Transferrin Receptor (CD71) Recombinant Rabbit Monoclonal Antibody [PSH13-56]
cat.: HA723545
Product Type: Recombinant Rabbit monoclonal IgG, primary antibodies
Species reactivity: Human, Mouse, Rat
Applications: WB, IF-Cell, IHC-P, FC, IP, IF-Tissue
Clonality: Monoclonal
Clone number: PSH13-56
Form: Liquid
Storage condition: Shipped at 4℃. Store at +4℃ short term (1-2 weeks). It is recommended to aliquot into single-use upon delivery. Store at -20℃ long term.
Storage buffer: PBS (pH7.4), 0.1% BSA, 40% Glycerol. Preservative: 0.05% Sodium Azide.
Concentration: 1ug/ul
Purification: Protein A affinity purified.
Molecular weight: Predicted band size: 85 kDa
Isotype: IgG
Immunogen: Recombinant protein within human CD71 aa 89-760.
Positive control: K-562 cell lysate, Jurkat cell lysate, HeLa cell lysate, 293T cell lysate, K-562, human bone marrow tissue, human placenta tissue, mouse bone marrow tissue, rat bone marrow tissue.
Subcellular location: Cell membrane, Melanosome; Secreted.
Recommended Dilutions:
  WB
  IF-Cell
  IHC-P
  FC
  IP
  IF-Tissue

1:5,000
1:250
1:10,000
1:1,000
1-2μg/sample
1:1,000-1:2,000
Uniprot #: SwissProt: P02786 Human | Q62351 Mouse | Q99376 Rat
Alternative names: CD 71 CD71 CD71 antigen IMD46 OTTHUMP00000208523 OTTHUMP00000208524 OTTHUMP00000208525 p90 sTfR T9 TFR 1 TfR TfR1 TFR1_HUMAN TFRC TR Transferrin receptor (p90 CD71) Transferrin receptor protein 1, serum form Trfr
Images
HA723545_1.jpg Fig1: Western blot analysis of Transferrin Receptor (CD71) on different lysates with Rabbit anti-Transferrin Receptor (CD71) antibody (HA723545) at 1/5,000 dilution.

Lane 1: K-562 cell lysate
Lane 2: Jurkat cell lysate (low expression)
Lane 3: HeLa cell lysate
Lane 4: 293T cell lysate (low expression)

Lysates/proteins at 20 µg/Lane.

Predicted band size: 85 kDa
Observed band size: 90 kDa

Exposure time: 14 seconds; ECL: K1801;

4-20% SDS-PAGE gel.

Proteins were transferred to a PVDF membrane and blocked with 5% NFDM/TBST for 1 hour at room temperature. The primary antibody (HA723545) at 1/5,000 dilution was used in primary antibody dilution (K1803) at 4℃ overnight. Goat Anti-Rabbit IgG - HRP Secondary Antibody (HA1001) at 1/50,000 dilution was used for 1 hour at room temperature.
HA723545_2.jpg Fig2: Immunocytochemistry analysis of K-562 cells labeling Transferrin Receptor (CD71) with Rabbit anti-Transferrin Receptor (CD71) antibody (HA723545) at 1/250 dilution.

Cells were fixed in 4% paraformaldehyde for 15 minutes at room temperature, permeabilized with 0.1% Triton X-100 in PBS for 15 minutes at room temperature, then blocked with 1% BSA in 10% negative goat serum for 1 hour at room temperature. Cells were then incubated with Rabbit anti-Transferrin Receptor (CD71) antibody (HA723545) at 1/250 dilution in 1% BSA in PBST overnight at 4 ℃. Goat Anti-Rabbit IgG H&L (iFluor™ 488, HA1121) was used as the secondary antibody at 1/1,000 dilution. PBS instead of the primary antibody was used as the secondary antibody only control. Nuclear DNA was labelled in blue with DAPI.

Beta tubulin (HA601187, red) was stained at 1/100 dilution overnight at +4℃. Goat Anti-Mouse IgG H&L (iFluor™ 594, HA1126) was used as the secondary antibody at 1/1,000 dilution.
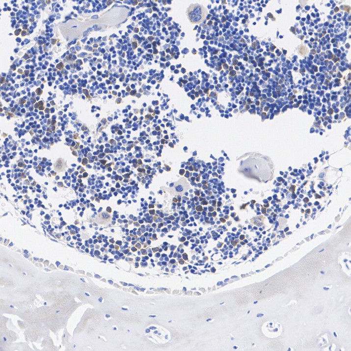
HA723545_3.jpg Fig3: Immunohistochemical analysis of paraffin-embedded human bone marrow tissue with Rabbit anti-Transferrin Receptor (CD71) antibody (HA723545) at 1/10,000 dilution.

The section was pre-treated using heat mediated antigen retrieval with Tris-EDTA buffer (pH 9.0) for 20 minutes. The tissues were blocked in 1% BSA for 20 minutes at room temperature, washed with ddH2O and PBS, and then probed with the primary antibody (HA723545) at 1/10,000 dilution for 1 hour at room temperature. The detection was performed using an HRP conjugated compact polymer system. DAB was used as the chromogen. Tissues were counterstained with hematoxylin and mounted with DPX.
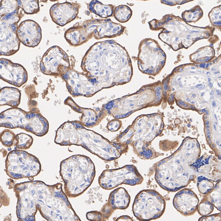
HA723545_4.jpg Fig4: Immunohistochemical analysis of paraffin-embedded human placenta tissue with Rabbit anti-Transferrin Receptor (CD71) antibody (HA723545) at 1/10,000 dilution.

The section was pre-treated using heat mediated antigen retrieval with Tris-EDTA buffer (pH 9.0) for 20 minutes. The tissues were blocked in 1% BSA for 20 minutes at room temperature, washed with ddH2O and PBS, and then probed with the primary antibody (HA723545) at 1/10,000 dilution for 1 hour at room temperature. The detection was performed using an HRP conjugated compact polymer system. DAB was used as the chromogen. Tissues were counterstained with hematoxylin and mounted with DPX.
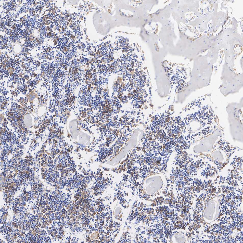
HA723545_5.jpg Fig5: Immunohistochemical analysis of paraffin-embedded mouse bone marrow tissue with Rabbit anti-Transferrin Receptor (CD71) antibody (HA723545) at 1/10,000 dilution.

The section was pre-treated using heat mediated antigen retrieval with Tris-EDTA buffer (pH 9.0) for 20 minutes. The tissues were blocked in 1% BSA for 20 minutes at room temperature, washed with ddH2O and PBS, and then probed with the primary antibody (HA723545) at 1/10,000 dilution for 1 hour at room temperature. The detection was performed using an HRP conjugated compact polymer system. DAB was used as the chromogen. Tissues were counterstained with hematoxylin and mounted with DPX.
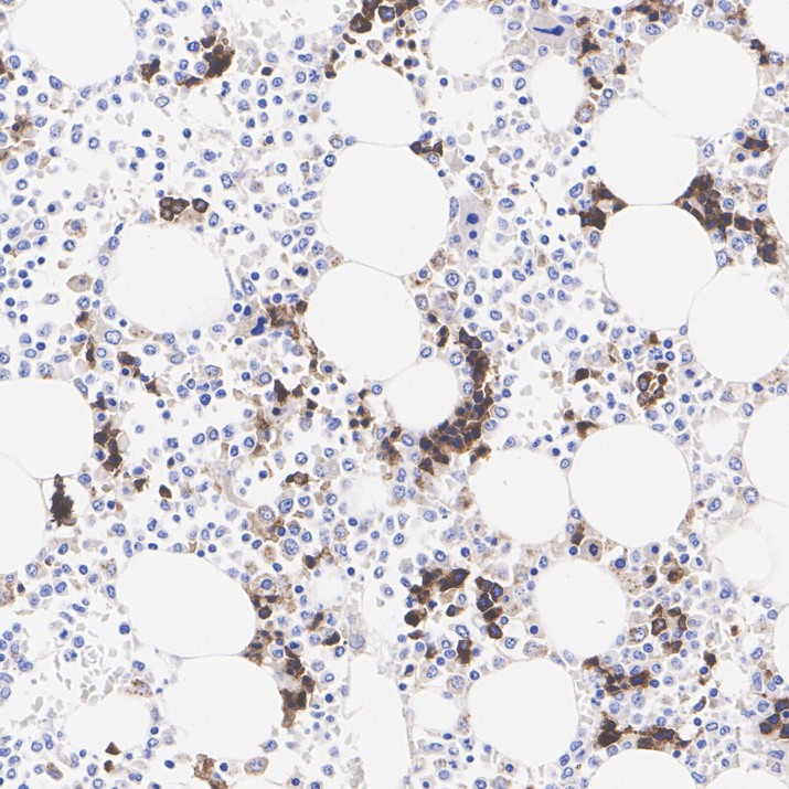
HA723545_6.jpg Fig6: Immunohistochemical analysis of paraffin-embedded rat bone marrow tissue with Rabbit anti-Transferrin Receptor (CD71) antibody (HA723545) at 1/10,000 dilution.

The section was pre-treated using heat mediated antigen retrieval with Tris-EDTA buffer (pH 9.0) for 20 minutes. The tissues were blocked in 1% BSA for 20 minutes at room temperature, washed with ddH2O and PBS, and then probed with the primary antibody (HA723545) at 1/10,000 dilution for 1 hour at room temperature. The detection was performed using an HRP conjugated compact polymer system. DAB was used as the chromogen. Tissues were counterstained with hematoxylin and mounted with DPX.
HA723545_7.jpg Fig7: Flow cytometric analysis of K-562 cells labeling Transferrin Receptor (CD71).

Cells were washed twice with cold PBS and resuspend. Then stained with the primary antibody (HA723545, 1/1,000) (red) compared with Rabbit IgG Isotype Control (green). After incubation of the primary antibody at +4℃ for an hour, the cells were stained with a iFluor™ 488 conjugate-Goat anti-Rabbit IgG Secondary antibody (HA1121) at 1/1,000 dilution for 30 minutes at +4℃. Unlabelled sample was used as a control (cells without incubation with primary antibody; black).
HA723545_8.jpg Fig8: Transferrin Receptor (CD71) was immunoprecipitated from 0.2 mg K-562 cell lysate with HA723545 at 2 µg/10 µl beads. Western blot was performed from the immunoprecipitate using HA723545 at 1/5,000 dilution. HRP Conjugated Anti-Rabbit IgG for IP Nano-secondary antibody at 1/5,000 dilution was used for 1 hour at room temperature.

Lane 1: K-562 cell lysate (input)
Lane 2: HA723545 IP in K-562 cell lysate
Lane 3: Rabbit IgG instead of HA723545 in K-562 cell lysate

Blocking/Dilution buffer: 5% NFDM/TBST
Exposure time: 2 seconds; ECL: K1801
HA723545_9.jpg Fig9: Application: IF-Tissue

Species: Human

Site: bone marrow

Sample: Paraffin-embedded section

Antibody concentration: 1/1,000
Note: All products are “FOR RESEARCH USE ONLY AND ARE NOT INTENDED FOR DIAGNOSTIC OR THERAPEUTIC USE”.