AMH Recombinant Rabbit Monoclonal Antibody [PSH13-48]
cat.: HA723537
Product Type: Recombinant Rabbit monoclonal IgG, primary antibodies
Species reactivity: Mouse, Rat, Human
Applications: WB, IHC-Fr, IHC-P, IF-Tissue
Clonality: Monoclonal
Clone number: PSH13-48
Form: Liquid
Storage condition: Shipped at 4℃. Store at +4℃ short term (1-2 weeks). It is recommended to aliquot into single-use upon delivery. Store at -20℃ long term.
Storage buffer: 1*PBS (pH7.4), 0.1% BSA, 40% Glycerol, 0.2% Proclean 950.
Concentration: 1ug/ul
Purification: Protein A affinity purified.
Molecular weight: Predicted band size: 59 kDa
Isotype: IgG
Immunogen: Recombinant protein within human AMH aa 411-560.
Positive control: Mouse ovary tissue lysate, Mouse testis tissue lysate, Rat ovary tissue lysate, mouse ovary tissue, rat ovary tissue.
Subcellular location: Secreted.
Recommended Dilutions:
  WB
  IHC-Fr
  IHC-P
  IF-Tissue

1:5,000
1:500
1:500-1:2,000
1:500
Uniprot #: SwissProt: P03971 Human | P27106 Mouse | P49000 Rat
Alternative names: Anti muellerian hormone MIF MIS Muellerian inhibiting factor Mullerian inhibiting substance
Images
HA723537_1.jpg Fig1: Western blot analysis of AMH on different lysates with Rabbit anti-AMH antibody (HA723537) at 1/5,000 dilution.

Lane 1: Mouse ovary tissue lysate
Lane 2: Mouse spleen tissue lysate (negative)
Lane 3: Mouse testis tissue lysate
Lane 4: Rat ovary tissue lysate
Lane 5: Rat spleen tissue lysate (negative)

Lysates/proteins at 40 µg/Lane.

Predicted band size: 59 kDa
Observed band size: 59 kDa

Exposure time: Lane 1-3: 42 seconds; Lane 4-5: 10 seconds; ECL: K1801;

4-20% SDS-PAGE gel.

Proteins were transferred to a PVDF membrane and blocked with 5% NFDM/TBST for 1 hour at room temperature. The primary antibody (HA723537) at 1/5,000 dilution was used in primary antibody dilution (K1803) at 4℃ overnight. Goat Anti-Rabbit IgG - HRP Secondary Antibody (HA1001) at 1/50,000 dilution was used for 1 hour at room temperature.
HA723537_2.jpg Fig2: Application: IHC-Fr

Species: Mouse

Site: ovary

Sample: Frozen section

Antibody concentration: 1/500

Antigen retrieval: Not required
HA723537_3.jpg Fig3: Application: IHC-Fr

Species: Rat

Site: ovary

Sample: Frozen section

Antibody concentration: 1/500

Antigen retrieval: Not required
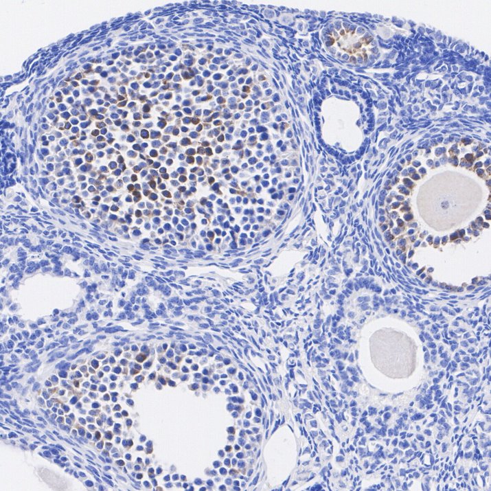
HA723537_4.jpg Fig4: Immunohistochemical analysis of paraffin-embedded mouse ovary tissue with Rabbit anti-AMH antibody (HA723537) at 1/500 dilution.

The section was pre-treated using heat mediated antigen retrieval with Tris-EDTA buffer (pH 9.0) for 20 minutes. The tissues were blocked in 1% BSA for 20 minutes at room temperature, washed with ddH2O and PBS, and then probed with the primary antibody (HA723537) at 1/500 dilution for 1 hour at room temperature. The detection was performed using an HRP conjugated compact polymer system. DAB was used as the chromogen. Tissues were counterstained with hematoxylin and mounted with DPX.
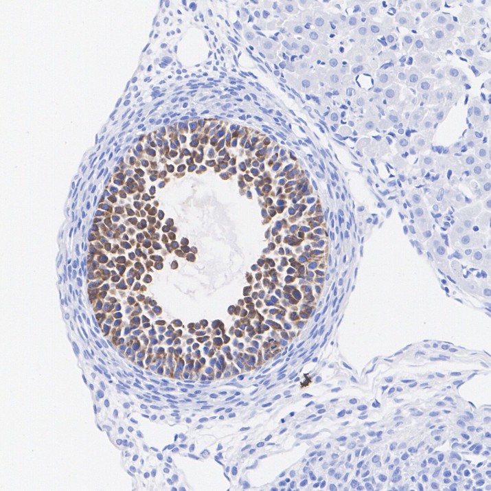
HA723537_5.jpg Fig5: Immunohistochemical analysis of paraffin-embedded rat ovary tissue with Rabbit anti-AMH antibody (HA723537) at 1/2,000 dilution.

The section was pre-treated using heat mediated antigen retrieval with Tris-EDTA buffer (pH 9.0) for 20 minutes. The tissues were blocked in 1% BSA for 20 minutes at room temperature, washed with ddH2O and PBS, and then probed with the primary antibody (HA723537) at 1/2,000 dilution for 1 hour at room temperature. The detection was performed using an HRP conjugated compact polymer system. DAB was used as the chromogen. Tissues were counterstained with hematoxylin and mounted with DPX.
HA723537_6.jpg Fig6: Application: IF-Tissue

Species: Mouse

Site: ovary

Sample: Paraffin-embedded section

Antibody concentration: 1/500
HA723537_7.jpg Fig7: Application: IF-Tissue

Species: Rat

Site: ovary

Sample: Paraffin-embedded section

Antibody concentration: 1/500
Note: All products are “FOR RESEARCH USE ONLY AND ARE NOT INTENDED FOR DIAGNOSTIC OR THERAPEUTIC USE”.