CAB39 Recombinant Rabbit Monoclonal Antibody [PSH15-16]
cat.: HA723720
Product Type: Recombinant Rabbit monoclonal IgG, primary antibodies
Species reactivity: Human, Mouse, Rat, Monkey
Applications: WB, IHC-P, IP
Clonality: Monoclonal
Clone number: PSH15-16
Form: Liquid
Storage condition: Shipped at 4℃. Store at +4℃ short term (1-2 weeks). It is recommended to aliquot into single-use upon delivery. Store at -20℃ long term.
Storage buffer: PBS (pH7.4), 0.1% BSA, 40% Glycerol. Preservative: 0.05% Sodium Azide.
Concentration: 1ug/ul
Purification: Protein A affinity purified.
Molecular weight: Predicted band size: 40 kDa
Isotype: IgG
Immunogen: Recombinant protein within human CAB39 aa 1-341.
Positive control: MCF7 cell lysate, HepG2 cell lysate, HeLa cell lysate, HCT 116 cell lysate, C2C12 cell lysate, C6 cell lysate, COS-1 cell lysate, mouse brain tissue, mouse testis tissue, rat brain tissue, rat testis tissue.
Subcellular location: Cytoplasm.
Recommended Dilutions:
  WB
  IHC-P
  IP

1:5,000-1:10,000
1:200-1:1,000
1-2μg/sample
Uniprot #: SwissProt: Q9Y376 Human | Q06138 Mouse
Entrez Gene: 301574 Rat
Alternative names: Cab39 CAB39_HUMAN Calcium binding protein 39 Calcium-binding protein 39 CGI 66 CGI-66 CGI66 MO25 alpha MO25 Mouse protein 25 alpha Protein Mo25
Images
HA723720_1.jpg Fig1: Western blot analysis of CAB39 on different lysates with Rabbit anti-CAB39 antibody (HA723720) at 1/10,000 dilution.

Lane 1: MCF7 cell lysate
Lane 2: HepG2 cell lysate
Lane 3: HeLa cell lysate
Lane 4: HCT 116 cell lysate
Lane 5: C2C12 cell lysate
Lane 6: C6 cell lysate
Lane 7: COS-1 cell lysate

Lysates/proteins at 20 µg/Lane.

Predicted band size: 40 kDa
Observed band size: 40 kDa

Exposure time: 1 minute; ECL: K1801;

4-20% SDS-PAGE gel.

Proteins were transferred to a PVDF membrane and blocked with 5% NFDM/TBST for 1 hour at room temperature. The primary antibody (HA723720) at 1/10,000 dilution was used in primary antibody dilution (K1803) at 4℃ overnight. Goat Anti-Rabbit IgG - HRP Secondary Antibody (HA1001) at 1/50,000 dilution was used for 1 hour at room temperature.
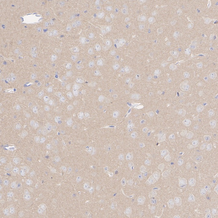
HA723720_2.jpg Fig2: Immunohistochemical analysis of paraffin-embedded mouse brain tissue with Rabbit anti-CAB39 antibody (HA723720) at 1/1,000 dilution.

The section was pre-treated using heat mediated antigen retrieval with Tris-EDTA buffer (pH 9.0) for 20 minutes. The tissues were blocked in 1% BSA for 20 minutes at room temperature, washed with ddH2O and PBS, and then probed with the primary antibody (HA723720) at 1/1,000 dilution for 1 hour at room temperature. The detection was performed using an HRP conjugated compact polymer system. DAB was used as the chromogen. Tissues were counterstained with hematoxylin and mounted with DPX.
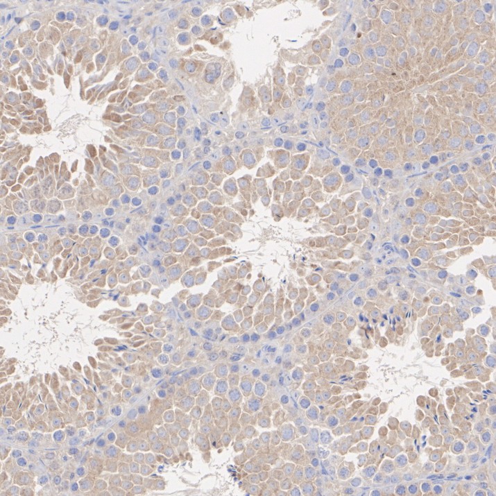
HA723720_3.jpg Fig3: Immunohistochemical analysis of paraffin-embedded mouse testis tissue with Rabbit anti-CAB39 antibody (HA723720) at 1/200 dilution.

The section was pre-treated using heat mediated antigen retrieval with Tris-EDTA buffer (pH 9.0) for 20 minutes. The tissues were blocked in 1% BSA for 20 minutes at room temperature, washed with ddH2O and PBS, and then probed with the primary antibody (HA723720) at 1/200 dilution for 1 hour at room temperature. The detection was performed using an HRP conjugated compact polymer system. DAB was used as the chromogen. Tissues were counterstained with hematoxylin and mounted with DPX.
HA723720_4.jpg Fig4: Immunohistochemical analysis of paraffin-embedded rat brain tissue with Rabbit anti-CAB39 antibody (HA723720) at 1/200 dilution.

The section was pre-treated using heat mediated antigen retrieval with Tris-EDTA buffer (pH 9.0) for 20 minutes. The tissues were blocked in 1% BSA for 20 minutes at room temperature, washed with ddH2O and PBS, and then probed with the primary antibody (HA723720) at 1/200 dilution for 1 hour at room temperature. The detection was performed using an HRP conjugated compact polymer system. DAB was used as the chromogen. Tissues were counterstained with hematoxylin and mounted with DPX.
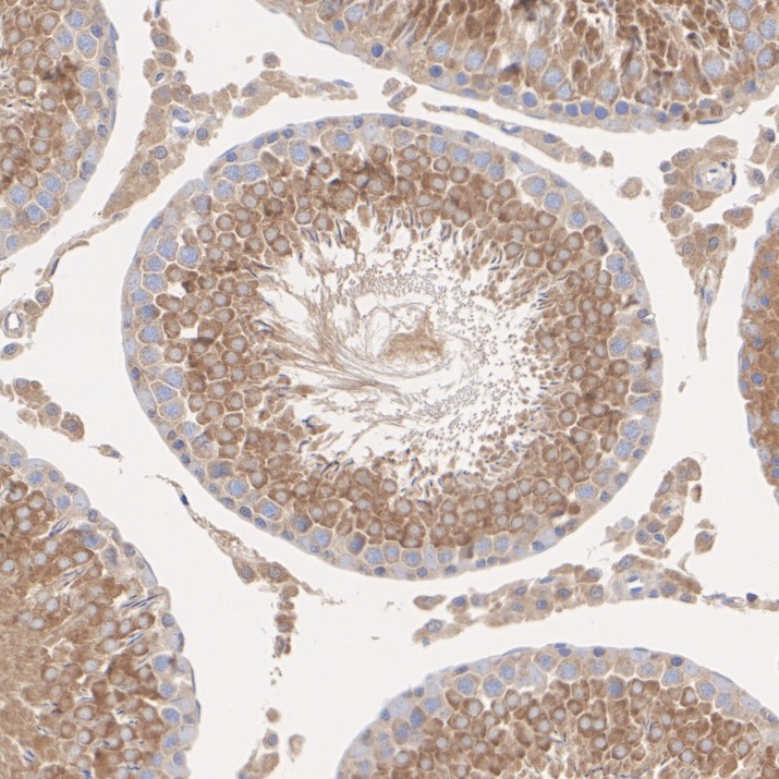
HA723720_5.jpg Fig5: Immunohistochemical analysis of paraffin-embedded rat testis tissue with Rabbit anti-CAB39 antibody (HA723720) at 1/200 dilution.

The section was pre-treated using heat mediated antigen retrieval with Tris-EDTA buffer (pH 9.0) for 20 minutes. The tissues were blocked in 1% BSA for 20 minutes at room temperature, washed with ddH2O and PBS, and then probed with the primary antibody (HA723720) at 1/200 dilution for 1 hour at room temperature. The detection was performed using an HRP conjugated compact polymer system. DAB was used as the chromogen. Tissues were counterstained with hematoxylin and mounted with DPX.
HA723720_6.jpg Fig6: CAB39 was immunoprecipitated from 0.2 mg HepG2 cell lysate with HA723720 at 2 µg/10 µl beads. Western blot was performed from the immunoprecipitate using HA723720 at 1/5,000 dilution. HRP Conjugated Anti-Rabbit IgG for IP Nano-secondary antibody at 1/5,000 dilution was used for 1 hour at room temperature.

Lane 1: HepG2 cell lysate (input)
Lane 2: HA723720 IP in HepG2 cell lysate
Lane 3: Rabbit IgG instead of HA723720 in HepG2 cell lysate

Blocking/Dilution buffer: primary antibody dilution (K1803)
Exposure time: 59 seconds; ECL: K1801
Note: All products are “FOR RESEARCH USE ONLY AND ARE NOT INTENDED FOR DIAGNOSTIC OR THERAPEUTIC USE”.