Total OXPHOS Antibody Cocktail Recombinant Rabbit Multiclonal Antibody [PSH15-50]
cat.: HA723756
Product Type: Recombinant Rabbit multiclonal IgG, primary antibodies
Species reactivity: Human
Applications: WB, IHC-P
Clone number: PSH15-50
Form: Liquid
Storage condition: Shipped at 4℃. Store at +4℃ short term (1-2 weeks). It is recommended to aliquot into single-use upon delivery. Store at -20℃ long term.
Storage buffer: PBS (pH7.4), 0.1% BSA, 40% Glycerol. Preservative: 0.05% Sodium Azide.
Concentration: 1ug/ul
Purification: Protein A affinity purified.
Molecular weight: Predicted band size: 18/22/29/48/54 kDa
Isotype: IgG
Positive control: HEK-293 cell lysate, HeLa cell lysate, A549 cell lysate, K-562 cell lysate, MCF7 cell lysate, human breast carcinoma tissue, human liver tissue.
Subcellular location: Mitochondrion inner membrane.
Recommended Dilutions:
  WB
  IHC-P

1:2,000
1:200
Uniprot #: SwissProt: O95169 Human | P00403 Human | P21912 Human | P22695 Human | P25705 Human
Alternative names: ASHI ATP synthase subunit alpha Atp5a1 ATP5AL2 COII Complex I ASHI subunit COX 2 COX II COX2 COXII CWS2 Cytochrome b c1 complex subunit 2 mitochondrial Cytochrome c oxidase II EC 1.10.2.2 FLJ92337 Iron sulfur subunit Iron sulfur subunit of complex II MC3DN5 MC5DN4 mitochondrial MT CO2 MTCO2 NADH dehydrogenase (ubiquinone) 1 beta subcomplex 8 19kDa NADH dehydrogenase [ubiquinone] 1 beta subcomplex subunit 8 mitochondrial PGL 4 PGL4 QCR2 SDH 1 SDH1 SDH2 SDH2, homolog of SDHIP Succinate dehydrogenase [ubiquinone] iron sulfur protein mitochondrial Succinate dehydrogenase [ubiquinone] iron sulfur subunit succinate dehydrogenase [ubiquinone] iron-sulfur subunit, mitochondrial Succinate Dehydrogenase 1 Iron Sulfur Subunit Succinate Dehydrogenase 2, S. cerevisiae, homolog of Succinate dehydrogenase complex iron sulfur subunit B Succinate dehydrogenase complex subunit B iron sulfur Ubiquinol cytochrome c reductase com......
Images
HA723756_1.jpg Fig1: Western blot analysis of Total OXPHOS Antibody Cocktail on different lysates with Rabbit anti-Total OXPHOS Antibody Cocktail antibody (HA723756) at 1/2,000 dilution.

Lane 1: HEK-293 cell lysate
Lane 2: HeLa cell lysate
Lane 3: A549 cell lysate
Lane 4: K-562 cell lysate
Lane 5: MCF7 cell lysate

Lysates/proteins at 20 µg/Lane.

Predicted band size: 18/22/29/48/54 kDa
Observed band size: 18/22/29/48/54 kDa

Exposure time: 15 seconds; ECL: K1801;

4-20% SDS-PAGE gel.

Proteins were transferred to a PVDF membrane and blocked with 5% NFDM/TBST for 1 hour at room temperature. The primary antibody (HA723756) at 1/2,000 dilution was used in primary antibody dilution (K1803) at 4℃ overnight. Goat Anti-Rabbit IgG - HRP Secondary Antibody (HA1001) at 1/50,000 dilution was used for 1 hour at room temperature.
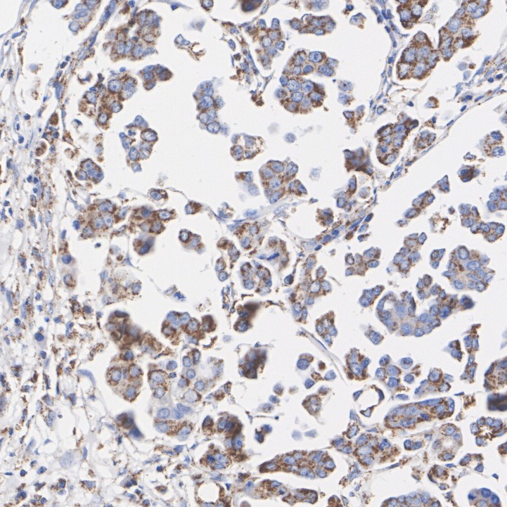
HA723756_2.jpg Fig2: Immunohistochemical analysis of paraffin-embedded human breast carcinoma tissue with Rabbit anti-Total OXPHOS Antibody Cocktail antibody (HA723756) at 1/200 dilution.

The section was pre-treated using heat mediated antigen retrieval with Tris-EDTA buffer (pH 9.0) for 20 minutes. The tissues were blocked in 1% BSA for 20 minutes at room temperature, washed with ddH2O and PBS, and then probed with the primary antibody (HA723756) at 1/200 dilution for 1 hour at room temperature. The detection was performed using an HRP conjugated compact polymer system. DAB was used as the chromogen. Tissues were counterstained with hematoxylin and mounted with DPX.
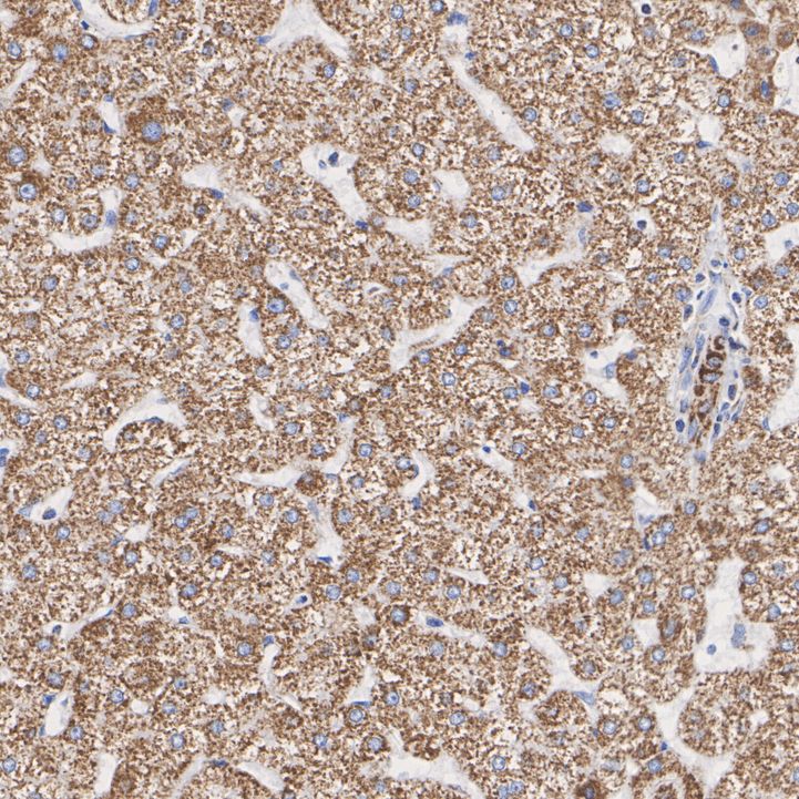
HA723756_3.jpg Fig3: Immunohistochemical analysis of paraffin-embedded human liver tissue with Rabbit anti-Total OXPHOS Antibody Cocktail antibody (HA723756) at 1/200 dilution.

The section was pre-treated using heat mediated antigen retrieval with Tris-EDTA buffer (pH 9.0) for 20 minutes. The tissues were blocked in 1% BSA for 20 minutes at room temperature, washed with ddH2O and PBS, and then probed with the primary antibody (HA723756) at 1/200 dilution for 1 hour at room temperature. The detection was performed using an HRP conjugated compact polymer system. DAB was used as the chromogen. Tissues were counterstained with hematoxylin and mounted with DPX.
Note: All products are “FOR RESEARCH USE ONLY AND ARE NOT INTENDED FOR DIAGNOSTIC OR THERAPEUTIC USE”.