TOM70 Recombinant Rabbit Monoclonal Antibody [PSH13-00]
cat.: HA723505
Product Type: Recombinant Rabbit monoclonal IgG, primary antibodies
Species reactivity: Human, Mouse, Rat, Monkey
Applications: WB, IHC-P, FC, IF-Cell, IP
Clonality: Monoclonal
Clone number: PSH13-00
Form: Liquid
Storage condition: Shipped at 4℃. Store at +4℃ short term (1-2 weeks). It is recommended to aliquot into single-use upon delivery. Store at -20℃ long term.
Storage buffer: PBS (pH7.4), 0.1% BSA, 40% Glycerol. Preservative: 0.05% Sodium Azide.
Concentration: 1ug/ul
Purification: Protein A affinity purified.
Molecular weight: Predicted band size: 67 kDa
Isotype: IgG
Immunogen: Recombinant protein within human TOM70 aa 86-608 / 608.
Positive control: MCF7 cell lysate, HeLa cell lysate, HepG2 cell lysate, Jurkat cell lysate, MDA-MB-231 cell lysate, NIH/3T3 cell lysate, 4T1 cell lysate, C6 cell lysate, PC-12 cell lysate, COS-1 cell lysate, human colon tissue, mouse colon tissue, rat colon tissue, HeLa, NIH/3T3, C6.
Subcellular location: Mitochondrion outer membrane.
Recommended Dilutions:
  WB
  IHC-P
  IF-Cell
  FC
  IP

1:20,000
1:200
1:100
1:1,000
1-2μg/sample
Uniprot #: SwissProt: O94826 Human | Q9CZW5 Mouse | Q75Q39 Rat | G7NZN9 Monkey
Alternative names: FLJ9047 Mitochondrial import receptor subunit TOM70 Mitochondrial precursor proteins import receptor TOM70 TOM70_HUMAN Tomm70a Translocase of outer membrane 70 kDa subunit Translocase of outer membrane TOM70 Translocase of outer mitochondrial membrane 70 homolog A
Images
HA723505_1.jpg Fig1: Western blot analysis of TOM70 on different lysates with Rabbit anti-TOM70 antibody (HA723505) at 1/5,000 dilution.

Lane 1: MCF7 cell lysate
Lane 2: HeLa cell lysate
Lane 3: HepG2 cell lysate
Lane 4: Jurkat cell lysate
Lane 5: MDA-MB-231 cell lysate
Lane 6: NIH/3T3 cell lysate
Lane 7: 4T1 cell lysate
Lane 8: C6 cell lysate
Lane 9: PC-12 cell lysate
Lane 10: COS-1 cell lysate

Lysates/proteins at 20 µg/Lane.

Predicted band size: 67 kDa
Observed band size: 67 kDa

Exposure time: 35 seconds; ECL: K1801;

4-20% SDS-PAGE gel.

Proteins were transferred to a PVDF membrane and blocked with 5% NFDM/TBST for 1 hour at room temperature. The primary antibody (HA723505) at 1/5,000 dilution was used in 5% NFDM/TBST at 4℃ overnight. Goat Anti-Rabbit IgG - HRP Secondary Antibody (HA1001) at 1/50,000 dilution was used for 1 hour at room temperature.
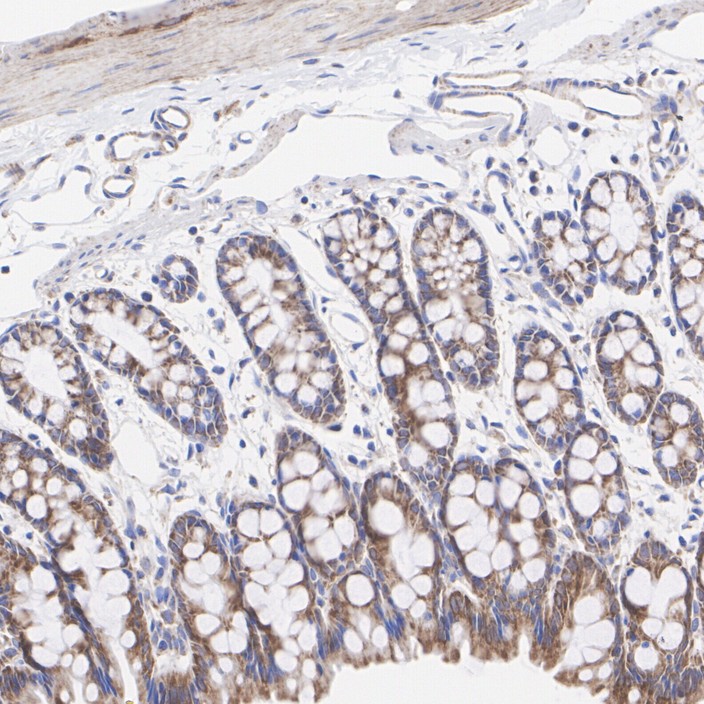
HA723505_2.jpg Fig2: Immunohistochemical analysis of paraffin-embedded human colon tissue with Rabbit anti-TOM70 antibody (HA723505) at 1/200 dilution.

The section was pre-treated using heat mediated antigen retrieval with Tris-EDTA buffer (pH 9.0) for 20 minutes. The tissues were blocked in 1% BSA for 20 minutes at room temperature, washed with ddH2O and PBS, and then probed with the primary antibody (HA723505) at 1/200 dilution for 1 hour at room temperature. The detection was performed using an HRP conjugated compact polymer system. DAB was used as the chromogen. Tissues were counterstained with hematoxylin and mounted with DPX.
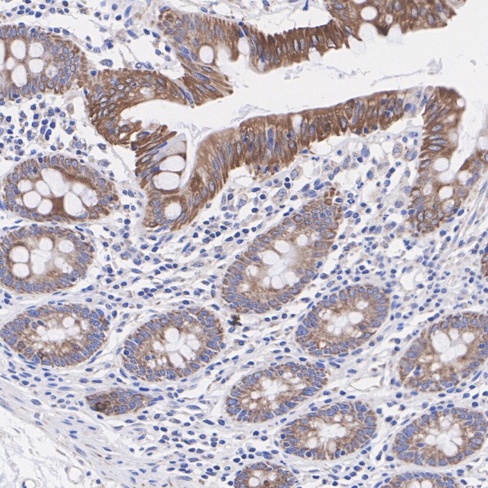
HA723505_3.jpg Fig3: Immunohistochemical analysis of paraffin-embedded mouse colon tissue with Rabbit anti-TOM70 antibody (HA723505) at 1/200 dilution.

The section was pre-treated using heat mediated antigen retrieval with Tris-EDTA buffer (pH 9.0) for 20 minutes. The tissues were blocked in 1% BSA for 20 minutes at room temperature, washed with ddH2O and PBS, and then probed with the primary antibody (HA723505) at 1/200 dilution for 1 hour at room temperature. The detection was performed using an HRP conjugated compact polymer system. DAB was used as the chromogen. Tissues were counterstained with hematoxylin and mounted with DPX.
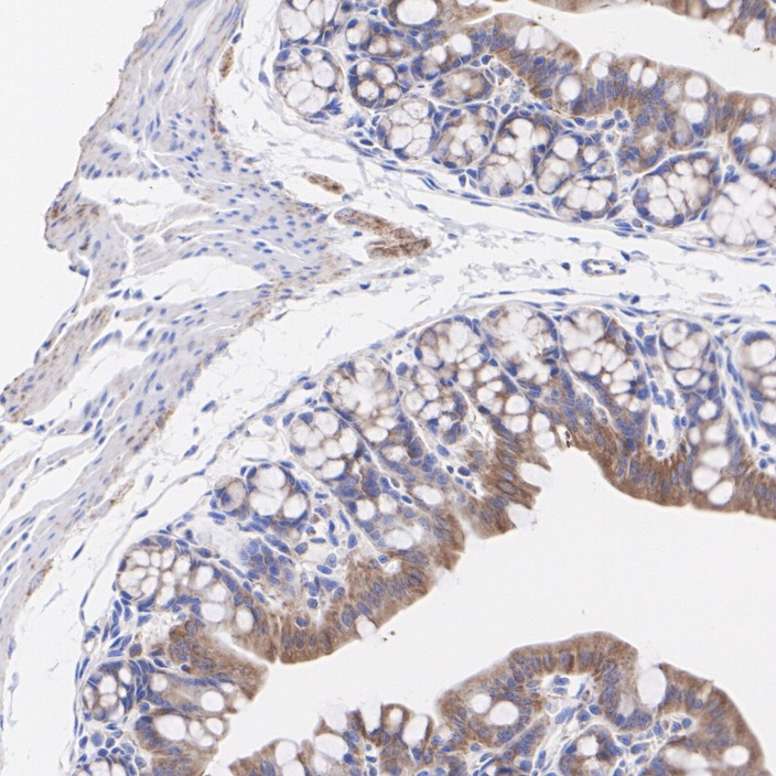
HA723505_4.jpg Fig4: Immunohistochemical analysis of paraffin-embedded rat colon tissue with Rabbit anti-TOM70 antibody (HA723505) at 1/200 dilution.

The section was pre-treated using heat mediated antigen retrieval with Tris-EDTA buffer (pH 9.0) for 20 minutes. The tissues were blocked in 1% BSA for 20 minutes at room temperature, washed with ddH2O and PBS, and then probed with the primary antibody (HA723505) at 1/200 dilution for 1 hour at room temperature. The detection was performed using an HRP conjugated compact polymer system. DAB was used as the chromogen. Tissues were counterstained with hematoxylin and mounted with DPX.
HA723505_5.jpg Fig5: Immunocytochemistry analysis of HeLa cells labeling TOM70 with Rabbit anti-TOM70 antibody (HA723505) at 1/100 dilution.

Cells were fixed in 4% paraformaldehyde for 15 minutes at room temperature, permeabilized with 0.1% Triton X-100 in PBS for 15 minutes at room temperature, then blocked with 1% BSA in 10% negative goat serum for 1 hour at room temperature. Cells were then incubated with Rabbit anti-TOM70 antibody (HA723505) at 1/100 dilution in 1% BSA in PBST overnight at 4 ℃. Goat Anti-Rabbit IgG H&L (iFluor™ 488, HA1121) was used as the secondary antibody at 1/1,000 dilution. PBS instead of the primary antibody was used as the secondary antibody only control. Nuclear DNA was labelled in blue with DAPI.

Beta tubulin (HA601187, red) was stained at 1/100 dilution overnight at +4℃. Goat Anti-Mouse IgG H&L (iFluor™ 594, HA1126) was used as the secondary antibody at 1/1,000 dilution.
HA723505_6.jpg Fig6: Immunocytochemistry analysis of NIH/3T3 cells labeling TOM70 with Rabbit anti-TOM70 antibody (HA723505) at 1/100 dilution.

Cells were fixed in 4% paraformaldehyde for 15 minutes at room temperature, permeabilized with 0.1% Triton X-100 in PBS for 15 minutes at room temperature, then blocked with 1% BSA in 10% negative goat serum for 1 hour at room temperature. Cells were then incubated with Rabbit anti-TOM70 antibody (HA723505) at 1/100 dilution in 1% BSA in PBST overnight at 4 ℃. Goat Anti-Rabbit IgG H&L (iFluor™ 488, HA1121) was used as the secondary antibody at 1/1,000 dilution. PBS instead of the primary antibody was used as the secondary antibody only control. Nuclear DNA was labelled in blue with DAPI.

Beta tubulin (HA601187, red) was stained at 1/100 dilution overnight at +4℃. Goat Anti-Mouse IgG H&L (iFluor™ 594, HA1126) was used as the secondary antibody at 1/1,000 dilution.
HA723505_7.jpg Fig7: Immunocytochemistry analysis of C6 cells labeling TOM70 with Rabbit anti-TOM70 antibody (HA723505) at 1/100 dilution.

Cells were fixed in 4% paraformaldehyde for 15 minutes at room temperature, permeabilized with 0.1% Triton X-100 in PBS for 15 minutes at room temperature, then blocked with 1% BSA in 10% negative goat serum for 1 hour at room temperature. Cells were then incubated with Rabbit anti-TOM70 antibody (HA723505) at 1/100 dilution in 1% BSA in PBST overnight at 4 ℃. Goat Anti-Rabbit IgG H&L (iFluor™ 488, HA1121) was used as the secondary antibody at 1/1,000 dilution. PBS instead of the primary antibody was used as the secondary antibody only control. Nuclear DNA was labelled in blue with DAPI.

Beta tubulin (HA601187, red) was stained at 1/100 dilution overnight at +4℃. Goat Anti-Mouse IgG H&L (iFluor™ 594, HA1126) was used as the secondary antibody at 1/1,000 dilution.
HA723505_8.jpg Fig8: Flow cytometric analysis of HeLa cells labeling TOM70.

Cells were fixed and permeabilized. Then stained with the primary antibody (HA723505, 1/1,000) (red) compared with Rabbit IgG Isotype Control (green). After incubation of the primary antibody at +4℃ for an hour, the cells were stained with a iFluor™ 488 conjugate-Goat anti-Rabbit IgG Secondary antibody (HA1121) at 1/1,000 dilution for 30 minutes at +4℃. Unlabelled sample was used as a control (cells without incubation with primary antibody; black).
HA723505_9.jpg Fig9: Flow cytometric analysis of NIH/3T3 cells labeling TOM70.

Cells were fixed and permeabilized. Then stained with the primary antibody (HA723505, 1/1,000) (red) compared with Rabbit IgG Isotype Control (green). After incubation of the primary antibody at +4℃ for an hour, the cells were stained with a iFluor™ 488 conjugate-Goat anti-Rabbit IgG Secondary antibody (HA1121) at 1/1,000 dilution for 30 minutes at +4℃. Unlabelled sample was used as a control (cells without incubation with primary antibody; black).
HA723505_10.jpg Fig10: Flow cytometric analysis of C6 cells labeling TOM70.

Cells were fixed and permeabilized. Then stained with the primary antibody (HA723505, 1/1,000) (red) compared with Rabbit IgG Isotype Control (green). After incubation of the primary antibody at +4℃ for an hour, the cells were stained with a iFluor™ 488 conjugate-Goat anti-Rabbit IgG Secondary antibody (HA1121) at 1/1,000 dilution for 30 minutes at +4℃. Unlabelled sample was used as a control (cells without incubation with primary antibody; black).
HA723505_11.jpg Fig11: TOM70 was immunoprecipitated from 0.2 mg MCF7 cell lysate with HA723505 at 2 µg/10 µl beads. Western blot was performed from the immunoprecipitate using HA723505 at 1/5,000 dilution. HRP Conjugated Anti-Rabbit IgG for IP secondary antibody at 1/5,000 dilution was used for 1 hour at room temperature.

Lane 1: MCF7 cell lysate (input)
Lane 2: HA723505 IP in MCF7 cell lysate
Lane 3: Rabbit IgG instead of HA723505 in MCF7 cell lysate

Blocking/Dilution buffer: 5% NFDM/TBST
Exposure time: 2 seconds; ECL: K1801
Note: All products are “FOR RESEARCH USE ONLY AND ARE NOT INTENDED FOR DIAGNOSTIC OR THERAPEUTIC USE”.