non-muscle Myosin IIA Recombinant Rabbit Monoclonal Antibody [PSH14-10]
cat.: HA723600
Product Type: Recombinant Rabbit monoclonal IgG, primary antibodies
Species reactivity: Human, Mouse, Rat
Applications: WB, IF-Cell, IHC-P, FC, IP
Clonality: Monoclonal
Clone number: PSH14-10
Form: Liquid
Storage condition: Shipped at 4℃. Store at +4℃ short term (1-2 weeks). It is recommended to aliquot into single-use upon delivery. Store at -20℃ long term.
Storage buffer: PBS (pH7.4), 0.1% BSA, 40% Glycerol. Preservative: 0.05% Sodium Azide.
Concentration: 1ug/ul
Purification: Protein A affinity purified.
Molecular weight: Predicted band size: 227 kDa
Isotype: IgG
Immunogen: Recombinant protein within human MYH9 aa 1,151-1,430.
Positive control: HeLa cell lysate, HUVEC cell lysate, A431 cell lysate, HT-29 cell lysate, NIH/3T3 cell lysate, C2C12 cell lysate, PC-12 cell lysate, A549 cell lysate, Mouse kidney tissue lysate, Mouse lung tissue lysate, Mouse liver tissue lysate, Rat kidney tissue lysate, Rat lung tissue lysate, Rat liver tissue lysate, human kidney tissue, mouse kidney tissue, rat kidney tissue, rat liver tissue, HeLa, NIH/3T3.
Subcellular location: Cytoplasm, cytoskeleton, cell cortex, Cytoplasmic vesicle, secretory vesicle, Cortical granule, Cell membrane.
Recommended Dilutions:
  WB
  IF-Cell
  IHC-P
  FC
  IP

1:5,000
1:100
1:1,000
1:1,000
1-2μg/sample
Uniprot #: SwissProt: P35579 Human | Q8VDD5 Mouse | Q62812 Rat
Alternative names: BDPLT 6 BDPLT6 Cellular myosin heavy chain Cellular myosin heavy chain type A DFNA 17 DFNA17 EPSTS FTNS MGC104539 MHA MYH 2A MYH 9 MYH2A MYH9 MYH9_HUMAN MYHas8 MyHC 2A MyHC IIa MyHC2A MyHCIIa MYHSA 2 MYHSA2 Myosin 9 Myosin heavy chain 9 Myosin heavy chain 9 non muscle Myosin heavy chain Myosin heavy chain non muscle IIa Myosin heavy chain nonmuscle IIa Myosin heavy polypeptide 2 Myosin heavy polypeptide 9 non muscle Myosin-9 Myosin9 NMHC II A NMMHC A NMMHC II a NMMHC II-a NMMHC IIA NMMHC-A NMMHC-IIA NMMHCA Non muscle myosin heavy chain A Non muscle myosin heavy chain Non muscle myosin heavy chain II A Non muscle myosin heavy polypeptide 9 non-muscle IIa Non-muscle myosin heavy chain A Non-muscle myosin heavy chain IIa Nonmuscle myosin heavy chain A Nonmuscle myosin heavy chain II A type A
Images
HA723600_1.jpg Fig1: Western blot analysis of non-muscle Myosin IIA on different lysates with Rabbit anti-non-muscle Myosin IIA antibody (HA723600) at 1/5,000 dilution.

Lane 1: HeLa cell lysate (20 µg/Lane)
Lane 2: HUVEC cell lysate (20 µg/Lane)
Lane 3: A431 cell lysate (20 µg/Lane)
Lane 4: HT-29 cell lysate (20 µg/Lane)
Lane 5: NIH/3T3 cell lysate (20 µg/Lane)
Lane 6: C2C12 cell lysate (20 µg/Lane)
Lane 7: PC-12 cell lysate (20 µg/Lane)
Lane 8: A549 cell lysate (20 µg/Lane)
Lane 9: Mouse kidney tissue lysate (40 µg/Lane)
Lane 10: Mouse lung tissue lysate (40 µg/Lane)
Lane 11: Mouse liver tissue lysate (40 µg/Lane)
Lane 12: Rat kidney tissue lysate (40 µg/Lane)
Lane 13: Rat lung tissue lysate (40 µg/Lane)
Lane 14: Rat liver tissue lysate (40 µg/Lane)

Predicted band size: 227 kDa
Observed band size: 227 kDa

Exposure time: 1 minute 30 seconds; ECL: K1801;
4-20% SDS-PAGE gel.

Proteins were transferred to a PVDF membrane and blocked with 5% NFDM/TBST for 1 hour at room temperature. The primary antibody (HA723600) at 1/5,000 dilution was used in primary antibody dilution (K1803) at 4℃ overnight. Goat Anti-Rabbit IgG - HRP Secondary Antibody (HA1001) at 1/50,000 dilution was used for 1 hour at room temperature.
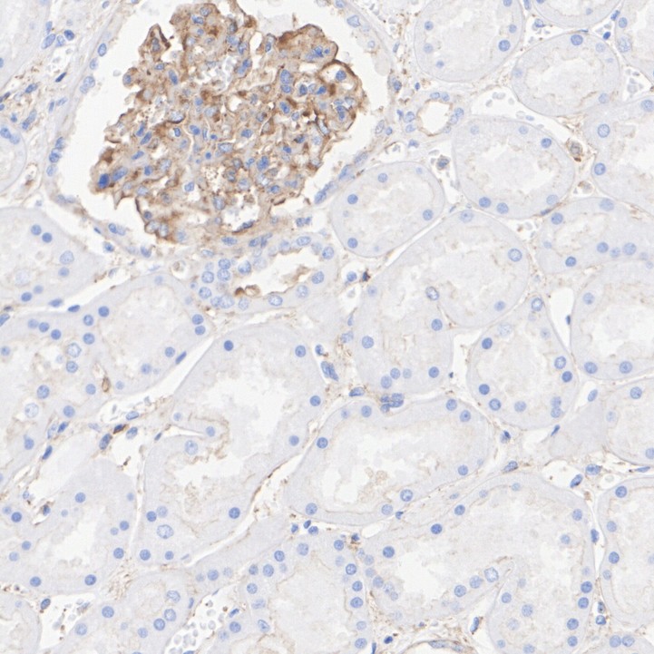
HA723600_2.jpg Fig2: Immunohistochemical analysis of paraffin-embedded human kidney tissue with Rabbit anti-non-muscle Myosin IIA antibody (HA723600) at 1/1,000 dilution.

The section was pre-treated using heat mediated antigen retrieval with Tris-EDTA buffer (pH 9.0) for 20 minutes. The tissues were blocked in 1% BSA for 20 minutes at room temperature, washed with ddH2O and PBS, and then probed with the primary antibody (HA723600) at 1/1,000 dilution for 1 hour at room temperature. The detection was performed using an HRP conjugated compact polymer system. DAB was used as the chromogen. Tissues were counterstained with hematoxylin and mounted with DPX.
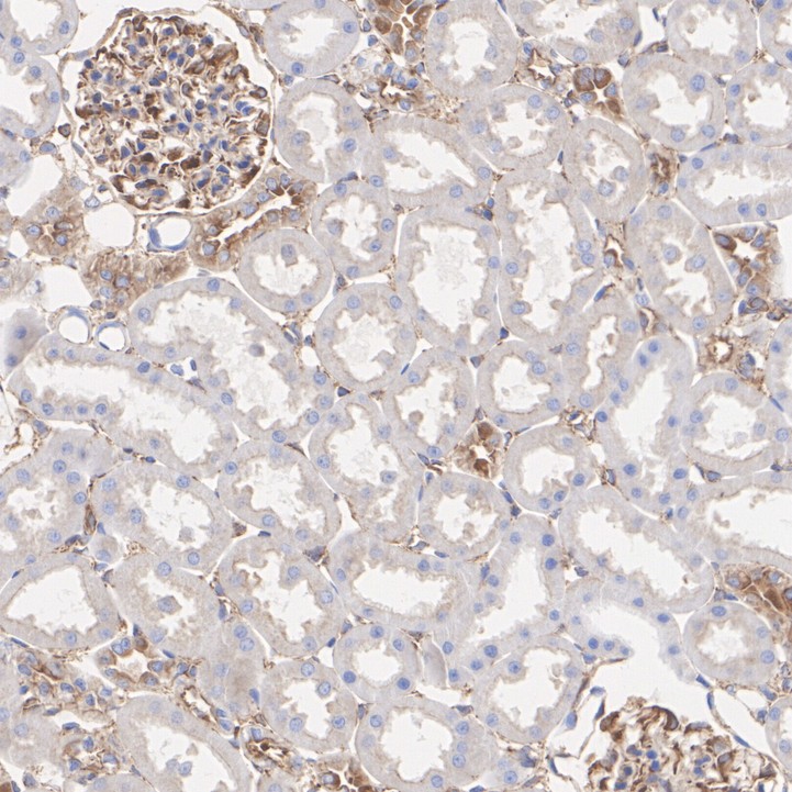
HA723600_3.jpg Fig3: Immunohistochemical analysis of paraffin-embedded mouse kidney tissue with Rabbit anti-non-muscle Myosin IIA antibody (HA723600) at 1/1,000 dilution.

The section was pre-treated using heat mediated antigen retrieval with Tris-EDTA buffer (pH 9.0) for 20 minutes. The tissues were blocked in 1% BSA for 20 minutes at room temperature, washed with ddH2O and PBS, and then probed with the primary antibody (HA723600) at 1/1,000 dilution for 1 hour at room temperature. The detection was performed using an HRP conjugated compact polymer system. DAB was used as the chromogen. Tissues were counterstained with hematoxylin and mounted with DPX.
HA723600_4.jpg Fig4: Immunohistochemical analysis of paraffin-embedded rat kidney tissue with Rabbit anti-non-muscle Myosin IIA antibody (HA723600) at 1/1,000 dilution.

The section was pre-treated using heat mediated antigen retrieval with Tris-EDTA buffer (pH 9.0) for 20 minutes. The tissues were blocked in 1% BSA for 20 minutes at room temperature, washed with ddH2O and PBS, and then probed with the primary antibody (HA723600) at 1/1,000 dilution for 1 hour at room temperature. The detection was performed using an HRP conjugated compact polymer system. DAB was used as the chromogen. Tissues were counterstained with hematoxylin and mounted with DPX.
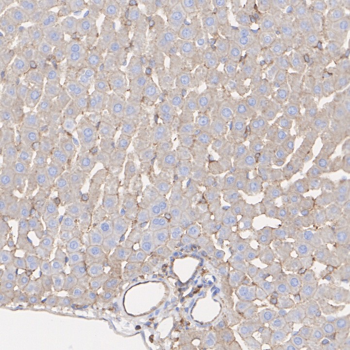
HA723600_5.jpg Fig5: Immunohistochemical analysis of paraffin-embedded rat liver tissue with Rabbit anti-non-muscle Myosin IIA antibody (HA723600) at 1/1,000 dilution.

The section was pre-treated using heat mediated antigen retrieval with Tris-EDTA buffer (pH 9.0) for 20 minutes. The tissues were blocked in 1% BSA for 20 minutes at room temperature, washed with ddH2O and PBS, and then probed with the primary antibody (HA723600) at 1/1,000 dilution for 1 hour at room temperature. The detection was performed using an HRP conjugated compact polymer system. DAB was used as the chromogen. Tissues were counterstained with hematoxylin and mounted with DPX.
HA723600_6.jpg Fig6: Immunocytochemistry analysis of HeLa cells labeling non-muscle Myosin IIA with Rabbit anti-non-muscle Myosin IIA antibody (HA723600) at 1/100 dilution.

Cells were fixed in 4% paraformaldehyde for 15 minutes at room temperature, permeabilized with 0.1% Triton X-100 in PBS for 15 minutes at room temperature, then blocked with 1% BSA in 10% negative goat serum for 1 hour at room temperature. Cells were then incubated with Rabbit anti-non-muscle Myosin IIA antibody (HA723600) at 1/100 dilution in 1% BSA in PBST overnight at 4 ℃. Goat Anti-Rabbit IgG H&L (iFluor™ 488, HA1121) was used as the secondary antibody at 1/1,000 dilution. PBS instead of the primary antibody was used as the secondary antibody only control. Nuclear DNA was labelled in blue with DAPI.

Beta tubulin (HA601187, red) was stained at 1/100 dilution overnight at +4℃. Goat Anti-Mouse IgG H&L (iFluor™ 594, HA1126) was used as the secondary antibody at 1/1,000 dilution.
HA723600_7.jpg Fig7: Immunocytochemistry analysis of NIH/3T3 cells labeling non-muscle Myosin IIA with Rabbit anti-non-muscle Myosin IIA antibody (HA723600) at 1/100 dilution.

Cells were fixed in 4% paraformaldehyde for 15 minutes at room temperature, permeabilized with 0.1% Triton X-100 in PBS for 15 minutes at room temperature, then blocked with 1% BSA in 10% negative goat serum for 1 hour at room temperature. Cells were then incubated with Rabbit anti-non-muscle Myosin IIA antibody (HA723600) at 1/100 dilution in 1% BSA in PBST overnight at 4 ℃. Goat Anti-Rabbit IgG H&L (iFluor™ 488, HA1121) was used as the secondary antibody at 1/1,000 dilution. PBS instead of the primary antibody was used as the secondary antibody only control. Nuclear DNA was labelled in blue with DAPI.

Beta tubulin (HA601187, red) was stained at 1/100 dilution overnight at +4℃. Goat Anti-Mouse IgG H&L (iFluor™ 594, HA1126) was used as the secondary antibody at 1/1,000 dilution.
HA723600_8.jpg Fig8: Flow cytometric analysis of HeLa cells labeling non-muscle Myosin IIA.

Cells were fixed and permeabilized. Then stained with the primary antibody (HA723600, 1/1,000) (red) compared with Rabbit IgG Isotype Control (green). After incubation of the primary antibody at +4℃ for an hour, the cells were stained with a iFluor™ 488 conjugate-Goat anti-Rabbit IgG Secondary antibody (HA1121) at 1/1,000 dilution for 30 minutes at +4℃. Unlabelled sample was used as a control (cells without incubation with primary antibody; black).
HA723600_9.jpg Fig9: Flow cytometric analysis of NIH/3T3 cells labeling non-muscle Myosin IIA.

Cells were fixed and permeabilized. Then stained with the primary antibody (HA723600, 1/1,000) (red) compared with Rabbit IgG Isotype Control (green). After incubation of the primary antibody at +4℃ for an hour, the cells were stained with a iFluor™ 488 conjugate-Goat anti-Rabbit IgG Secondary antibody (HA1121) at 1/1,000 dilution for 30 minutes at +4℃. Unlabelled sample was used as a control (cells without incubation with primary antibody; black).
HA723600_10.jpg Fig10: non-muscle Myosin IIA was immunoprecipitated from 0.2 mg HeLa cell lysate with HA723600 at 2 µg/10 µl beads. Western blot was performed from the immunoprecipitate using HA723600 at 1/50,000 dilution. HRP Conjugated Anti-Rabbit IgG for IP Nano-secondary antibody at 1/5,000 dilution was used for 1 hour at room temperature.

Lane 1: HeLa cell lysate (input)
Lane 2: HA723600 IP in HeLa cell lysate
Lane 3: Rabbit IgG instead of HA723600 in HeLa cell lysate

Blocking/Dilution buffer: primary antibody dilution (K1803)
Exposure time: 3 seconds; ECL: K1801
Note: All products are “FOR RESEARCH USE ONLY AND ARE NOT INTENDED FOR DIAGNOSTIC OR THERAPEUTIC USE”.