Transketolase Recombinant Rabbit Monoclonal Antibody [PSH13-70]
cat.: HA723559
Product Type: Recombinant Rabbit monoclonal IgG, primary antibodies
Species reactivity: Human, Mouse, Rat, Monkey
Applications: WB, IF-Cell, IHC-P, FC
Clonality: Monoclonal
Clone number: PSH13-70
Form: Liquid
Storage condition: Shipped at 4℃. Store at +4℃ short term (1-2 weeks). It is recommended to aliquot into single-use upon delivery. Store at -20℃ long term.
Storage buffer: PBS (pH7.4), 0.1% BSA, 40% Glycerol. Preservative: 0.05% Sodium Azide.
Concentration: 0.2ug/ul
Purification: Protein A affinity purified.
Molecular weight: Predicted band size: 68 kDa
Isotype: IgG
Immunogen: Synthetic peptide within human Transketolase aa 41-90.
Positive control: Jurkat cell lysate, HepG2 cell lysate, HeLa cell lysate, NIH/3T3 cell lysate, COS-1 cell lysate, Mouse liver tissue lysate, Rat liver tissue lysate, HeLa, NIH/3T3, C6, human colon tissue, human testis tissue, mouse colon tissue, mouse liver tissue, rat colon tissue, rat liver tissue.
Subcellular location: Cytosol, endoplasmic reticulum membrane, extracellular exosome, nuclear body, nucleoplasm, peroxisome, vesicle.
Recommended Dilutions:
  WB
  IF-Cell
  IHC-P
  FC

1:30,000
1:1,000
1:1,000
1:2,000
Uniprot #: SwissProt: P29401 Human | P40142 Mouse | P50137 Rat
Alternative names: EC 2.2.1.1 FLJ34765 TK TKT 1 tkt TKT_HUMAN TKT1 Transketolase (Wernicke Korsakoff syndrome) Transketolase
Images
HA723559_1.jpg Fig1: Western blot analysis of Transketolase on different lysates with Rabbit anti-Transketolase antibody (HA723559) at 1/30,000 dilution.

Lane 1: Jurkat cell lysate (20 µg/Lane)
Lane 2: HepG2 cell lysate (20 µg/Lane)
Lane 3: HeLa cell lysate (20 µg/Lane)
Lane 4: NIH/3T3 cell lysate (20 µg/Lane)
Lane 5: COS-1 cell lysate (20 µg/Lane)
Lane 6: Mouse liver tissue lysate (30 µg/Lane)
Lane 7: Rat liver tissue lysate (30 µg/Lane)

Predicted band size: 68 kDa
Observed band size: 68 kDa

Exposure time: 4 seconds; ECL: K1801;

4-20% SDS-PAGE gel.

Proteins were transferred to a PVDF membrane and blocked with 5% NFDM/TBST for 1 hour at room temperature. The primary antibody (HA723559) at 1/30,000 dilution was used in primary antibody dilution (K1803) at 4℃ overnight. Goat Anti-Rabbit IgG - HRP Secondary Antibody (HA1001) at 1/50,000 dilution was used for 1 hour at room temperature.
HA723559_2.jpg Fig2: Immunocytochemistry analysis of HeLa cells labeling Transketolase with Rabbit anti-Transketolase antibody (HA723559) at 1/1,000 dilution.

Cells were fixed in 4% paraformaldehyde for 15 minutes at room temperature, permeabilized with 0.1% Triton X-100 in PBS for 15 minutes at room temperature, then blocked with 1% BSA in 10% negative goat serum for 1 hour at room temperature. Cells were then incubated with Rabbit anti-Transketolase antibody (HA723559) at 1/1,000 dilution in 1% BSA in PBST overnight at 4 ℃. Goat Anti-Rabbit IgG H&L (iFluor™ 488, HA1121) was used as the secondary antibody at 1/1,000 dilution. PBS instead of the primary antibody was used as the secondary antibody only control. Nuclear DNA was labelled in blue with DAPI.

Beta tubulin (HA601187, red) was stained at 1/100 dilution overnight at +4℃. Goat Anti-Mouse IgG H&L (iFluor™ 594, HA1126) was used as the secondary antibody at 1/1,000 dilution.
HA723559_3.jpg Fig3: Immunocytochemistry analysis of NIH/3T3 cells labeling Transketolase with Rabbit anti-Transketolase antibody (HA723559) at 1/1,000 dilution.

Cells were fixed in 4% paraformaldehyde for 15 minutes at room temperature, permeabilized with 0.1% Triton X-100 in PBS for 15 minutes at room temperature, then blocked with 1% BSA in 10% negative goat serum for 1 hour at room temperature. Cells were then incubated with Rabbit anti-Transketolase antibody (HA723559) at 1/1,000 dilution in 1% BSA in PBST overnight at 4 ℃. Goat Anti-Rabbit IgG H&L (iFluor™ 488, HA1121) was used as the secondary antibody at 1/1,000 dilution. PBS instead of the primary antibody was used as the secondary antibody only control. Nuclear DNA was labelled in blue with DAPI.

Beta tubulin (HA601187, red) was stained at 1/100 dilution overnight at +4℃. Goat Anti-Mouse IgG H&L (iFluor™ 594, HA1126) was used as the secondary antibody at 1/1,000 dilution.
HA723559_4.jpg Fig4: Immunocytochemistry analysis of C6 cells labeling Transketolase with Rabbit anti-Transketolase antibody (HA723559) at 1/1,000 dilution.

Cells were fixed in 4% paraformaldehyde for 15 minutes at room temperature, permeabilized with 0.1% Triton X-100 in PBS for 15 minutes at room temperature, then blocked with 1% BSA in 10% negative goat serum for 1 hour at room temperature. Cells were then incubated with Rabbit anti-Transketolase antibody (HA723559) at 1/1,000 dilution in 1% BSA in PBST overnight at 4 ℃. Goat Anti-Rabbit IgG H&L (iFluor™ 488, HA1121) was used as the secondary antibody at 1/1,000 dilution. PBS instead of the primary antibody was used as the secondary antibody only control. Nuclear DNA was labelled in blue with DAPI.

Beta tubulin (HA601187, red) was stained at 1/100 dilution overnight at +4℃. Goat Anti-Mouse IgG H&L (iFluor™ 594, HA1126) was used as the secondary antibody at 1/1,000 dilution.
HA723559_5.jpg Fig5: Immunohistochemical analysis of paraffin-embedded human colon tissue with Rabbit anti-Transketolase antibody (HA723559) at 1/1,000 dilution.

The section was pre-treated using heat mediated antigen retrieval with Tris-EDTA buffer (pH 9.0) for 20 minutes. The tissues were blocked in 1% BSA for 20 minutes at room temperature, washed with ddH2O and PBS, and then probed with the primary antibody (HA723559) at 1/1,000 dilution for 1 hour at room temperature. The detection was performed using an HRP conjugated compact polymer system. DAB was used as the chromogen. Tissues were counterstained with hematoxylin and mounted with DPX.
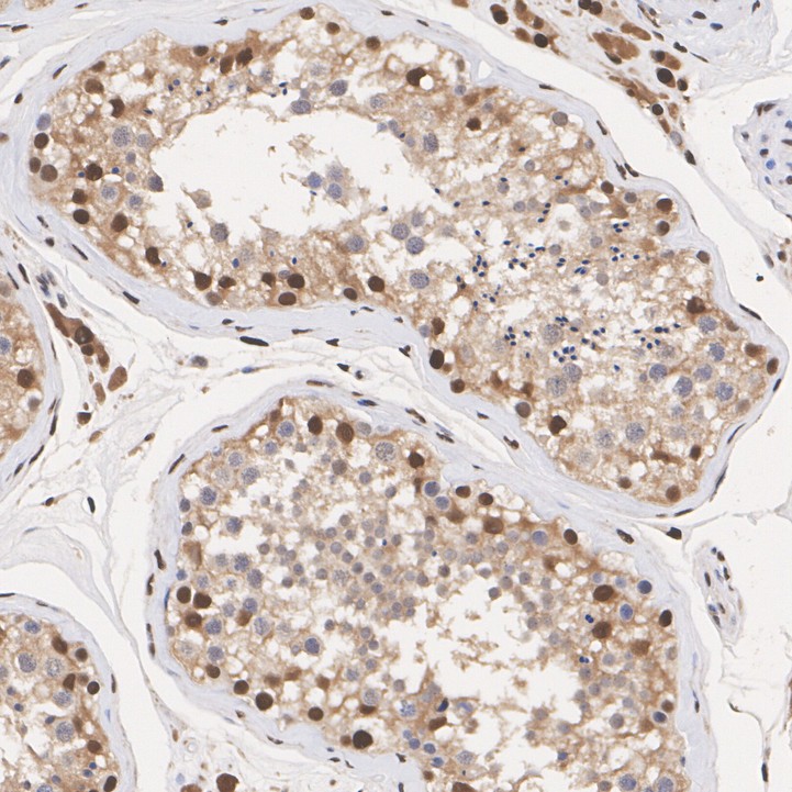
HA723559_6.jpg Fig6: Immunohistochemical analysis of paraffin-embedded human testis tissue with Rabbit anti-Transketolase antibody (HA723559) at 1/1,000 dilution.

The section was pre-treated using heat mediated antigen retrieval with Tris-EDTA buffer (pH 9.0) for 20 minutes. The tissues were blocked in 1% BSA for 20 minutes at room temperature, washed with ddH2O and PBS, and then probed with the primary antibody (HA723559) at 1/1,000 dilution for 1 hour at room temperature. The detection was performed using an HRP conjugated compact polymer system. DAB was used as the chromogen. Tissues were counterstained with hematoxylin and mounted with DPX.
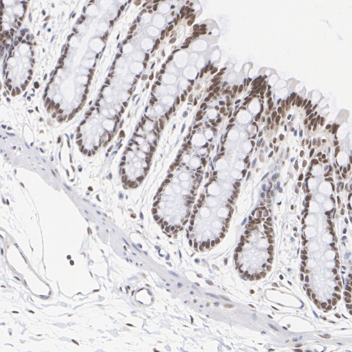
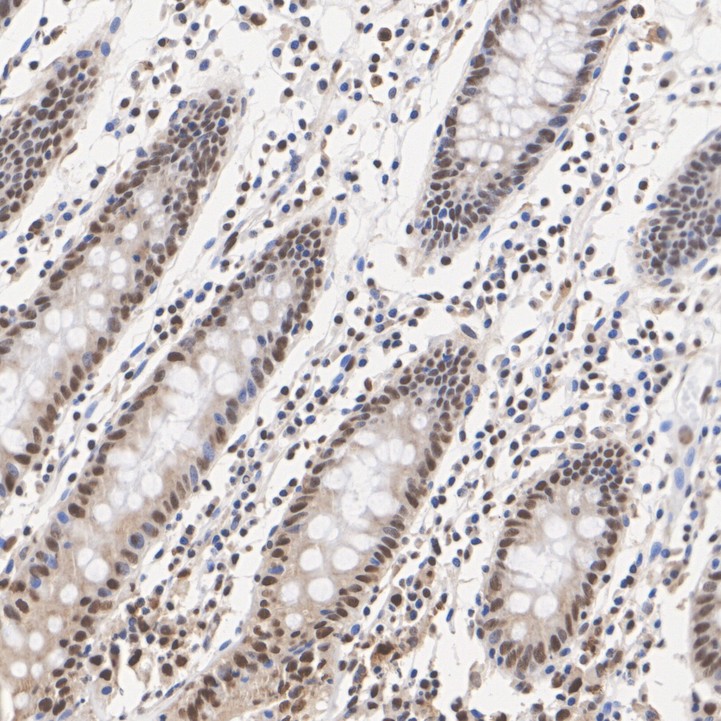
HA723559_7.jpg Fig7: Immunohistochemical analysis of paraffin-embedded mouse colon tissue with Rabbit anti-Transketolase antibody (HA723559) at 1/1,000 dilution.

The section was pre-treated using heat mediated antigen retrieval with Tris-EDTA buffer (pH 9.0) for 20 minutes. The tissues were blocked in 1% BSA for 20 minutes at room temperature, washed with ddH2O and PBS, and then probed with the primary antibody (HA723559) at 1/1,000 dilution for 1 hour at room temperature. The detection was performed using an HRP conjugated compact polymer system. DAB was used as the chromogen. Tissues were counterstained with hematoxylin and mounted with DPX.
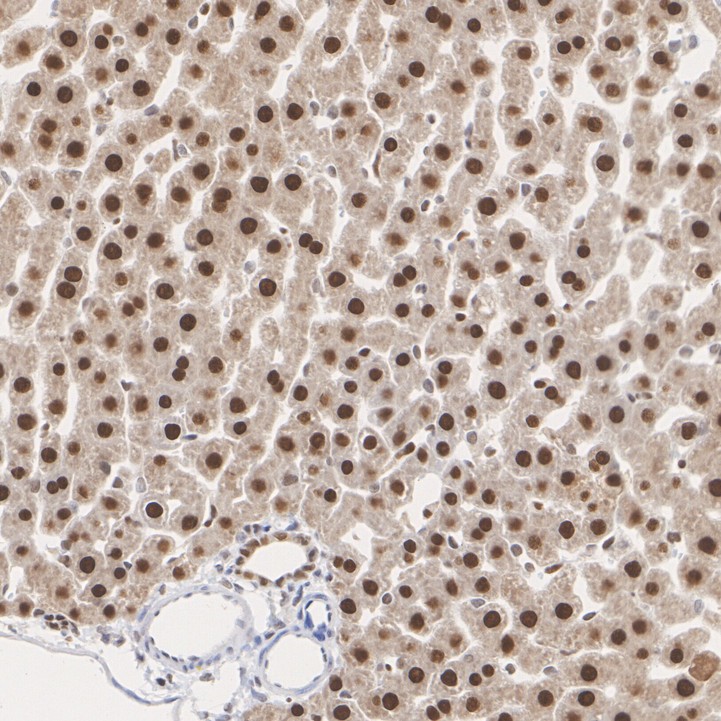
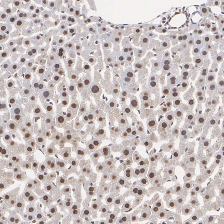
HA723559_8.jpg Fig8: Immunohistochemical analysis of paraffin-embedded mouse liver tissue with Rabbit anti-Transketolase antibody (HA723559) at 1/1,000 dilution.

The section was pre-treated using heat mediated antigen retrieval with Tris-EDTA buffer (pH 9.0) for 20 minutes. The tissues were blocked in 1% BSA for 20 minutes at room temperature, washed with ddH2O and PBS, and then probed with the primary antibody (HA723559) at 1/1,000 dilution for 1 hour at room temperature. The detection was performed using an HRP conjugated compact polymer system. DAB was used as the chromogen. Tissues were counterstained with hematoxylin and mounted with DPX.
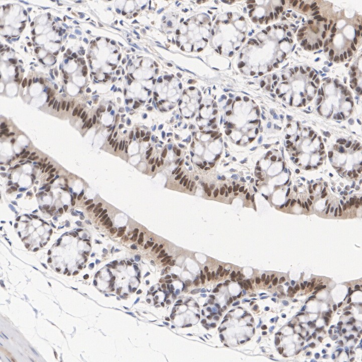
HA723559_9.jpg Fig9: Immunohistochemical analysis of paraffin-embedded rat colon tissue with Rabbit anti-Transketolase antibody (HA723559) at 1/1,000 dilution.

The section was pre-treated using heat mediated antigen retrieval with Tris-EDTA buffer (pH 9.0) for 20 minutes. The tissues were blocked in 1% BSA for 20 minutes at room temperature, washed with ddH2O and PBS, and then probed with the primary antibody (HA723559) at 1/1,000 dilution for 1 hour at room temperature. The detection was performed using an HRP conjugated compact polymer system. DAB was used as the chromogen. Tissues were counterstained with hematoxylin and mounted with DPX.
HA723559_10.jpg Fig10: Immunohistochemical analysis of paraffin-embedded rat liver tissue with Rabbit anti-Transketolase antibody (HA723559) at 1/1,000 dilution.

The section was pre-treated using heat mediated antigen retrieval with Tris-EDTA buffer (pH 9.0) for 20 minutes. The tissues were blocked in 1% BSA for 20 minutes at room temperature, washed with ddH2O and PBS, and then probed with the primary antibody (HA723559) at 1/1,000 dilution for 1 hour at room temperature. The detection was performed using an HRP conjugated compact polymer system. DAB was used as the chromogen. Tissues were counterstained with hematoxylin and mounted with DPX.
HA723559_11.jpg Fig11: Flow cytometric analysis of HeLa cells labeling Transketolase.

Cells were fixed and permeabilized. Then stained with the primary antibody (HA723559, 1/2,000) (red) compared with Rabbit IgG Isotype Control (green). After incubation of the primary antibody at +4℃ for an hour, the cells were stained with a iFluor™ 488 conjugate-Goat anti-Rabbit IgG Secondary antibody (HA1121) at 1/1,000 dilution for 30 minutes at +4℃. Unlabelled sample was used as a control (cells without incubation with primary antibody; black).
HA723559_12.jpg Fig12: Flow cytometric analysis of NIH/3T3 cells labeling Transketolase.

Cells were fixed and permeabilized. Then stained with the primary antibody (HA723559, 1/2,000) (red) compared with Rabbit IgG Isotype Control (green). After incubation of the primary antibody at +4℃ for an hour, the cells were stained with a iFluor™ 488 conjugate-Goat anti-Rabbit IgG Secondary antibody (HA1121) at 1/1,000 dilution for 30 minutes at +4℃. Unlabelled sample was used as a control (cells without incubation with primary antibody; black).
Note: All products are “FOR RESEARCH USE ONLY AND ARE NOT INTENDED FOR DIAGNOSTIC OR THERAPEUTIC USE”.