SIRT4 Recombinant Rabbit Monoclonal Antibody [PSH15-46]
cat.: HA723752
Product Type: Recombinant Rabbit monoclonal IgG, primary antibodies
Species reactivity: Human, Mouse, Rat, Monkey
Applications: WB, IHC-P, IP
Clonality: Monoclonal
Clone number: PSH15-46
Form: Liquid
Storage condition: Shipped at 4℃. Store at +4℃ short term (1-2 weeks). It is recommended to aliquot into single-use upon delivery. Store at -20℃ long term.
Storage buffer: 1*PBS (pH7.4), 0.1% BSA, 40% Glycerol, 0.2% Proclean 950.
Concentration: 1ug/ul
Purification: Protein A affinity purified.
Molecular weight: Predicted band size: 35 kDa
Isotype: IgG
Immunogen: Recombinant protein within human SIRT4 aa 1-314.
Positive control: RD cell lysate, COS-1 cell lysate, Neuro-2a cell lysate, RAW264.7 cell lysate, Mouse kidney tissue lysate, Rat kidney tissue lysate, human ovarian cancer tissue, human kidney tissue, human pancreas tissue, mouse kidney tissue, mouse pancreas tissue, rat kidney tissue, rat pancreas tissue.
Subcellular location: Mitochondrion matrix.
Recommended Dilutions:
  WB
  IHC-P
  IP

1:5,000
1:200
1-2μg/sample
Uniprot #: SwissProt: Q9Y6E7 Human | Q8R216 Mouse
Entrez Gene: 304539 Rat
Alternative names: MGC130046 MGC130047 MGC57437 NAD dependent deacetylase sirtuin 4 NAD dependent protein deacetylase sirtuin 4 NAD-dependent ADP-ribosyltransferase sirtuin-4 NAD-dependent protein deacetylase sirtuin-4 NAD-dependent protein lipoamidase sirtuin-4, mitochondrial Regulatory protein SIR2 homolog 4 Silent mating type information regulation 2 homolog Sir 2 like 4 SIR 2 like protein 4 Sir2 like 4 SIR2 like protein 4 SIR2-like protein 4 SIR2L 4 SIR2L4 SIR4_HUMAN SIRT 4 Sirt4 Sirtuin (silent mating type information regulation 2 homolog) 4 Sirtuin (silent mating type information regulation 2 homolog) 4 (S. cerevisiae) Sirtuin 4 Sirtuin type 4 Sirtuin-4 Sirtuin4
Images
HA723752_1.jpg Fig1: Western blot analysis of SIRT4 on different lysates with Rabbit anti-SIRT4 antibody (HA723752) at 1/5,000 dilution.

Lane 1: RD cell lysate (20 µg/Lane)
Lane 2: COS-1 cell lysate (20 µg/Lane)
Lane 3: Neuro-2a cell lysate (20 µg/Lane)
Lane 4: RAW264.7 cell lysate (20 µg/Lane)
Lane 5: Mouse kidney tissue lysate (40 µg/Lane)
Lane 6: Rat kidney tissue lysate (40 µg/Lane)

Predicted band size: 35 kDa
Observed band size: 32 kDa

Exposure time: 20 seconds; ECL: K1801;

4-20% SDS-PAGE gel.

Proteins were transferred to a PVDF membrane and blocked with 5% NFDM/TBST for 1 hour at room temperature. The primary antibody (HA723752) at 1/5,000 dilution was used in primary antibody dilution (K1803) at 4℃ overnight. Goat Anti-Rabbit IgG - HRP Secondary Antibody (HA1001) at 1/50,000 dilution was used for 1 hour at room temperature.
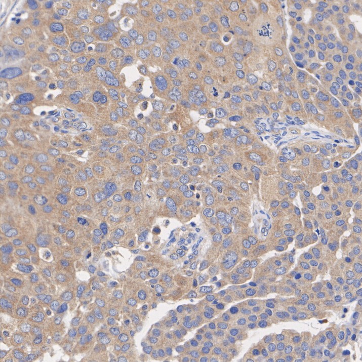
HA723752_2.jpg Fig2: Immunohistochemical analysis of paraffin-embedded human ovarian cancer tissue with Rabbit anti-SIRT4 antibody (HA723752) at 1/200 dilution.

The section was pre-treated using heat mediated antigen retrieval with Tris-EDTA buffer (pH 9.0) for 20 minutes. The tissues were blocked in 1% BSA for 20 minutes at room temperature, washed with ddH2O and PBS, and then probed with the primary antibody (HA723752) at 1/200 dilution for 1 hour at room temperature. The detection was performed using an HRP conjugated compact polymer system. DAB was used as the chromogen. Tissues were counterstained with hematoxylin and mounted with DPX.
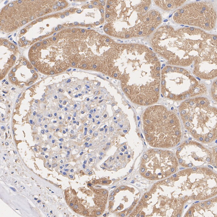
HA723752_3.jpg Fig3: Immunohistochemical analysis of paraffin-embedded human kidney tissue with Rabbit anti-SIRT4 antibody (HA723752) at 1/200 dilution.

The section was pre-treated using heat mediated antigen retrieval with Tris-EDTA buffer (pH 9.0) for 20 minutes. The tissues were blocked in 1% BSA for 20 minutes at room temperature, washed with ddH2O and PBS, and then probed with the primary antibody (HA723752) at 1/200 dilution for 1 hour at room temperature. The detection was performed using an HRP conjugated compact polymer system. DAB was used as the chromogen. Tissues were counterstained with hematoxylin and mounted with DPX.
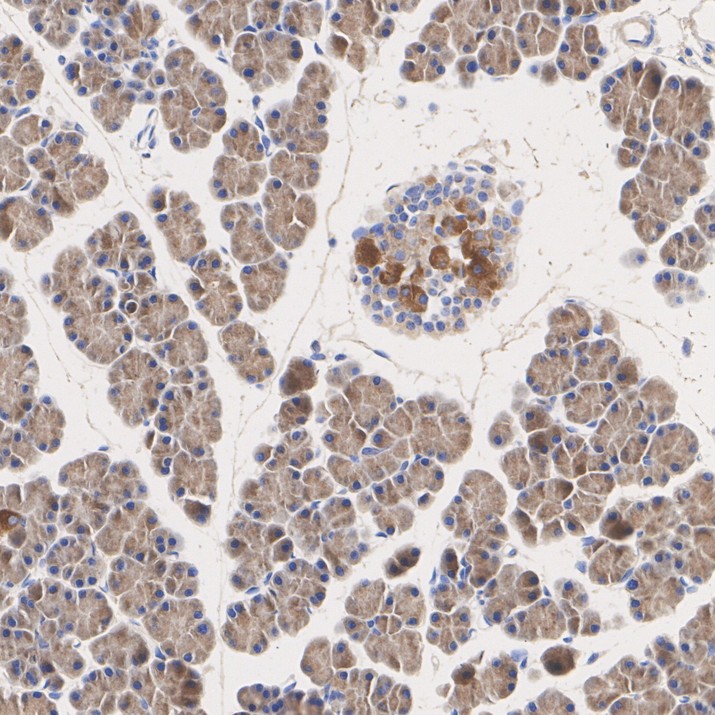
HA723752_4.jpg Fig4: Immunohistochemical analysis of paraffin-embedded human pancreas tissue with Rabbit anti-SIRT4 antibody (HA723752) at 1/200 dilution.

The section was pre-treated using heat mediated antigen retrieval with Tris-EDTA buffer (pH 9.0) for 20 minutes. The tissues were blocked in 1% BSA for 20 minutes at room temperature, washed with ddH2O and PBS, and then probed with the primary antibody (HA723752) at 1/200 dilution for 1 hour at room temperature. The detection was performed using an HRP conjugated compact polymer system. DAB was used as the chromogen. Tissues were counterstained with hematoxylin and mounted with DPX.
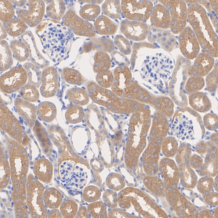
HA723752_5.jpg Fig5: Immunohistochemical analysis of paraffin-embedded mouse kidney tissue with Rabbit anti-SIRT4 antibody (HA723752) at 1/200 dilution.

The section was pre-treated using heat mediated antigen retrieval with Tris-EDTA buffer (pH 9.0) for 20 minutes. The tissues were blocked in 1% BSA for 20 minutes at room temperature, washed with ddH2O and PBS, and then probed with the primary antibody (HA723752) at 1/200 dilution for 1 hour at room temperature. The detection was performed using an HRP conjugated compact polymer system. DAB was used as the chromogen. Tissues were counterstained with hematoxylin and mounted with DPX.
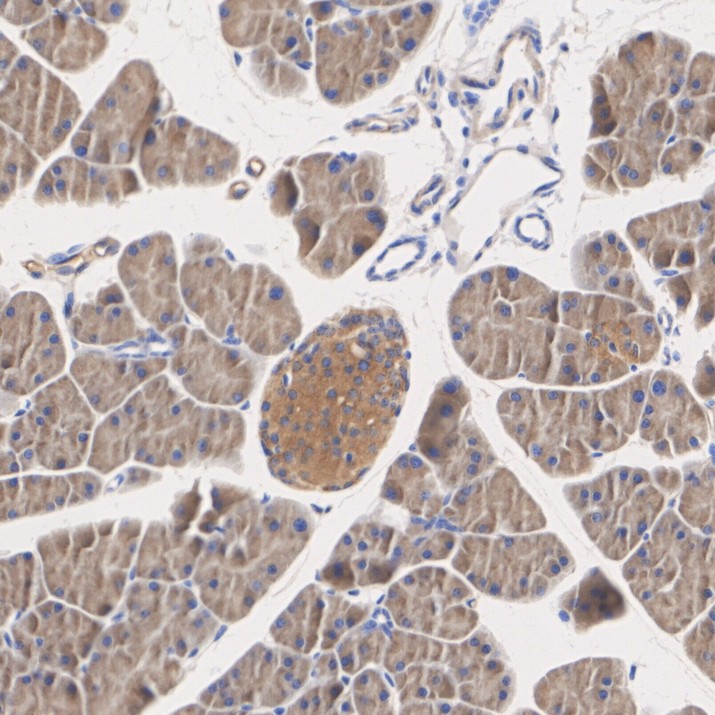
HA723752_6.jpg Fig6: Immunohistochemical analysis of paraffin-embedded mouse pancreas tissue with Rabbit anti-SIRT4 antibody (HA723752) at 1/200 dilution.

The section was pre-treated using heat mediated antigen retrieval with Tris-EDTA buffer (pH 9.0) for 20 minutes. The tissues were blocked in 1% BSA for 20 minutes at room temperature, washed with ddH2O and PBS, and then probed with the primary antibody (HA723752) at 1/200 dilution for 1 hour at room temperature. The detection was performed using an HRP conjugated compact polymer system. DAB was used as the chromogen. Tissues were counterstained with hematoxylin and mounted with DPX.
HA723752_7.jpg Fig7: Immunohistochemical analysis of paraffin-embedded rat kidney tissue with Rabbit anti-SIRT4 antibody (HA723752) at 1/200 dilution.

The section was pre-treated using heat mediated antigen retrieval with Tris-EDTA buffer (pH 9.0) for 20 minutes. The tissues were blocked in 1% BSA for 20 minutes at room temperature, washed with ddH2O and PBS, and then probed with the primary antibody (HA723752) at 1/200 dilution for 1 hour at room temperature. The detection was performed using an HRP conjugated compact polymer system. DAB was used as the chromogen. Tissues were counterstained with hematoxylin and mounted with DPX.
HA723752_8.jpg Fig8: Immunohistochemical analysis of paraffin-embedded rat pancreas tissue with Rabbit anti-SIRT4 antibody (HA723752) at 1/200 dilution.

The section was pre-treated using heat mediated antigen retrieval with Tris-EDTA buffer (pH 9.0) for 20 minutes. The tissues were blocked in 1% BSA for 20 minutes at room temperature, washed with ddH2O and PBS, and then probed with the primary antibody (HA723752) at 1/200 dilution for 1 hour at room temperature. The detection was performed using an HRP conjugated compact polymer system. DAB was used as the chromogen. Tissues were counterstained with hematoxylin and mounted with DPX.
HA723752_9.jpg Fig9: SIRT4 was immunoprecipitated from 0.2 mg Neuro-2a cell lysate with HA723752 at 2 µg/10 µl beads. Western blot was performed from the immunoprecipitate using HA723752 at 1/5,000 dilution. HRP Conjugated Anti-Rabbit IgG for IP Nano-secondary antibody at 1/5,000 dilution was used for 1 hour at room temperature.

Lane 1: Neuro-2a cell lysate (input)
Lane 2: HA723752 IP in Neuro-2a cell lysate
Lane 3: Rabbit IgG instead of HA723752 in Neuro-2a cell lysate

Blocking/Dilution buffer: primary antibody dilution (K1803)
Exposure time: 20 seconds; ECL: K1801
Note: All products are “FOR RESEARCH USE ONLY AND ARE NOT INTENDED FOR DIAGNOSTIC OR THERAPEUTIC USE”.