Retinoid X Receptor beta / RXRB Recombinant Rabbit Monoclonal Antibody [PSH13-53]
cat.: HA723542
Product Type: Recombinant Rabbit monoclonal IgG, primary antibodies
Species reactivity: Human, Mouse, Rat
Applications: WB, IF-Cell, IHC-P
Clonality: Monoclonal
Clone number: PSH13-53
Form: Liquid
Storage condition: Shipped at 4℃. Store at +4℃ short term (1-2 weeks). It is recommended to aliquot into single-use upon delivery. Store at -20℃ long term.
Storage buffer: PBS (pH7.4), 0.1% BSA, 40% Glycerol. Preservative: 0.05% Sodium Azide.
Concentration: 1ug/ul
Purification: Protein A affinity purified.
Molecular weight: Predicted band size: 57 kDa
Isotype: IgG
Immunogen: Recombinant protein within human aa 1-250.
Positive control: SH-SY5Y cell lysate, K-562 cell lysate, MDA-MB-231 cell lysate, U-2 OS cell lysate, NIH/3T3 cell lysate, Mouse brain tissue lysate, Rat brain tissue lysate, SH-SY5Y, NIH/3T3, human brain tissue, human lung tissue, mouse brain tissue, rat brain tissue, rat lung tissue.
Subcellular location: Nucleus, Cytoplasm.
Recommended Dilutions:
  WB
  IF-Cell
  IHC-P

1:5,000
1:100
1:200-1:1,000
Uniprot #: SwissProt: P28702 Human | P28704 Mouse | P49743 Rat
Alternative names: DAUD I6 DAUDI6 H 2RIIBP H2RIIBP MGC1831 MHC class I promoter binding protein NR2B2 Nuclear receptor subfamily 2 group B member 2 RCoR 1 RCoR1 Retinoic acid receptor RXR beta Retinoic acid receptor RXR-beta Retinoid X receptor beta RXR beta Rxrb RXRB_HUMAN RXRbeta
Images
HA723542_1.jpg Fig1: Western blot analysis of Retinoid X Receptor beta / RXRB on different lysates with Rabbit anti-Retinoid X Receptor beta / RXRB antibody (HA723542) at 1/5,000 dilution.

Lane 1: SH-SY5Y cell lysate (20 µg/Lane)
Lane 2: K-562 cell lysate(20 µg/Lane)
Lane 3: MDA-MB-231 cell lysate (20 µg/Lane)
Lane 4: U-2 OS cell lysate (20 µg/Lane)
Lane 5: NIH/3T3 cell lysate(20 µg/Lane)
Lane 6: Mouse brain tissue lysate (40 µg/Lane)
Lane 7: Rat brain tissue lysate (40 µg/Lane)

Predicted band size: 57 kDa
Observed band size: 57/70 kDa

Exposure time: 15 seconds; ECL: K1801;

4-20% SDS-PAGE gel.

Proteins were transferred to a PVDF membrane and blocked with 5% NFDM/TBST for 1 hour at room temperature. The primary antibody (HA723542) at 1/5,000 dilution was used in primary antibody dilution (K1803) at 4℃ overnight. Goat Anti-Rabbit IgG - HRP Secondary Antibody (HA1001) at 1/50,000 dilution was used for 1 hour at room temperature.
HA723542_2.jpg Fig2: Immunocytochemistry analysis of SH-SY5Y cells labeling Retinoid X Receptor beta / RXRB with Rabbit anti-Retinoid X Receptor beta / RXRB antibody (HA723542) at 1/100 dilution.

Cells were fixed in 4% paraformaldehyde for 15 minutes at room temperature, permeabilized with 0.1% Triton X-100 in PBS for 15 minutes at room temperature, then blocked with 1% BSA in 10% negative goat serum for 1 hour at room temperature. Cells were then incubated with Rabbit anti-Retinoid X Receptor beta / RXRB antibody (HA723542) at 1/100 dilution in 1% BSA in PBST overnight at 4 ℃. Goat Anti-Rabbit IgG H&L (iFluor™ 488, HA1121) was used as the secondary antibody at 1/1,000 dilution. PBS instead of the primary antibody was used as the secondary antibody only control. Nuclear DNA was labelled in blue with DAPI.

Beta tubulin (HA601187, red) was stained at 1/100 dilution overnight at +4℃. Goat Anti-Mouse IgG H&L (iFluor™ 594, HA1126) was used as the secondary antibody at 1/1,000 dilution.
HA723542_3.jpg Fig3: Immunocytochemistry analysis of NIH/3T3 cells labeling Retinoid X Receptor beta / RXRB with Rabbit anti-Retinoid X Receptor beta / RXRB antibody (HA723542) at 1/100 dilution.

Cells were fixed in 4% paraformaldehyde for 15 minutes at room temperature, permeabilized with 0.1% Triton X-100 in PBS for 15 minutes at room temperature, then blocked with 1% BSA in 10% negative goat serum for 1 hour at room temperature. Cells were then incubated with Rabbit anti-Retinoid X Receptor beta / RXRB antibody (HA723542) at 1/100 dilution in 1% BSA in PBST overnight at 4 ℃. Goat Anti-Rabbit IgG H&L (iFluor™ 488, HA1121) was used as the secondary antibody at 1/1,000 dilution. PBS instead of the primary antibody was used as the secondary antibody only control. Nuclear DNA was labelled in blue with DAPI.

Beta tubulin (HA601187, red) was stained at 1/100 dilution overnight at +4℃. Goat Anti-Mouse IgG H&L (iFluor™ 594, HA1126) was used as the secondary antibody at 1/1,000 dilution.
HA723542_4.jpg Fig4: Immunohistochemical analysis of paraffin-embedded human brain tissue with Rabbit anti-Retinoid X Receptor beta / RXRB antibody (HA723542) at 1/200 dilution.

The section was pre-treated using heat mediated antigen retrieval with Tris-EDTA buffer (pH 9.0) for 20 minutes. The tissues were blocked in 1% BSA for 20 minutes at room temperature, washed with ddH2O and PBS, and then probed with the primary antibody (HA723542) at 1/200 dilution for 1 hour at room temperature. The detection was performed using an HRP conjugated compact polymer system. DAB was used as the chromogen. Tissues were counterstained with hematoxylin and mounted with DPX.
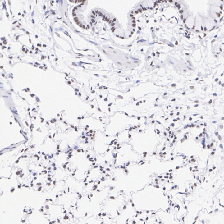
HA723542_5.jpg Fig5: Immunohistochemical analysis of paraffin-embedded human lung tissue with Rabbit anti-Retinoid X Receptor beta / RXRB antibody (HA723542) at 1/200 dilution.

The section was pre-treated using heat mediated antigen retrieval with Tris-EDTA buffer (pH 9.0) for 20 minutes. The tissues were blocked in 1% BSA for 20 minutes at room temperature, washed with ddH2O and PBS, and then probed with the primary antibody (HA723542) at 1/200 dilution for 1 hour at room temperature. The detection was performed using an HRP conjugated compact polymer system. DAB was used as the chromogen. Tissues were counterstained with hematoxylin and mounted with DPX.
HA723542_6.jpg Fig6: Immunohistochemical analysis of paraffin-embedded mouse brain tissue with Rabbit anti-Retinoid X Receptor beta / RXRB antibody (HA723542) at 1/1,000 dilution.

The section was pre-treated using heat mediated antigen retrieval with Tris-EDTA buffer (pH 9.0) for 20 minutes. The tissues were blocked in 1% BSA for 20 minutes at room temperature, washed with ddH2O and PBS, and then probed with the primary antibody (HA723542) at 1/1,000 dilution for 1 hour at room temperature. The detection was performed using an HRP conjugated compact polymer system. DAB was used as the chromogen. Tissues were counterstained with hematoxylin and mounted with DPX.
HA723542_7.jpg Fig7: Immunohistochemical analysis of paraffin-embedded rat brain tissue with Rabbit anti-Retinoid X Receptor beta / RXRB antibody (HA723542) at 1/200 dilution.

The section was pre-treated using heat mediated antigen retrieval with Tris-EDTA buffer (pH 9.0) for 20 minutes. The tissues were blocked in 1% BSA for 20 minutes at room temperature, washed with ddH2O and PBS, and then probed with the primary antibody (HA723542) at 1/200 dilution for 1 hour at room temperature. The detection was performed using an HRP conjugated compact polymer system. DAB was used as the chromogen. Tissues were counterstained with hematoxylin and mounted with DPX.
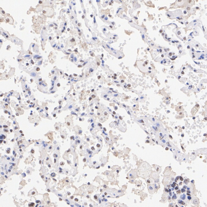
HA723542_8.jpg Fig8: Immunohistochemical analysis of paraffin-embedded rat lung tissue with Rabbit anti-Retinoid X Receptor beta / RXRB antibody (HA723542) at 1/200 dilution.

The section was pre-treated using heat mediated antigen retrieval with Tris-EDTA buffer (pH 9.0) for 20 minutes. The tissues were blocked in 1% BSA for 20 minutes at room temperature, washed with ddH2O and PBS, and then probed with the primary antibody (HA723542) at 1/200 dilution for 1 hour at room temperature. The detection was performed using an HRP conjugated compact polymer system. DAB was used as the chromogen. Tissues were counterstained with hematoxylin and mounted with DPX.
Note: All products are “FOR RESEARCH USE ONLY AND ARE NOT INTENDED FOR DIAGNOSTIC OR THERAPEUTIC USE”.