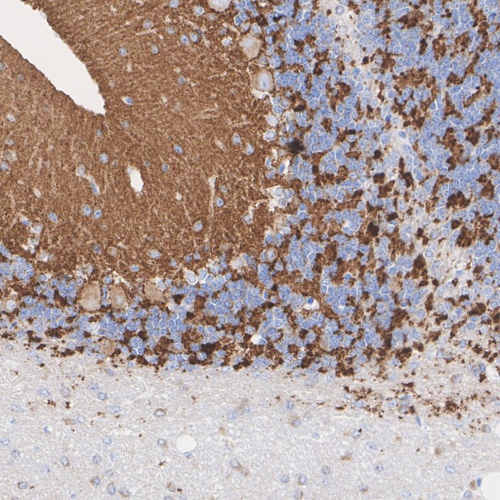
HA723233_6.jpg Fig6: Immunohistochemical analysis of paraffin-embedded rat cerebellum tissue with Rabbit anti-SV2A antibody (HA723233) at 1/2,000 dilution.

The section was pre-treated using heat mediated antigen retrieval with Tris-EDTA buffer (pH 9.0) for 20 minutes. The tissues were blocked in 1% BSA for 20 minutes at room temperature, washed with ddH2O and PBS, and then probed with the primary antibody (HA723233) at 1/2,000 dilution for 1 hour at room temperature. The detection was performed using an HRP conjugated compact polymer system. DAB was used as the chromogen. Tissues were counterstained with hematoxylin and mounted with DPX.
HA723233_7.jpg Fig7: Immunohistochemical analysis of paraffin-embedded rat pancreas tissue with Rabbit anti-SV2A antibody (HA723233) at 1/500 dilution.

The section was pre-treated using heat mediated antigen retrieval with Tris-EDTA buffer (pH 9.0) for 20 minutes. The tissues were blocked in 1% BSA for 20 minutes at room temperature, washed with ddH2O and PBS, and then probed with the primary antibody (HA723233) at 1/500 dilution for 1 hour at room temperature. The detection was performed using an HRP conjugated compact polymer system. DAB was used as the chromogen. Tissues were counterstained with hematoxylin and mounted with DPX.
HA723233_8.jpg Fig8: Western blot analysis of SV2A on different lysates with Rabbit anti-SV2A antibody (HA723233) at 1/5,000 dilution.

Lane 1: Mouse brain tissue lysate
Lane 2: NIH/3T3 cell lysate (negative)
Lane 3: Rat brain tissue lysate

Lysates/proteins at 20 µg/Lane.

Predicted band size: 83 kDa
Observed band size: 83 kDa

Exposure time: 42 seconds; ECL: K1801;

4-20% SDS-PAGE gel.

Proteins were transferred to a PVDF membrane and blocked with 5% NFDM/TBST for 1 hour at room temperature. The primary antibody (HA723233) at 1/5,000 dilution was used in primary antibody dilution at 4℃ overnight. Goat Anti-Rabbit IgG - HRP Secondary Antibody (HA1001) at 1/50,000 dilution was used for 1 hour at room temperature.
HA723233_9.jpg Fig9: SV2A was immunoprecipitated from 0.2 mg mouse brain tissue lysate with HA723233 at 2 µg/10 µl beads. Western blot was performed from the immunoprecipitate using HA723233 at 1/2,000 dilution. HRP Conjugated Anti-Rabbit IgG for IP Nano-secondary antibody at 1/5,000 dilution was used for 1 hour at room temperature.

Lane 1: mouse brain tissue lysate (input)
Lane 2: HA723233 IP in mouse brain tissue lysate
Lane 3: Rabbit IgG instead of HA723233 in mouse brain tissue lysate

Blocking/Dilution buffer: 5% NFDM/TBST
Exposure time: 3 seconds; ECL: K1801
Note: All products are “FOR RESEARCH USE ONLY AND ARE NOT INTENDED FOR DIAGNOSTIC OR THERAPEUTIC USE”.