ELKS Recombinant Rabbit Monoclonal Antibody [PSH17-33]
cat.: HA723916
Product Type: Recombinant Rabbit monoclonal IgG, primary antibodies
Species reactivity: Human, Mouse, Rat
Applications: WB
Clonality: Monoclonal
Clone number: PSH17-33
Form: Liquid
Storage condition: Shipped at 4℃. Store at +4℃ short term (1-2 weeks). It is recommended to aliquot into single-use upon delivery. Store at -20℃ long term.
Storage buffer: 1*PBS (pH7.4), 0.1% BSA, 40% Glycerol, 0.2% Proclean 950.
Concentration: 1ug/ul
Purification: Protein A affinity purified.
Molecular weight: Predicted band size: 128 kDa
Isotype: IgG
Immunogen: Recombinant protein within human ELKS aa 1-450.
Positive control: HeLa cell lysate, Huh7 cell lysate, U-87 MG cell lysate, NIH/3T3 cell lysate, Neuro-2a cell lysate, PC-12 cell lysate, C6 cell lysate, Mouse brain tissue lysate, Mouse testis tissue lysate, Mouse kidney tissue lysate, Rat brain tissue lysate, Rat testis tissue lysate, Rat kidney tissue lysate.
Subcellular location: Cytoplasm, cytoskeleton, microtubule organizing center, centrosome, Membrane, Golgi apparatus membrane, Presynaptic cell membrane, Cell projection, podosome.
Recommended Dilutions:
  WB

1:5,000
Uniprot #: SwissProt: Q8IUD2 Human | Q99MI1 Mouse | Q811U3 Rat
Alternative names: Cast 2 CAST2 CAZ associated structural protein 2 Elks ELKS/RAB6 interacting/CAST family member 1 ELKS/RAB6-interacting/CAST family member 1 ERC 1 ERC protein 1 ERC-1 Erc1 ERC1 protein KIAA1081 MGC12974 RAB6 interacting protein 2 RAB6-interacting protein 2 RAB6IP2 RB6I2_HUMAN
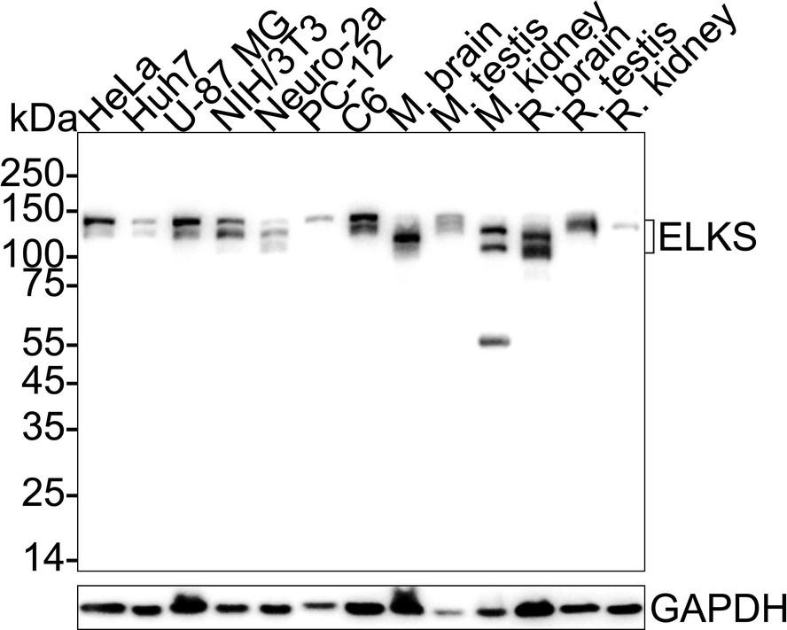
Images
HA723916_1.jpg Fig1: Western blot analysis of ELKS on different lysates with Rabbit anti-ELKS antibody (HA723916) at 1/5,000 dilution.

Lane 1: HeLa cell lysate (20 µg/Lane)
Lane 2: Huh7 cell lysate (20 µg/Lane)
Lane 3: U-87 MG cell lysate (20 µg/Lane)
Lane 4: NIH/3T3 cell lysate (20 µg/Lane)
Lane 5: Neuro-2a cell lysate (20 µg/Lane)
Lane 6: PC-12 cell lysate (20 µg/Lane)
Lane 7: C6 cell lysate (20 µg/Lane)
Lane 8: Mouse brain tissue lysate (40 µg/Lane)
Lane 9: Mouse testis tissue lysate (40 µg/Lane)
Lane 10: Mouse kidney tissue lysate (40 µg/Lane)
Lane 11: Rat brain tissue lysate (40 µg/Lane)
Lane 12: Rat testis tissue lysate (40 µg/Lane)
Lane 13: Rat kidney tissue lysate (40 µg/Lane)

Predicted band size: 128 kDa
Observed band size: 120/130 kDa

Exposure time: 20 seconds; ECL: K1801;

4-20% SDS-PAGE gel.

Proteins were transferred to a PVDF membrane and blocked with 5% NFDM/TBST for 1 hour at room temperature. The primary antibody (HA723916) at 1/5,000 dilution was used in primary antibody dilution (K1803) at 4℃ overnight. Goat Anti-Rabbit IgG - HRP Secondary Antibody (HA1001) at 1/50,000 dilution was used for 1 hour at room temperature.
Note: All products are “FOR RESEARCH USE ONLY AND ARE NOT INTENDED FOR DIAGNOSTIC OR THERAPEUTIC USE”.