E-Cadherin Recombinant Rabbit Monoclonal Antibody [PSH13-75]
cat.: HA723564
Product Type: Recombinant Rabbit monoclonal IgG, primary antibodies
Species reactivity: Human, Mouse, Rat
Applications: WB, IHC-Fr, IHC-P, IF-Cell, FC, IP
Clonality: Monoclonal
Clone number: PSH13-75
Form: Liquid
Storage condition: Shipped at 4℃. Store at +4℃ short term (1-2 weeks). It is recommended to aliquot into single-use upon delivery. Store at -20℃ long term.
Storage buffer: PBS (pH7.4), 0.1% BSA, 40% Glycerol. Preservative: 0.05% Sodium Azide.
Concentration: 1ug/ul
Purification: Protein A affinity purified.
Molecular weight: Predicted band size: 98 kDa
Isotype: IgG
Immunogen: Recombinant protein within mouse E-Cadherin aa 157-709.
Positive control: 4T1 cell lysate, Mouse small intestine tissue lysate, Mouse colon tissue lysate, Mouse pancreas tissue lysate, Rat pancreas tissue lysate, Rat lung tissue lysate, Rat colon tissue lysate, MCF7 cell lysate, HT-29 cell lysate, Caco-2 cell lysate, mouse colon tissue, rat colon tissue, MCF7, 4T1.
Subcellular location: Cell junction, adherens junction, Cell membrane, Endosome, Golgi apparatus, trans-Golgi network, Cytoplasm, Cell junction, desmosome.
Recommended Dilutions:
  WB
  IHC-Fr
  IHC-P
  IF-Cell
  FC
  IP

1:5,000
1:500
1:5,000
1:100-1:500
1:1,000
1-2μg/sample
Uniprot #: SwissProt: P12830 Human | P09803 Mouse | Q9R0T4 Rat
Alternative names: Arc 1 CADH1_HUMAN Cadherin 1 cadherin 1 type 1 E-cadherin Cadherin-1 Cadherin1 CAM 120/80 CD 324 CD324 CD324 antigen cdh1 CDHE E-Cad/CTF3 E-cadherin ECAD Epithelial cadherin epithelial calcium dependant adhesion protein LCAM Liver cell adhesion molecule UVO Uvomorulin
Images
HA723564_1.jpg Fig1: Western blot analysis of E-Cadherin on different lysates with Rabbit anti-E-Cadherin antibody (HA723564) at 1/5,000 dilution.

Lane 1: 4T1 cell lysate (20 µg/Lane)
Lane 2: C2C12 cell lysate (negative) (20 µg/Lane)
Lane 3: Mouse small intestine tissue lysate (30 µg/Lane)
Lane 4: Mouse colon tissue lysate (30 µg/Lane)
Lane 5: Mouse pancreas tissue lysate (30 µg/Lane)
Lane 6: Rat pancreas tissue lysate (30 µg/Lane)
Lane 7: Rat lung tissue lysate (30 µg/Lane)
Lane 8: Rat colon tissue lysate (30 µg/Lane)
Lane 9: MCF7 cell lysate (20 µg/Lane)
Lane 10: MDA-MB-231 cell lysate (negative) (20 µg/Lane)
Lane 11: HT-29 cell lysate (20 µg/Lane)
Lane 12: Caco-2 cell lysate (20 µg/Lane)

Predicted band size: 98 kDa
Observed band size: 75-130 kDa

Exposure time: Lane 1-5: 10 seconds; Lane 3: 1 minute 16 seconds; ECL: K1801;

4-20% SDS-PAGE gel.

Proteins were transferred to a PVDF membrane and blocked with 5% NFDM/TBST for 1 hour at room temperature. The primary antibody (HA723564) at 1/5,000 dilution was used in primary antibody dilution (K1803) at 4℃ overnight. Goat Anti-Rabbit IgG - HRP Secondary Antibody (HA1001) at 1/50,000 dilution was used for 1 hour at room temperature.
HA723564_2.jpg Fig2: Application: IHC-Fr

Species: Mouse

Site: colon

Sample: Frozen section

Antibody concentration: 1/500

Antigen retrieval: Not required
HA723564_3.jpg Fig3: Application: IHC-Fr

Species: Rat

Site: colon

Sample: Frozen section

Antibody concentration: 1/500

Antigen retrieval: Not required
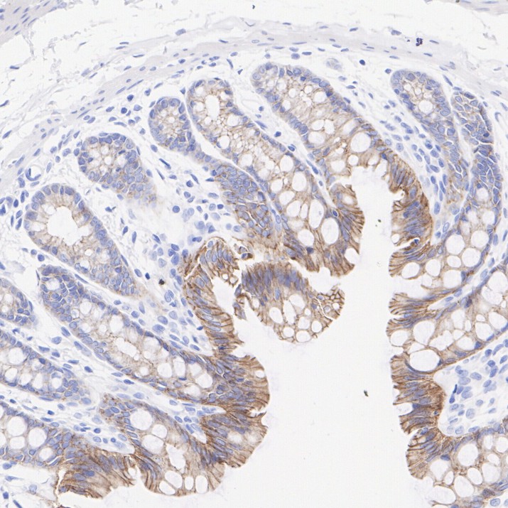
HA723564_4.jpg Fig4: Immunohistochemical analysis of paraffin-embedded mouse colon tissue with Rabbit anti-E-Cadherin antibody (HA723564) at 1/5,000 dilution.

The section was pre-treated using heat mediated antigen retrieval with Tris-EDTA buffer (pH 9.0) for 20 minutes. The tissues were blocked in 1% BSA for 20 minutes at room temperature, washed with ddH2O and PBS, and then probed with the primary antibody (HA723564) at 1/5,000 dilution for 1 hour at room temperature. The detection was performed using an HRP conjugated compact polymer system. DAB was used as the chromogen. Tissues were counterstained with hematoxylin and mounted with DPX.
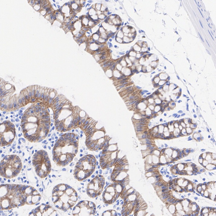
HA723564_5.jpg Fig5: Immunohistochemical analysis of paraffin-embedded rat colon tissue with Rabbit anti-E-Cadherin antibody (HA723564) at 1/5,000 dilution.

The section was pre-treated using heat mediated antigen retrieval with Tris-EDTA buffer (pH 9.0) for 20 minutes. The tissues were blocked in 1% BSA for 20 minutes at room temperature, washed with ddH2O and PBS, and then probed with the primary antibody (HA723564) at 1/5,000 dilution for 1 hour at room temperature. The detection was performed using an HRP conjugated compact polymer system. DAB was used as the chromogen. Tissues were counterstained with hematoxylin and mounted with DPX.
HA723564_6.jpg Fig6: Immunocytochemistry analysis of 4T1 (positive) and C2C12 (negative) labeling E-Cadherin with Rabbit anti-E-Cadherin antibody (HA723564) at 1/500 dilution.

Cells were fixed in 4% paraformaldehyde for 15 minutes at room temperature, permeabilized with 0.1% Triton X-100 in PBS for 15 minutes at room temperature, then blocked with 1% BSA in 10% negative goat serum for 1 hour at room temperature. Cells were then incubated with Rabbit anti-E-Cadherin antibody (HA723564) at 1/500 dilution in 1% BSA in PBST overnight at 4 ℃. Goat Anti-Rabbit IgG H&L (iFluor™ 488, HA1121) was used as the secondary antibody at 1/1,000 dilution. PBS instead of the primary antibody was used as the secondary antibody only control. Nuclear DNA was labelled in blue with DAPI.

Beta tubulin (HA601187, red) was stained at 1/100 dilution overnight at +4℃. Goat Anti-Mouse IgG H&L (iFluor™ 594, HA1126) was used as the secondary antibody at 1/1,000 dilution.
HA723564_7.jpg Fig7: Immunocytochemistry analysis of MCF7 cells labeling E-Cadherin with Rabbit anti-E-Cadherin antibody (HA723564) at 1/100 dilution.

Cells were fixed in 4% paraformaldehyde for 15 minutes at room temperature, permeabilized with 0.1% Triton X-100 in PBS for 15 minutes at room temperature, then blocked with 1% BSA in 10% negative goat serum for 1 hour at room temperature. Cells were then incubated with Rabbit anti-E-Cadherin antibody (HA723564) at 1/100 dilution in 1% BSA in PBST overnight at 4 ℃. Goat Anti-Rabbit IgG H&L (iFluor™ 488, HA1121) was used as the secondary antibody at 1/1,000 dilution. PBS instead of the primary antibody was used as the secondary antibody only control. Nuclear DNA was labelled in blue with DAPI.

Beta tubulin (HA601187, red) was stained at 1/100 dilution overnight at +4℃. Goat Anti-Mouse IgG H&L (iFluor™ 594, HA1126) was used as the secondary antibody at 1/1,000 dilution.
HA723564_8.jpg Fig8: Flow cytometric analysis of C2C12 (left, negative) and 4T1 (right, positive) cells labeling E-Cadherin.

Cells were washed twice with cold PBS and resuspend. Then stained with the primary antibody (HA723564, 1/1,000) (red) compared with Rabbit IgG Isotype Control (green). After incubation of the primary antibody at +4℃ for an hour, the cells were stained with a iFluor™ 488 conjugate-Goat anti-Rabbit IgG Secondary antibody (HA1121) at 1/1,000 dilution for 30 minutes at +4℃. Unlabelled sample was used as a control (cells without incubation with primary antibody; black).
HA723564_9.jpg Fig9: E-Cadherin was immunoprecipitated from 0.2 mg 4T1 cell lysate with HA723564 at 2 µg/10 µl beads. Western blot was performed from the immunoprecipitate using HA723564 at 1/5,000 dilution. HRP Conjugated Anti-Rabbit IgG for IP Nano-secondary antibody at 1/5,000 dilution was used for 1 hour at room temperature.

Lane 1: 4T1 cell lysate (input)
Lane 2: HA723564 IP in 4T1 cell lysate
Lane 3: Rabbit IgG instead of HA723564 in 4T1 cell lysate

Blocking/Dilution buffer: 5% NFDM/TBST
Exposure time: 46 seconds; ECL: K1801
HA723564_10.jpg Fig10: Western blot analysis of E-Cadherin on different lysates with Rabbit anti-E-Cadherin antibody (HA723564) at 1/5,000 dilution.

Lane 1: His-tagged Mouse E-cadherin recombinant protein
Lane 2: His-tagged Mouse P-cadherin recombinant protein

Lysates/proteins at 20 ng/Lane.

Exposure time: 7 seconds; ECL: K1801;

4-20% SDS-PAGE gel.

Proteins were transferred to a PVDF membrane and blocked with 5% NFDM/TBST for 1 hour at room temperature. The primary antibody (HA723564) at 1/5,000 dilution was used in primary antibody dilution (K1803) at 4℃ overnight. Goat Anti-Rabbit IgG - HRP Secondary Antibody (HA1001) at 1/50,000 dilution was used for 1 hour at room temperature.
Note: All products are “FOR RESEARCH USE ONLY AND ARE NOT INTENDED FOR DIAGNOSTIC OR THERAPEUTIC USE”.