HIP2 / LIG Recombinant Rabbit Monoclonal Antibody [PSH11-24]
cat.: HA723306
Product Type: Recombinant Rabbit monoclonal IgG, primary antibodies
Species reactivity: Human, Mouse, Rat, Monkey
Applications: WB, IF-Cell, IHC-P, FC
Clonality: Monoclonal
Clone number: PSH11-24
Form: Liquid
Storage condition: Shipped at 4℃. Store at +4℃ short term (1-2 weeks). It is recommended to aliquot into single-use upon delivery. Store at -20℃ long term.
Storage buffer: PBS (pH7.4), 0.1% BSA, 40% Glycerol. Preservative: 0.05% Sodium Azide.
Concentration: 1ug/ul
Purification: Protein A affinity purified.
Molecular weight: Predicted band size: 22 kDa
Isotype: IgG
Immunogen: Recombinant protein within human HIP2 aa 1-200.
Positive control: HeLa cell lysate, 293T cell lysate, HCT 116 cell lysate, Daudi cell lysate, Jurkat cell lysate, K-562 cell lysate, U-2 OS cell lysate, COS-1 cell lysate, C2C12 cell lysate, NIH/3T3 cell lysate, PC-12 cell lysate, Mouse brain tissue lysate, Rat brain tissue lysate, HeLa, NIH/3T3, PC-12, human brain tissue, human liver tissue, mouse heart tissue, mouse liver tissue, rat liver tissue.
Subcellular location: Cytoplasm.
Recommended Dilutions:
  WB
  IF-Cell
  IHC-P
  FC

1:2,000
1:100
1:1,000
1:1,000
Uniprot #: SwissProt: P61086 Human | P61087 Mouse
Entrez Gene: 289623 Rat
Alternative names: E2 25K E2(25K) HIP-2 Huntingtin interacting protein 2 Huntingtin-interacting protein 2 HYPG LIG UBC1 UBE2K UBE2K_HUMAN Ubiquitin carrier protein Ubiquitin conjugating enzyme E2 25 kDa ubiquitin conjugating enzyme E2K ubiquitin conjugating enzyme E2K (UBC1 homolog, yeast) Ubiquitin protein ligase Ubiquitin-conjugating enzyme E2 K Ubiquitin-conjugating enzyme E2(25K) Ubiquitin-conjugating enzyme E2-25 kDa Ubiquitin-conjugating enzyme E2-25K Ubiquitin-protein ligase
Images
HA723306_1.jpg Fig1: Western blot analysis of HIP2 / LIG on different lysates with Rabbit anti-HIP2 / LIG antibody (HA723306) at 1/2,000 dilution.

Lane 1: HeLa cell lysate (20 µg/Lane)
Lane 2: 293T cell lysate (20 µg/Lane)
Lane 3: HCT 116 cell lysate (20 µg/Lane)
Lane 4: Daudi cell lysate (20 µg/Lane)
Lane 5: Jurkat cell lysate (20 µg/Lane)
Lane 6: K-562 cell lysate (20 µg/Lane)
Lane 7: U-2 OS cell lysate (20 µg/Lane)
Lane 8: COS-1 cell lysate (20 µg/Lane)
Lane 9: C2C12 cell lysate (20 µg/Lane)
Lane 10: NIH/3T3 cell lysate (20 µg/Lane)
Lane 11: PC-12 cell lysate (20 µg/Lane)
Lane 12: Mouse brain tissue lysate (40 µg/Lane)
Lane 13: Rat brain tissue lysate (40 µg/Lane)

Predicted band size: 22 kDa
Observed band size: 25 kDa
Exposure time: 6 seconds; ECL: K1801;
4-20% SDS-PAGE gel.

Proteins were transferred to a PVDF membrane and blocked with 5% NFDM/TBST for 1 hour at room temperature. The primary antibody (HA723306) at 1/2,000 dilution was used in 5% NFDM/TBST at 4℃ overnight. Goat Anti-Rabbit IgG - HRP Secondary Antibody (HA1001) at 1/50,000 dilution was used for 1 hour at room temperature.
HA723306_2.jpg Fig2: Immunocytochemistry analysis of HeLa cells labeling HIP2 / LIG with Rabbit anti-HIP2 / LIG antibody (HA723306) at 1/100 dilution.

Cells were fixed in 4% paraformaldehyde for 15 minutes at room temperature, permeabilized with 0.1% Triton X-100 in PBS for 15 minutes at room temperature, then blocked with 1% BSA in 10% negative goat serum for 1 hour at room temperature. Cells were then incubated with Rabbit anti-HIP2 / LIG antibody (HA723306) at 1/100 dilution in 1% BSA in PBST overnight at 4 ℃. Goat Anti-Rabbit IgG H&L (iFluor™ 488, HA1121) was used as the secondary antibody at 1/1,000 dilution. PBS instead of the primary antibody was used as the secondary antibody only control. Nuclear DNA was labelled in blue with DAPI.

Beta tubulin (HA601187, red) was stained at 1/100 dilution overnight at +4℃. Goat Anti-Mouse IgG H&L (iFluor™ 594, HA1126) was used as the secondary antibody at 1/1,000 dilution.
HA723306_3.jpg Fig3: Immunocytochemistry analysis of NIH/3T3 cells labeling HIP2 / LIG with Rabbit anti-HIP2 / LIG antibody (HA723306) at 1/100 dilution.

Cells were fixed in 4% paraformaldehyde for 15 minutes at room temperature, permeabilized with 0.1% Triton X-100 in PBS for 15 minutes at room temperature, then blocked with 1% BSA in 10% negative goat serum for 1 hour at room temperature. Cells were then incubated with Rabbit anti-HIP2 / LIG antibody (HA723306) at 1/100 dilution in 1% BSA in PBST overnight at 4 ℃. Goat Anti-Rabbit IgG H&L (iFluor™ 488, HA1121) was used as the secondary antibody at 1/1,000 dilution. PBS instead of the primary antibody was used as the secondary antibody only control. Nuclear DNA was labelled in blue with DAPI.

Beta tubulin (HA601187, red) was stained at 1/100 dilution overnight at +4℃. Goat Anti-Mouse IgG H&L (iFluor™ 594, HA1126) was used as the secondary antibody at 1/1,000 dilution.
HA723306_4.jpg Fig4: Immunocytochemistry analysis of PC-12 cells labeling HIP2 / LIG with Rabbit anti-HIP2 / LIG antibody (HA723306) at 1/100 dilution.

Cells were fixed in 4% paraformaldehyde for 15 minutes at room temperature, permeabilized with 0.1% Triton X-100 in PBS for 15 minutes at room temperature, then blocked with 1% BSA in 10% negative goat serum for 1 hour at room temperature. Cells were then incubated with Rabbit anti-HIP2 / LIG antibody (HA723306) at 1/100 dilution in 1% BSA in PBST overnight at 4 ℃. Goat Anti-Rabbit IgG H&L (iFluor™ 488, HA1121) was used as the secondary antibody at 1/1,000 dilution. PBS instead of the primary antibody was used as the secondary antibody only control. Nuclear DNA was labelled in blue with DAPI.

Beta tubulin (HA601187, red) was stained at 1/100 dilution overnight at +4℃. Goat Anti-Mouse IgG H&L (iFluor™ 594, HA1126) was used as the secondary antibody at 1/1,000 dilution.
HA723306_5.jpg Fig5: Immunohistochemical analysis of paraffin-embedded human brain tissue with Rabbit anti-HIP2 / LIG antibody (HA723306) at 1/1,000 dilution.

The section was pre-treated using heat mediated antigen retrieval with Tris-EDTA buffer (pH 9.0) for 20 minutes. The tissues were blocked in 1% BSA for 20 minutes at room temperature, washed with ddH2O and PBS, and then probed with the primary antibody (HA723306) at 1/1,000 dilution for 1 hour at room temperature. The detection was performed using an HRP conjugated compact polymer system. DAB was used as the chromogen. Tissues were counterstained with hematoxylin and mounted with DPX.
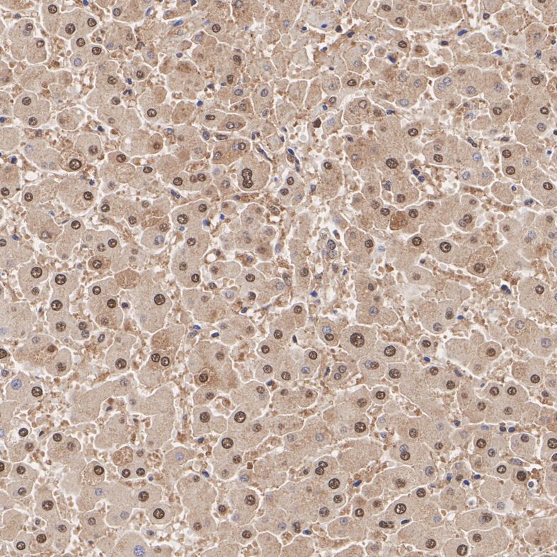
HA723306_6.jpg Fig6: Immunohistochemical analysis of paraffin-embedded human liver tissue with Rabbit anti-HIP2 / LIG antibody (HA723306) at 1/1,000 dilution.

The section was pre-treated using heat mediated antigen retrieval with Tris-EDTA buffer (pH 9.0) for 20 minutes. The tissues were blocked in 1% BSA for 20 minutes at room temperature, washed with ddH2O and PBS, and then probed with the primary antibody (HA723306) at 1/1,000 dilution for 1 hour at room temperature. The detection was performed using an HRP conjugated compact polymer system. DAB was used as the chromogen. Tissues were counterstained with hematoxylin and mounted with DPX.
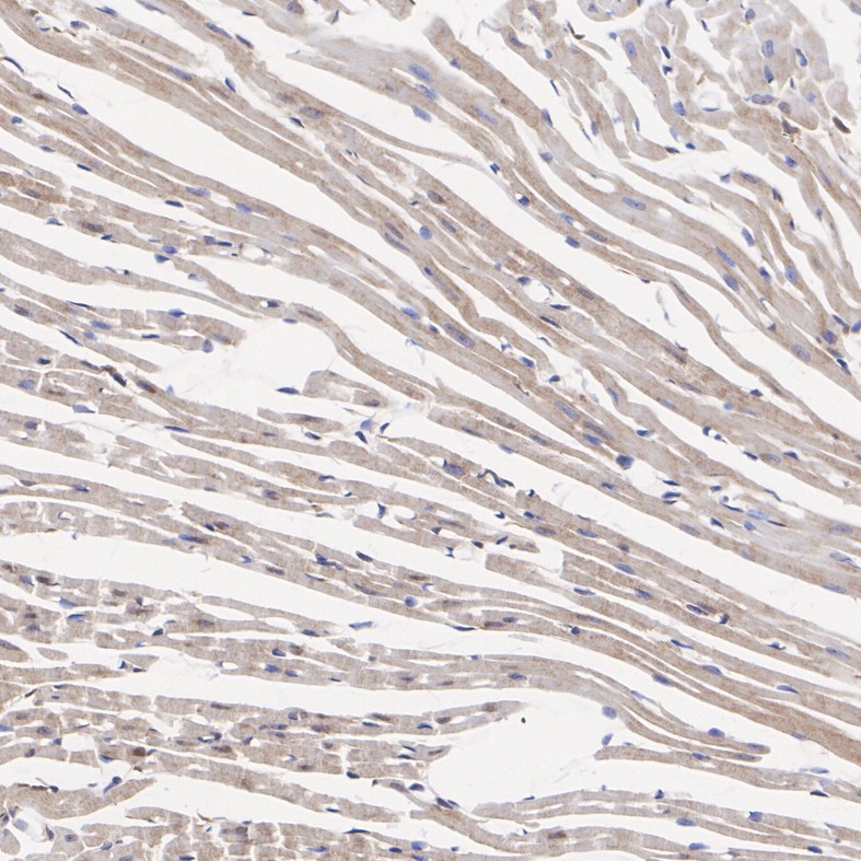
HA723306_7.jpg Fig7: Immunohistochemical analysis of paraffin-embedded mouse heart tissue with Rabbit anti-HIP2 / LIG antibody (HA723306) at 1/1,000 dilution.

The section was pre-treated using heat mediated antigen retrieval with Tris-EDTA buffer (pH 9.0) for 20 minutes. The tissues were blocked in 1% BSA for 20 minutes at room temperature, washed with ddH2O and PBS, and then probed with the primary antibody (HA723306) at 1/1,000 dilution for 1 hour at room temperature. The detection was performed using an HRP conjugated compact polymer system. DAB was used as the chromogen. Tissues were counterstained with hematoxylin and mounted with DPX.
HA723306_8.jpg Fig8: Immunohistochemical analysis of paraffin-embedded mouse liver tissue with Rabbit anti-HIP2 / LIG antibody (HA723306) at 1/1,000 dilution.

The section was pre-treated using heat mediated antigen retrieval with Tris-EDTA buffer (pH 9.0) for 20 minutes. The tissues were blocked in 1% BSA for 20 minutes at room temperature, washed with ddH2O and PBS, and then probed with the primary antibody (HA723306) at 1/1,000 dilution for 1 hour at room temperature. The detection was performed using an HRP conjugated compact polymer system. DAB was used as the chromogen. Tissues were counterstained with hematoxylin and mounted with DPX.
HA723306_9.jpg Fig9: Immunohistochemical analysis of paraffin-embedded rat liver tissue with Rabbit anti-HIP2 / LIG antibody (HA723306) at 1/1,000 dilution.

The section was pre-treated using heat mediated antigen retrieval with Tris-EDTA buffer (pH 9.0) for 20 minutes. The tissues were blocked in 1% BSA for 20 minutes at room temperature, washed with ddH2O and PBS, and then probed with the primary antibody (HA723306) at 1/1,000 dilution for 1 hour at room temperature. The detection was performed using an HRP conjugated compact polymer system. DAB was used as the chromogen. Tissues were counterstained with hematoxylin and mounted with DPX.
HA723306_10.jpg Fig10: Flow cytometric analysis of HeLa cells labeling HIP2 / LIG.

Cells were fixed and permeabilized. Then stained with the primary antibody (HA723306, 1/1,000) (red) compared with Rabbit IgG Isotype Control (green). After incubation of the primary antibody at +4℃ for an hour, the cells were stained with a iFluor™ 488 conjugate-Goat anti-Rabbit IgG Secondary antibody (HA1121) at 1/1,000 dilution for 30 minutes at +4℃. Unlabelled sample was used as a control (cells without incubation with primary antibody; black).
HA723306_11.jpg Fig11: Flow cytometric analysis of NIH/3T3 cells labeling HIP2 / LIG.

Cells were fixed and permeabilized. Then stained with the primary antibody (HA723306, 1/1,000) (red) compared with Rabbit IgG Isotype Control (green). After incubation of the primary antibody at +4℃ for an hour, the cells were stained with a iFluor™ 488 conjugate-Goat anti-Rabbit IgG Secondary antibody (HA1121) at 1/1,000 dilution for 30 minutes at +4℃. Unlabelled sample was used as a control (cells without incubation with primary antibody; black).
HA723306_12.jpg Fig12: Flow cytometric analysis of PC-12 cells labeling HIP2 / LIG.

Cells were fixed and permeabilized. Then stained with the primary antibody (HA723306, 1/1,000) (red) compared with Rabbit IgG Isotype Control (green). After incubation of the primary antibody at +4℃ for an hour, the cells were stained with a iFluor™ 488 conjugate-Goat anti-Rabbit IgG Secondary antibody (HA1121) at 1/1,000 dilution for 30 minutes at +4℃. Unlabelled sample was used as a control (cells without incubation with primary antibody; black).
Note: All products are “FOR RESEARCH USE ONLY AND ARE NOT INTENDED FOR DIAGNOSTIC OR THERAPEUTIC USE”.