FLI1 Recombinant Rabbit Monoclonal Antibody [PSH14-17]
cat.: HA723605
Product Type: Recombinant Rabbit monoclonal IgG, primary antibodies
Species reactivity: Human
Applications: WB, IHC-P
Clonality: Monoclonal
Clone number: PSH14-17
Form: Liquid
Storage condition: Shipped at 4℃. Store at +4℃ short term (1-2 weeks). It is recommended to aliquot into single-use upon delivery. Store at -20℃ long term.
Storage buffer: PBS (pH7.4), 0.1% BSA, 40% Glycerol. Preservative: 0.05% Sodium Azide.
Concentration: 1ug/ul
Purification: Protein A affinity purified.
Molecular weight: Predicted band size: 51 kDa
Isotype: IgG
Immunogen: Synthetic peptide within human FLI1 aa 351-400 / 452.
Positive control: U-937 cell lysate, Jurkat cell lysate, human B cell lymphoma tissue, human lung tissue.
Subcellular location: Nucleus.
Recommended Dilutions:
  WB
  IHC-P

1:1,000
1:1,000
Uniprot #: SwissProt: Q01543 Human
Alternative names: ERGB transcription factor Ewing Sarcoma breakpoint region 2 EWSR 2 EWSR2 FLI 1 FLI 1 proto oncogene Fli-1 proto-oncogene, ETS transcription factor FLI1 FLI1 EWS fusion gene FLI1 proto oncogene FLI1_HUMAN Friend leukemia integration 1 (FLI1) transcription factor Friend leukemia integration 1 transcription factor Friend leukemia virus integration 1 Proto-oncogene Fli-1 Sarcoma breakpoint region 2 (EWSR2) SIC 1 SIC1 Transcription factor ERGB Viral integration region FLI1 Viral integration region FLI1, mouse, homolog of
Images
HA723605_1.jpg Fig1: Western blot analysis of FLI1 on different lysates with Rabbit anti-FLI1 antibody (HA723605) at 1/1,000 dilution.

Lane 1: U-937 cell lysate
Lane 2: Jurkat cell lysate

Lysates/proteins at 20 µg/Lane.

Predicted band size: 51 kDa
Observed band size: 51 kDa

Exposure time: 2 minutes 6 seconds; ECL: K1801;

4-20% SDS-PAGE gel.

Proteins were transferred to a PVDF membrane and blocked with 5% NFDM/TBST for 1 hour at room temperature. The primary antibody (HA723605) at 1/1,000 dilution was used in 5% NFDM/TBST at 4℃ overnight. Goat Anti-Rabbit IgG - HRP Secondary Antibody (HA1001) at 1/50,000 dilution was used for 1 hour at room temperature.
HA723605_2.jpg Fig2: Immunohistochemical analysis of paraffin-embedded human B cell lymphoma tissue with Rabbit anti-FLI1 antibody (HA723605) at 1/1,000 dilution.

The section was pre-treated using heat mediated antigen retrieval with Tris-EDTA buffer (pH 9.0) for 20 minutes. The tissues were blocked in 1% BSA for 20 minutes at room temperature, washed with ddH2O and PBS, and then probed with the primary antibody (HA723605) at 1/1,000 dilution for 1 hour at room temperature. The detection was performed using an HRP conjugated compact polymer system. DAB was used as the chromogen. Tissues were counterstained with hematoxylin and mounted with DPX.
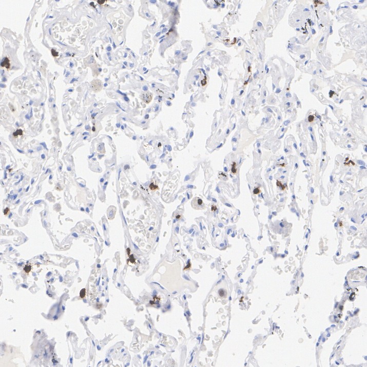
HA723605_3.jpg Fig3: Immunohistochemical analysis of paraffin-embedded human lung tissue with Rabbit anti-FLI1 antibody (HA723605) at 1/1,000 dilution.

The section was pre-treated using heat mediated antigen retrieval with Tris-EDTA buffer (pH 9.0) for 20 minutes. The tissues were blocked in 1% BSA for 20 minutes at room temperature, washed with ddH2O and PBS, and then probed with the primary antibody (HA723605) at 1/1,000 dilution for 1 hour at room temperature. The detection was performed using an HRP conjugated compact polymer system. DAB was used as the chromogen. Tissues were counterstained with hematoxylin and mounted with DPX.
Note: All products are “FOR RESEARCH USE ONLY AND ARE NOT INTENDED FOR DIAGNOSTIC OR THERAPEUTIC USE”.