TCF7 Recombinant Rabbit Monoclonal Antibody [PSH13-89]
cat.: HA723582
Product Type: Recombinant Rabbit monoclonal IgG, primary antibodies
Species reactivity: Human, Mouse, Rat
Applications: WB, IHC-P, IP, mIHC
Clonality: Monoclonal
Clone number: PSH13-89
Form: Liquid
Storage condition: Shipped at 4℃. Store at +4℃ short term (1-2 weeks). It is recommended to aliquot into single-use upon delivery. Store at -20℃ long term.
Storage buffer: PBS (pH7.4), 0.1% BSA, 40% Glycerol. Preservative: 0.05% Sodium Azide.
Concentration: 1ug/ul
Purification: Protein A affinity purified.
Molecular weight: Predicted band size: 42 kDa
Isotype: IgG
Immunogen: Recombinant protein within human TCF7 aa 1-300.
Positive control: MOLT-4 cell lysate, Jurkat cell lysate, COLO205 cell lysate, human lymph node tissue, human thymus tissue, human tonsil tissue, mouse lymph node tissue, mouse thymus tissue, rat lymph node tissue, rat thymus tissue.
Subcellular location: Nucleus.
Recommended Dilutions:
  WB
  IHC-P
  IP
  mIHC

1:5,000
1:200
1-2μg/sample
1:200
Uniprot #: SwissProt: P36402 Human | Q00417 Mouse
Entrez Gene: 363595 Rat
Alternative names: FLJ36364 MGC47735 OTTHUMP00000159391 T cell factor 1 T cell specific transcription factor 1 T-cell factor 1 T-cell-specific transcription factor 1 TCF-1 TCF-7 TCF1 Tcf7 TCF7 transcription factor 7 TCF7_HUMAN Transcription factor 7 (T cell specific HMG box) Transcription factor 7 Transcription factor-7, T-cell specific Transcription factor-7, T-cell specific, 1
Images
HA723582_1.jpg Fig1: Western blot analysis of TCF7 on different lysates with Rabbit anti-TCF7 antibody (HA723582) at 1/5,000 dilution.

Lane 1: MOLT-4 cell lysate (20 µg/Lane)
Lane 3: Jurkat cell lysate (20 µg/Lane)
Lane 2: COLO205 cell lysate (20 µg/Lane)
Lane 4: LNCaP cell lysate (negative) (20 µg/Lane)

Predicted band size: 42 kDa
Observed band size: 45-50 kDa

Exposure time: 16 seconds; ECL: K1801;

4-20% SDS-PAGE gel.

Proteins were transferred to a PVDF membrane and blocked with 5% NFDM/TBST for 1 hour at room temperature. The primary antibody (HA723582) at 1/5,000 dilution was used in primary antibody dilution (K1803) at 4℃ overnight. Goat Anti-Rabbit IgG - HRP Secondary Antibody (HA1001) at 1/50,000 dilution was used for 1 hour at room temperature.
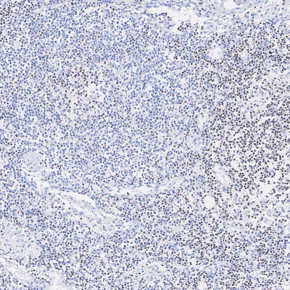
HA723582_2.jpg Fig2: Immunohistochemical analysis of paraffin-embedded human lymph node tissue with Rabbit anti-TCF7 antibody (HA723582) at 1/200 dilution.

The section was pre-treated using heat mediated antigen retrieval with Tris-EDTA buffer (pH 9.0) for 20 minutes. The tissues were blocked in 1% BSA for 20 minutes at room temperature, washed with ddH2O and PBS, and then probed with the primary antibody (HA723582) at 1/200 dilution for 1 hour at room temperature. The detection was performed using an HRP conjugated compact polymer system. DAB was used as the chromogen. Tissues were counterstained with hematoxylin and mounted with DPX.
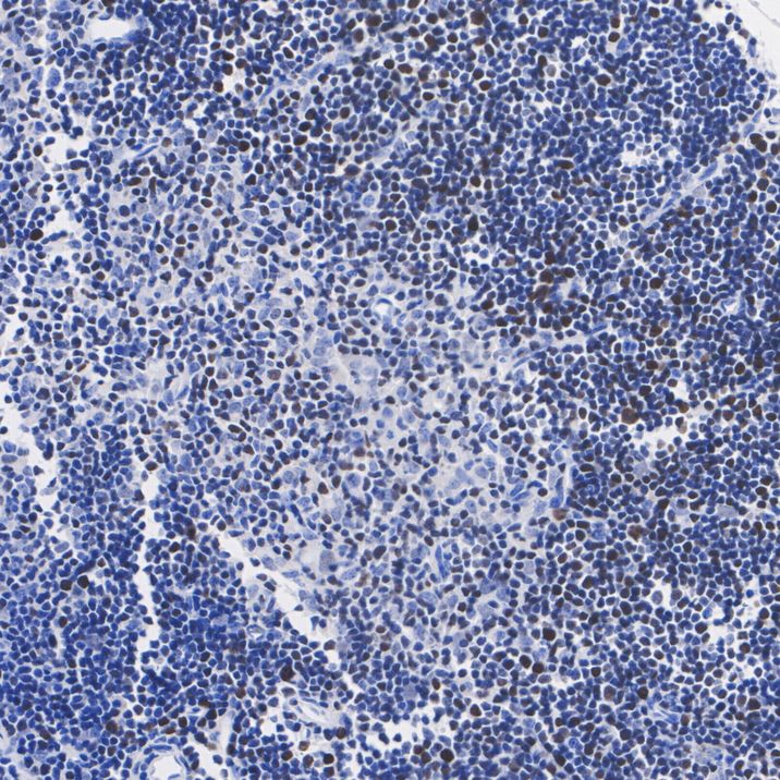
HA723582_3.jpg Fig3: Immunohistochemical analysis of paraffin-embedded human thymus tissue with Rabbit anti-TCF7 antibody (HA723582) at 1/200 dilution.

The section was pre-treated using heat mediated antigen retrieval with Tris-EDTA buffer (pH 9.0) for 20 minutes. The tissues were blocked in 1% BSA for 20 minutes at room temperature, washed with ddH2O and PBS, and then probed with the primary antibody (HA723582) at 1/200 dilution for 1 hour at room temperature. The detection was performed using an HRP conjugated compact polymer system. DAB was used as the chromogen. Tissues were counterstained with hematoxylin and mounted with DPX.
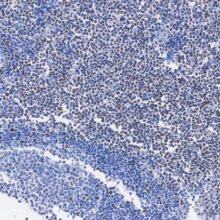
HA723582_4.jpg Fig4: Immunohistochemical analysis of paraffin-embedded human tonsil tissue with Rabbit anti-TCF7 antibody (HA723582) at 1/200 dilution.

The section was pre-treated using heat mediated antigen retrieval with Tris-EDTA buffer (pH 9.0) for 20 minutes. The tissues were blocked in 1% BSA for 20 minutes at room temperature, washed with ddH2O and PBS, and then probed with the primary antibody (HA723582) at 1/200 dilution for 1 hour at room temperature. The detection was performed using an HRP conjugated compact polymer system. DAB was used as the chromogen. Tissues were counterstained with hematoxylin and mounted with DPX.
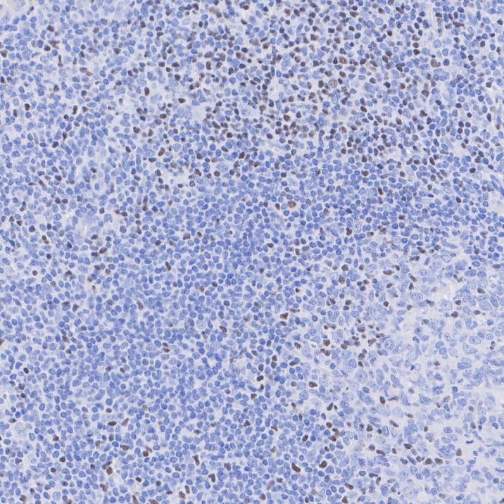
HA723582_5.jpg Fig5: Immunohistochemical analysis of paraffin-embedded mouse lymph node tissue with Rabbit anti-TCF7 antibody (HA723582) at 1/200 dilution.

The section was pre-treated using heat mediated antigen retrieval with Tris-EDTA buffer (pH 9.0) for 20 minutes. The tissues were blocked in 1% BSA for 20 minutes at room temperature, washed with ddH2O and PBS, and then probed with the primary antibody (HA723582) at 1/200 dilution for 1 hour at room temperature. The detection was performed using an HRP conjugated compact polymer system. DAB was used as the chromogen. Tissues were counterstained with hematoxylin and mounted with DPX.
HA723582_6.jpg Fig6: Immunohistochemical analysis of paraffin-embedded mouse thymus tissue with Rabbit anti-TCF7 antibody (HA723582) at 1/200 dilution.

The section was pre-treated using heat mediated antigen retrieval with Tris-EDTA buffer (pH 9.0) for 20 minutes. The tissues were blocked in 1% BSA for 20 minutes at room temperature, washed with ddH2O and PBS, and then probed with the primary antibody (HA723582) at 1/200 dilution for 1 hour at room temperature. The detection was performed using an HRP conjugated compact polymer system. DAB was used as the chromogen. Tissues were counterstained with hematoxylin and mounted with DPX.
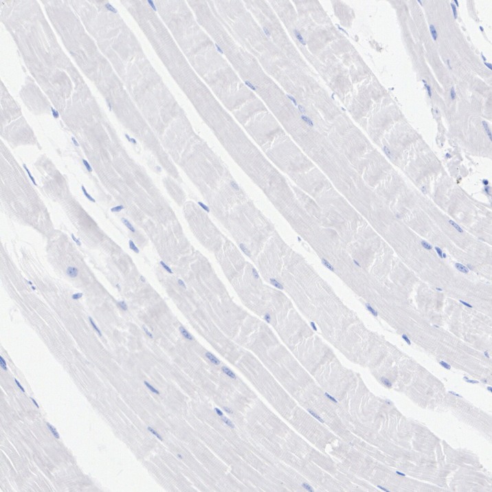
HA723582_7.jpg Fig7: Immunohistochemical analysis of paraffin-embedded mouse skeletal muscle tissue (negative) with Rabbit anti-TCF7 antibody (HA723582) at 1/200 dilution.

The section was pre-treated using heat mediated antigen retrieval with Tris-EDTA buffer (pH 9.0) for 20 minutes. The tissues were blocked in 1% BSA for 20 minutes at room temperature, washed with ddH2O and PBS, and then probed with the primary antibody (HA723582) at 1/200 dilution for 1 hour at room temperature. The detection was performed using an HRP conjugated compact polymer system. DAB was used as the chromogen. Tissues were counterstained with hematoxylin and mounted with DPX.
HA723582_8.jpg Fig8: Immunohistochemical analysis of paraffin-embedded rat lymph node tissue with Rabbit anti-TCF7 antibody (HA723582) at 1/200 dilution.

The section was pre-treated using heat mediated antigen retrieval with Tris-EDTA buffer (pH 9.0) for 20 minutes. The tissues were blocked in 1% BSA for 20 minutes at room temperature, washed with ddH2O and PBS, and then probed with the primary antibody (HA723582) at 1/200 dilution for 1 hour at room temperature. The detection was performed using an HRP conjugated compact polymer system. DAB was used as the chromogen. Tissues were counterstained with hematoxylin and mounted with DPX.
HA723582_9.jpg Fig9: Immunohistochemical analysis of paraffin-embedded rat thymus tissue with Rabbit anti-TCF7 antibody (HA723582) at 1/200 dilution.

The section was pre-treated using heat mediated antigen retrieval with Tris-EDTA buffer (pH 9.0) for 20 minutes. The tissues were blocked in 1% BSA for 20 minutes at room temperature, washed with ddH2O and PBS, and then probed with the primary antibody (HA723582) at 1/200 dilution for 1 hour at room temperature. The detection was performed using an HRP conjugated compact polymer system. DAB was used as the chromogen. Tissues were counterstained with hematoxylin and mounted with DPX.
HA723582_10.jpg Fig10: TCF7 was immunoprecipitated from 0.2 mg Jurkat cell lysate with HA723582 at 2 µg/10 µl beads. Western blot was performed from the immunoprecipitate using HA723582 at 1/5,000 dilution. HRP Conjugated Anti-Rabbit IgG for IP Nano-secondary antibody at 1/5,000 dilution was used for 1 hour at room temperature.

Lane 1: Jurkat cell lysate (input)
Lane 2: HA723582 IP in Jurkat cell lysate
Lane 3: Rabbit IgG instead of HA723582 in Jurkat cell lysate

Blocking/Dilution buffer: 5% NFDM/TBST
Exposure time: 25 seconds; ECL: K1801
HA723582_11.jpg Fig11: Fluorescence multiplex immunohistochemical analysis of mouse lymph nodes (Formalin/PFA-fixed paraffin-embedded sections). Panel A: the merged image of anti-TCF7 (HA723582, white), anti-CD4 (HA722966, red) and anti-CD19 (HA722073, Yellow) on lymph nodes. HRP Conjugated UltraPolymer Goat Polyclonal Antibody HA1119/HA1120 was used as a secondary antibody. The immunostaining was performed with the Sequential Immuno-staining Kit (IRISKit™MH010101, www.luminiris.cn). The section was incubated in three rounds of staining: in the order of HA723582 (1/200 dilution), HA722966 (1/500 dilution) and HA722073 (1/500 dilution) for 20 mins at room temperature. Each round was followed by a separate fluorescent tyramide signal amplification system. Heat mediated antigen retrieval with Tris-EDTA buffer (pH 9.0) for 30 mins at 95℃. DAPI (blue) was used as a nuclear counter stain. Image acquisition was performed with Zeiss Observer 7 Inverted Fluorescence Microscope.
Note: All products are “FOR RESEARCH USE ONLY AND ARE NOT INTENDED FOR DIAGNOSTIC OR THERAPEUTIC USE”.