Phospho-Rb (S807/S811) Recombinant Rabbit Monoclonal Antibody [PSH11-01]
cat.: HA723268
Product Type: Recombinant Rabbit monoclonal IgG, primary antibodies
Species reactivity: Human, Mouse
Applications: WB, IHC-P, IF-Cell, FC, IP
Clonality: Monoclonal
Clone number: PSH11-01
Form: Liquid
Storage condition: Shipped at 4℃. Store at +4℃ short term (1-2 weeks). It is recommended to aliquot into single-use upon delivery. Store at -20℃ long term.
Storage buffer: PBS (pH7.4), 0.1% BSA, 40% Glycerol. Preservative: 0.05% Sodium Azide.
Concentration: 1ug/ul
Purification: Protein A affinity purified.
Molecular weight: Predicted band size: 106 kDa
Isotype: IgG
Immunogen: Synthetic phospho-peptide corresponding to residues surrounding Ser807/Ser811 of Human Rb.
Positive control: K-562 cell lysate, SH-SY5Y cell lysate, NIH/3T3 cell lysate, NIH/3T3 treated with 100ng/mL Nocodazole for 18 hours cell lysate, human lung tissue, MCF7.
Subcellular location: Nucleus, Cytoplasm.
Recommended Dilutions:
  WB
  IHC-P
  IF-Cell
  FC
  IP

1:1,000
1:1,000
1:250
1:1,000
1-2μg/sample
Uniprot #: SwissProt: P06400 Human | P13405 Mouse
Alternative names: Exon 17 tumor GOS561 substitution mutation causes premature stop GOS563 exon 17 substitution mutation causes premature stop OSRC Osteosarcoma p105-Rb P105RB PP105 pp110 PPP1R130 pRb Prepro retinoblastoma associated protein Protein phosphatase 1 regulatory subunit 130 Rb RB transcriptional corepressor 1 RB_HUMAN RB1 RB1 gene Retinoblastoma 1 Retinoblastoma suspectibility protein Retinoblastoma-associated protein
Images
HA723268_1.jpg Fig1: Western blot analysis of Phospho-Rb (S807/S811) on different lysates with Rabbit anti-Phospho-Rb (S807/S811) antibody (HA723268) at 1/1,000 dilution.

Lane 1: K-562 cell lysate (no heat) (20 µg/Lane)
Lane 2: SH-SY5Y cell lysate (no heat) (20 µg/Lane)
Lane 3: K-562 cell lysate (no heat), the membrane treated with λpp for 1 hour (20 µg/Lane)
Lane 4: SH-SY5Y cell lysate (no heat), the membrane treated with λpp for 1 hour (20 µg/Lane)

Notice: no heat means the lysate is not boiled.

Predicted band size: 106 kDa
Observed band size: 110 kDa

Exposure time: 59 seconds; ECL: K1801;
4-20% SDS-PAGE gel.

Proteins were transferred to a PVDF membrane and blocked with 5% NFDM/TBST for 1 hour at room temperature. The primary antibody (HA723268) at 1/1,000 dilution was used in 5% NFDM/TBST at 4℃ overnight. Goat Anti-Rabbit IgG - HRP Secondary Antibody (HA1001) at 1/50,000 dilution was used for 1 hour at room temperature.
HA723268_2.jpg Fig2: Western blot analysis of Phospho-Rb (S807/S811) on different lysates with Rabbit anti-Phospho-Rb (S807/S811) antibody (HA723268) at 1/1,000 dilution.

Lane 1: NIH/3T3 cell lysate (no heat) (20 µg/Lane)
Lane 2: NIH/3T3 treated with 100ng/mL Nocodazole for 18 hours cell lysate (no heat) (20 µg/Lane)

Notice: no heat means the lysate is not boiled.

Predicted band size: 106 kDa
Observed band size: 110 kDa

Exposure time: 3 minutes; ECL: K1801;
4-20% SDS-PAGE gel.

Proteins were transferred to a PVDF membrane and blocked with 5% NFDM/TBST for 1 hour at room temperature. The primary antibody (HA723268) at 1/1,000 dilution was used in 5% NFDM/TBST at 4℃ overnight. Goat Anti-Rabbit IgG - HRP Secondary Antibody (HA1001) at 1/50,000 dilution was used for 1 hour at room temperature.
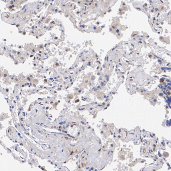
HA723268_3.jpg Fig3: Immunohistochemical analysis of paraffin-embedded human lung tissue with Rabbit anti-Phospho-Rb (S807/S811) antibody (HA723268) at 1/1,000 dilution.

The section was pre-treated using heat mediated antigen retrieval with Tris-EDTA buffer (pH 9.0) for 20 minutes. The tissues were blocked in 1% BSA for 20 minutes at room temperature, washed with ddH2O and PBS, and then probed with the primary antibody (HA723268) at 1/1,000 dilution for 1 hour at room temperature. The detection was performed using an HRP conjugated compact polymer system. DAB was used as the chromogen. Tissues were counterstained with hematoxylin and mounted with DPX.
HA723268_4.jpg Fig4: Immunocytochemistry analysis of MCF7 cells labeling Phospho-Rb (S807/S811) with Rabbit anti-Phospho-Rb (S807/S811) antibody (HA723268) at 1/250 dilution.

Cells were fixed in 4% paraformaldehyde for 15 minutes at room temperature, permeabilized with 0.1% Triton X-100 in PBS for 15 minutes at room temperature, then blocked with 1% BSA in 10% negative goat serum for 1 hour at room temperature. Cells were then incubated with Rabbit anti-Phospho-Rb (S807/S811) antibody (HA723268) at 1/250 dilution in 1% BSA in PBST overnight at 4 ℃. Goat Anti-Rabbit IgG H&L (iFluor™ 488, HA1121) was used as the secondary antibody at 1/1,000 dilution. PBS instead of the primary antibody was used as the secondary antibody only control. Nuclear DNA was labelled in blue with DAPI.

Beta tubulin (HA601187, red) was stained at 1/100 dilution overnight at +4℃. Goat Anti-Mouse IgG H&L (iFluor™ 594, HA1126) was used as the secondary antibody at 1/1,000 dilution.
HA723268_5.jpg Fig5: Flow cytometric analysis of MCF7 cells labeling Phospho-Rb (S807/S811).

Cells were fixed and permeabilized. Then stained with the primary antibody (HA723268, 1/1,000) (red) compared with Rabbit IgG Isotype Control (green). After incubation of the primary antibody at +4℃ for an hour, the cells were stained with a iFluor™ 488 conjugate-Goat anti-Rabbit IgG Secondary antibody (HA1121) at 1/1,000 dilution for 30 minutes at +4℃. Unlabelled sample was used as a control (cells without incubation with primary antibody; black).
HA723268_6.jpg Fig6: Phospho-Rb (S807/S811) was immunoprecipitated from 0.2 mg K-562 cell lysate with HA723268 at 2 µg/10 µl beads. Western blot was performed from the immunoprecipitate using HA723268 at 1/1,000 dilution. Mouse anti Rabbit IgG heavy chain (Fc) secondary antibody (M1003-7) at 1/10,000 dilution was used for 1 hour at room temperature.

Lane 1: HeLa cell lysate (input)
Lane 2: HA723268 IP in HeLa cell lysate
Lane 3: Rabbit IgG instead of HA723268 in HeLa cell lysate

Blocking/Dilution buffer: 5% NFDM/TBST
Exposure time: 3 minutes; ECL: K1801
Note: All products are “FOR RESEARCH USE ONLY AND ARE NOT INTENDED FOR DIAGNOSTIC OR THERAPEUTIC USE”.