MFF Recombinant Rabbit Monoclonal Antibody [PSH14-36]
cat.: HA723630
Product Type: Recombinant Rabbit monoclonal IgG, primary antibodies
Species reactivity: Human, Mouse, Rat, Monkey
Applications: WB, IHC-P, IF-Cell, FC, IP
Clonality: Monoclonal
Clone number: PSH14-36
Form: Liquid
Storage condition: Shipped at 4℃. Store at +4℃ short term (1-2 weeks). It is recommended to aliquot into single-use upon delivery. Store at -20℃ long term.
Storage buffer: PBS (pH7.4), 0.1% BSA, 40% Glycerol. Preservative: 0.05% Sodium Azide.
Concentration: 1ug/ul
Purification: Protein A affinity purified.
Molecular weight: Predicted band size: 38 kDa
Isotype: IgG
Immunogen: Recombinant protein within human MFF aa 1-322.
Positive control: HeLa cell lysate, MCF7 cell lysate, A549 cell lysate, HepG2 cell lysate, 293T cell lysate, C2C12 cell lysate, PC-12 cell lysate, COS-1 cell lysate, Mouse brain tissue lysate, Mouse heart tissue lysate, Rat brain tissue lysate, Rat heart tissue lysate, human heart tissue, human brain tissue, mouse brain tissue, rat brain tissue, HeLa, NIH/3T3, PC-12.
Subcellular location: Mitochondrion outer membrane, Peroxisome, Cytoplasmic vesicle, secretory vesicle, synaptic vesicle.
Recommended Dilutions:
  WB
  IHC-P
  IF-Cell
  FC
  IP

1:25,000
1:5,000
1:100
1:1,000
1-2μg/sample
Uniprot #: SwissProt: Q9GZY8 Human | Q6PCP5 Mouse | Q4KM98 Rat
Alternative names: C2orf33 Chromosome 2 open reading frame 33 DKFZp666J168 GL004 Mff MFF_HUMAN MGC110913 Mitochondrial fission factor OTTHUMP00000164235
Images
HA723630_1.jpg Fig1: Western blot analysis of MFF on different lysates with Rabbit anti-MFF antibody (HA723630) at 1/25,000 dilution.

Lane 1: HeLa cell lysate (10 µg/Lane)
Lane 2: MCF7 cell lysate (10 µg/Lane)
Lane 3: A549 cell lysate (10 µg/Lane)
Lane 4: HepG2 cell lysate (10 µg/Lane)
Lane 5: 293T cell lysate (10 µg/Lane)
Lane 6: C2C12 cell lysate (10 µg/Lane)
Lane 7: PC-12 cell lysate (10 µg/Lane)
Lane 8: COS-1 cell lysate (10 µg/Lane)
Lane 9: Mouse brain tissue lysate (20 µg/Lane)
Lane 10: Mouse heart tissue lysate (20 µg/Lane)
Lane 11: Rat brain tissue lysate (20 µg/Lane)
Lane 12: Rat heart tissue lysate (20 µg/Lane)

Predicted band size: 38 kDa
Observed band size: 30-38 kDa

Exposure time: 4 seconds; ECL: K1801;

4-20% SDS-PAGE gel.

Proteins were transferred to a PVDF membrane and blocked with 5% NFDM/TBST for 1 hour at room temperature. The primary antibody (HA723630) at 1/25,000 dilution was used in primary antibody dilution (K1803) at 4℃ overnight. Goat Anti-Rabbit IgG - HRP Secondary Antibody (HA1001) at 1/50,000 dilution was used for 1 hour at room temperature.
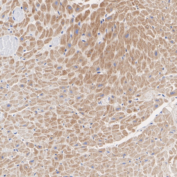
HA723630_2.jpg Fig2: Immunohistochemical analysis of paraffin-embedded human heart tissue with Rabbit anti-MFF antibody (HA723630) at 1/5,000 dilution.

The section was pre-treated using heat mediated antigen retrieval with Tris-EDTA buffer (pH 9.0) for 20 minutes. The tissues were blocked in 1% BSA for 20 minutes at room temperature, washed with ddH2O and PBS, and then probed with the primary antibody (HA723630) at 1/5,000 dilution for 1 hour at room temperature. The detection was performed using an HRP conjugated compact polymer system. DAB was used as the chromogen. Tissues were counterstained with hematoxylin and mounted with DPX.
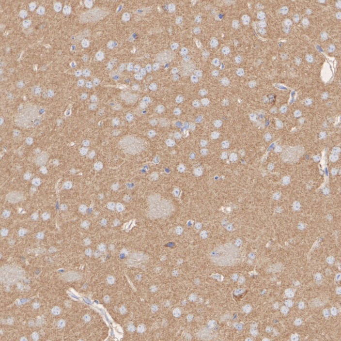
HA723630_3.jpg Fig3: Immunohistochemical analysis of paraffin-embedded human brain tissue with Rabbit anti-MFF antibody (HA723630) at 1/5,000 dilution.

The section was pre-treated using heat mediated antigen retrieval with Tris-EDTA buffer (pH 9.0) for 20 minutes. The tissues were blocked in 1% BSA for 20 minutes at room temperature, washed with ddH2O and PBS, and then probed with the primary antibody (HA723630) at 1/5,000 dilution for 1 hour at room temperature. The detection was performed using an HRP conjugated compact polymer system. DAB was used as the chromogen. Tissues were counterstained with hematoxylin and mounted with DPX.
HA723630_4.jpg Fig4: Immunohistochemical analysis of paraffin-embedded mouse brain tissue with Rabbit anti-MFF antibody (HA723630) at 1/5,000 dilution.

The section was pre-treated using heat mediated antigen retrieval with Tris-EDTA buffer (pH 9.0) for 20 minutes. The tissues were blocked in 1% BSA for 20 minutes at room temperature, washed with ddH2O and PBS, and then probed with the primary antibody (HA723630) at 1/5,000 dilution for 1 hour at room temperature. The detection was performed using an HRP conjugated compact polymer system. DAB was used as the chromogen. Tissues were counterstained with hematoxylin and mounted with DPX.
HA723630_5.jpg Fig5: Immunohistochemical analysis of paraffin-embedded rat brain tissue with Rabbit anti-MFF antibody (HA723630) at 1/5,000 dilution.

The section was pre-treated using heat mediated antigen retrieval with Tris-EDTA buffer (pH 9.0) for 20 minutes. The tissues were blocked in 1% BSA for 20 minutes at room temperature, washed with ddH2O and PBS, and then probed with the primary antibody (HA723630) at 1/5,000 dilution for 1 hour at room temperature. The detection was performed using an HRP conjugated compact polymer system. DAB was used as the chromogen. Tissues were counterstained with hematoxylin and mounted with DPX.
HA723630_6.jpg Fig6: Immunocytochemistry analysis of HeLa cells labeling MFF with Rabbit anti-MFF antibody (HA723630) at 1/100 dilution.

Cells were fixed in 4% paraformaldehyde for 15 minutes at room temperature, permeabilized with 0.1% Triton X-100 in PBS for 15 minutes at room temperature, then blocked with 1% BSA in 10% negative goat serum for 1 hour at room temperature. Cells were then incubated with Rabbit anti-MFF antibody (HA723630) at 1/100 dilution in 1% BSA in PBST overnight at 4 ℃. Goat Anti-Rabbit IgG H&L (iFluor™ 488, HA1121) was used as the secondary antibody at 1/1,000 dilution. PBS instead of the primary antibody was used as the secondary antibody only control. Nuclear DNA was labelled in blue with DAPI.

Beta tubulin (HA601187, red) was stained at 1/100 dilution overnight at +4℃. Goat Anti-Mouse IgG H&L (iFluor™ 594, HA1126) was used as the secondary antibody at 1/1,000 dilution.
HA723630_7.jpg Fig7: Immunocytochemistry analysis of NIH/3T3 cells labeling MFF with Rabbit anti-MFF antibody (HA723630) at 1/100 dilution.

Cells were fixed in 4% paraformaldehyde for 15 minutes at room temperature, permeabilized with 0.1% Triton X-100 in PBS for 15 minutes at room temperature, then blocked with 1% BSA in 10% negative goat serum for 1 hour at room temperature. Cells were then incubated with Rabbit anti-MFF antibody (HA723630) at 1/100 dilution in 1% BSA in PBST overnight at 4 ℃. Goat Anti-Rabbit IgG H&L (iFluor™ 488, HA1121) was used as the secondary antibody at 1/1,000 dilution. PBS instead of the primary antibody was used as the secondary antibody only control. Nuclear DNA was labelled in blue with DAPI.

Beta tubulin (HA601187, red) was stained at 1/100 dilution overnight at +4℃. Goat Anti-Mouse IgG H&L (iFluor™ 594, HA1126) was used as the secondary antibody at 1/1,000 dilution.
HA723630_8.jpg Fig8: Immunocytochemistry analysis of PC-12 cells labeling MFF with Rabbit anti-MFF antibody (HA723630) at 1/100 dilution.

Cells were fixed in 4% paraformaldehyde for 15 minutes at room temperature, permeabilized with 0.1% Triton X-100 in PBS for 15 minutes at room temperature, then blocked with 1% BSA in 10% negative goat serum for 1 hour at room temperature. Cells were then incubated with Rabbit anti-MFF antibody (HA723630) at 1/100 dilution in 1% BSA in PBST overnight at 4 ℃. Goat Anti-Rabbit IgG H&L (iFluor™ 488, HA1121) was used as the secondary antibody at 1/1,000 dilution. PBS instead of the primary antibody was used as the secondary antibody only control. Nuclear DNA was labelled in blue with DAPI.

Beta tubulin (HA601187, red) was stained at 1/100 dilution overnight at +4℃. Goat Anti-Mouse IgG H&L (iFluor™ 594, HA1126) was used as the secondary antibody at 1/1,000 dilution.
HA723630_9.jpg Fig9: Flow cytometric analysis of HeLa cells labeling MFF.

Cells were fixed and permeabilized. Then stained with the primary antibody (HA723630, 1/1,000) (red) compared with Rabbit IgG Isotype Control (green). After incubation of the primary antibody at +4℃ for an hour, the cells were stained with a iFluor™ 488 conjugate-Goat anti-Rabbit IgG Secondary antibody (HA1121) at 1/1,000 dilution for 30 minutes at +4℃. Unlabelled sample was used as a control (cells without incubation with primary antibody; black).
HA723630_10.jpg Fig10: Flow cytometric analysis of NIH/3T3 cells labeling MFF.

Cells were fixed and permeabilized. Then stained with the primary antibody (HA723630, 1/1,000) (red) compared with Rabbit IgG Isotype Control (green). After incubation of the primary antibody at +4℃ for an hour, the cells were stained with a iFluor™ 488 conjugate-Goat anti-Rabbit IgG Secondary antibody (HA1121) at 1/1,000 dilution for 30 minutes at +4℃. Unlabelled sample was used as a control (cells without incubation with primary antibody; black).
HA723630_11.jpg Fig11: Flow cytometric analysis of PC-12 cells labeling MFF.

Cells were fixed and permeabilized. Then stained with the primary antibody (HA723630, 1/1,000) (red) compared with Rabbit IgG Isotype Control (green). After incubation of the primary antibody at +4℃ for an hour, the cells were stained with a iFluor™ 488 conjugate-Goat anti-Rabbit IgG Secondary antibody (HA1121) at 1/1,000 dilution for 30 minutes at +4℃. Unlabelled sample was used as a control (cells without incubation with primary antibody; black).
HA723630_12.jpg Fig12: MFF was immunoprecipitated from 0.2 mg HeLa cell lysate with HA723630 at 2 µg/10 µl beads. Western blot was performed from the immunoprecipitate using HA723630 at 1/5,000 dilution. HRP Conjugated Anti-Rabbit IgG for IP Nano-secondary antibody at 1/5,000 dilution was used for 1 hour at room temperature.

Lane 1: HeLa cell lysate (input)
Lane 2: HA723630 IP in HeLa cell lysate
Lane 3: Rabbit IgG instead of HA723630 in HeLa cell lysate

Blocking/Dilution buffer: 5% NFDM/TBST
Exposure time: 7 seconds; ECL: K1801
Note: All products are “FOR RESEARCH USE ONLY AND ARE NOT INTENDED FOR DIAGNOSTIC OR THERAPEUTIC USE”.