NDUFA9 Recombinant Rabbit Monoclonal Antibody [PSH14-07]
cat.: HA723597
Product Type: Recombinant Rabbit monoclonal IgG, primary antibodies
Species reactivity: Human, Mouse, Rat, Monkey
Applications: WB, IHC-P, IP
Clonality: Monoclonal
Clone number: PSH14-07
Form: Liquid
Storage condition: Shipped at 4℃. Store at +4℃ short term (1-2 weeks). It is recommended to aliquot into single-use upon delivery. Store at -20℃ long term.
Storage buffer: PBS (pH7.4), 0.1% BSA, 40% Glycerol. Preservative: 0.05% Sodium Azide.
Concentration: 1ug/ul
Purification: Protein A affinity purified.
Molecular weight: Predicted band size: 43 kDa
Isotype: IgG
Immunogen: Recombinant protein within human NDUFA9 aa 1-230.
Positive control: HepG2 cell lysate, HeLa cell lysate, U-2 OS cell lysate, Caco-2 cell lysate, COS-1 cell lysate, NIH/3T3 cell lysate, Neuro-2a cell lysate, C6 cell lysate, L6 cell lysate, Mouse liver tissue lysate, Rat liver tissue lysate, Mouse skeletal muscle tissue lysate, Rat skeletal muscle tissue lysate, human colon cancer tissue, human kidney tissue, mouse kidney tissue, rat kidney tissue.
Subcellular location: Mitochondrion matrix.
Recommended Dilutions:
  WB
  IHC-P
  IP

1:5,000
1:200
1-2μg/sample
Uniprot #: SwissProt: Q16795 Human | Q9DC69 Mouse | Q5BK63 Rat
Alternative names: CI-39kD Complex I subunit NDUFA9 Complex I-39kD mitochondrial NADH dehydrogenase [ubiquinone] 1 alpha subcomplex subunit 9 NADH dehydrogenase [ubiquinone] 1 alpha subcomplex subunit 9 mitochondrial NADH Ubiquinone Oxidoreductase 1 alpha subcomplex 9 NADH-ubiquinone oxidoreductase 39 kDa subunit NDUA9_HUMAN NDUFA9
Images
HA723597_1.jpg Fig1: Western blot analysis of NDUFA9 on different lysates with Rabbit anti-NDUFA9 antibody (HA723597) at 1/5,000 dilution.

Lane 1: HepG2 cell lysate
Lane 2: HeLa cell lysate
Lane 3: U-2 OS cell lysate
Lane 4: Caco-2 cell lysate
Lane 5: COS-1 cell lysate
Lane 6: NIH/3T3 cell lysate
Lane 7: Neuro-2a cell lysate
Lane 8: C6 cell lysate
Lane 9: L6 cell lysate
Lane 10: Mouse liver tissue lysate
Lane 11: Rat liver tissue lysate
Lane 12: Mouse skeletal muscle tissue lysate
Lane 13: Rat skeletal muscle tissue lysate

Lysates/proteins at 20 µg/Lane.

Predicted band size: 43 kDa
Observed band size: 36 kDa

Exposure time: 10 seconds; ECL: K1801;

4-20% SDS-PAGE gel.

Proteins were transferred to a PVDF membrane and blocked with 5% NFDM/TBST for 1 hour at room temperature. The primary antibody (HA723597) at 1/5,000 dilution was used in primary antibody dilution (K1803) at 4℃ overnight. Goat Anti-Rabbit IgG - HRP Secondary Antibody (HA1001) at 1/50,000 dilution was used for 1 hour at room temperature.
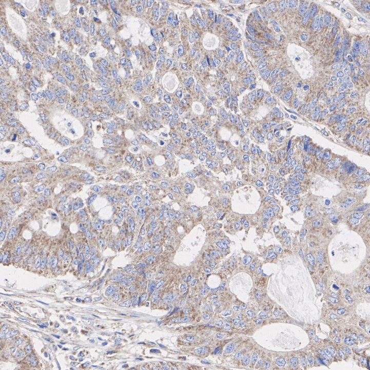
HA723597_2.jpg Fig2: Immunohistochemical analysis of paraffin-embedded human colon cancer tissue with Rabbit anti-NDUFA9 antibody (HA723597) at 1/200 dilution.

The section was pre-treated using heat mediated antigen retrieval with Tris-EDTA buffer (pH 9.0) for 20 minutes. The tissues were blocked in 1% BSA for 20 minutes at room temperature, washed with ddH2O and PBS, and then probed with the primary antibody (HA723597) at 1/200 dilution for 1 hour at room temperature. The detection was performed using an HRP conjugated compact polymer system. DAB was used as the chromogen. Tissues were counterstained with hematoxylin and mounted with DPX.
HA723597_3.jpg Fig3: Immunohistochemical analysis of paraffin-embedded human kidney tissue with Rabbit anti-NDUFA9 antibody (HA723597) at 1/200 dilution.

The section was pre-treated using heat mediated antigen retrieval with Tris-EDTA buffer (pH 9.0) for 20 minutes. The tissues were blocked in 1% BSA for 20 minutes at room temperature, washed with ddH2O and PBS, and then probed with the primary antibody (HA723597) at 1/200 dilution for 1 hour at room temperature. The detection was performed using an HRP conjugated compact polymer system. DAB was used as the chromogen. Tissues were counterstained with hematoxylin and mounted with DPX.
HA723597_4.jpg Fig4: Immunohistochemical analysis of paraffin-embedded mouse kidney tissue with Rabbit anti-NDUFA9 antibody (HA723597) at 1/200 dilution.

The section was pre-treated using heat mediated antigen retrieval with Tris-EDTA buffer (pH 9.0) for 20 minutes. The tissues were blocked in 1% BSA for 20 minutes at room temperature, washed with ddH2O and PBS, and then probed with the primary antibody (HA723597) at 1/200 dilution for 1 hour at room temperature. The detection was performed using an HRP conjugated compact polymer system. DAB was used as the chromogen. Tissues were counterstained with hematoxylin and mounted with DPX.
HA723597_5.jpg Fig5: Immunohistochemical analysis of paraffin-embedded rat kidney tissue with Rabbit anti-NDUFA9 antibody (HA723597) at 1/200 dilution.

The section was pre-treated using heat mediated antigen retrieval with Tris-EDTA buffer (pH 9.0) for 20 minutes. The tissues were blocked in 1% BSA for 20 minutes at room temperature, washed with ddH2O and PBS, and then probed with the primary antibody (HA723597) at 1/200 dilution for 1 hour at room temperature. The detection was performed using an HRP conjugated compact polymer system. DAB was used as the chromogen. Tissues were counterstained with hematoxylin and mounted with DPX.
HA723597_6.jpg Fig6: NDUFA9 was immunoprecipitated from 0.2 mg HepG2 cell lysate with HA723597 at 2 µg/10 µl beads. Western blot was performed from the immunoprecipitate using HA723597 at 1/5,000 dilution. HRP Conjugated Anti-Rabbit IgG for IP Nano-secondary antibody at 1/5,000 dilution was used for 1 hour at room temperature.

Lane 1: HepG2 cell lysate (input)
Lane 2: HA723597 IP in HepG2 cell lysate
Lane 3: Rabbit IgG instead of HA723597 in HepG2 cell lysate

Blocking/Dilution buffer: 5% NFDM/TBST
Exposure time: 7 seconds; ECL: K1801
Note: All products are “FOR RESEARCH USE ONLY AND ARE NOT INTENDED FOR DIAGNOSTIC OR THERAPEUTIC USE”.