IL-4R Recombinant Rabbit Monoclonal Antibody [PSH10-86]
cat.: HA723253
Product Type: Recombinant Rabbit monoclonal IgG, primary antibodies
Species reactivity: Human, Mouse, Rat
Applications: WB, IP, IF-Cell
Clonality: Monoclonal
Clone number: PSH10-86
Form: Liquid
Storage condition: Shipped at 4℃. Store at +4℃ short term (1-2 weeks). It is recommended to aliquot into single-use upon delivery. Store at -20℃ long term.
Storage buffer: PBS (pH7.4), 0.1% BSA, 40% Glycerol. Preservative: 0.05% Sodium Azide.
Concentration: 1ug/ul
Purification: Protein A affinity purified.
Molecular weight: Predicted band size: 90 kDa
Isotype: IgG
Immunogen: Recombinant protein within human IL-4R aa 1-232.
Positive control: THP-1 cell lysate, Daudi cell lysate, 293T cell lysate, K-562 cell lysate, Jurkat cell lysate, MCF7 cell lysate, Ramos cell lysate, RAW264.7 cell lysate, PC-12 cell lysate, Mouse spleen tissue lysate, Mouse pancreas tissue lysate, PC-12.
Subcellular location: Cell membrane; Secreted.
Recommended Dilutions:
  WB
  IP
  IF-Cell

1:2,000
1-2μg/sample
1:100
Uniprot #: SwissProt: P24394 Human | P16382 Mouse | Q63257 Rat
Alternative names: CD124 IL 4R alpha IL-4 receptor subunit alpha IL-4-binding protein IL-4R subunit alpha IL-4R-alpha IL-4RA IL4-BP Il4r IL4R nirs variant 1 IL4RA IL4RA_HUMAN Interleukin 4 receptor alpha chain Interleukin 4 receptor sIL4Ralpha/prot Soluble IL-4 receptor subunit alpha Soluble IL-4R-alpha Soluble interleukin-4 receptor subunit alpha
Images
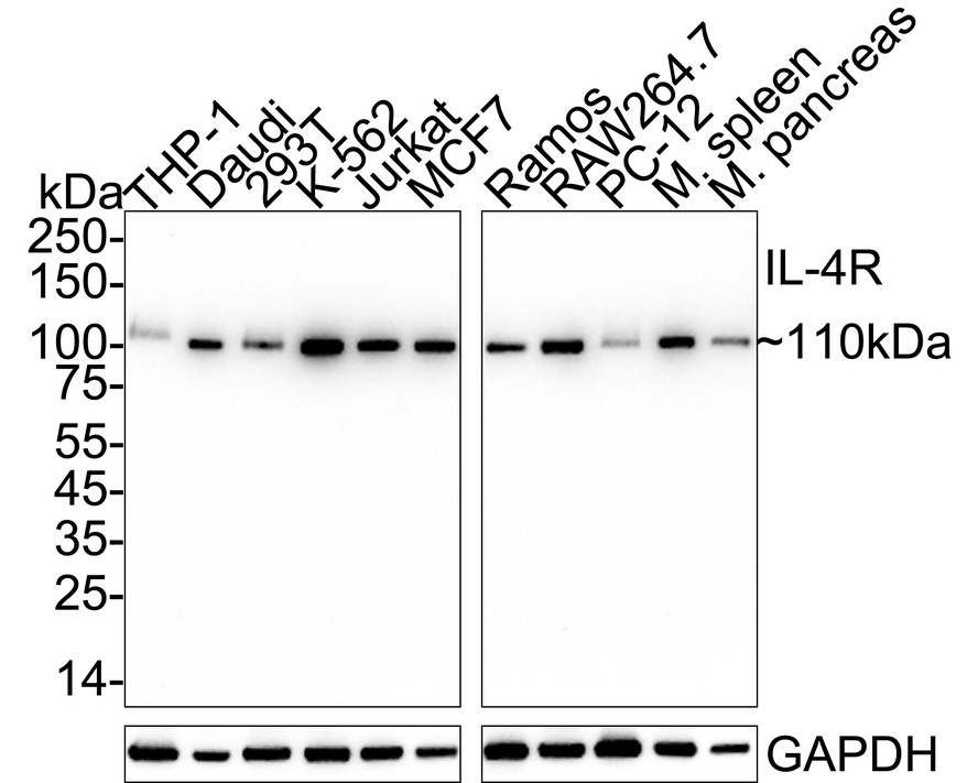
HA723253_1.jpg Fig1: Western blot analysis of IL-4R on different lysates with Rabbit anti-IL-4R antibody (HA723253) at 1/2,000 dilution.

Lane 1: THP-1 cell lysate (20 µg/Lane)
Lane 2: Daudi cell lysate (20 µg/Lane)
Lane 3: 293T cell lysate (20 µg/Lane)
Lane 4: K-562 cell lysate (20 µg/Lane)
Lane 5: Jurkat cell lysate (20 µg/Lane)
Lane 6: MCF7 cell lysate (20 µg/Lane)
Lane 7: Ramos cell lysate (20 µg/Lane)
Lane 8: RAW264.7 cell lysate (20 µg/Lane)
Lane 9: PC-12 cell lysate (20 µg/Lane)
Lane 10: Mouse spleen tissue lysate (40 µg/Lane)
Lane 11: Mouse pancreas tissue lysate (40 µg/Lane)

Predicted band size: 90 kDa
Observed band size: 110 kDa

Exposure time: 1 minute; ECL: K1801;

4-20% SDS-PAGE gel.

Proteins were transferred to a PVDF membrane and blocked with 5% NFDM/TBST for 1 hour at room temperature. The primary antibody (HA723253) at 1/2,000 dilution was used in 5% NFDM/TBST at 4℃ overnight. Goat Anti-Rabbit IgG - HRP Secondary Antibody (HA1001) at 1/50,000 dilution was used for 1 hour at room temperature.
HA723253_2.jpg Fig2: IL-4R was immunoprecipitated from 0.2 mg Jurkat cell lysate with HA723253 at 2 µg/10 µl beads. Western blot was performed from the immunoprecipitate using HA723253 at 1/1,000 dilution. HRP Conjugated Anti-Rabbit IgG for IP Nano-secondary antibody at 1/5,000 dilution was used for 1 hour at room temperature.

Lane 1: Jurkat cell lysate (input)
Lane 2: HA723253 IP in Jurkat cell lysate
Lane 3: Rabbit IgG instead of HA723253 in Jurkat cell lysate

Blocking/Dilution buffer: 5% NFDM/TBST
Exposure time: 51 seconds; ECL: K1801
HA723253_3.jpg Fig3: Immunocytochemistry analysis of PC-12 cells labeling IL-4R with Rabbit anti-IL-4R antibody (HA723253) at 1/100 dilution.

Cells were fixed in 4% paraformaldehyde for 15 minutes at room temperature, permeabilized with 0.1% Triton X-100 in PBS for 15 minutes at room temperature, then blocked with 1% BSA in 10% negative goat serum for 1 hour at room temperature. Cells were then incubated with Rabbit anti-IL-4R antibody (HA723253) at 1/100 dilution in 1% BSA in PBST overnight at 4 ℃. Goat Anti-Rabbit IgG H&L (iFluor™ 488, HA1121) was used as the secondary antibody at 1/1,000 dilution. PBS instead of the primary antibody was used as the secondary antibody only control. Nuclear DNA was labelled in blue with DAPI.

Beta tubulin (HA601187, red) was stained at 1/100 dilution overnight at +4℃. Goat Anti-Mouse IgG H&L (iFluor™ 594, HA1126) was used as the secondary antibody at 1/1,000 dilution.
Note: All products are “FOR RESEARCH USE ONLY AND ARE NOT INTENDED FOR DIAGNOSTIC OR THERAPEUTIC USE”.