CD31 Recombinant Antibody [7-A1-R] - Rabbit IgG (Chimeric)
cat.: HA723897
Product Type: Recombinant Chimeric Antibody, primary antibodies
Species reactivity: Human
Applications: WB, IF-Cell, IHC-P, FC, mIHC
Clone number: 7-A1-R
Form: Liquid
Storage condition: Shipped at 4℃. Store at +4℃ short term (1-2 weeks). It is recommended to aliquot into single-use upon delivery. Store at -20℃ long term.
Storage buffer: 1*PBS (pH7.4), 0.1% BSA, 40% Glycerol, 0.2% Proclean 950.
Concentration: 1ug/ul
Purification: Protein A affinity purified.
Molecular weight: Predicted band size: 83 kDa
Immunogen: Synthetic peptide (KLH-coupled) within C-terminal residues of human CD31.
Positive control: U-937 cell lysate, THP-1 cell lysate, Jurkat cell lysate, THP-1, human appendix tissue, human colon cancer tissue, human kidney tissue, human liver tissue.
Subcellular location: Cell junction. Cell membrane. Membrane.
Recommended Dilutions:
  WB
  IF-Cell
  IHC-P
  FC
  mIHC

1:5,000
1:100
1:1,000
1:1,000
1:6,000
Uniprot #: SwissProt: P16284 Human
Alternative names: Adhesion molecule CD31 CD31 antigen CD31 EndoCAM EndoCAM FLJ34100 FLJ58394 GPIIA GPIIA' PECA1 PECA1_HUMAN Pecam 1 PECAM 1 CD31 EndoCAM PECAM PECAM-1 Pecam1 Platelet and endothelial cell adhesion molecule 1 Platelet endothelial cell adhesion molecule Platelet/endothelial cell adhesion molecule 1
Images
HA723897_1.jpg Fig1: Western blot analysis of CD31 on different lysates with Rabbit anti-CD31 antibody (HA723897) at 1/5,000 dilution.

Lane 1: U-937 cell lysate
Lane 2: HeLa cell lysate (negative)
Lane 3: THP-1 cell lysate
Lane 4: MDA-MB-231 cell lysate (negative)
Lane 5: Jurkat cell lysate

Lysates/proteins at 20 µg/Lane.

Predicted band size: 83 kDa
Observed band size: 130 kDa

Exposure time: 10 seconds; ECL: K1801;

4-20% SDS-PAGE gel.

Proteins were transferred to a PVDF membrane and blocked with 5% NFDM/TBST for 1 hour at room temperature. The primary antibody (HA723897) at 1/5,000 dilution was used in primary antibody dilution (K1803) at 4℃ overnight. Goat Anti-Rabbit IgG - HRP Secondary Antibody (HA1001) at 1/50,000 dilution was used for 1 hour at room temperature.
HA723897_2.jpg Fig2: Immunocytochemistry analysis of THP-1 (positive) and HeLa (negative) labeling CD31 with Rabbit anti-CD31 antibody (HA723897) at 1/100 dilution.

Cells were fixed in 4% paraformaldehyde for 15 minutes at room temperature, permeabilized with 0.1% Triton X-100 in PBS for 15 minutes at room temperature, then blocked with 1% BSA in 10% negative goat serum for 1 hour at room temperature. Cells were then incubated with Rabbit anti-CD31 antibody (HA723897) at 1/100 dilution in 1% BSA in PBST overnight at 4 ℃. Goat Anti-Rabbit IgG H&L (iFluor™ 488, HA1121) was used as the secondary antibody at 1/1,000 dilution. PBS instead of the primary antibody was used as the secondary antibody only control. Nuclear DNA was labelled in blue with DAPI.

Beta tubulin (HA601187, red) was stained at 1/100 dilution overnight at +4℃. Goat Anti-Mouse IgG H&L (iFluor™ 594, HA1126) was used as the secondary antibody at 1/1,000 dilution.
HA723897_3.jpg Fig3: Immunohistochemical analysis of paraffin-embedded human appendix tissue with Rabbit anti-CD31 antibody (HA723897) at 1/1,000 dilution.

The section was pre-treated using heat mediated antigen retrieval with Tris-EDTA buffer (pH 9.0) for 20 minutes. The tissues were blocked in 1% BSA for 20 minutes at room temperature, washed with ddH2O and PBS, and then probed with the primary antibody (HA723897) at 1/1,000 dilution for 1 hour at room temperature. The detection was performed using an HRP conjugated compact polymer system. DAB was used as the chromogen. Tissues were counterstained with hematoxylin and mounted with DPX.
HA723897_4.jpg Fig4: Immunohistochemical analysis of paraffin-embedded human colon cancer tissue with Rabbit anti-CD31 antibody (HA723897) at 1/1,000 dilution.

The section was pre-treated using heat mediated antigen retrieval with Tris-EDTA buffer (pH 9.0) for 20 minutes. The tissues were blocked in 1% BSA for 20 minutes at room temperature, washed with ddH2O and PBS, and then probed with the primary antibody (HA723897) at 1/1,000 dilution for 1 hour at room temperature. The detection was performed using an HRP conjugated compact polymer system. DAB was used as the chromogen. Tissues were counterstained with hematoxylin and mounted with DPX.
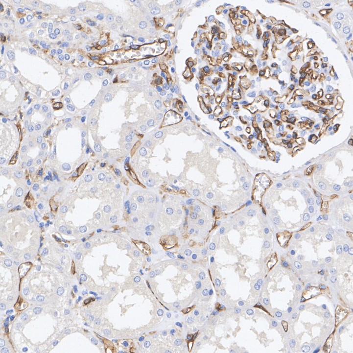
HA723897_5.jpg Fig5: Immunohistochemical analysis of paraffin-embedded human kidney tissue with Rabbit anti-CD31 antibody (HA723897) at 1/1,000 dilution.

The section was pre-treated using heat mediated antigen retrieval with Tris-EDTA buffer (pH 9.0) for 20 minutes. The tissues were blocked in 1% BSA for 20 minutes at room temperature, washed with ddH2O and PBS, and then probed with the primary antibody (HA723897) at 1/1,000 dilution for 1 hour at room temperature. The detection was performed using an HRP conjugated compact polymer system. DAB was used as the chromogen. Tissues were counterstained with hematoxylin and mounted with DPX.
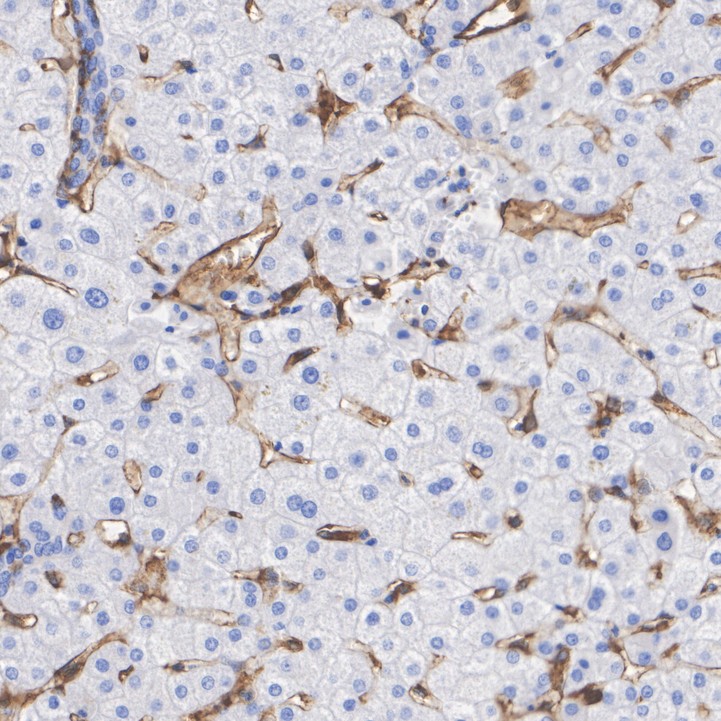
HA723897_6.jpg Fig6: Immunohistochemical analysis of paraffin-embedded human liver tissue with Rabbit anti-CD31 antibody (HA723897) at 1/1,000 dilution.

The section was pre-treated using heat mediated antigen retrieval with Tris-EDTA buffer (pH 9.0) for 20 minutes. The tissues were blocked in 1% BSA for 20 minutes at room temperature, washed with ddH2O and PBS, and then probed with the primary antibody (HA723897) at 1/1,000 dilution for 1 hour at room temperature. The detection was performed using an HRP conjugated compact polymer system. DAB was used as the chromogen. Tissues were counterstained with hematoxylin and mounted with DPX.
HA723897_7.jpg Fig7: Flow cytometric analysis of HeLa (left, negative) and THP-1 (right, positive) cells labeling CD31.

Cells were fixed and permeabilized. Then stained with the primary antibody (HA723897, 1/1,000) (red) compared with Rabbit IgG Isotype Control (green). After incubation of the primary antibody at +4℃ for an hour, the cells were stained with a iFluor™ 488 conjugate-Goat anti-Rabbit IgG Secondary antibody (HA1121) at 1/1,000 dilution for 30 minutes at +4℃. Unlabelled sample was used as a control (cells without incubation with primary antibody; black).
Note: All products are “FOR RESEARCH USE ONLY AND ARE NOT INTENDED FOR DIAGNOSTIC OR THERAPEUTIC USE”.