NDUFS1 Recombinant Rabbit Monoclonal Antibody [PSH14-45]
cat.: HA723641
Product Type: Recombinant Rabbit monoclonal IgG, primary antibodies
Species reactivity: Human, Mouse, Rat, Monkey
Applications: WB, IHC-P
Clonality: Monoclonal
Clone number: PSH14-45
Form: Liquid
Storage condition: Shipped at 4℃. Store at +4℃ short term (1-2 weeks). It is recommended to aliquot into single-use upon delivery. Store at -20℃ long term.
Storage buffer: PBS (pH7.4), 0.1% BSA, 40% Glycerol. Preservative: 0.05% Sodium Azide.
Concentration: 1ug/ul
Purification: Protein A affinity purified.
Molecular weight: Predicted band size: 79 kDa
Isotype: IgG
Immunogen: Recombinant protein within human NDUFS1 aa 201-727.
Positive control: HepG2 cell lysate, Caco-2 cell lysate, HeLa cell lysate, C2C12 cell lysate, L6 cell lysate, COS-1 cell lysate, human liver tissue, human heart tissue, human kidney tissue, mouse heart tissue, mouse kidney tissue, rat heart tissue, rat kidney tissue.
Subcellular location: Mitochondrion inner membrane.
Recommended Dilutions:
  WB
  IHC-P

1:10,000
1:200-1:1,000
Uniprot #: SwissProt: P28331 Human | Q91VD9 Mouse | Q66HF1 Rat
Alternative names: CI-75kD Complex I 75Kd Complex I, mitochondrial respiratory chain, 75 kD subunit Complex I-75kD mitochondrial NADH coenzyme Q reductase NADH dehydrogenase (ubiquinone) FeS protein 1 (75kD) (NADH coenzyme Q reductase) NADH ubiquinone oxidoreductase 75 kDa subunit mitochondrial NADH-ubiquinone oxidoreductase 75 kDa subunit NDUFS1 NDUS1_HUMAN PRO1304
Images
HA723641_1.jpg Fig1: Western blot analysis of NDUFS1 on different lysates with Rabbit anti-NDUFS1 antibody (HA723641) at 1/10,000 dilution.

Lane 1: HepG2 cell lysate
Lane 2: Caco-2 cell lysate
Lane 3: HeLa cell lysate
Lane 4: C2C12 cell lysate
Lane 5: L6 cell lysate
Lane 6: COS-1 cell lysate

Lysates/proteins at 20 µg/Lane.

Predicted band size: 79 kDa
Observed band size: 75 kDa

Exposure time: 25 seconds; ECL: K1801;

4-20% SDS-PAGE gel.

Proteins were transferred to a PVDF membrane and blocked with 5% NFDM/TBST for 1 hour at room temperature. The primary antibody (HA723641) at 1/10,000 dilution was used in primary antibody dilution (K1803) at 4℃ overnight. Goat Anti-Rabbit IgG - HRP Secondary Antibody (HA1001) at 1/50,000 dilution was used for 1 hour at room temperature.
HA723641_2.jpg Fig2: Immunohistochemical analysis of paraffin-embedded human liver tissue with Rabbit anti-NDUFS1 antibody (HA723641) at 1/200 dilution.

The section was pre-treated using heat mediated antigen retrieval with Tris-EDTA buffer (pH 9.0) for 20 minutes. The tissues were blocked in 1% BSA for 20 minutes at room temperature, washed with ddH2O and PBS, and then probed with the primary antibody (HA723641) at 1/200 dilution for 1 hour at room temperature. The detection was performed using an HRP conjugated compact polymer system. DAB was used as the chromogen. Tissues were counterstained with hematoxylin and mounted with DPX.
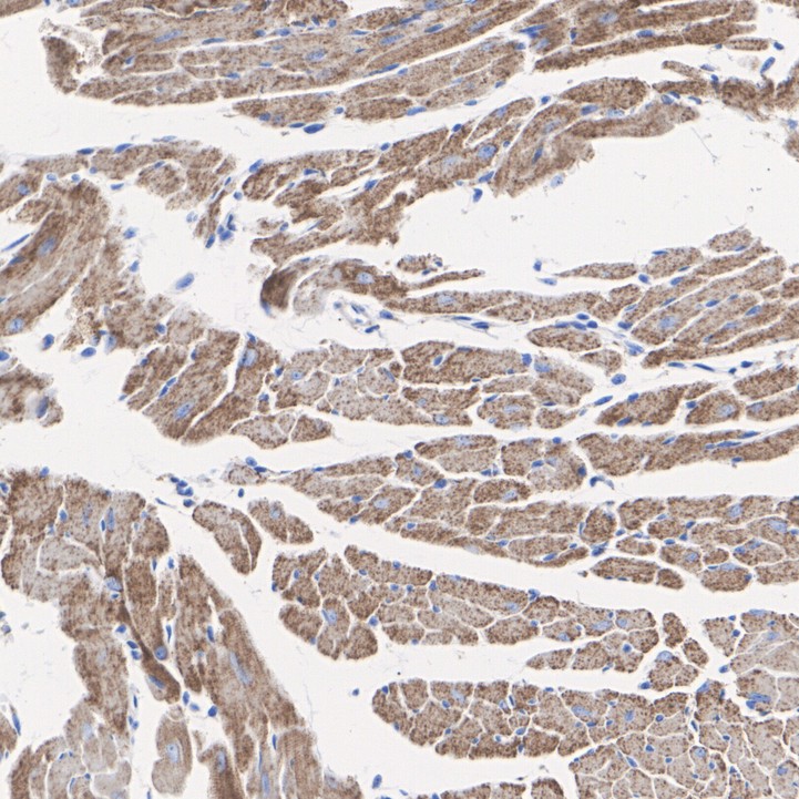
HA723641_3.jpg Fig3: Immunohistochemical analysis of paraffin-embedded human heart tissue with Rabbit anti-NDUFS1 antibody (HA723641) at 1/200 dilution.

The section was pre-treated using heat mediated antigen retrieval with Tris-EDTA buffer (pH 9.0) for 20 minutes. The tissues were blocked in 1% BSA for 20 minutes at room temperature, washed with ddH2O and PBS, and then probed with the primary antibody (HA723641) at 1/200 dilution for 1 hour at room temperature. The detection was performed using an HRP conjugated compact polymer system. DAB was used as the chromogen. Tissues were counterstained with hematoxylin and mounted with DPX.
HA723641_4.jpg Fig4: Immunohistochemical analysis of paraffin-embedded human kidney tissue with Rabbit anti-NDUFS1 antibody (HA723641) at 1/1,000 dilution.

The section was pre-treated using heat mediated antigen retrieval with Tris-EDTA buffer (pH 9.0) for 20 minutes. The tissues were blocked in 1% BSA for 20 minutes at room temperature, washed with ddH2O and PBS, and then probed with the primary antibody (HA723641) at 1/1,000 dilution for 1 hour at room temperature. The detection was performed using an HRP conjugated compact polymer system. DAB was used as the chromogen. Tissues were counterstained with hematoxylin and mounted with DPX.
HA723641_5.jpg Fig5: Immunohistochemical analysis of paraffin-embedded mouse heart tissue with Rabbit anti-NDUFS1 antibody (HA723641) at 1/200 dilution.

The section was pre-treated using heat mediated antigen retrieval with Tris-EDTA buffer (pH 9.0) for 20 minutes. The tissues were blocked in 1% BSA for 20 minutes at room temperature, washed with ddH2O and PBS, and then probed with the primary antibody (HA723641) at 1/200 dilution for 1 hour at room temperature. The detection was performed using an HRP conjugated compact polymer system. DAB was used as the chromogen. Tissues were counterstained with hematoxylin and mounted with DPX.
HA723641_6.jpg Fig6: Immunohistochemical analysis of paraffin-embedded mouse kidney tissue with Rabbit anti-NDUFS1 antibody (HA723641) at 1/1,000 dilution.

The section was pre-treated using heat mediated antigen retrieval with Tris-EDTA buffer (pH 9.0) for 20 minutes. The tissues were blocked in 1% BSA for 20 minutes at room temperature, washed with ddH2O and PBS, and then probed with the primary antibody (HA723641) at 1/1,000 dilution for 1 hour at room temperature. The detection was performed using an HRP conjugated compact polymer system. DAB was used as the chromogen. Tissues were counterstained with hematoxylin and mounted with DPX.
HA723641_7.jpg Fig7: Immunohistochemical analysis of paraffin-embedded rat heart tissue with Rabbit anti-NDUFS1 antibody (HA723641) at 1/200 dilution.

The section was pre-treated using heat mediated antigen retrieval with Tris-EDTA buffer (pH 9.0) for 20 minutes. The tissues were blocked in 1% BSA for 20 minutes at room temperature, washed with ddH2O and PBS, and then probed with the primary antibody (HA723641) at 1/200 dilution for 1 hour at room temperature. The detection was performed using an HRP conjugated compact polymer system. DAB was used as the chromogen. Tissues were counterstained with hematoxylin and mounted with DPX.
HA723641_8.jpg Fig8: Immunohistochemical analysis of paraffin-embedded rat kidney tissue with Rabbit anti-NDUFS1 antibody (HA723641) at 1/1,000 dilution.

The section was pre-treated using heat mediated antigen retrieval with Tris-EDTA buffer (pH 9.0) for 20 minutes. The tissues were blocked in 1% BSA for 20 minutes at room temperature, washed with ddH2O and PBS, and then probed with the primary antibody (HA723641) at 1/1,000 dilution for 1 hour at room temperature. The detection was performed using an HRP conjugated compact polymer system. DAB was used as the chromogen. Tissues were counterstained with hematoxylin and mounted with DPX.
Note: All products are “FOR RESEARCH USE ONLY AND ARE NOT INTENDED FOR DIAGNOSTIC OR THERAPEUTIC USE”.