BRN3A Recombinant Rabbit Monoclonal Antibody [PSH11-65]
cat.: HA723361
Product Type: Recombinant Rabbit monoclonal IgG, primary antibodies
Species reactivity: Mouse, Rat
Applications: IHC-Fr, IHC-P, WB
Clonality: Monoclonal
Clone number: PSH11-65
Form: Liquid
Storage condition: Shipped at 4℃. Store at +4℃ short term (1-2 weeks). It is recommended to aliquot into single-use upon delivery. Store at -20℃ long term.
Storage buffer: PBS (pH7.4), 0.1% BSA, 40% Glycerol. Preservative: 0.05% Sodium Azide.
Concentration: 1ug/ul
Purification: Protein A affinity purified.
Molecular weight: Predicted band size: 43 kDa
Isotype: IgG
Immunogen: Recombinant protein within Mouse BRN3A aa 1-421.
Positive control: Mouse embryonic brain tissue, mouse embryonic cochlear vestibular ganglion tissue, E14.5 mouse embryonic eye tissue, E14.5 rat embryo tissue, E14.0 mouse embryonic brain tissue lysates.
Subcellular location: Nucleus, Cytoplasm.
Recommended Dilutions:
  IHC-Fr
  IHC-P
  WB

1:500
1:50-1:200
1:1,000
Uniprot #: SwissProt: P17208 Mouse | P20266 Rat
Alternative names: Brain specific homeobox/POU domain protein 3A Brain-3A Brain-specific homeobox/POU domain protein 3A Brn 3.0 BRN 3A Brn-3A Brn3 BRN3A class 4 FLJ13449 Homeobox/POU domain protein RDC 1 Homeobox/POU domain protein RDC-1 Homeobox/POU domain protein RDC1 Oct T1 Oct-T1 OctT1 PO4F1_HUMAN POU class 4 homeobox 1 POU domain POU Domain Class 4 Transcription Factor 1 Pou4f1 RDC 1 RDC1 transcription factor 1
Images
HA723361_1.jpg Fig1: Immunofluorescence analysis of frozen mouse embryonic brain tissue with Rabbit anti-BRN3A antibody (HA723361) at 1/500 dilution.

The section was pre-treated using heat mediated antigen retrieval with sodium citrate buffer (pH 6.0) for about 2 minutes in microwave oven. The tissues were blocked in 10% negative goat serum for 1 hour at room temperature, washed with PBS, and then probed with the primary antibody (HA723361, green) at 1/500 dilution overnight at 4 ℃, washed with PBS. Goat Anti-Rabbit IgG H&L (iFluor™ 488, HA1121) was used as the secondary antibody at 1/1,000 dilution. Nuclei were counterstained with DAPI (blue).
HA723361_2.jpg Fig2: Immunofluorescence analysis of frozen mouse embryonic cochlear vestibular ganglion tissue with Rabbit anti-BRN3A antibody (HA723361) at 1/500 dilution.

The section was pre-treated using heat mediated antigen retrieval with sodium citrate buffer (pH 6.0) for about 2 minutes in microwave oven. The tissues were blocked in 10% negative goat serum for 1 hour at room temperature, washed with PBS, and then probed with the primary antibody (HA723361, green) at 1/500 dilution overnight at 4 ℃, washed with PBS. Goat Anti-Rabbit IgG H&L (iFluor™ 488, HA1121) was used as the secondary antibody at 1/1,000 dilution. Nuclei were counterstained with DAPI (blue).
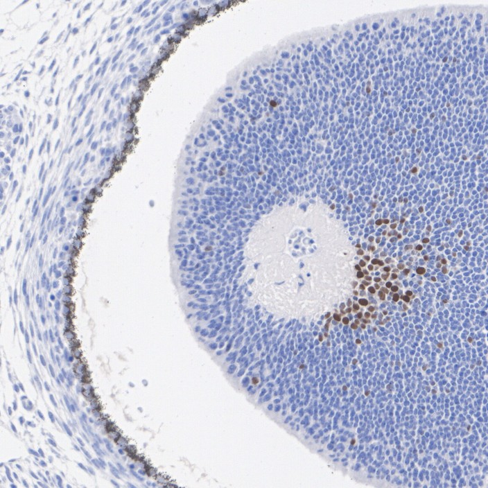
HA723361_3.jpg Fig3: Immunohistochemical analysis of paraffin-embedded E14.5 mouse embryonic eye tissue with Rabbit anti-BRN3A antibody (HA723361) at 1/50 dilution.

The section was pre-treated using heat mediated antigen retrieval with sodium citrate buffer (pH 6.0) (high pressure) for 2 minutes. The tissues were blocked in 1% BSA for 20 minutes at room temperature, washed with ddH2O and PBS, and then probed with the primary antibody (HA723361) at 1/50 dilution for 1 hour at room temperature. The detection was performed using an HRP conjugated compact polymer system. DAB was used as the chromogen. Tissues were counterstained with hematoxylin and mounted with DPX.
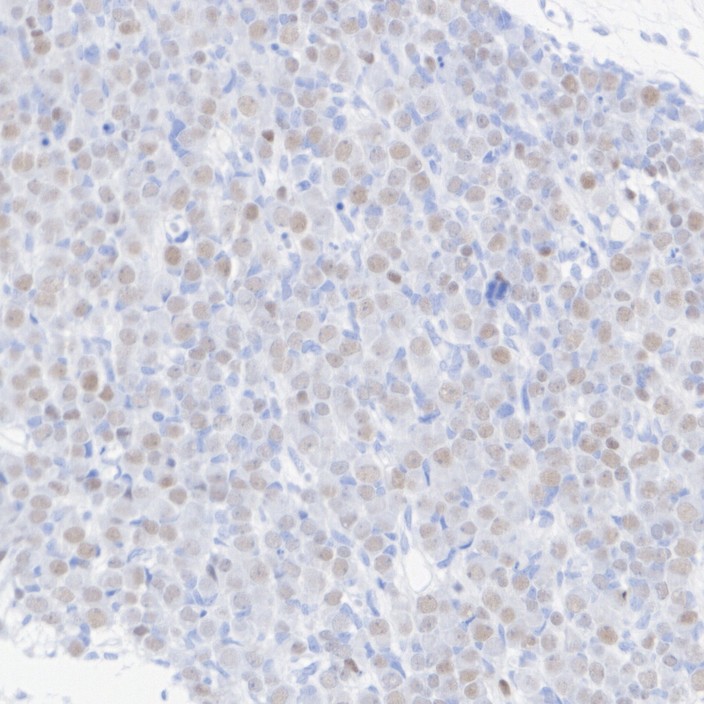
HA723361_4.jpg Fig4: Immunohistochemical analysis of paraffin-embedded E14.5 rat embryo tissue with Rabbit anti-BRN3A antibody (HA723361) at 1/200 dilution.

The section was pre-treated using heat mediated antigen retrieval with sodium citrate buffer (pH 6.0) (high pressure) for 2 minutes. The tissues were blocked in 1% BSA for 20 minutes at room temperature, washed with ddH2O and PBS, and then probed with the primary antibody (HA723361) at 1/200 dilution for 1 hour at room temperature. The detection was performed using an HRP conjugated compact polymer system. DAB was used as the chromogen. Tissues were counterstained with hematoxylin and mounted with DPX.
HA723361_5.jpg Fig5: Western blot analysis of BRN3A on E14.0 mouse embryonic brain tissue lysates with Rabbit anti-BRN3A antibody (HA723361) at 1/1,000 dilution.

Lysates/proteins at 20 µg/Lane.

Predicted band size: 43 kDa
Observed band size: 47 kDa

Exposure time: 59 seconds; ECL: K1801;

4-20% SDS-PAGE gel.

Proteins were transferred to a PVDF membrane and blocked with 5% NFDM/TBST for 1 hour at room temperature. The primary antibody (HA723361) at 1/1,000 dilution was used in primary antibody dilution (K1803) at 4℃ overnight. Goat Anti-Rabbit IgG - HRP Secondary Antibody (HA1001) at 1/50,000 dilution was used for 1 hour at room temperature.
Note: All products are “FOR RESEARCH USE ONLY AND ARE NOT INTENDED FOR DIAGNOSTIC OR THERAPEUTIC USE”.