JMJD6 Recombinant Rabbit Monoclonal Antibody [PSH15-03]
cat.: HA723703
Product Type: Recombinant Rabbit monoclonal IgG, primary antibodies
Species reactivity: Human, Mouse, Rat, Monkey
Applications: WB, IF-Cell, IHC-P, FC, IP, ChIP
Clonality: Monoclonal
Clone number: PSH15-03
Form: Liquid
Storage condition: Shipped at 4℃. Store at +4℃ short term (1-2 weeks). It is recommended to aliquot into single-use upon delivery. Store at -20℃ long term.
Storage buffer: PBS (pH7.4), 0.1% BSA, 40% Glycerol. Preservative: 0.05% Sodium Azide.
Concentration: 1ug/ul
Purification: Protein A affinity purified.
Molecular weight: Predicted band size: 46 kDa
Isotype: IgG
Immunogen: Recombinant protein within human JMJD6 aa 1-360.
Positive control: 293T cell lysate, PANC-1 cell lysate, HeLa cell lysate, SH-SY5Y cell lysate, COS-1 cell lysate, Neuro-2a cell lysate, PC-12 cell lysate, PC-12, human colon cancer tissue, human gastric carcinoma tissue, human lung carcinoma tissue.
Subcellular location: Nucleus, nucleoplasm, nucleolus, Cytoplasm.
Recommended Dilutions:
  WB
  IF-Cell
  IHC-P
  FC
  IP
  ChIP

1:5,000
1:100
1:8,000
1:1,000
1-2μg/sample
Use 5 μg for 25 μg of chromatin.
Uniprot #: SwissProt: Q6NYC1 Human | Q9ERI5 Mouse | Q6AYK2 Rat
Alternative names: Apoptotic cell clearance receptor Bifunctional arginine demethylase and lysyl-hydroxylase JMJD6 Histone arginine demethylase JMJD6 JmjC domain-containing protein 6 JMJD 6 JMJD6 JMJD6_HUMAN Jumonji domain containing 6 Jumonji domain-containing protein 6 KIAA0585 Lysyl-hydroxylase JMJD6 Peptide-lysine 5-dioxygenase JMJD6 Phosphatidylserine receptor Protein PTDSR PSR PTDSR 1 PTDSR PTDSR1
Images
HA723703_1.jpg Fig1: Western blot analysis of JMJD6 on different lysates with Rabbit anti-JMJD6 antibody (HA723703) at 1/5,000 dilution.

Lane 1: 293T cell lysate
Lane 2: PANC-1 cell lysate
Lane 3: HeLa cell lysate
Lane 4: SH-SY5Y cell lysate
Lane 5: COS-1 cell lysate
Lane 6: Neuro-2a cell lysate
Lane 7: PC-12 cell lysate

Lysates/proteins at 20 µg/Lane.

Predicted band size: 46 kDa
Observed band size: 50/110-260 kDa

Exposure time: 2 minutes; ECL: K1801;

4-20% SDS-PAGE gel.

Proteins were transferred to a PVDF membrane and blocked with 5% NFDM/TBST for 1 hour at room temperature. The primary antibody (HA723703) at 1/5,000 dilution was used in primary antibody dilution (K1803) at 4℃ overnight. Goat Anti-Rabbit IgG - HRP Secondary Antibody (HA1001) at 1/50,000 dilution was used for 1 hour at room temperature.
HA723703_2.jpg Fig2: Western blot analysis of JMJD6 on different lysates with Rabbit anti-JMJD6 antibody (HA723703) at 1/5,000 dilution.

Lane 1: HeLa-parental cell lysate
Lane 2: HeLa-JMJD6 KD cell lysate

Lysates/proteins at 10 µg/Lane.

Predicted band size: 46 kDa
Observed band size: 50/110-260 kDa

Exposure time: 59 seconds; ECL: K1801;

4-20% SDS-PAGE gel.

Proteins were transferred to a PVDF membrane and blocked with 5% NFDM/TBST for 1 hour at room temperature. The primary antibody (HA723703) at 1/5,000 dilution was used in primary antibody dilution (K1803) at 4℃ overnight. Goat Anti-Rabbit IgG - HRP Secondary Antibody (HA1001) at 1/50,000 dilution was used for 1 hour at room temperature.
HA723703_3.jpg Fig3: Immunocytochemistry analysis of PC-12 cells labeling JMJD6 with Rabbit anti-JMJD6 antibody (HA723703) at 1/100 dilution.

Cells were fixed in 4% paraformaldehyde for 15 minutes at room temperature, permeabilized with 0.1% Triton X-100 in PBS for 15 minutes at room temperature, then blocked with 1% BSA in 10% negative goat serum for 1 hour at room temperature. Cells were then incubated with Rabbit anti-JMJD6 antibody (HA723703) at 1/100 dilution in 1% BSA in PBST overnight at 4 ℃. Goat Anti-Rabbit IgG H&L (iFluor™ 488, HA1121) was used as the secondary antibody at 1/1,000 dilution. PBS instead of the primary antibody was used as the secondary antibody only control. Nuclear DNA was labelled in blue with DAPI.

Beta tubulin (HA601187, red) was stained at 1/100 dilution overnight at +4℃. Goat Anti-Mouse IgG H&L (iFluor™ 594, HA1126) was used as the secondary antibody at 1/1,000 dilution.
HA723703_4.jpg Fig4: Immunohistochemical analysis of paraffin-embedded human colon cancer tissue with Rabbit anti-JMJD6 antibody (HA723703) at 1/8,000 dilution.

The section was pre-treated using heat mediated antigen retrieval with Tris-EDTA buffer (pH 9.0) for 20 minutes. The tissues were blocked in 1% BSA for 20 minutes at room temperature, washed with ddH2O and PBS, and then probed with the primary antibody (HA723703) at 1/8,000 dilution for 1 hour at room temperature. The detection was performed using an HRP conjugated compact polymer system. DAB was used as the chromogen. Tissues were counterstained with hematoxylin and mounted with DPX.
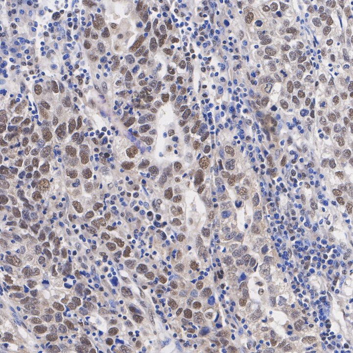
HA723703_5.jpg Fig5: Immunohistochemical analysis of paraffin-embedded human gastric carcinoma tissue with Rabbit anti-JMJD6 antibody (HA723703) at 1/8,000 dilution.

The section was pre-treated using heat mediated antigen retrieval with Tris-EDTA buffer (pH 9.0) for 20 minutes. The tissues were blocked in 1% BSA for 20 minutes at room temperature, washed with ddH2O and PBS, and then probed with the primary antibody (HA723703) at 1/8,000 dilution for 1 hour at room temperature. The detection was performed using an HRP conjugated compact polymer system. DAB was used as the chromogen. Tissues were counterstained with hematoxylin and mounted with DPX.
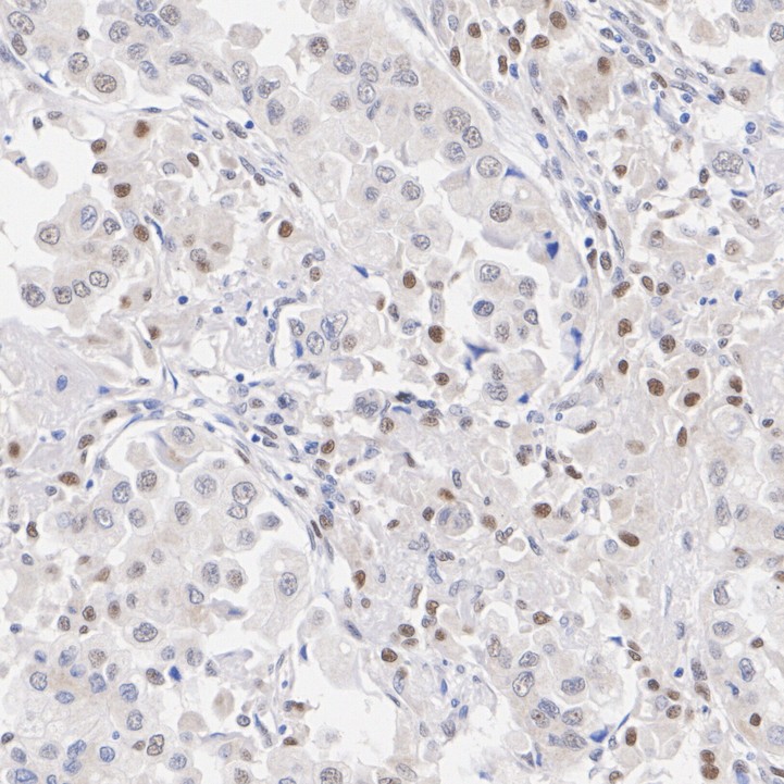
HA723703_6.jpg Fig6: Immunohistochemical analysis of paraffin-embedded human lung carcinoma tissue with Rabbit anti-JMJD6 antibody (HA723703) at 1/8,000 dilution.

The section was pre-treated using heat mediated antigen retrieval with Tris-EDTA buffer (pH 9.0) for 20 minutes. The tissues were blocked in 1% BSA for 20 minutes at room temperature, washed with ddH2O and PBS, and then probed with the primary antibody (HA723703) at 1/8,000 dilution for 1 hour at room temperature. The detection was performed using an HRP conjugated compact polymer system. DAB was used as the chromogen. Tissues were counterstained with hematoxylin and mounted with DPX.
HA723703_7.jpg Fig7: Flow cytometric analysis of PC-12 cells labeling JMJD6.

Cells were fixed and permeabilized. Then stained with the primary antibody (HA723703, 1/1,000) (red) compared with Rabbit IgG Isotype Control (green). After incubation of the primary antibody at +4℃ for an hour, the cells were stained with a iFluor™ 488 conjugate-Goat anti-Rabbit IgG Secondary antibody (HA1121) at 1/1,000 dilution for 30 minutes at +4℃. Unlabelled sample was used as a control (cells without incubation with primary antibody; black).
HA723703_8.jpg Fig8: JMJD6 was immunoprecipitated from 0.2 mg HeLa cell lysate with HA723703 at 2 µg/10 µl beads. Western blot was performed from the immunoprecipitate using HA723703 at 1/5,000 dilution. HRP Conjugated Anti-Rabbit IgG for IP Nano-secondary antibody at 1/5,000 dilution was used for 1 hour at room temperature.

Lane 1: HeLa cell lysate (input)
Lane 2: HA723703 IP in HeLa cell lysate
Lane 3: Rabbit IgG instead of HA723703 in HeLa cell lysate

Blocking/Dilution buffer: primary antibody dilution (K1803)
Exposure time: 3 minutes; ECL: K1801
HA723703_9.jpg Fig9: Chromatin immunoprecipitations were performed with cross-linked chromatin from HeLa cells with JMJD6 (HA723703) or Normal Rabbit IgG according to the ChIP protocol. The enriched DNA was quantified by real-time PCR using indicated primers. The amount of immunoprecipitated DNA in each sample is represented as signal relative to the total amount of input chromatin, which is equivalent to one.
Note: All products are “FOR RESEARCH USE ONLY AND ARE NOT INTENDED FOR DIAGNOSTIC OR THERAPEUTIC USE”.