Bcl2-L-13 Recombinant Rabbit Monoclonal Antibody [PSH17-12]
cat.: HA723899
Product Type: Recombinant Rabbit monoclonal IgG, primary antibodies
Species reactivity: Human, Mouse, Rat, Monkey
Applications: WB, IHC-P, IP
Clonality: Monoclonal
Clone number: PSH17-12
Form: Liquid
Storage condition: Shipped at 4℃. Store at +4℃ short term (1-2 weeks). It is recommended to aliquot into single-use upon delivery. Store at -20℃ long term.
Storage buffer: PBS (pH7.4), 0.1% BSA, 40% Glycerol. Preservative: 0.05% Sodium Azide.
Concentration: 1ug/ul
Purification: Protein A affinity purified.
Molecular weight: Predicted band size: 53 kDa
Isotype: IgG
Immunogen: Recombinant protein within human Bcl2-L-13 aa 1-350.
Positive control: K-562 cell lysate, THP-1 cell lysate, Raji cell lysate, COS-1 cell lysate, human heart tissue, human placenta tissue, mouse heart tissue, mouse liver tissue, mouse placenta tissue, rat heart tissue, rat liver tissue, rat placenta tissue.
Subcellular location: Mitochondrion membrane, Nucleus.
Recommended Dilutions:
  WB
  IHC-P
  IP

1:50,000
1:200-1:1,000
1-2μg/sample
Uniprot #: SwissProt: Q9BXK5 Human | P59017 Mouse
Entrez Gene: 312682 Rat
Alternative names: Apoptosis facilitator B2L13_HUMAN Bcl 2 like 13 Bcl 2 like 13 protein Bcl rambo Bcl-2-like protein 13 Bcl-rambo BCL2 like 13 apoptosis facilitator BCL2 like 13 Bcl2 like 13 protein Bcl2-L-13 BCL2L13 MIL 1 MIL1 MIL1 protein Protein Mil1
Images
HA723899_1.jpg Fig1: Western blot analysis of Bcl2-L-13 on different lysates with Rabbit anti-Bcl2-L-13 antibody (HA723899) at 1/50,000 dilution.

Lane 1: K-562 cell lysate (20 µg/Lane)
Lane 2: THP-1 cell lysate (20 µg/Lane)
Lane 3: Raji cell lysate (20 µg/Lane)
Lane 4: COS-1 cell lysate (20 µg/Lane)

Predicted band size: 53 kDa
Observed band size: 85 kDa

Exposure time: 15 seconds; ECL: K1801;

4-20% SDS-PAGE gel.

Proteins were transferred to a PVDF membrane and blocked with 5% NFDM/TBST for 1 hour at room temperature. The primary antibody (HA723899) at 1/50,000 dilution was used in primary antibody dilution (K1803) at 4℃ overnight. Goat Anti-Rabbit IgG - HRP Secondary Antibody (HA1001) at 1/50,000 dilution was used for 1 hour at room temperature.
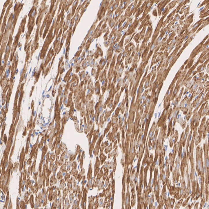
HA723899_2.jpg Fig2: Immunohistochemical analysis of paraffin-embedded human heart tissue with Rabbit anti-Bcl2-L-13 antibody (HA723899) at 1/200 dilution.

The section was pre-treated using heat mediated antigen retrieval with Tris-EDTA buffer (pH 9.0) for 20 minutes. The tissues were blocked in 1% BSA for 20 minutes at room temperature, washed with ddH2O and PBS, and then probed with the primary antibody (HA723899) at 1/200 dilution for 1 hour at room temperature. The detection was performed using an HRP conjugated compact polymer system. DAB was used as the chromogen. Tissues were counterstained with hematoxylin and mounted with DPX.
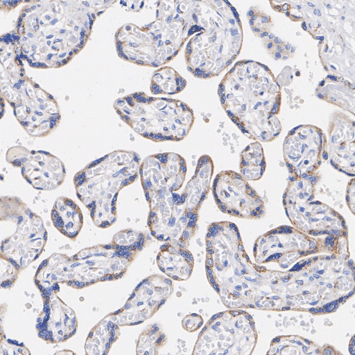
HA723899_3.jpg Fig3: Immunohistochemical analysis of paraffin-embedded human placenta tissue with Rabbit anti-Bcl2-L-13 antibody (HA723899) at 1/1,000 dilution.

The section was pre-treated using heat mediated antigen retrieval with Tris-EDTA buffer (pH 9.0) for 20 minutes. The tissues were blocked in 1% BSA for 20 minutes at room temperature, washed with ddH2O and PBS, and then probed with the primary antibody (HA723899) at 1/1,000 dilution for 1 hour at room temperature. The detection was performed using an HRP conjugated compact polymer system. DAB was used as the chromogen. Tissues were counterstained with hematoxylin and mounted with DPX.
HA723899_4.jpg Fig4: Immunohistochemical analysis of paraffin-embedded mouse heart tissue with Rabbit anti-Bcl2-L-13 antibody (HA723899) at 1/1,000 dilution.

The section was pre-treated using heat mediated antigen retrieval with Tris-EDTA buffer (pH 9.0) for 20 minutes. The tissues were blocked in 1% BSA for 20 minutes at room temperature, washed with ddH2O and PBS, and then probed with the primary antibody (HA723899) at 1/1,000 dilution for 1 hour at room temperature. The detection was performed using an HRP conjugated compact polymer system. DAB was used as the chromogen. Tissues were counterstained with hematoxylin and mounted with DPX.
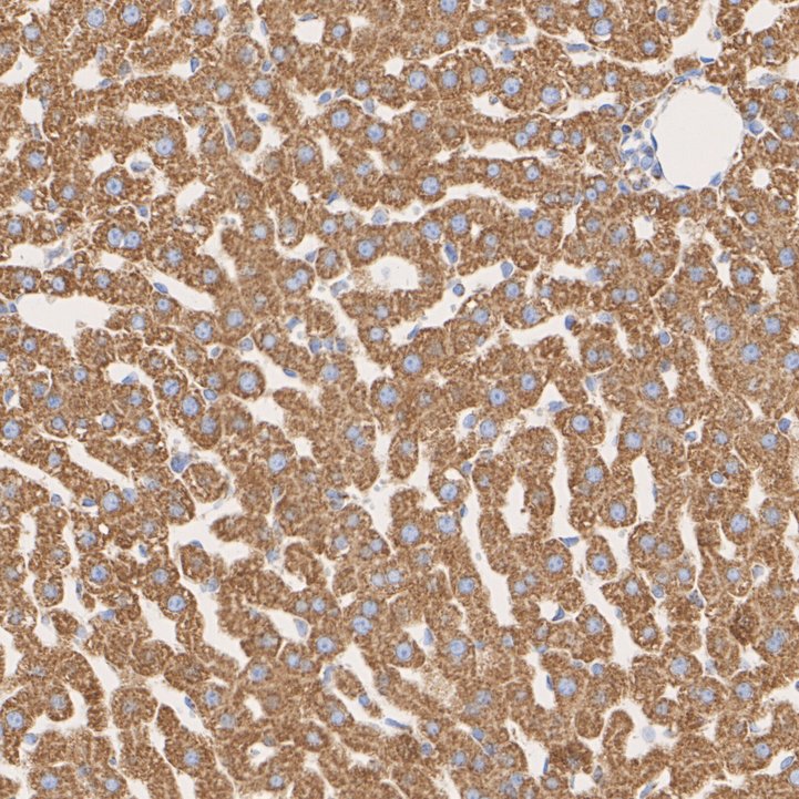
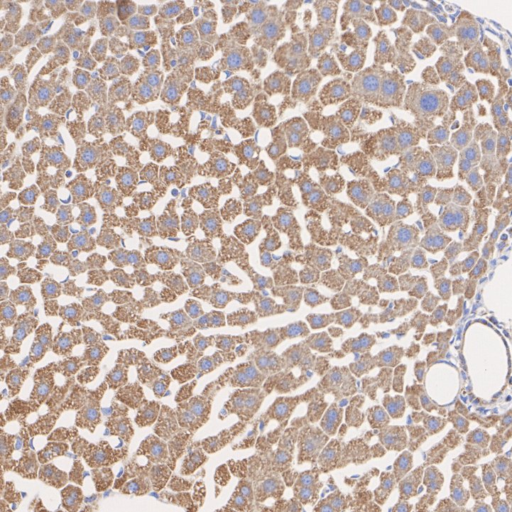
HA723899_5.jpg Fig5: Immunohistochemical analysis of paraffin-embedded mouse liver tissue with Rabbit anti-Bcl2-L-13 antibody (HA723899) at 1/1,000 dilution.

The section was pre-treated using heat mediated antigen retrieval with Tris-EDTA buffer (pH 9.0) for 20 minutes. The tissues were blocked in 1% BSA for 20 minutes at room temperature, washed with ddH2O and PBS, and then probed with the primary antibody (HA723899) at 1/1,000 dilution for 1 hour at room temperature. The detection was performed using an HRP conjugated compact polymer system. DAB was used as the chromogen. Tissues were counterstained with hematoxylin and mounted with DPX.
HA723899_6.jpg Fig6: Immunohistochemical analysis of paraffin-embedded mouse placenta tissue with Rabbit anti-Bcl2-L-13 antibody (HA723899) at 1/1,000 dilution.

The section was pre-treated using heat mediated antigen retrieval with Tris-EDTA buffer (pH 9.0) for 20 minutes. The tissues were blocked in 1% BSA for 20 minutes at room temperature, washed with ddH2O and PBS, and then probed with the primary antibody (HA723899) at 1/1,000 dilution for 1 hour at room temperature. The detection was performed using an HRP conjugated compact polymer system. DAB was used as the chromogen. Tissues were counterstained with hematoxylin and mounted with DPX.
HA723899_7.jpg Fig7: Immunohistochemical analysis of paraffin-embedded rat heart tissue with Rabbit anti-Bcl2-L-13 antibody (HA723899) at 1/1,000 dilution.

The section was pre-treated using heat mediated antigen retrieval with Tris-EDTA buffer (pH 9.0) for 20 minutes. The tissues were blocked in 1% BSA for 20 minutes at room temperature, washed with ddH2O and PBS, and then probed with the primary antibody (HA723899) at 1/1,000 dilution for 1 hour at room temperature. The detection was performed using an HRP conjugated compact polymer system. DAB was used as the chromogen. Tissues were counterstained with hematoxylin and mounted with DPX.
HA723899_8.jpg Fig8: Immunohistochemical analysis of paraffin-embedded rat liver tissue with Rabbit anti-Bcl2-L-13 antibody (HA723899) at 1/1,000 dilution.

The section was pre-treated using heat mediated antigen retrieval with Tris-EDTA buffer (pH 9.0) for 20 minutes. The tissues were blocked in 1% BSA for 20 minutes at room temperature, washed with ddH2O and PBS, and then probed with the primary antibody (HA723899) at 1/1,000 dilution for 1 hour at room temperature. The detection was performed using an HRP conjugated compact polymer system. DAB was used as the chromogen. Tissues were counterstained with hematoxylin and mounted with DPX.
HA723899_9.jpg Fig9: Immunohistochemical analysis of paraffin-embedded rat placenta tissue with Rabbit anti-Bcl2-L-13 antibody (HA723899) at 1/1,000 dilution.

The section was pre-treated using heat mediated antigen retrieval with Tris-EDTA buffer (pH 9.0) for 20 minutes. The tissues were blocked in 1% BSA for 20 minutes at room temperature, washed with ddH2O and PBS, and then probed with the primary antibody (HA723899) at 1/1,000 dilution for 1 hour at room temperature. The detection was performed using an HRP conjugated compact polymer system. DAB was used as the chromogen. Tissues were counterstained with hematoxylin and mounted with DPX.
HA723899_10.jpg Fig10: Bcl2-L-13 was immunoprecipitated from 0.2 mg K-562 cell lysate with HA723899 at 2 µg/10 µl beads. Western blot was performed from the immunoprecipitate using HA723899 at 1/10,000 dilution. HRP Conjugated Anti-Rabbit IgG for IP Nano-secondary antibody at 1/5,000 dilution was used for 1 hour at room temperature.

Lane 1: K-562 cell lysate (input)
Lane 2: HA723899 IP in K-562 cell lysate
Lane 3: Rabbit IgG instead of HA723899 in K-562 cell lysate

Blocking/Dilution buffer: primary antibody dilution (K1803)
Exposure time: 3 seconds; ECL: K1801
Note: All products are “FOR RESEARCH USE ONLY AND ARE NOT INTENDED FOR DIAGNOSTIC OR THERAPEUTIC USE”.