Cyclin D2 Recombinant Rabbit Monoclonal Antibody [PSH16-53]
cat.: HA723857
Product Type: Recombinant Rabbit monoclonal IgG, primary antibodies
Species reactivity: Human, Mouse, Rat
Applications: WB, IHC-P, FC
Clonality: Monoclonal
Clone number: PSH16-53
Form: Liquid
Storage condition: Shipped at 4℃. Store at +4℃ short term (1-2 weeks). It is recommended to aliquot into single-use upon delivery. Store at -20℃ long term.
Storage buffer: PBS (pH7.4), 0.1% BSA, 40% Glycerol. Preservative: 0.05% Sodium Azide.
Concentration: 1ug/ul
Purification: Protein A affinity purified.
Molecular weight: Predicted band size: 33 kDa
Isotype: IgG
Immunogen: Recombinant protein within human Cyclin D2 aa 1-289.
Positive control: HeLa cell lysate, RD cell lysate, U-2 OS cell lysate, Caco-2 cell lysate, NIH/3T3 cell lysate, Mouse brain tissue lysate, Rat brain tissue lysate, human diffuse large B-cell lymphoma tissue, human spleen tissue, mouse spleen tissue, rat spleen tissue, HeLa, NIH3T3.
Subcellular location: Nucleus, Cytoplasm, Nucleus membran.
Recommended Dilutions:
  WB
  IHC-P
  FC

1:5,000
1:1,000
1:1,000
Uniprot #: SwissProt: P30279 Human | P30280 Mouse | Q04827 Rat
Alternative names: CCND 2 ccnd2 CCND2_HUMAN CyclinD2 G1/S specific cyclin D2 G1/S-specific cyclin-D2 KIAK0002 MGC102758 MPPH3
Images
HA723857_1.jpg Fig1: Western blot analysis of Cyclin D2 on different lysates with Rabbit anti-Cyclin D2 antibody (HA723857) at 1/5,000 dilution.

Lane 1: HeLa cell lysate (20 µg/Lane)
Lane 2: RD cell lysate (20 µg/Lane)
Lane 3: U-2 OS cell lysate (20 µg/Lane)
Lane 4: Caco-2 cell lysate (20 µg/Lane)
Lane 5: NIH/3T3 cell lysate (20 µg/Lane)
Lane 6: Mouse brain tissue lysate (40 µg/Lane)
Lane 7: Rat brain tissue lysate (40 µg/Lane)

Predicted band size: 33 kDa
Observed band size: 33 kDa

Exposure time: 4 seconds; ECL: K1801;

4-20% SDS-PAGE gel.

Proteins were transferred to a PVDF membrane and blocked with 5% NFDM/TBST for 1 hour at room temperature. The primary antibody (HA723857) at 1/5,000 dilution was used in primary antibody dilution (K1803) at 4℃ overnight. Goat Anti-Rabbit IgG - HRP Secondary Antibody (HA1001) at 1/50,000 dilution was used for 1 hour at room temperature.
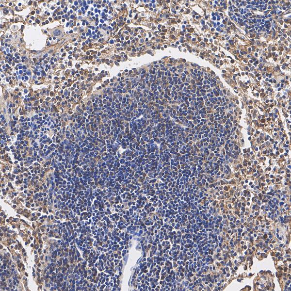
HA723857_2.jpg Fig2: Immunohistochemical analysis of paraffin-embedded human diffuse large B-cell lymphoma tissue with Rabbit anti-Cyclin D2 antibody (HA723857) at 1/1,000 dilution.

The section was pre-treated using heat mediated antigen retrieval with Tris-EDTA buffer (pH 9.0) for 20 minutes. The tissues were blocked in 1% BSA for 20 minutes at room temperature, washed with ddH2O and PBS, and then probed with the primary antibody (HA723857) at 1/1,000 dilution for 1 hour at room temperature. The detection was performed using an HRP conjugated compact polymer system. DAB was used as the chromogen. Tissues were counterstained with hematoxylin and mounted with DPX.
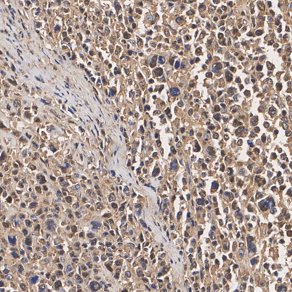
HA723857_3.jpg Fig3: Immunohistochemical analysis of paraffin-embedded human spleen tissue with Rabbit anti-Cyclin D2 antibody (HA723857) at 1/1,1000 dilution.

The section was pre-treated using heat mediated antigen retrieval with Tris-EDTA buffer (pH 9.0) for 20 minutes. The tissues were blocked in 1% BSA for 20 minutes at room temperature, washed with ddH2O and PBS, and then probed with the primary antibody (HA723857) at 1/1,1000 dilution for 1 hour at room temperature. The detection was performed using an HRP conjugated compact polymer system. DAB was used as the chromogen. Tissues were counterstained with hematoxylin and mounted with DPX.
HA723857_4.jpg Fig4: Immunohistochemical analysis of paraffin-embedded mouse spleen tissue with Rabbit anti-Cyclin D2 antibody (HA723857) at 1/1,000 dilution.

The section was pre-treated using heat mediated antigen retrieval with Tris-EDTA buffer (pH 9.0) for 20 minutes. The tissues were blocked in 1% BSA for 20 minutes at room temperature, washed with ddH2O and PBS, and then probed with the primary antibody (HA723857) at 1/1,000 dilution for 1 hour at room temperature. The detection was performed using an HRP conjugated compact polymer system. DAB was used as the chromogen. Tissues were counterstained with hematoxylin and mounted with DPX.
HA723857_5.jpg Fig5: Immunohistochemical analysis of paraffin-embedded rat spleen tissue with Rabbit anti-Cyclin D2 antibody (HA723857) at 1/1,000 dilution.

The section was pre-treated using heat mediated antigen retrieval with Tris-EDTA buffer (pH 9.0) for 20 minutes. The tissues were blocked in 1% BSA for 20 minutes at room temperature, washed with ddH2O and PBS, and then probed with the primary antibody (HA723857) at 1/1,000 dilution for 1 hour at room temperature. The detection was performed using an HRP conjugated compact polymer system. DAB was used as the chromogen. Tissues were counterstained with hematoxylin and mounted with DPX.
HA723857_6.jpg Fig6: Flow cytometric analysis of HeLa cells labeling Cyclin D2.

Cells were fixed and permeabilized. Then stained with the primary antibody (HA723857, 1/1,000) (red) compared with Rabbit IgG Isotype Control (green). After incubation of the primary antibody at +4℃ for an hour, the cells were stained with a iFluor™ 488 conjugate-Goat anti-Rabbit IgG Secondary antibody (HA1121) at 1/1,000 dilution for 30 minutes at +4℃. Unlabelled sample was used as a control (cells without incubation with primary antibody; black).
HA723857_7.jpg Fig7: Flow cytometric analysis of NIH3T3 cells labeling Cyclin D2.

Cells were fixed and permeabilized. Then stained with the primary antibody (HA723857, 1/1,000) (red) compared with Rabbit IgG Isotype Control (green). After incubation of the primary antibody at +4℃ for an hour, the cells were stained with a iFluor™ 488 conjugate-Goat anti-Rabbit IgG Secondary antibody (HA1121) at 1/1,000 dilution for 30 minutes at +4℃. Unlabelled sample was used as a control (cells without incubation with primary antibody; black).
Note: All products are “FOR RESEARCH USE ONLY AND ARE NOT INTENDED FOR DIAGNOSTIC OR THERAPEUTIC USE”.