PSMA7 / HSPC Recombinant Rabbit Monoclonal Antibody [PSH14-09]
cat.: HA723599
Product Type: Recombinant Rabbit monoclonal IgG, primary antibodies
Species reactivity: Human, Mouse, Rat, Monkey
Applications: WB, IF-Cell, IHC-P, FC
Clonality: Monoclonal
Clone number: PSH14-09
Form: Liquid
Storage condition: Shipped at 4℃. Store at +4℃ short term (1-2 weeks). It is recommended to aliquot into single-use upon delivery. Store at -20℃ long term.
Storage buffer: PBS (pH7.4), 0.1% BSA, 40% Glycerol. Preservative: 0.05% Sodium Azide.
Concentration: 1ug/ul
Purification: Protein A affinity purified.
Molecular weight: Predicted band size: 28 kDa
Isotype: IgG
Immunogen: Recombinant protein within human PSMA7 aa 51-248.
Positive control: A549 cell lysate, HepG2 cell lysate, HeLa cell lysate, COS-1 cell lysate, 4T1 cell lysate, Neuro-2a cell lysate, PC-12 cell lysate, A549, human liver cancer tissue, human colon tissue, mouse colon tissue.
Subcellular location: Cytoplasm, Nucleus.
Recommended Dilutions:
  WB
  IF-Cell
  IHC-P
  FC

1:50,000
1:100
1:200-1:1,000
1:1,000
Uniprot #: SwissProt: O14818 Human | Q9Z2U0 Mouse | P48004 Rat
Alternative names: C6 HSPC MGC3755 OTTHUMP00000031449 OTTHUMP00000031450 OTTHUMP00000031453 Proteasome (prosome macropain) subunit alpha type 7 Proteasome alpha 7 subunit Proteasome subunit alpha 4 Proteasome subunit alpha type 7 Proteasome subunit alpha type-7 Proteasome subunit RC6 1 Proteasome subunit RC6-1 Proteasome subunit XAPC7 PSA7_HUMAN PSMA 7 PSMA7 RC6 1 XAPC7
Images
HA723599_1.jpg Fig1: Western blot analysis of PSMA7 / HSPC on different lysates with Rabbit anti-PSMA7 / HSPC antibody (HA723599) at 1/50,000 dilution.

Lane 1: A549 cell lysate
Lane 2: HepG2 cell lysate
Lane 3: HeLa cell lysate
Lane 4: COS-1 cell lysate
Lane 5: 4T1 cell lysate
Lane 6: Neuro-2a cell lysate
Lane 7: PC-12 cell lysate

Lysates/proteins at 20 µg/Lane.

Predicted band size: 28 kDa
Observed band size: 28 kDa

Exposure time: 4 seconds; ECL: K1801;

4-20% SDS-PAGE gel.

Proteins were transferred to a PVDF membrane and blocked with 5% NFDM/TBST for 1 hour at room temperature. The primary antibody (HA723599) at 1/50,000 dilution was used in primary antibody dilution (K1803) at 4℃ overnight. Goat Anti-Rabbit IgG - HRP Secondary Antibody (HA1001) at 1/50,000 dilution was used for 1 hour at room temperature.
HA723599_2.jpg Fig2: Immunocytochemistry analysis of A549 cells labeling PSMA7 / HSPC with Rabbit anti-PSMA7 / HSPC antibody (HA723599) at 1/100 dilution.

Cells were fixed in 4% paraformaldehyde for 15 minutes at room temperature, permeabilized with 0.1% Triton X-100 in PBS for 15 minutes at room temperature, then blocked with 1% BSA in 10% negative goat serum for 1 hour at room temperature. Cells were then incubated with Rabbit anti-PSMA7 / HSPC antibody (HA723599) at 1/100 dilution in 1% BSA in PBST overnight at 4 ℃. Goat Anti-Rabbit IgG H&L (iFluor™ 488, HA1121) was used as the secondary antibody at 1/1,000 dilution. PBS instead of the primary antibody was used as the secondary antibody only control. Nuclear DNA was labelled in blue with DAPI.

Beta tubulin (HA601187, red) was stained at 1/100 dilution overnight at +4℃. Goat Anti-Mouse IgG H&L (iFluor™ 594, HA1126) was used as the secondary antibody at 1/1,000 dilution.
HA723599_3.jpg Fig3: Immunohistochemical analysis of paraffin-embedded human liver cancer tissue with Rabbit anti-PSMA7 / HSPC antibody (HA723599) at 1/1,000 dilution.

The section was pre-treated using heat mediated antigen retrieval with Tris-EDTA buffer (pH 9.0) for 20 minutes. The tissues were blocked in 1% BSA for 20 minutes at room temperature, washed with ddH2O and PBS, and then probed with the primary antibody (HA723599) at 1/1,000 dilution for 1 hour at room temperature. The detection was performed using an HRP conjugated compact polymer system. DAB was used as the chromogen. Tissues were counterstained with hematoxylin and mounted with DPX.
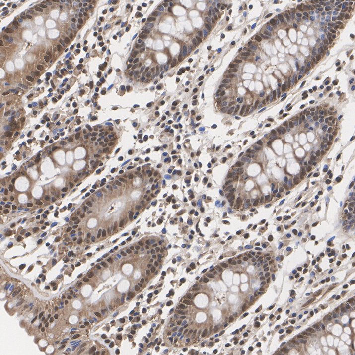
HA723599_4.jpg Fig4: Immunohistochemical analysis of paraffin-embedded human colon tissue with Rabbit anti-PSMA7 / HSPC antibody (HA723599) at 1/200 dilution.

The section was pre-treated using heat mediated antigen retrieval with Tris-EDTA buffer (pH 9.0) for 20 minutes. The tissues were blocked in 1% BSA for 20 minutes at room temperature, washed with ddH2O and PBS, and then probed with the primary antibody (HA723599) at 1/200 dilution for 1 hour at room temperature. The detection was performed using an HRP conjugated compact polymer system. DAB was used as the chromogen. Tissues were counterstained with hematoxylin and mounted with DPX.
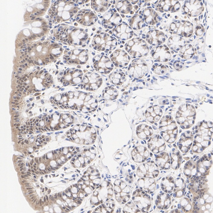
HA723599_5.jpg Fig5: Immunohistochemical analysis of paraffin-embedded mouse colon tissue with Rabbit anti-PSMA7 / HSPC antibody (HA723599) at 1/1,000 dilution.

The section was pre-treated using heat mediated antigen retrieval with Tris-EDTA buffer (pH 9.0) for 20 minutes. The tissues were blocked in 1% BSA for 20 minutes at room temperature, washed with ddH2O and PBS, and then probed with the primary antibody (HA723599) at 1/1,000 dilution for 1 hour at room temperature. The detection was performed using an HRP conjugated compact polymer system. DAB was used as the chromogen. Tissues were counterstained with hematoxylin and mounted with DPX.
HA723599_6.jpg Fig6: Flow cytometric analysis of A549 cells labeling PSMA7 / HSPC.

Cells were fixed and permeabilized. Then stained with the primary antibody (HA723599, 1/1,000) (red) compared with Rabbit IgG Isotype Control (green). After incubation of the primary antibody at +4℃ for an hour, the cells were stained with a iFluor™ 488 conjugate-Goat anti-Rabbit IgG Secondary antibody (HA1121) at 1/1,000 dilution for 30 minutes at +4℃. Unlabelled sample was used as a control (cells without incubation with primary antibody; black).
Note: All products are “FOR RESEARCH USE ONLY AND ARE NOT INTENDED FOR DIAGNOSTIC OR THERAPEUTIC USE”.