Glutathione Peroxidase 3 / GPx-3 Recombinant Rabbit Monoclonal Antibody [PSH17-06]
cat.: HA723894
Product Type: Recombinant Rabbit monoclonal IgG, primary antibodies
Species reactivity: Mouse, Rat
Applications: WB, IHC-P
Clonality: Monoclonal
Clone number: PSH17-06
Form: Liquid
Storage condition: Shipped at 4℃. Store at +4℃ short term (1-2 weeks). It is recommended to aliquot into single-use upon delivery. Store at -20℃ long term.
Storage buffer: 1*PBS (pH7.4), 0.1% BSA, 40% Glycerol, 0.2% Proclean 950.
Concentration: 1ug/ul
Purification: Protein A affinity purified.
Molecular weight: Predicted band size: 26 kDa
Isotype: IgG
Positive control: Mouse kidney tissue lysate, Rat kidney tissue lysate, mouse kidney tissue, mouse lung tissue, rat kidney tissue, rat lung tissue.
Subcellular location: Secreted.
Recommended Dilutions:
  WB
  IHC-P

1:5,000
1:1,000
Uniprot #: SwissProt: P46412 Mouse | P23764 Rat
Alternative names: Extracellular glutathione peroxidase Glutathione peroxidase 3 (plasma) Glutathione peroxidase 3 GPX 3 GPx P GPx-3 GPx-P GPX3 GPXP GSHPx 3 GSHPx P GSHPx-3 GSHPx-P Plasma glutathione peroxidase 3 Plasma glutathione peroxidase
Images
HA723894_1.jpg Fig1: Western blot analysis of Glutathione Peroxidase 3 / GPx-3 on different lysates with Rabbit anti-Glutathione Peroxidase 3 / GPx-3 antibody (HA723894) at 1/5,000 dilution.

Lane 1: Mouse kidney tissue lysate (40 µg/Lane)
Lane 2: Mouse liver tissue lysate (negative) (40 µg/Lane)
Lane 3: Rat kidney tissue lysate (40 µg/Lane)

Predicted band size: 26 kDa
Observed band size: 22 kDa

Exposure time: 25 seconds; ECL: K1801;

4-20% SDS-PAGE gel.

Proteins were transferred to a PVDF membrane and blocked with 5% NFDM/TBST for 1 hour at room temperature. The primary antibody (HA723894) at 1/5,000 dilution was used in primary antibody dilution (K1803) at 4℃ overnight. Goat Anti-Rabbit IgG - HRP Secondary Antibody (HA1001) at 1/50,000 dilution was used for 1 hour at room temperature.
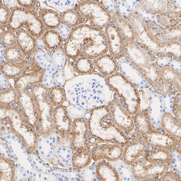
HA723894_2.jpg Fig2: Immunohistochemical analysis of paraffin-embedded mouse kidney tissue with Rabbit anti-Glutathione Peroxidase 3 / GPx-3 antibody (HA723894) at 1/1,000 dilution.

The section was pre-treated using heat mediated antigen retrieval with Tris-EDTA buffer (pH 9.0) for 20 minutes. The tissues were blocked in 1% BSA for 20 minutes at room temperature, washed with ddH2O and PBS, and then probed with the primary antibody (HA723894) at 1/1,000 dilution for 1 hour at room temperature. The detection was performed using an HRP conjugated compact polymer system. DAB was used as the chromogen. Tissues were counterstained with hematoxylin and mounted with DPX.
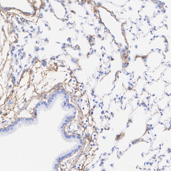
HA723894_3.jpg Fig3: Immunohistochemical analysis of paraffin-embedded mouse lung tissue with Rabbit anti-Glutathione Peroxidase 3 / GPx-3 antibody (HA723894) at 1/1,000 dilution.

The section was pre-treated using heat mediated antigen retrieval with Tris-EDTA buffer (pH 9.0) for 20 minutes. The tissues were blocked in 1% BSA for 20 minutes at room temperature, washed with ddH2O and PBS, and then probed with the primary antibody (HA723894) at 1/1,000 dilution for 1 hour at room temperature. The detection was performed using an HRP conjugated compact polymer system. DAB was used as the chromogen. Tissues were counterstained with hematoxylin and mounted with DPX.
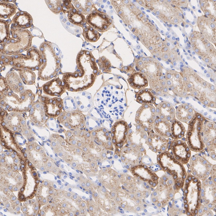
HA723894_4.jpg Fig4: Immunohistochemical analysis of paraffin-embedded rat kidney tissue with Rabbit anti-Glutathione Peroxidase 3 / GPx-3 antibody (HA723894) at 1/1,000 dilution.

The section was pre-treated using heat mediated antigen retrieval with Tris-EDTA buffer (pH 9.0) for 20 minutes. The tissues were blocked in 1% BSA for 20 minutes at room temperature, washed with ddH2O and PBS, and then probed with the primary antibody (HA723894) at 1/1,000 dilution for 1 hour at room temperature. The detection was performed using an HRP conjugated compact polymer system. DAB was used as the chromogen. Tissues were counterstained with hematoxylin and mounted with DPX.
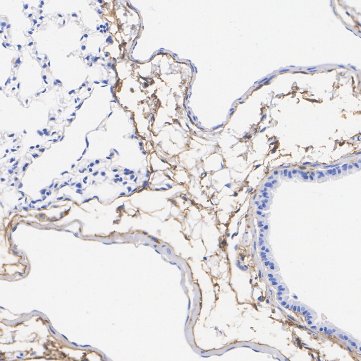
HA723894_5.jpg Fig5: Immunohistochemical analysis of paraffin-embedded rat lung tissue with Rabbit anti-Glutathione Peroxidase 3 / GPx-3 antibody (HA723894) at 1/1,000 dilution.

The section was pre-treated using heat mediated antigen retrieval with Tris-EDTA buffer (pH 9.0) for 20 minutes. The tissues were blocked in 1% BSA for 20 minutes at room temperature, washed with ddH2O and PBS, and then probed with the primary antibody (HA723894) at 1/1,000 dilution for 1 hour at room temperature. The detection was performed using an HRP conjugated compact polymer system. DAB was used as the chromogen. Tissues were counterstained with hematoxylin and mounted with DPX.
Note: All products are “FOR RESEARCH USE ONLY AND ARE NOT INTENDED FOR DIAGNOSTIC OR THERAPEUTIC USE”.