NP-I / NPTX1 Recombinant Rabbit Monoclonal Antibody [PSH17-07]
cat.: HA723895
Product Type: Recombinant Rabbit monoclonal IgG, primary antibodies
Species reactivity: Human, Mouse, Rat
Applications: WB, IHC-P, FC
Clonality: Monoclonal
Clone number: PSH17-07
Form: Liquid
Storage condition: Shipped at 4℃. Store at +4℃ short term (1-2 weeks). It is recommended to aliquot into single-use upon delivery. Store at -20℃ long term.
Storage buffer: 1*PBS (pH7.4), 0.1% BSA, 40% Glycerol, 0.2% Proclean 950.
Concentration: 1ug/ul
Purification: Protein A affinity purified.
Molecular weight: Predicted band size: 47 kDa
Isotype: IgG
Positive control: HeLa cell lysate, SiHa cell lysate, Mouse brain tissue lysate, Rat brain tissue lysate, human brain tissue, mouse brain tissue, rat brain tissue, HeLa.
Subcellular location: Secreted, Cytoplasmic vesicle, secretory vesicle, Endoplasmic reticulum.
Recommended Dilutions:
  WB
  IHC-P
  FC

1:5,000
1:200-1:1,000
1:1,000
Uniprot #: SwissProt: Q15818 Human | Q62443 Mouse | P47971 Rat
Alternative names: Neuronal pentraxin I Neuronal pentraxin-1 NP 1 NP-I NP1 Nptx1 NPTX1_HUMAN
Images
HA723895_1.jpg Fig1: Western blot analysis of NP-I / NPTX1 on different lysates with Rabbit anti-NP-I / NPTX1 antibody (HA723895) at 1/5,000 dilution.

Lane 1: HeLa cell lysate (20 µg/Lane)
Lane 2: SiHa cell lysate (20 µg/Lane)
Lane 3: Mouse brain tissue lysate (40 µg/Lane)
Lane 4: Mouse heart tissue lysate (negative) (40 µg/Lane)
Lane 5: Rat brain tissue lysate (40 µg/Lane)
Lane 6: Rat heart tissue lysate (negative) (40 µg/Lane)

Predicted band size: 47 kDa
Observed band size: 50 kDa

Exposure time: 1 minute; ECL: K1801;

4-20% SDS-PAGE gel.

Proteins were transferred to a PVDF membrane and blocked with 5% NFDM/TBST for 1 hour at room temperature. The primary antibody (HA723895) at 1/5,000 dilution was used in primary antibody dilution (K1803) at 4℃ overnight. Goat Anti-Rabbit IgG - HRP Secondary Antibody (HA1001) at 1/50,000 dilution was used for 1 hour at room temperature.
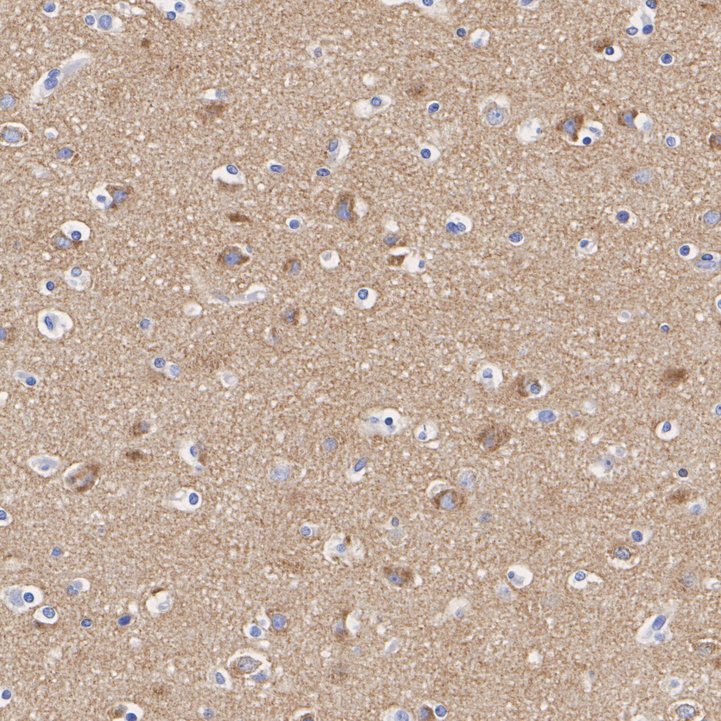
HA723895_2.jpg Fig2: Immunohistochemical analysis of paraffin-embedded human brain tissue with Rabbit anti-NP-I / NPTX1 antibody (HA723895) at 1/1,000 dilution.

The section was pre-treated using heat mediated antigen retrieval with Tris-EDTA buffer (pH 9.0) for 20 minutes. The tissues were blocked in 1% BSA for 20 minutes at room temperature, washed with ddH2O and PBS, and then probed with the primary antibody (HA723895) at 1/1,000 dilution for 1 hour at room temperature. The detection was performed using an HRP conjugated compact polymer system. DAB was used as the chromogen. Tissues were counterstained with hematoxylin and mounted with DPX.
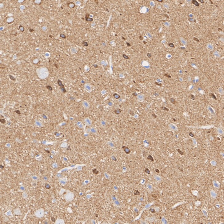
HA723895_3.jpg Fig3: Immunohistochemical analysis of paraffin-embedded mouse brain tissue with Rabbit anti-NP-I / NPTX1 antibody (HA723895) at 1/200 dilution.

The section was pre-treated using heat mediated antigen retrieval with Tris-EDTA buffer (pH 9.0) for 20 minutes. The tissues were blocked in 1% BSA for 20 minutes at room temperature, washed with ddH2O and PBS, and then probed with the primary antibody (HA723895) at 1/200 dilution for 1 hour at room temperature. The detection was performed using an HRP conjugated compact polymer system. DAB was used as the chromogen. Tissues were counterstained with hematoxylin and mounted with DPX.
HA723895_4.jpg Fig4: Immunohistochemical analysis of paraffin-embedded mouse heart tissue (negative) with Rabbit anti-NP-I / NPTX1 antibody (HA723895) at 1/200 dilution.

The section was pre-treated using heat mediated antigen retrieval with Tris-EDTA buffer (pH 9.0) for 20 minutes. The tissues were blocked in 1% BSA for 20 minutes at room temperature, washed with ddH2O and PBS, and then probed with the primary antibody (HA723895) at 1/200 dilution for 1 hour at room temperature. The detection was performed using an HRP conjugated compact polymer system. DAB was used as the chromogen. Tissues were counterstained with hematoxylin and mounted with DPX.
HA723895_5.jpg Fig5: Immunohistochemical analysis of paraffin-embedded rat brain tissue with Rabbit anti-NP-I / NPTX1 antibody (HA723895) at 1/200 dilution.

The section was pre-treated using heat mediated antigen retrieval with Tris-EDTA buffer (pH 9.0) for 20 minutes. The tissues were blocked in 1% BSA for 20 minutes at room temperature, washed with ddH2O and PBS, and then probed with the primary antibody (HA723895) at 1/200 dilution for 1 hour at room temperature. The detection was performed using an HRP conjugated compact polymer system. DAB was used as the chromogen. Tissues were counterstained with hematoxylin and mounted with DPX.
HA723895_6.jpg Fig6: Immunohistochemical analysis of paraffin-embedded rat heart tissue (negative) with Rabbit anti-NP-I / NPTX1 antibody (HA723895) at 1/200 dilution.

The section was pre-treated using heat mediated antigen retrieval with Tris-EDTA buffer (pH 9.0) for 20 minutes. The tissues were blocked in 1% BSA for 20 minutes at room temperature, washed with ddH2O and PBS, and then probed with the primary antibody (HA723895) at 1/200 dilution for 1 hour at room temperature. The detection was performed using an HRP conjugated compact polymer system. DAB was used as the chromogen. Tissues were counterstained with hematoxylin and mounted with DPX.
HA723895_7.jpg Fig7: Flow cytometric analysis of HeLa cells labeling NP-I / NPTX1.

Cells were fixed and permeabilized. Then stained with the primary antibody (HA723895, 1/1,000) (red) compared with Rabbit IgG Isotype Control (green). After incubation of the primary antibody at +4℃ for an hour, the cells were stained with a iFluor™ 488 conjugate-Goat anti-Rabbit IgG Secondary antibody (HA1121) at 1/1,000 dilution for 30 minutes at +4℃. Unlabelled sample was used as a control (cells without incubation with primary antibody; black).
Note: All products are “FOR RESEARCH USE ONLY AND ARE NOT INTENDED FOR DIAGNOSTIC OR THERAPEUTIC USE”.