Osteopontin Recombinant Rabbit Monoclonal Antibody [PSH14-11]
cat.: HA723601
Product Type: Recombinant Rabbit monoclonal IgG, primary antibodies
Species reactivity: Mouse, Rat
Applications: IHC-P, IHC-Fr, WB, IF-Cell
Clonality: Monoclonal
Clone number: PSH14-11
Form: Liquid
Storage condition: Shipped at 4℃. Store at +4℃ short term (1-2 weeks). It is recommended to aliquot into single-use upon delivery. Store at -20℃ long term.
Storage buffer: PBS (pH7.4), 0.1% BSA, 40% Glycerol. Preservative: 0.05% Sodium Azide.
Concentration: 1ug/ul
Purification: Protein A affinity purified.
Molecular weight: Predicted band size: 32 kDa
Isotype: IgG
Immunogen: Recombinant protein within mouse Osteopontin aa 1-294.
Positive control: Mouse knee joint tissue, RAW264.7 treated with 100ng/mL LPS for 4 hours add 1μg/mL BFA for last 3 hours cell lysate, RAW264.7 add 100nM TPA overnight then treated with 100ng/mL LPS for 4 hours add 1μg/mL BFA for last 3 hours cell lysate, RAW264.7 cells treated with 100ng/mL LPS for 4 hours, add 1μg/mL BFA for last 3 hours.
Subcellular location: Secreted.
Recommended Dilutions:
  IHC-P
  IHC-Fr
  WB
  IF-Cell

1:9,000
1:500
1:5,000
1:2,000
Uniprot #: SwissProt: P10923 Mouse | P08721 Rat
Alternative names: BNSP Bone sialoprotein 1 Bone sialoprotein I BSP I BSPI Early T lymphocyte activation 1 ETA 1 ETA1 MGC110940 Nephropontin OPN Osteopontin osteopontin/immunoglobulin alpha 1 heavy chain constant region fusion protein OSTP_HUMAN PSEC0156 secreted phosphoprotein 1 (osteopontin bone sialoprotein I early T lymphocyte activation 1) secreted phosphoprotein 1 (osteopontin, bone sialoprotein I, early T-lymphocyte activation 1) Secreted phosphoprotein 1 SPP 1 SPP-1 SPP1 SPP1/CALPHA1 fusion Urinary stone protein Uropontin
Images
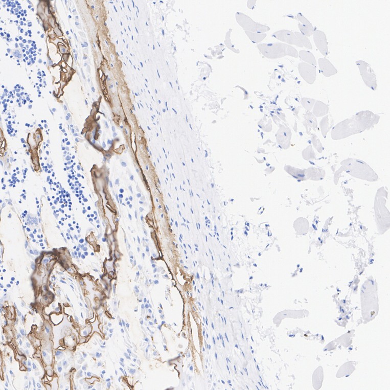
HA723601_1.jpg Fig1: Immunohistochemical analysis of paraffin-embedded mouse knee joint tissue with Rabbit anti-Osteopontin antibody (HA723601) at 1/9,000 dilution.

The section was pre-treated using heat mediated antigen retrieval with Tris-EDTA buffer (pH 9.0) for 20 minutes. The tissues were blocked in 1% BSA for 20 minutes at room temperature, washed with ddH2O and PBS, and then probed with the primary antibody (HA723601) at 1/9,000 dilution for 1 hour at room temperature. The detection was performed using an HRP conjugated compact polymer system. DAB was used as the chromogen. Tissues were counterstained with hematoxylin and mounted with DPX.
HA723601_2.jpg Fig2: Application: IHC-Fr

Species: Mouse

Site: kidney

Sample: Frozen section

Antibody concentration: 1/500

Antigen retrieval: Not required
HA723601_3.jpg Fig3: Application: IHC-Fr

Species: Rat

Site: kidney

Sample: Frozen section

Antibody concentration: 1/500

Antigen retrieval: Not required
HA723601_4.jpg Fig4: Western blot analysis of Osteopontin on different lysates with Rabbit anti-Osteopontin antibody (HA723601) at 1/5,000 dilution.

Lane 1: RAW264.7 cell lysate
Lane 2: RAW264.7 treated with 100ng/mL LPS for 4 hours, add 1μg/mL BFA for last 3 hours cell lysate
Lane 3: RAW264.7 cell lysate
Lane 4: RAW264.7 add 100nM TPA overnight, then treated with 100ng/mL LPS for 4 hours, add 1μg/mL BFA for last 3 hours cell lysate

Lysates/proteins at 20 µg/Lane.

Predicted band size: 32 kDa
Observed band size: 60 kDa

Exposure time: Lane 1-2: 46 seconds; Lane 3-4: 4 seconds; ECL: K1801;
4-20% SDS-PAGE gel.

Proteins were transferred to a PVDF membrane and blocked with 5% NFDM/TBST for 1 hour at room temperature. The primary antibody (HA723601) at 1/5,000 dilution was used in primary antibody dilution (K1803) at 4℃ overnight. Goat Anti-Rabbit IgG - HRP Secondary Antibody (HA1001) at 1/50,000 dilution was used for 1 hour at room temperature.
HA723601_5.jpg Fig5: Immunocytochemistry analysis of RAW264.7 cells untreated / treated with 100ng/mL LPS for 4 hours, add 1μg/mL BFA for last 3 hours labeling Osteopontin with Rabbit anti-Osteopontin antibody (HA723601) at 1/100 dilution.

Cells were fixed in 4% paraformaldehyde for 15 minutes at room temperature, permeabilized with 0.1% Triton X-100 in PBS for 15 minutes at room temperature, then blocked with 1% BSA in 10% negative goat serum for 1 hour at room temperature. Cells were then incubated with Rabbit anti-Osteopontin antibody (HA723601) at 1/2,000 dilution in 1% BSA in PBST overnight at 4 ℃. Goat Anti-Rabbit IgG H&L (iFluor™ 488, HA1121) was used as the secondary antibody at 1/1,000 dilution. PBS instead of the primary antibody was used as the secondary antibody only control. Nuclear DNA was labelled in blue with DAPI.

Beta tubulin (HA601187, red) was stained at 1/100 dilution overnight at +4℃. Goat Anti-Mouse IgG H&L (iFluor™ 594, HA1126) was used as the secondary antibody at 1/1,000 dilution.
Note: All products are “FOR RESEARCH USE ONLY AND ARE NOT INTENDED FOR DIAGNOSTIC OR THERAPEUTIC USE”.