Dlx2 Recombinant Rabbit Monoclonal Antibody [PSH13-47]
cat.: HA723536
Product Type: Recombinant Rabbit monoclonal IgG, primary antibodies
Species reactivity: Mouse, Rat
Applications: IHC-P
Clonality: Monoclonal
Clone number: PSH13-47
Form: Liquid
Storage condition: Shipped at 4℃. Store at +4℃ short term (1-2 weeks). It is recommended to aliquot into single-use upon delivery. Store at -20℃ long term.
Storage buffer: PBS (pH7.4), 0.1% BSA, 40% Glycerol. Preservative: 0.05% Sodium Azide.
Concentration: 1ug/ul
Purification: Protein A affinity purified.
Molecular weight: Predicted band size: 34 kDa
Isotype: IgG
Immunogen: Recombinant protein within human Dlx2 aa 1-328.
Positive control: Mouse brain tissue, mouse embryo tissue, rat brain tissue, rat embryo tissue.
Subcellular location: Nucleus.
Recommended Dilutions:
  IHC-P

1:40,000
Uniprot #: SwissProt: P40764 Mouse | Q64204 Rat
Alternative names: DII A Distal less homeo box 2 Distal less homeobox 2 DLX 2 Dlx2 DLX2_HUMAN Dlx5 Homeobox protein DLX 2 Homeobox protein DLX-2 Homeobox protein DLX2 Homeobox protein TES 1 Homeobox protein TES1 Tes 1 Tes1 zgc
Images
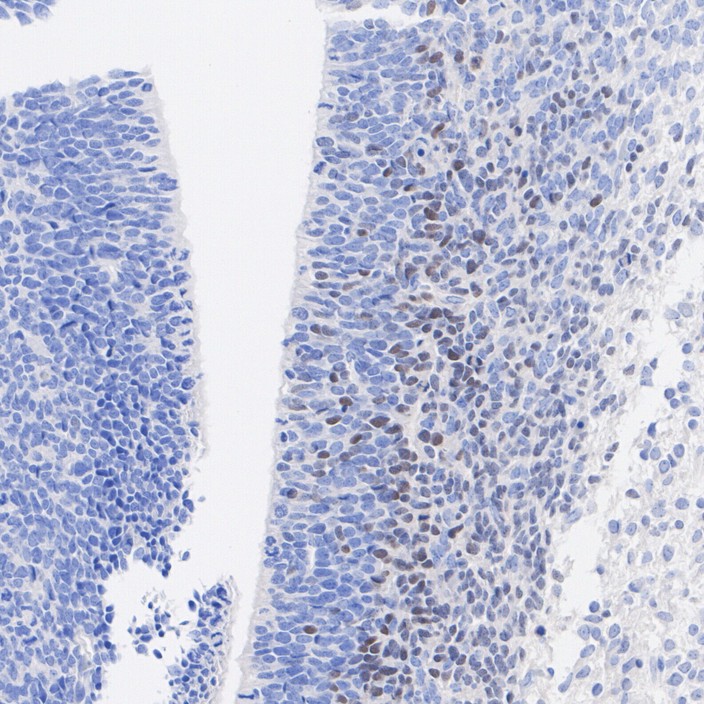
HA723536_1.jpg Fig1: Immunohistochemical analysis of paraffin-embedded mouse brain tissue with Rabbit anti-Dlx2 antibody (HA723536) at 1/40,000 dilution.

The section was pre-treated using heat mediated antigen retrieval with Tris-EDTA buffer (pH 9.0) for 20 minutes. The tissues were blocked in 1% BSA for 20 minutes at room temperature, washed with ddH2O and PBS, and then probed with the primary antibody (HA723536) at 1/40,000 dilution for 1 hour at room temperature. The detection was performed using an HRP conjugated compact polymer system. DAB was used as the chromogen. Tissues were counterstained with hematoxylin and mounted with DPX.
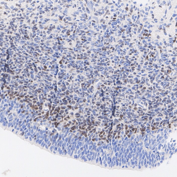
HA723536_2.jpg Fig2: Immunohistochemical analysis of paraffin-embedded mouse embryo tissue with Rabbit anti-Dlx2 antibody (HA723536) at 1/40,000 dilution.

The section was pre-treated using heat mediated antigen retrieval with Tris-EDTA buffer (pH 9.0) for 20 minutes. The tissues were blocked in 1% BSA for 20 minutes at room temperature, washed with ddH2O and PBS, and then probed with the primary antibody (HA723536) at 1/40,000 dilution for 1 hour at room temperature. The detection was performed using an HRP conjugated compact polymer system. DAB was used as the chromogen. Tissues were counterstained with hematoxylin and mounted with DPX.
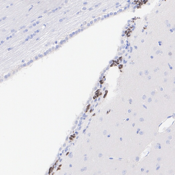
HA723536_3.jpg Fig3: Immunohistochemical analysis of paraffin-embedded rat brain tissue with Rabbit anti-Dlx2 antibody (HA723536) at 1/40,000 dilution.

The section was pre-treated using heat mediated antigen retrieval with Tris-EDTA buffer (pH 9.0) for 20 minutes. The tissues were blocked in 1% BSA for 20 minutes at room temperature, washed with ddH2O and PBS, and then probed with the primary antibody (HA723536) at 1/40,000 dilution for 1 hour at room temperature. The detection was performed using an HRP conjugated compact polymer system. DAB was used as the chromogen. Tissues were counterstained with hematoxylin and mounted with DPX.
HA723536_4.jpg Fig4: Immunohistochemical analysis of paraffin-embedded rat embryo tissue with Rabbit anti-Dlx2 antibody (HA723536) at 1/40,000 dilution.

The section was pre-treated using heat mediated antigen retrieval with Tris-EDTA buffer (pH 9.0) for 20 minutes. The tissues were blocked in 1% BSA for 20 minutes at room temperature, washed with ddH2O and PBS, and then probed with the primary antibody (HA723536) at 1/40,000 dilution for 1 hour at room temperature. The detection was performed using an HRP conjugated compact polymer system. DAB was used as the chromogen. Tissues were counterstained with hematoxylin and mounted with DPX.
Note: All products are “FOR RESEARCH USE ONLY AND ARE NOT INTENDED FOR DIAGNOSTIC OR THERAPEUTIC USE”.