AMACR Recombinant Rabbit Monoclonal Antibody [PSH13-54]
cat.: HA723543
Product Type: Recombinant Rabbit monoclonal IgG, primary antibodies
Species reactivity: Human, Mouse
Applications: WB, IHC-P, IF-Tissue
Clonality: Monoclonal
Clone number: PSH13-54
Form: Liquid
Storage condition: Shipped at 4℃. Store at +4℃ short term (1-2 weeks). It is recommended to aliquot into single-use upon delivery. Store at -20℃ long term.
Storage buffer: 1*PBS (pH7.4), 0.1% BSA, 40% Glycerol, 0.2% Proclean 950.
Concentration: 1ug/ul
Purification: Protein A affinity purified.
Molecular weight: Predicted band size: 42 kDa
Isotype: IgG
Immunogen: Recombinant protein within human AMACR aa 1-382.
Positive control: LNCaP cell lysate, U-2 OS cell lysate, A375 cell lysate, Mouse kidney tissue lysate, human prostate cancer tissue, human renal cell carcinoma tissue, human kidney tissue.
Subcellular location: Peroxisome, Mitochondrion.
Recommended Dilutions:
  WB
  IHC-P
  IF-Tissue

1:5,000
1:10,000
1:1,000
Uniprot #: SwissProt: Q9UHK6 Human | O09174 Mouse
Alternative names: 2 arylpropionyl CoA epimerase 2 methylacyl CoA racemase 2-methylacyl-CoA racemase Alpha methylacyl CoA racemase Alpha methylacyl Coenzyme A racemase Alpha methylacyl-CoA racemase deficiency, included Alpha-methylacyl-CoA racemase Amacr AMACR deficiency, included AMACR_HUMAN CBAS4 Da1-8 EC 5.1.99.4 Macr1 Methylacyl CoA racemase alpha RACE RM P504S
Images
HA723543_1.jpg Fig1: Western blot analysis of AMACR on different lysates with Rabbit anti-AMACR antibody (HA723543) at 1/5,000 dilution.

Lane 1: LNCaP cell lysate (20 µg/Lane)
Lane 2: U-2 OS cell lysate (low expression) (20 µg/Lane)
Lane 3: A375 cell lysate (20 µg/Lane)
Lane 4: Mouse kidney tissue lysate (40 µg/Lane)

Predicted band size: 42 kDa
Observed band size: 42 kDa

Exposure time: 2 minute 22 seconds; ECL: K1801;

4-20% SDS-PAGE gel.

Proteins were transferred to a PVDF membrane and blocked with 5% NFDM/TBST for 1 hour at room temperature. The primary antibody (HA723543) at 1/5,000 dilution was used in primary antibody dilution (K1803) at 4℃ overnight. Goat Anti-Rabbit IgG - HRP Secondary Antibody (HA1001) at 1/50,000 dilution was used for 1 hour at room temperature.
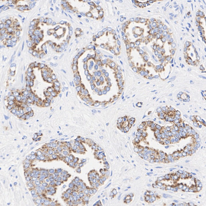
HA723543_2.jpg Fig2: Immunohistochemical analysis of paraffin-embedded human prostate cancer tissue with Rabbit anti-AMACR antibody (HA723543) at 1/10,000 dilution.

The section was pre-treated using heat mediated antigen retrieval with Tris-EDTA buffer (pH 9.0) for 20 minutes. The tissues were blocked in 1% BSA for 20 minutes at room temperature, washed with ddH2O and PBS, and then probed with the primary antibody (HA723543) at 1/10,000 dilution for 1 hour at room temperature. The detection was performed using an HRP conjugated compact polymer system. DAB was used as the chromogen. Tissues were counterstained with hematoxylin and mounted with DPX.
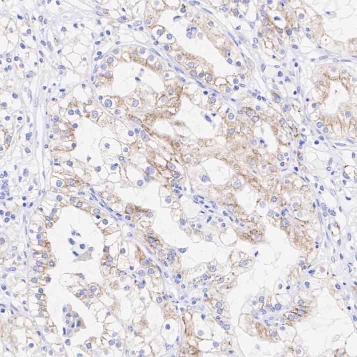
HA723543_3.jpg Fig3: Immunohistochemical analysis of paraffin-embedded human prostate cancer tissue with Rabbit anti-AMACR antibody (HA723543) at 1/10,000 dilution.

The section was pre-treated using heat mediated antigen retrieval with Tris-EDTA buffer (pH 9.0) for 20 minutes. The tissues were blocked in 1% BSA for 20 minutes at room temperature, washed with ddH2O and PBS, and then probed with the primary antibody (HA723543) at 1/10,000 dilution for 1 hour at room temperature. The detection was performed using an HRP conjugated compact polymer system. DAB was used as the chromogen. Tissues were counterstained with hematoxylin and mounted with DPX.
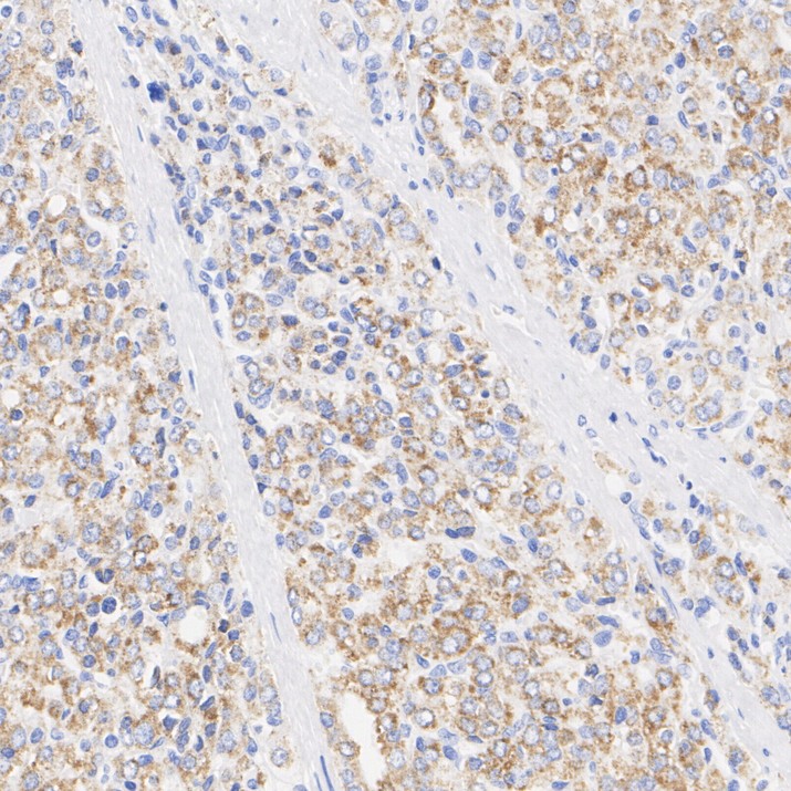
HA723543_4.jpg Fig4: Immunohistochemical analysis of paraffin-embedded human renal cell carcinoma tissue with Rabbit anti-AMACR antibody (HA723543) at 1/10,000 dilution.

The section was pre-treated using heat mediated antigen retrieval with Tris-EDTA buffer (pH 9.0) for 20 minutes. The tissues were blocked in 1% BSA for 20 minutes at room temperature, washed with ddH2O and PBS, and then probed with the primary antibody (HA723543) at 1/10,000 dilution for 1 hour at room temperature. The detection was performed using an HRP conjugated compact polymer system. DAB was used as the chromogen. Tissues were counterstained with hematoxylin and mounted with DPX.
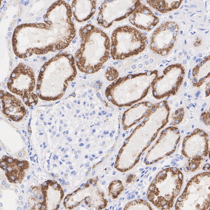
HA723543_5.jpg Fig5: Immunohistochemical analysis of paraffin-embedded human kidney tissue with Rabbit anti-AMACR antibody (HA723543) at 1/10,000 dilution.

The section was pre-treated using heat mediated antigen retrieval with Tris-EDTA buffer (pH 9.0) for 20 minutes. The tissues were blocked in 1% BSA for 20 minutes at room temperature, washed with ddH2O and PBS, and then probed with the primary antibody (HA723543) at 1/10,000 dilution for 1 hour at room temperature. The detection was performed using an HRP conjugated compact polymer system. DAB was used as the chromogen. Tissues were counterstained with hematoxylin and mounted with DPX.
HA723543_6.jpg Fig6: Application: IF-Tissue

Species: Human

Site: kidney

Sample: Paraffin-embedded section

Antibody concentration: 1/1,000
Note: All products are “FOR RESEARCH USE ONLY AND ARE NOT INTENDED FOR DIAGNOSTIC OR THERAPEUTIC USE”.