Phosphothreonine Recombinant Rabbit Monoclonal Antibody [PSH14-34]
cat.: HA723628
Product Type: Recombinant Rabbit monoclonal IgG, primary antibodies
Species reactivity: Human, Mouse, Rat, Species independent
Applications: WB, IHC-P, IF-Cell, IP, ELISA
Clonality: Monoclonal
Clone number: PSH14-34
Form: Liquid
Storage condition: Shipped at 4℃. Store at +4℃ short term (1-2 weeks). It is recommended to aliquot into single-use upon delivery. Store at -20℃ long term.
Storage buffer: PBS (pH7.4), 0.1% BSA, 40% Glycerol. Preservative: 0.05% Sodium Azide.
Concentration: 1ug/ul
Purification: Protein A affinity purified.
Isotype: IgG
Positive control: HeLa treated with 100nM Calyculin A for 30 minutes cell lysate, NIH/3T3 starved for 24 hours then treated with 100nM Calyculin A for 30 minutes cell lysate, PC-12 starved for 24 hours then treated with 100nM Calyculin A for 30 minutes cell lysate, human gastric cancer tissue, human prostate tissue, human colon tissue, human liver tissue, human testis tissue, mouse prostate tissue, mouse colon tissue, mouse liver tissue, mouse testis tissue, rat colon tissue, rat liver tissue, rat testis tissue, HeLa, NIH/3T3, PC-12.
Recommended Dilutions:
  WB
  IHC-P
  IF-Cell
  IP

1:5,000
1:1,000-1:8,000
1:50,000
1-2μg/sample
Images
HA723628_1.jpg Fig1: Western blot analysis of Phosphothreonine on different lysates with Rabbit anti-Phosphothreonine antibody (HA723628) at 1/5,000 dilution.

Lane 1: HeLa cell lysate (20 µg/Lane)
Lane 2: HeLa treated with 100nM Calyculin A for 30 minutes cell lysate (20 µg/Lane)

Observed band size: Mutiple kDa

Exposure time: 59 seconds; ECL: K1801;

4-20% SDS-PAGE gel.

Proteins were transferred to a PVDF membrane and blocked with 5% NFDM/TBST for 1 hour at room temperature. The primary antibody (HA723628) at 1/5,000 dilution was used in primary antibody dilution (K1803) at 4℃ overnight. Goat Anti-Rabbit IgG - HRP Secondary Antibody (HA1001) at 1/50,000 dilution was used for 1 hour at room temperature.
HA723628_2.jpg Fig2: Western blot analysis of Phosphothreonine on different lysates with Rabbit anti-Phosphothreonine antibody (HA723628) at 1/5,000 dilution.

Lane 1: NIH/3T3 cell lysate
Lane 2: NIH/3T3 starved for 24 hours then treated with 100nM Calyculin A for 30 minutes cell lysate
Lane 3: NIH/3T3 starved for 24 hours then treated with 100nM Calyculin A for 30 minutes cell lysate, then the membrane treated with λpp for 1 hour
Lane 4: NIH/3T3 cell lysate
Lane 5: NIH/3T3 treated with 1mM Sodium orthovanadate for 30 minutes cell lysate

Lysates/proteins at 20 µg/Lane.

Observed band size: Mutiple kDa

Exposure time: 20 seconds; ECL: K1801;
4-20% SDS-PAGE gel.

Proteins were transferred to a PVDF membrane and blocked with 5% NFDM/TBST for 1 hour at room temperature. The primary antibody (HA723628) at 1/5,000 dilution was used in primary antibody dilution (K1803) at 4℃ overnight. Goat Anti-Rabbit IgG - HRP Secondary Antibody (HA1001) at 1/50,000 dilution was used for 1 hour at room temperature.
HA723628_3.jpg Fig3: Western blot analysis of Phosphothreonine on different lysates with Rabbit anti-Phosphothreonine antibody (HA723628) at 1/5,000 dilution.

Lane 1: PC-12 cell lysate
Lane 2: PC-12 starved for 24 hours then treated with 100nM Calyculin A for 30 minutes cell lysate

Lysates/proteins at 20 µg/Lane.

Observed band size: Mutiple kDa

Exposure time: 6 seconds; ECL: K1801;
4-20% SDS-PAGE gel.

Proteins were transferred to a PVDF membrane and blocked with 5% NFDM/TBST for 1 hour at room temperature. The primary antibody (HA723628) at 1/5,000 dilution was used in primary antibody dilution (K1803) at 4℃ overnight. Goat Anti-Rabbit IgG - HRP Secondary Antibody (HA1001) at 1/50,000 dilution was used for 1 hour at room temperature.
HA723628_4.jpg Fig4: Immunohistochemical analysis of paraffin-embedded human gastric cancer tissue untreated / treated with λpp with Rabbit anti-Phosphothreonine antibody (HA723628) at 1/1,000 dilution.

The section was pre-treated using heat mediated antigen retrieval with Tris-EDTA buffer (pH 9.0) for 20 minutes. The tissues were blocked in 1% BSA for 20 minutes at room temperature, washed with ddH2O and PBS, and then probed with the primary antibody (HA723628) at 1/1,000 dilution for 1 hour at room temperature. The detection was performed using an HRP conjugated compact polymer system. DAB was used as the chromogen. Tissues were counterstained with hematoxylin and mounted with DPX.
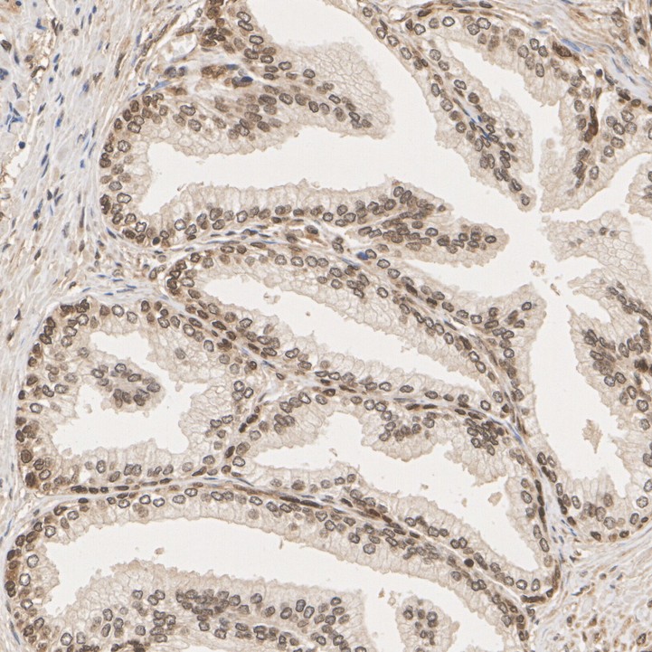
HA723628_5.jpg Fig5: Immunohistochemical analysis of paraffin-embedded human prostate tissue with Rabbit anti-Phosphothreonine antibody (HA723628) at 1/1,000 dilution.

The section was pre-treated using heat mediated antigen retrieval with Tris-EDTA buffer (pH 9.0) for 20 minutes. The tissues were blocked in 1% BSA for 20 minutes at room temperature, washed with ddH2O and PBS, and then probed with the primary antibody (HA723628) at 1/1,000 dilution for 1 hour at room temperature. The detection was performed using an HRP conjugated compact polymer system. DAB was used as the chromogen. Tissues were counterstained with hematoxylin and mounted with DPX.
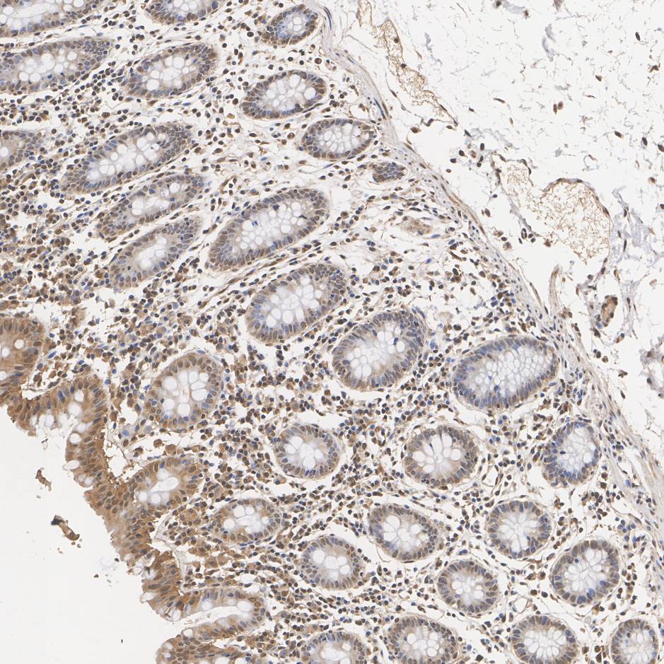
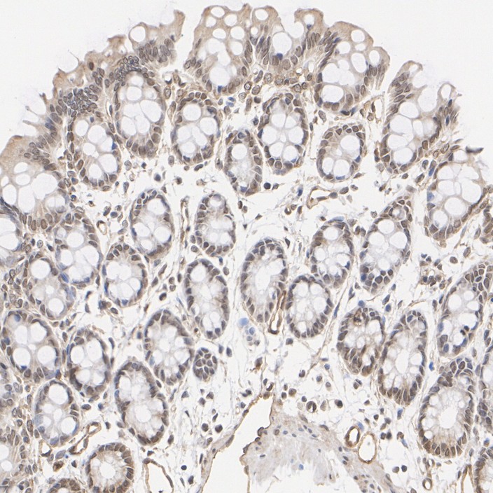
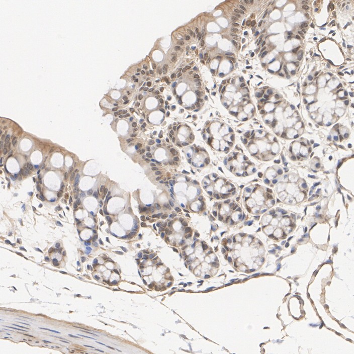
HA723628_6.jpg Fig6: Immunohistochemical analysis of paraffin-embedded human colon tissue with Rabbit anti-Phosphothreonine antibody (HA723628) at 1/3,000 dilution.

The section was pre-treated using heat mediated antigen retrieval with Tris-EDTA buffer (pH 9.0) for 20 minutes. The tissues were blocked in 1% BSA for 20 minutes at room temperature, washed with ddH2O and PBS, and then probed with the primary antibody (HA723628) at 1/3,000 dilution for 1 hour at room temperature. The detection was performed using an HRP conjugated compact polymer system. DAB was used as the chromogen. Tissues were counterstained with hematoxylin and mounted with DPX.
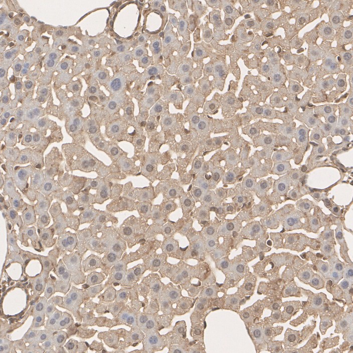
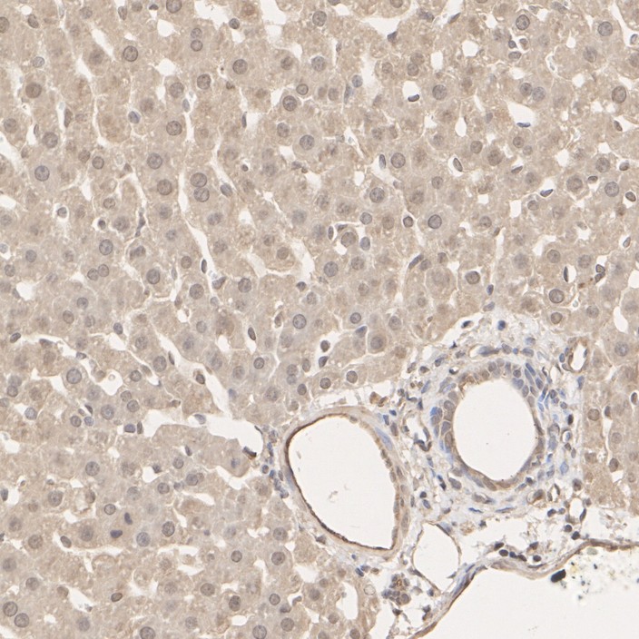
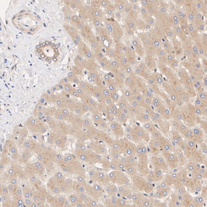
HA723628_7.jpg Fig7: Immunohistochemical analysis of paraffin-embedded human liver tissue with Rabbit anti-Phosphothreonine antibody (HA723628) at 1/8,000 dilution.

The section was pre-treated using heat mediated antigen retrieval with Tris-EDTA buffer (pH 9.0) for 20 minutes. The tissues were blocked in 1% BSA for 20 minutes at room temperature, washed with ddH2O and PBS, and then probed with the primary antibody (HA723628) at 1/5,000 dilution for 1 hour at room temperature. The detection was performed using an HRP conjugated compact polymer system. DAB was used as the chromogen. Tissues were counterstained with hematoxylin and mounted with DPX.
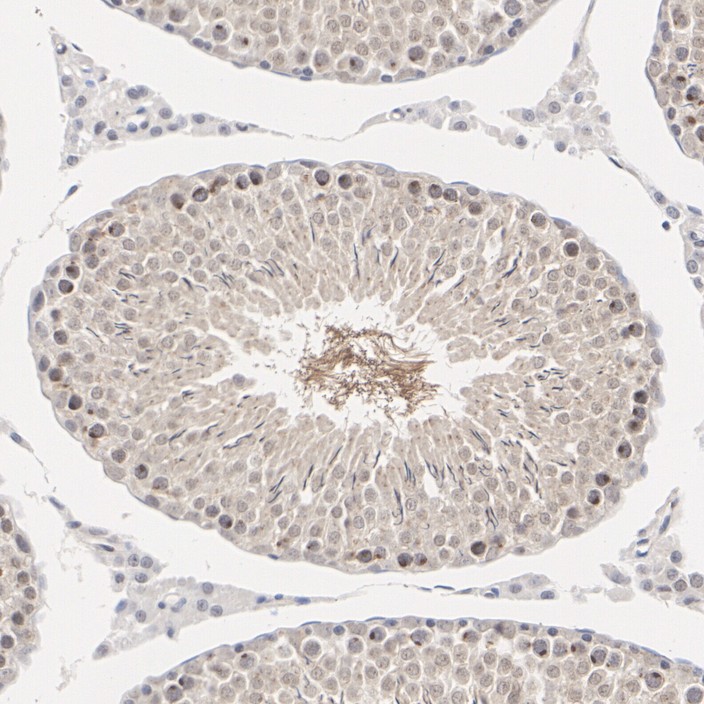
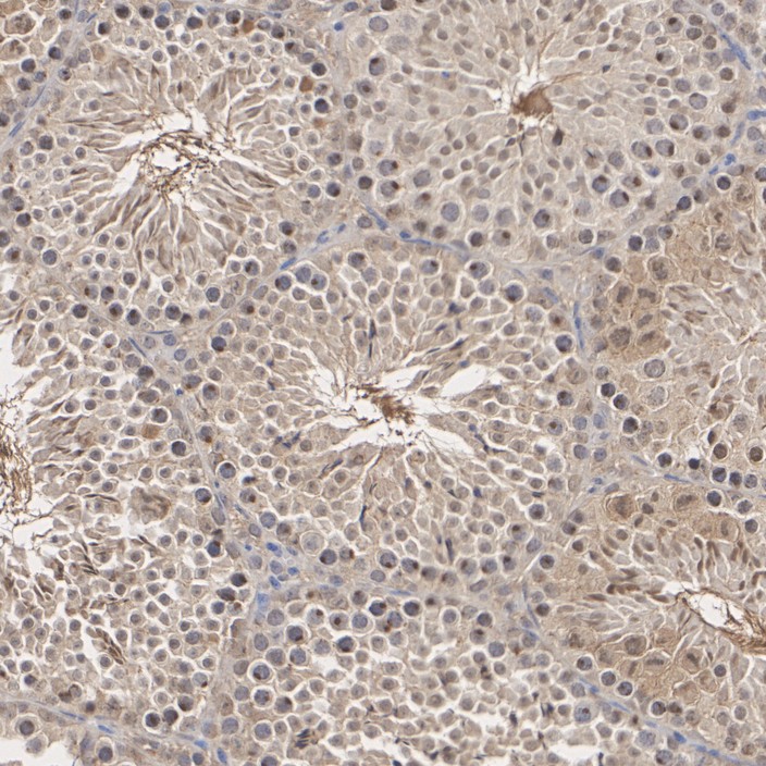
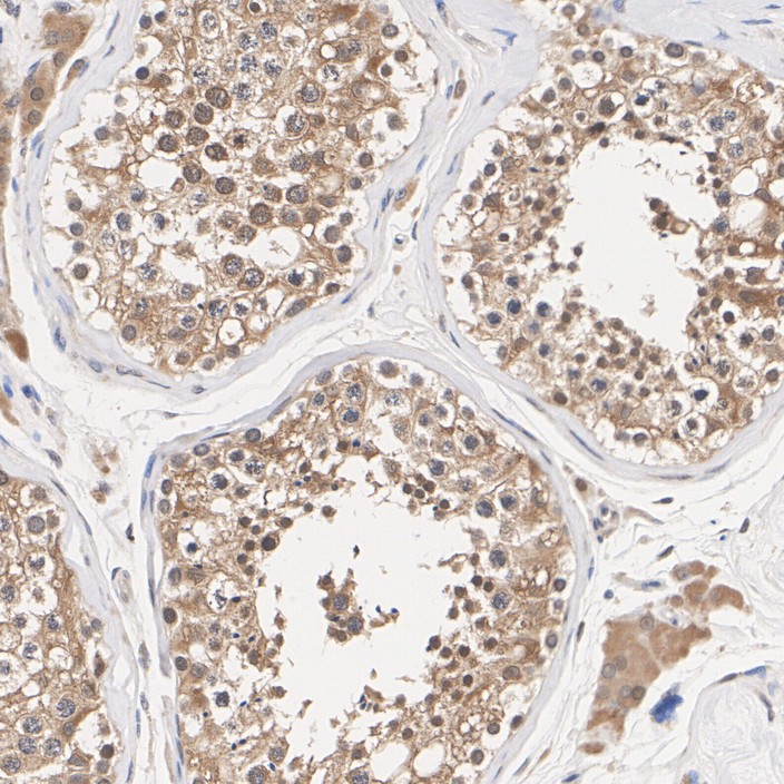
HA723628_8.jpg Fig8: Immunohistochemical analysis of paraffin-embedded human testis tissue with Rabbit anti-Phosphothreonine antibody (HA723628) at 1/8,000 dilution.

The section was pre-treated using heat mediated antigen retrieval with Tris-EDTA buffer (pH 9.0) for 20 minutes. The tissues were blocked in 1% BSA for 20 minutes at room temperature, washed with ddH2O and PBS, and then probed with the primary antibody (HA723628) at 1/5,000 dilution for 1 hour at room temperature. The detection was performed using an HRP conjugated compact polymer system. DAB was used as the chromogen. Tissues were counterstained with hematoxylin and mounted with DPX.
HA723628_9.jpg Fig9: Immunohistochemical analysis of paraffin-embedded mouse prostate tissue with Rabbit anti-Phosphothreonine antibody (HA723628) at 1/1,000 dilution.

The section was pre-treated using heat mediated antigen retrieval with Tris-EDTA buffer (pH 9.0) for 20 minutes. The tissues were blocked in 1% BSA for 20 minutes at room temperature, washed with ddH2O and PBS, and then probed with the primary antibody (HA723628) at 1/1,000 dilution for 1 hour at room temperature. The detection was performed using an HRP conjugated compact polymer system. DAB was used as the chromogen. Tissues were counterstained with hematoxylin and mounted with DPX.
HA723628_10.jpg Fig10: Immunohistochemical analysis of paraffin-embedded mouse colon tissue with Rabbit anti-Phosphothreonine antibody (HA723628) at 1/8,000 dilution.

The section was pre-treated using heat mediated antigen retrieval with Tris-EDTA buffer (pH 9.0) for 20 minutes. The tissues were blocked in 1% BSA for 20 minutes at room temperature, washed with ddH2O and PBS, and then probed with the primary antibody (HA723628) at 1/5,000 dilution for 1 hour at room temperature. The detection was performed using an HRP conjugated compact polymer system. DAB was used as the chromogen. Tissues were counterstained with hematoxylin and mounted with DPX.
HA723628_11.jpg Fig11: Immunohistochemical analysis of paraffin-embedded mouse liver tissue with Rabbit anti-Phosphothreonine antibody (HA723628) at 1/3,000 dilution.

The section was pre-treated using heat mediated antigen retrieval with Tris-EDTA buffer (pH 9.0) for 20 minutes. The tissues were blocked in 1% BSA for 20 minutes at room temperature, washed with ddH2O and PBS, and then probed with the primary antibody (HA723628) at 1/3,000 dilution for 1 hour at room temperature. The detection was performed using an HRP conjugated compact polymer system. DAB was used as the chromogen. Tissues were counterstained with hematoxylin and mounted with DPX.
HA723628_12.jpg Fig12: Immunohistochemical analysis of paraffin-embedded mouse testis tissue with Rabbit anti-Phosphothreonine antibody (HA723628) at 1/3,000 dilution.

The section was pre-treated using heat mediated antigen retrieval with Tris-EDTA buffer (pH 9.0) for 20 minutes. The tissues were blocked in 1% BSA for 20 minutes at room temperature, washed with ddH2O and PBS, and then probed with the primary antibody (HA723628) at 1/3,000 dilution for 1 hour at room temperature. The detection was performed using an HRP conjugated compact polymer system. DAB was used as the chromogen. Tissues were counterstained with hematoxylin and mounted with DPX.
HA723628_13.jpg Fig13: Immunohistochemical analysis of paraffin-embedded rat colon tissue with Rabbit anti-Phosphothreonine antibody (HA723628) at 1/8,000 dilution.

The section was pre-treated using heat mediated antigen retrieval with Tris-EDTA buffer (pH 9.0) for 20 minutes. The tissues were blocked in 1% BSA for 20 minutes at room temperature, washed with ddH2O and PBS, and then probed with the primary antibody (HA723628) at 1/5,000 dilution for 1 hour at room temperature. The detection was performed using an HRP conjugated compact polymer system. DAB was used as the chromogen. Tissues were counterstained with hematoxylin and mounted with DPX.
HA723628_14.jpg Fig14: Immunohistochemical analysis of paraffin-embedded rat liver tissue with Rabbit anti-Phosphothreonine antibody (HA723628) at 1/8,000 dilution.

The section was pre-treated using heat mediated antigen retrieval with Tris-EDTA buffer (pH 9.0) for 20 minutes. The tissues were blocked in 1% BSA for 20 minutes at room temperature, washed with ddH2O and PBS, and then probed with the primary antibody (HA723628) at 1/5,000 dilution for 1 hour at room temperature. The detection was performed using an HRP conjugated compact polymer system. DAB was used as the chromogen. Tissues were counterstained with hematoxylin and mounted with DPX.
HA723628_15.jpg Fig15: Immunohistochemical analysis of paraffin-embedded rat testis tissue with Rabbit anti-Phosphothreonine antibody (HA723628) at 1/8,000 dilution.

The section was pre-treated using heat mediated antigen retrieval with Tris-EDTA buffer (pH 9.0) for 20 minutes. The tissues were blocked in 1% BSA for 20 minutes at room temperature, washed with ddH2O and PBS, and then probed with the primary antibody (HA723628) at 1/5,000 dilution for 1 hour at room temperature. The detection was performed using an HRP conjugated compact polymer system. DAB was used as the chromogen. Tissues were counterstained with hematoxylin and mounted with DPX.
HA723628_16.jpg Fig16: Indirect ELISA analysis of Phosphothreonine.
HA723628_17.jpg Fig17: Immunocytochemistry analysis of HeLa cells untreated / treated with 100nM Calyculin A for 30 minutes labeling Phosphothreonine with Rabbit anti-Phosphothreonine antibody (HA723628) at 1/50,000 dilution.

Cells were fixed in 4% paraformaldehyde for 15 minutes at room temperature, permeabilized with 0.1% Triton X-100 in PBS for 15 minutes at room temperature, then blocked with 1% BSA in 10% negative goat serum for 1 hour at room temperature. Cells were then incubated with Rabbit anti-Phosphothreonine antibody (HA723628) at 1/50,000 dilution in 1% BSA in PBST overnight at 4 ℃. Goat Anti-Rabbit IgG H&L (iFluor™ 488, HA1121) was used as the secondary antibody at 1/1,000 dilution. PBS instead of the primary antibody was used as the secondary antibody only control. Nuclear DNA was labelled in blue with DAPI.

Beta tubulin (HA601187, red) was stained at 1/100 dilution overnight at +4℃. Goat Anti-Mouse IgG H&L (iFluor™ 594, HA1126) was used as the secondary antibody at 1/1,000 dilution.
HA723628_18.jpg Fig18: Immunocytochemistry analysis of NIH/3T3 cells untreated / starved for 24 hours then treated with 100nM Calyculin A for 30 minutes labeling Phosphothreonine with Rabbit anti-Phosphothreonine antibody (HA723628) at 1/50,000 dilution.

Cells were fixed in 4% paraformaldehyde for 15 minutes at room temperature, permeabilized with 0.1% Triton X-100 in PBS for 15 minutes at room temperature, then blocked with 1% BSA in 10% negative goat serum for 1 hour at room temperature. Cells were then incubated with Rabbit anti-Phosphothreonine antibody (HA723628) at 1/50,000 dilution in 1% BSA in PBST overnight at 4 ℃. Goat Anti-Rabbit IgG H&L (iFluor™ 488, HA1121) was used as the secondary antibody at 1/1,000 dilution. PBS instead of the primary antibody was used as the secondary antibody only control. Nuclear DNA was labelled in blue with DAPI.

Beta tubulin (HA601187, red) was stained at 1/100 dilution overnight at +4℃. Goat Anti-Mouse IgG H&L (iFluor™ 594, HA1126) was used as the secondary antibody at 1/1,000 dilution.
HA723628_19.jpg Fig19: Immunocytochemistry analysis of PC-12 cells untreated / starved for 24 hours then treated with 100nM Calyculin A for 30 minutes labeling Phosphothreonine with Rabbit anti-Phosphothreonine antibody (HA723628) at 1/50,000 dilution.

Cells were fixed in 4% paraformaldehyde for 15 minutes at room temperature, permeabilized with 0.1% Triton X-100 in PBS for 15 minutes at room temperature, then blocked with 1% BSA in 10% negative goat serum for 1 hour at room temperature. Cells were then incubated with Rabbit anti-Phosphothreonine antibody (HA723628) at 1/50,000 dilution in 1% BSA in PBST overnight at 4 ℃. Goat Anti-Rabbit IgG H&L (iFluor™ 488, HA1121) was used as the secondary antibody at 1/1,000 dilution. PBS instead of the primary antibody was used as the secondary antibody only control. Nuclear DNA was labelled in blue with DAPI.

Beta tubulin (HA601187, red) was stained at 1/100 dilution overnight at +4℃. Goat Anti-Mouse IgG H&L (iFluor™ 594, HA1126) was used as the secondary antibody at 1/1,000 dilution.
HA723628_20.jpg Fig20: Phosphothreonine was immunoprecipitated from 0.2 mg NIH/3T3 starved for 24 hours then treated with 100nM Calyculin A for 30 minutes cell lysate with HA723628 at 2 µg/10 µl beads. Western blot was performed from the immunoprecipitate using HA723628 at 1/5,000 dilution. HRP Conjugated Anti-Rabbit IgG for IP Nano-secondary antibody at 1/5,000 dilution was used for 1 hour at room temperature.

Lane 1: NIH/3T3 starved for 24 hours then treated with 100nM Calyculin A for 30 minutes cell lysate (input)
Lane 2: HA723628 IP in NIH/3T3 starved for 24 hours then treated with 100nM Calyculin A for 30 minutes cell lysate
Lane 3: Rabbit IgG instead of HA723628 in NIH/3T3 starved for 24 hours then treated with 100nM Calyculin A for 30 minutes cell lysate

Blocking/Dilution buffer: 5% NFDM/TBST
Exposure time: 20 seconds; ECL: K1801
HA723628_21.jpg Fig21: Phosphothreonine was immunoprecipitated from 0.2 mg PC-12 starved for 24 hours then treated with 100nM Calyculin A for 30 minutes cell lysate with HA723628 at 2 µg/10 µl beads. Western blot was performed from the immunoprecipitate using HA723628 at 1/5,000 dilution. HRP Conjugated Anti-Rabbit IgG for IP Nano-secondary antibody at 1/5,000 dilution was used for 1 hour at room temperature.

Lane 1: PC-12 starved for 24 hours then treated with 100nM Calyculin A for 30 minutes cell lysate (input)
Lane 2: HA723628 IP in PC-12 starved for 24 hours then treated with 100nM Calyculin A for 30 minutes cell lysate
Lane 3: Rabbit IgG instead of HA723628 in PC-12 starved for 24 hours then treated with 100nM Calyculin A for 30 minutes cell lysate

Blocking/Dilution buffer: 5% NFDM/TBST
Exposure time: 25 seconds; ECL: K1801
Note: All products are “FOR RESEARCH USE ONLY AND ARE NOT INTENDED FOR DIAGNOSTIC OR THERAPEUTIC USE”.