Fibronectin Recombinant Rabbit Monoclonal Antibody [PSH14-21]
cat.: HA723610
Product Type: Recombinant Rabbit monoclonal IgG, primary antibodies
Species reactivity: Human, Mouse
Applications: WB, IHC-P, IF-Cell, FC, IP
Clonality: Monoclonal
Clone number: PSH14-21
Form: Liquid
Storage condition: Shipped at 4℃. Store at +4℃ short term (1-2 weeks). It is recommended to aliquot into single-use upon delivery. Store at -20℃ long term.
Storage buffer: 1*PBS (pH7.4), 0.1% BSA, 40% Glycerol, 0.2% Proclean 950.
Concentration: 1ug/ul
Purification: Protein A affinity purified.
Molecular weight: Predicted band size: 272 kDa
Isotype: IgG
Positive control: HepG2 cell lysate, MEF cell lysate, NIH/3T3 cell lysate, human kidney tissue, human stomach tissue, mouse kidney tissue, mouse stomach tissue, HepG2, NIH/3T3.
Subcellular location: Secreted, extracellular space, extracellular matrix.
Recommended Dilutions:
  WB
  IHC-P
  IF-Cell
  FC
  IP

1:2,000-1:5,000
1:200-1:1,000
1:5,000-1:50,000
1:5,000
1-2μg/sample
Uniprot #: SwissProt: P02751 Human | P11276 Mouse
Alternative names: CIG Cold insoluble globulin Cold-insoluble globulin DKFZp686F10164 DKFZp686H0342 DKFZp686I1370 DKFZp686O13149 ED B Fibronectin 1 FINC FINC_HUMAN FN FN1 FNZ GFND GFND2 LETS Migration stimulating factor MSF Ugl-Y3
Images
HA723610_1.jpg Fig1: Western blot analysis of Fibronectin on different lysates with Rabbit anti-Fibronectin antibody (HA723610) at 1/2,000 dilution.

Lane 1: HepG2 cell lysate
Lane 2: MEF cell lysate

Lysates/proteins at 10 µg/Lane.

Predicted band size: 272 kDa
Observed band size: 272 kDa

Exposure time: 25 seconds; ECL: K1801;

4-20% SDS-PAGE gel.

Proteins were transferred to a PVDF membrane and blocked with 5% NFDM/TBST for 1 hour at room temperature. The primary antibody (HA723610) at 1/2,000 dilution was used in primary antibody dilution (K1803) at 4℃ overnight. Goat Anti-Rabbit IgG - HRP Secondary Antibody (HA1001) at 1/50,000 dilution was used for 1 hour at room temperature.
HA723610_2.jpg Fig2: Western blot analysis of Fibronectin on NIH/3T3 celllysates with Rabbit anti-Fibronectin antibody (HA723610) at 1/5,000 dilution.

Lysates/proteins at 20 µg/Lane.

Predicted band size: 272 kDa
Observed band size: 272 kDa

Exposure time: 30 seconds; ECL: K1801;

4-20% SDS-PAGE gel.

Proteins were transferred to a PVDF membrane and blocked with 5% NFDM/TBST for 1 hour at room temperature. The primary antibody (HA723610) at 1/5,000 dilution was used in primary antibody dilution (K1803) at 4℃ overnight. Goat Anti-Rabbit IgG - HRP Secondary Antibody (HA1001) at 1/50,000 dilution was used for 1 hour at room temperature.
HA723610_3.jpg Fig3: Immunohistochemical analysis of paraffin-embedded human kidney tissue with Rabbit anti-Fibronectin antibody (HA723610) at 1/200 dilution.

The section was pre-treated using heat mediated antigen retrieval with Tris-EDTA buffer (pH 9.0) for 20 minutes. The tissues were blocked in 1% BSA for 20 minutes at room temperature, washed with ddH2O and PBS, and then probed with the primary antibody (HA723610) at 1/200 dilution for 1 hour at room temperature. The detection was performed using an HRP conjugated compact polymer system. DAB was used as the chromogen. Tissues were counterstained with hematoxylin and mounted with DPX.
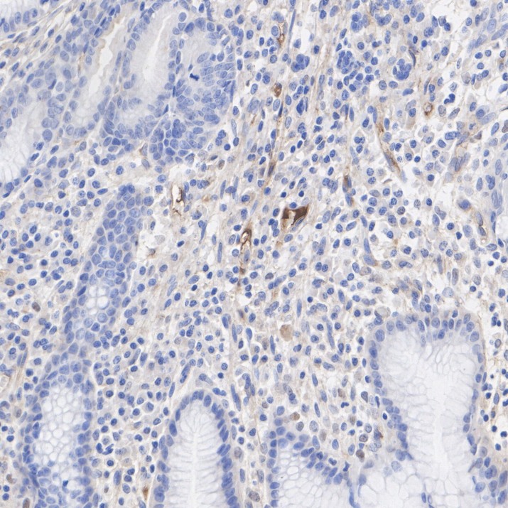
HA723610_4.jpg Fig4: Immunohistochemical analysis of paraffin-embedded human stomach tissue with Rabbit anti-Fibronectin antibody (HA723610) at 1/200 dilution.

The section was pre-treated using heat mediated antigen retrieval with Tris-EDTA buffer (pH 9.0) for 20 minutes. The tissues were blocked in 1% BSA for 20 minutes at room temperature, washed with ddH2O and PBS, and then probed with the primary antibody (HA723610) at 1/200 dilution for 1 hour at room temperature. The detection was performed using an HRP conjugated compact polymer system. DAB was used as the chromogen. Tissues were counterstained with hematoxylin and mounted with DPX.
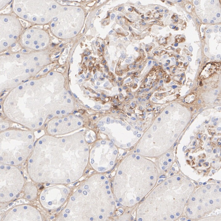
HA723610_5.jpg Fig5: Immunohistochemical analysis of paraffin-embedded mouse kidney tissue with Rabbit anti-Fibronectin antibody (HA723610) at 1/1,000 dilution.

The section was pre-treated using heat mediated antigen retrieval with Tris-EDTA buffer (pH 9.0) for 20 minutes. The tissues were blocked in 1% BSA for 20 minutes at room temperature, washed with ddH2O and PBS, and then probed with the primary antibody (HA723610) at 1/1,000 dilution for 1 hour at room temperature. The detection was performed using an HRP conjugated compact polymer system. DAB was used as the chromogen. Tissues were counterstained with hematoxylin and mounted with DPX.
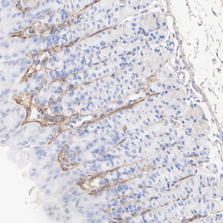
HA723610_6.jpg Fig6: Immunohistochemical analysis of paraffin-embedded mouse stomach tissue with Rabbit anti-Fibronectin antibody (HA723610) at 1/1,000 dilution.

The section was pre-treated using heat mediated antigen retrieval with Tris-EDTA buffer (pH 9.0) for 20 minutes. The tissues were blocked in 1% BSA for 20 minutes at room temperature, washed with ddH2O and PBS, and then probed with the primary antibody (HA723610) at 1/1,000 dilution for 1 hour at room temperature. The detection was performed using an HRP conjugated compact polymer system. DAB was used as the chromogen. Tissues were counterstained with hematoxylin and mounted with DPX.
HA723610_7.jpg Fig7: Flow cytometric analysis of NIH/3T3 cells labeling Fibronectin.

Cells were fixed and permeabilized. Then stained with the primary antibody (HA723610, 1/5,000) (red) compared with Rabbit IgG Isotype Control (green). After incubation of the primary antibody at +4℃ for an hour, the cells were stained with a iFluor™ 488 conjugate-Goat anti-Rabbit IgG Secondary antibody (HA1121) at 1/1,000 dilution for 30 minutes at +4℃. Unlabelled sample was used as a control (cells without incubation with primary antibody; black).
HA723610_8.jpg Fig8: Immunocytochemistry analysis of HepG2 cells labeling Fibronectin with Rabbit anti-Fibronectin antibody (HA723610) at 1/50,000 dilution.

Cells were fixed in 4% paraformaldehyde for 15 minutes at room temperature, permeabilized with 0.1% Triton X-100 in PBS for 15 minutes at room temperature, then blocked with 1% BSA in 10% negative goat serum for 1 hour at room temperature. Cells were then incubated with Rabbit anti-Fibronectin antibody (HA723610) at 1/50,000 dilution in 1% BSA in PBST overnight at 4 ℃. Goat Anti-Rabbit IgG H&L (iFluor™ 488, HA1121) was used as the secondary antibody at 1/1,000 dilution. PBS instead of the primary antibody was used as the secondary antibody only control. Nuclear DNA was labelled in blue with DAPI.

Beta tubulin (HA601187, red) was stained at 1/100 dilution overnight at +4℃. Goat Anti-Mouse IgG H&L (iFluor™ 594, HA1126) was used as the secondary antibody at 1/1,000 dilution.
HA723610_9.jpg Fig9: Immunocytochemistry analysis of NIH/3T3 cells labeling Fibronectin with Rabbit anti-Fibronectin antibody (HA723610) at 1/5,000 dilution.

Cells were fixed in 4% paraformaldehyde for 15 minutes at room temperature, permeabilized with 0.1% Triton X-100 in PBS for 15 minutes at room temperature, then blocked with 1% BSA in 10% negative goat serum for 1 hour at room temperature. Cells were then incubated with Rabbit anti-Fibronectin antibody (HA723610) at 1/5,000 dilution in 1% BSA in PBST overnight at 4 ℃. Goat Anti-Rabbit IgG H&L (iFluor™ 488, HA1121) was used as the secondary antibody at 1/1,000 dilution. PBS instead of the primary antibody was used as the secondary antibody only control. Nuclear DNA was labelled in blue with DAPI.

Beta tubulin (HA601187, red) was stained at 1/100 dilution overnight at +4℃. Goat Anti-Mouse IgG H&L (iFluor™ 594, HA1126) was used as the secondary antibody at 1/1,000 dilution.
HA723610_10.jpg Fig10: Fibronectin was immunoprecipitated from 0.2 mg HepG2 cell lysate with HA723610 at 2 µg/10 µl beads. Western blot was performed from the immunoprecipitate using HA723610 at 1/2,000 dilution. HRP Conjugated Anti-Rabbit IgG for IP Nano-secondary antibody at 1/5,000 dilution was used for 1 hour at room temperature.

Lane 1: HepG2 cell lysate (input)
Lane 2: HA723610 IP in HepG2 cell lysate
Lane 3: Rabbit IgG instead of HA723610 in HepG2 cell lysate

Blocking/Dilution buffer: primary antibody dilution (K1803)
Exposure time: 1 minute 34 seconds; ECL: K1801
Note: All products are “FOR RESEARCH USE ONLY AND ARE NOT INTENDED FOR DIAGNOSTIC OR THERAPEUTIC USE”.