SOX9 Recombinant Rabbit Monoclonal Antibody [PSH13-59]
cat.: HA723548
Product Type: Recombinant Rabbit monoclonal IgG, primary antibodies
Species reactivity: Human, Mouse, Rat
Applications: IHC-Fr, IHC-P, WB, IF-Cell, IP, FC, ChIP
Clonality: Monoclonal
Clone number: PSH13-59
Form: Liquid
Storage condition: Shipped at 4℃. Store at +4℃ short term (1-2 weeks). It is recommended to aliquot into single-use upon delivery. Store at -20℃ long term.
Storage buffer: PBS (pH7.4), 0.1% BSA, 40% Glycerol. Preservative: 0.05% Sodium Azide.
Concentration: 1ug/ul
Purification: Protein A affinity purified.
Molecular weight: Predicted band size: 56 kDa
Isotype: IgG
Immunogen: Recombinant protein within mouse SOX9 aa 1-450.
Positive control: Human colon tissue, mouse brain tissue, mouse colon tissue, rat brain tissue, rat colon tissue, NIH/3T3 cell lysate, PANC-1 cell lysate, SW480 cell lysate, MDA-MB-231 cell lysate, SW480, NIH/3T3.
Subcellular location: Nucleus.
Recommended Dilutions:
  IHC-Fr
  IHC-P
  WB
  IF-Cell
  IP
  FC
  ChIP

1:500
1:1,000
1:5,000
1:2,000-1:5,000
1-2μg/sample
1:1,000
Use 5 μg for 25 μg of chromatin.
Uniprot #: SwissProt: P48436 Human | Q04887 Mouse | F1LYL9 Rat
Alternative names: campomelic dysplasia autosomal sex reversal CMD 1 CMD1 CMPD 1 CMPD1 SOX 9 Sox9 SOX9_HUMAN SRA 1 SRA1 SRXX2 SRXY10 SRY (sex determining region Y) box 9 (campomelic dysplasia autosomal SRY (sex determining region Y) box 9 SRY (sex determining region Y)-box 9 SRY (sex-determining region Y)-box 9 protein SRY related HMG box gene 9 Transcription factor SOX 9 Transcription factor SOX-9 transcription factor SOX9
Images
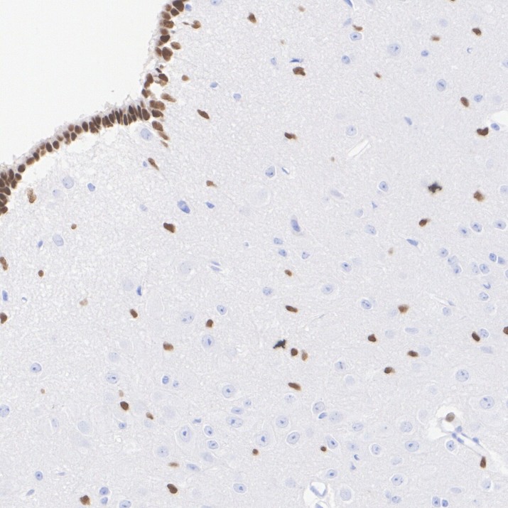
HA723548_1.jpg Fig1: Application: IHC-Fr

Species: Mouse

Site: brain

Sample: Frozen section

Antibody concentration: 1/500

Antigen retrieval: Not required
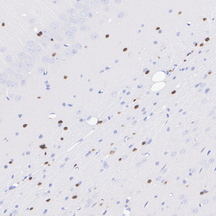
HA723548_2.jpg Fig2: Application: IHC-Fr

Species: Rat

Site: brain

Sample: Frozen section

Antibody concentration: 1/500

Antigen retrieval: Not required
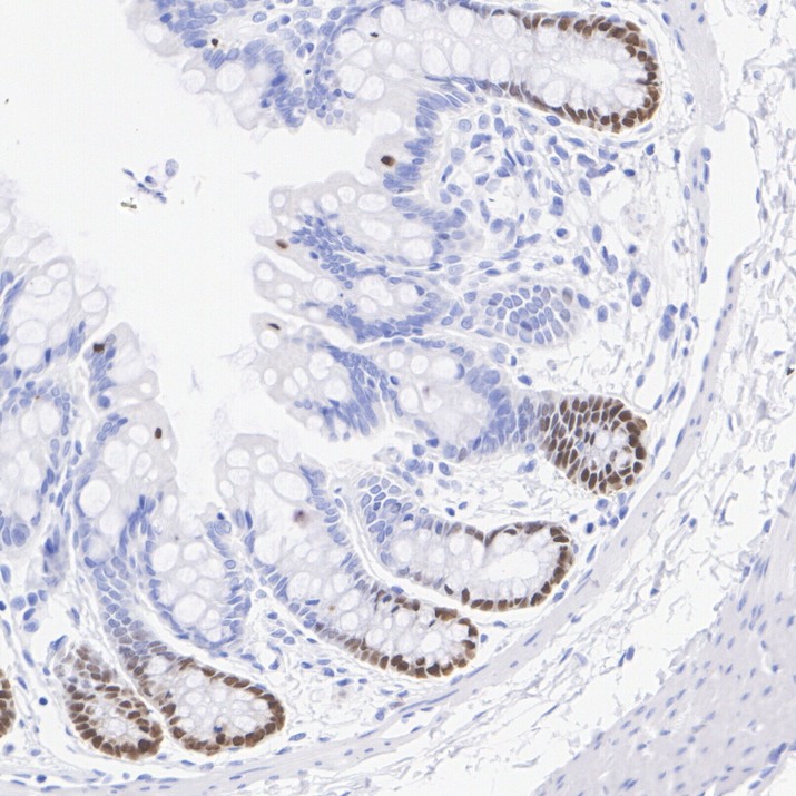
HA723548_3.jpg Fig3: Immunohistochemical analysis of paraffin-embedded human colon tissue with Rabbit anti-SOX9 antibody (HA723548) at 1/1,000 dilution.

The section was pre-treated using heat mediated antigen retrieval with Tris-EDTA buffer (pH 9.0) for 20 minutes. The tissues were blocked in 1% BSA for 20 minutes at room temperature, washed with ddH2O and PBS, and then probed with the primary antibody (HA723548) at 1/1,000 dilution for 1 hour at room temperature. The detection was performed using an HRP conjugated compact polymer system. DAB was used as the chromogen. Tissues were counterstained with hematoxylin and mounted with DPX.
HA723548_4.jpg Fig4: Immunohistochemical analysis of paraffin-embedded mouse brain tissue with Rabbit anti-SOX9 antibody (HA723548) at 1/1,000 dilution.

The section was pre-treated using heat mediated antigen retrieval with Tris-EDTA buffer (pH 9.0) for 20 minutes. The tissues were blocked in 1% BSA for 20 minutes at room temperature, washed with ddH2O and PBS, and then probed with the primary antibody (HA723548) at 1/1,000 dilution for 1 hour at room temperature. The detection was performed using an HRP conjugated compact polymer system. DAB was used as the chromogen. Tissues were counterstained with hematoxylin and mounted with DPX.
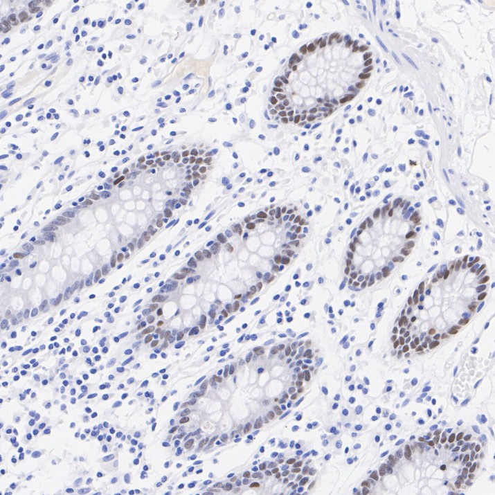
HA723548_5.jpg Fig5: Immunohistochemical analysis of paraffin-embedded mouse colon tissue with Rabbit anti-SOX9 antibody (HA723548) at 1/1,000 dilution.

The section was pre-treated using heat mediated antigen retrieval with Tris-EDTA buffer (pH 9.0) for 20 minutes. The tissues were blocked in 1% BSA for 20 minutes at room temperature, washed with ddH2O and PBS, and then probed with the primary antibody (HA723548) at 1/1,000 dilution for 1 hour at room temperature. The detection was performed using an HRP conjugated compact polymer system. DAB was used as the chromogen. Tissues were counterstained with hematoxylin and mounted with DPX.
HA723548_6.jpg Fig6: Immunohistochemical analysis of paraffin-embedded rat brain tissue with Rabbit anti-SOX9 antibody (HA723548) at 1/1,000 dilution.

The section was pre-treated using heat mediated antigen retrieval with Tris-EDTA buffer (pH 9.0) for 20 minutes. The tissues were blocked in 1% BSA for 20 minutes at room temperature, washed with ddH2O and PBS, and then probed with the primary antibody (HA723548) at 1/1,000 dilution for 1 hour at room temperature. The detection was performed using an HRP conjugated compact polymer system. DAB was used as the chromogen. Tissues were counterstained with hematoxylin and mounted with DPX.
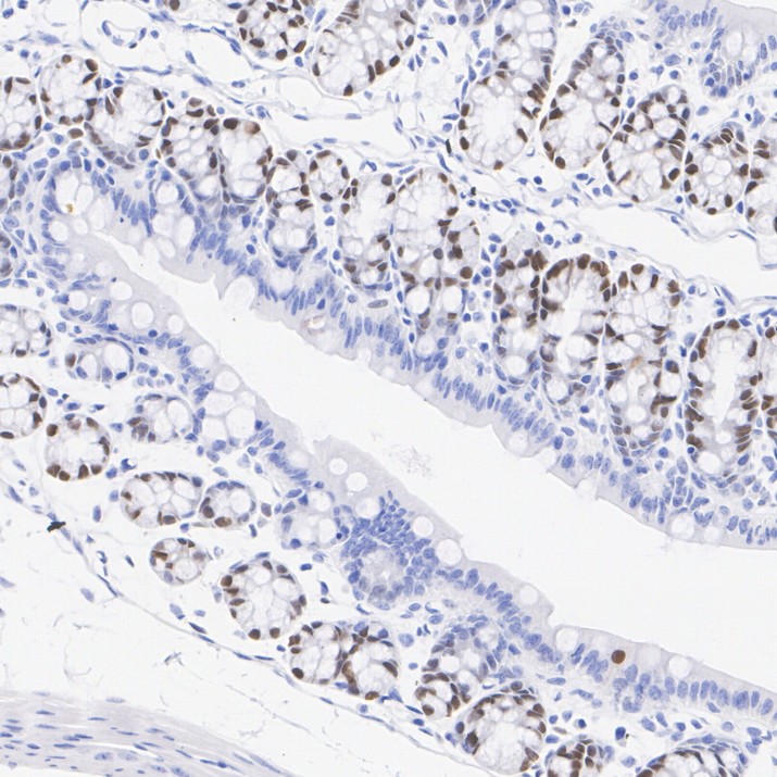
HA723548_7.jpg Fig7: Immunohistochemical analysis of paraffin-embedded rat colon tissue with Rabbit anti-SOX9 antibody (HA723548) at 1/1,000 dilution.

The section was pre-treated using heat mediated antigen retrieval with Tris-EDTA buffer (pH 9.0) for 20 minutes. The tissues were blocked in 1% BSA for 20 minutes at room temperature, washed with ddH2O and PBS, and then probed with the primary antibody (HA723548) at 1/1,000 dilution for 1 hour at room temperature. The detection was performed using an HRP conjugated compact polymer system. DAB was used as the chromogen. Tissues were counterstained with hematoxylin and mounted with DPX.
HA723548_8.jpg Fig8: Western blot analysis of SOX9 on different lysates with Rabbit anti-SOX9 antibody (HA723548) at 1/5,000 dilution.

Lane 1: NIH/3T3 cell lysate
Lane 2: PANC-1 cell lysate
Lane 3: SW480 cell lysate
Lane 4: MDA-MB-231 cell lysate
Lane 5: MCF7 cell lysate (negative)

Lysates/proteins at 20 µg/Lane.

Predicted band size: 56 kDa
Observed band size: 50-70 kDa

Exposure time: 18 seconds; ECL: K1801;

4-20% SDS-PAGE gel.

Proteins were transferred to a PVDF membrane and blocked with 5% NFDM/TBST for 1 hour at room temperature. The primary antibody (HA723548) at 1/5,000 dilution was used in primary antibody dilution (K1803) at 4℃ overnight. Goat Anti-Rabbit IgG - HRP Secondary Antibody (HA1001) at 1/50,000 dilution was used for 1 hour at room temperature.
HA723548_9.jpg Fig9: Immunocytochemistry analysis of SW480 cells (positive) and MCF7 cells (negative) labeling SOX9 with Rabbit anti-SOX9 antibody (HA723548) at 1/5,000 dilution.

Cells were fixed in 4% paraformaldehyde for 15 minutes at room temperature, permeabilized with 0.1% Triton X-100 in PBS for 15 minutes at room temperature, then blocked with 1% BSA in 10% negative goat serum for 1 hour at room temperature. Cells were then incubated with Rabbit anti-SOX9 antibody (HA723548) at 1/5,000 dilution in 1% BSA in PBST overnight at 4 ℃. Goat Anti-Rabbit IgG H&L (iFluor™ 488, HA1121) was used as the secondary antibody at 1/1,000 dilution. PBS instead of the primary antibody was used as the secondary antibody only control. Nuclear DNA was labelled in blue with DAPI.

Beta tubulin (HA601187, red) was stained at 1/100 dilution overnight at +4℃. Goat Anti-Mouse IgG H&L (iFluor™ 594, HA1126) was used as the secondary antibody at 1/1,000 dilution.
HA723548_10.jpg Fig10: Immunocytochemistry analysis of NIH/3T3 cells labeling SOX9 with Rabbit anti-SOX9 antibody (HA723548) at 1/2,000 dilution.

Cells were fixed in 4% paraformaldehyde for 15 minutes at room temperature, permeabilized with 0.1% Triton X-100 in PBS for 15 minutes at room temperature, then blocked with 1% BSA in 10% negative goat serum for 1 hour at room temperature. Cells were then incubated with Rabbit anti-SOX9 antibody (HA723548) at 1/2,000 dilution in 1% BSA in PBST overnight at 4 ℃. Goat Anti-Rabbit IgG H&L (iFluor™ 488, HA1121) was used as the secondary antibody at 1/1,000 dilution. PBS instead of the primary antibody was used as the secondary antibody only control. Nuclear DNA was labelled in blue with DAPI.

Beta tubulin (HA601187, red) was stained at 1/100 dilution overnight at +4℃. Goat Anti-Mouse IgG H&L (iFluor™ 594, HA1126) was used as the secondary antibody at 1/1,000 dilution.
HA723548_11.jpg Fig11: SOX9 was immunoprecipitated from 0.2 mg MDA-MB-231 cell lysate with HA723548 at 2 µg/10 µl beads. Western blot was performed from the immunoprecipitate using HA723548 at 1/5,000 dilution. HRP Conjugated Anti-Rabbit IgG for IP Nano-secondary antibody at 1/5,000 dilution was used for 1 hour at room temperature.

Lane 1: MDA-MB-231 cell lysate (input)
Lane 2: HA723548 IP in MDA-MB-231 cell lysate
Lane 3: Rabbit IgG instead of HA723548 in MDA-MB-231 cell lysate

Blocking/Dilution buffer: 5% NFDM/TBST
Exposure time: 46 seconds; ECL: K1801
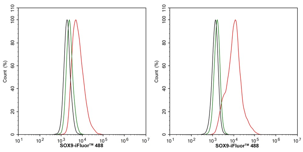
HA723548_12.jpg Fig12: Flow cytometric analysis of MCF7 (left, negative) and SW480 (right, positive) cells labeling SOX9.

Cells were fixed and permeabilized. Then stained with the primary antibody (HA723548, 1/1,000) (red) compared with Rabbit IgG Isotype Control (green). After incubation of the primary antibody at +4℃ for an hour, the cells were stained with a iFluor™ 488 conjugate-Goat anti-Rabbit IgG Secondary antibody (HA1121) at 1/1,000 dilution for 30 minutes at +4℃. Unlabelled sample was used as a control (cells without incubation with primary antibody; black).
HA723548_13.jpg Fig13: Chromatin immunoprecipitations were performed with cross-linked chromatin from SW480 cells with SOX9 (HA723548) or Normal Rabbit IgG according to the ChIP protocol. The enriched DNA was quantified by real-time PCR using indicated primers. The amount of immunoprecipitated DNA in each sample is represented as signal relative to the total amount of input chromatin, which is equivalent to one.
Note: All products are “FOR RESEARCH USE ONLY AND ARE NOT INTENDED FOR DIAGNOSTIC OR THERAPEUTIC USE”.