TMS1 / ASC Recombinant Rabbit Monoclonal Antibody [PSH17-34]
cat.: HA723917
Product Type: Recombinant Rabbit monoclonal IgG, primary antibodies
Species reactivity: Human, Mouse
Applications: WB, IHC-Fr, IHC-P
Clonality: Monoclonal
Clone number: PSH17-34
Form: Liquid
Storage condition: Shipped at 4℃. Store at +4℃ short term (1-2 weeks). It is recommended to aliquot into single-use upon delivery. Store at -20℃ long term.
Storage buffer: PBS (pH7.4), 0.1% BSA, 40% Glycerol. Preservative: 0.05% Sodium Azide.
Concentration: 1ug/ul
Purification: Protein A affinity purified.
Molecular weight: Predicted band size: 21 kDa
Isotype: IgG
Immunogen: Recombinant protein within mouse TMS1 / ASC aa 1-193.
Positive control: Mouse spleen tissue lysate, Mouse colon tissue lysate, HL-60 cell lysate, THP-1 cell lysate, U-937 cell lysate, human spleen tissue, mouse spleen tissue.
Subcellular location: Cytoplasm, Inflammasome, Endoplasmic reticulum, Mitochondrion, Nucleus.
Recommended Dilutions:
  WB
  IHC-Fr
  IHC-P

1:5,000
1:500
1:200-1:1,000
Uniprot #: SwissProt: Q9ULZ3 Human | Q9EPB4 Mouse
Alternative names: Apoptosis associated speck like protein containing a CARD Apoptosis-associated speck-like protein containing a CARD ASC CARD 5 CARD5 Caspase recruitment domain containing protein 5 Caspase recruitment domain protein 5 Caspase recruitment domain-containing protein 5 hASC MGC10332 PYCARD PYD and CARD domain containing PYD and CARD domain containing protein PYD and CARD domain-containing protein Target of methylation induced silencing 1 Target of methylation-induced silencing 1 TMS 1 TMS TMS1
Images
HA723917_1.jpg Fig1: Western blot analysis of TMS1 / ASC on different lysates with Rabbit anti-TMS1 / ASC antibody (HA723917) at 1/5,000 dilution.

Lane 1: Mouse spleen tissue lysate
Lane 2: Mouse colon tissue lysate
Lane 3: Mouse skeletal muscle tissue lysate (low expression)

Lysates/proteins at 30 µg/Lane.

Predicted band size: 21 kDa
Observed band size: 25 kDa

Exposure time: 20 seconds; ECL: K1801;

4-20% SDS-PAGE gel.

Proteins were transferred to a PVDF membrane and blocked with 5% NFDM/TBST for 1 hour at room temperature. The primary antibody (HA723917) at 1/5,000 dilution was used in primary antibody dilution (K1803) at 4℃ overnight. Goat Anti-Rabbit IgG - HRP Secondary Antibody (HA1001) at 1/50,000 dilution was used for 1 hour at room temperature.
HA723917_2.jpg Fig2: Western blot analysis of TMS1 / ASC on different lysates with Rabbit anti-TMS1 / ASC antibody (HA723917) at 1/5,000 dilution.

Lane 1: HL-60 cell lysate
Lane 2: THP-1 cell lysate
Lane 3: U-937 cell lysate

Lysates/proteins at 20 µg/Lane.

Predicted band size: 21 kDa
Observed band size: 25 kDa

Exposure time: 3 minutes; ECL: K1802;

4-20% SDS-PAGE gel.

Proteins were transferred to a PVDF membrane and blocked with 5% NFDM/TBST for 1 hour at room temperature. The primary antibody (HA723917) at 1/5,000 dilution was used in primary antibody dilution (K1803) at 4℃ overnight. Goat Anti-Rabbit IgG - HRP Secondary Antibody (HA1001) at 1/50,000 dilution was used for 1 hour at room temperature.
HA723917_3.jpg Fig3: Application: IHC-Fr

Species: Mouse

Site: colon

Sample: Frozen section

Antibody concentration: 1/500

Antigen retrieval: Not required
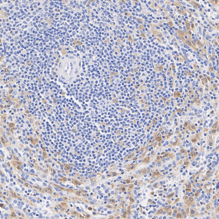
HA723917_4.jpg Fig4: Immunohistochemical analysis of paraffin-embedded human spleen tissue with Rabbit anti-TMS1 / ASC antibody (HA723917) at 1/200 dilution.

The section was pre-treated using heat mediated antigen retrieval with Tris-EDTA buffer (pH 9.0) for 20 minutes. The tissues were blocked in 1% BSA for 20 minutes at room temperature, washed with ddH2O and PBS, and then probed with the primary antibody (HA723917) at 1/200 dilution for 1 hour at room temperature. The detection was performed using an HRP conjugated compact polymer system. DAB was used as the chromogen. Tissues were counterstained with hematoxylin and mounted with DPX.
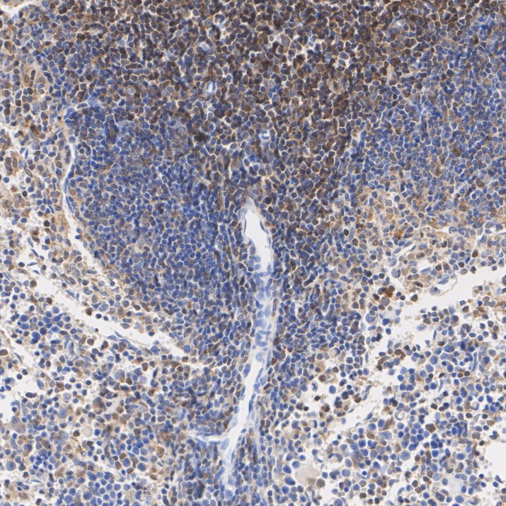
HA723917_5.jpg Fig5: Immunohistochemical analysis of paraffin-embedded mouse spleen tissue with Rabbit anti-TMS1 / ASC antibody (HA723917) at 1/1,000 dilution.

The section was pre-treated using heat mediated antigen retrieval with Tris-EDTA buffer (pH 9.0) for 20 minutes. The tissues were blocked in 1% BSA for 20 minutes at room temperature, washed with ddH2O and PBS, and then probed with the primary antibody (HA723917) at 1/1,000 dilution for 1 hour at room temperature. The detection was performed using an HRP conjugated compact polymer system. DAB was used as the chromogen. Tissues were counterstained with hematoxylin and mounted with DPX.
HA723917_6.jpg Fig6: Immunohistochemical analysis of paraffin-embedded mouse skeletal muscle tissue (low expression) with Rabbit anti-TMS1 / ASC antibody (HA723917) at 1/200 dilution.

The section was pre-treated using heat mediated antigen retrieval with Tris-EDTA buffer (pH 9.0) for 20 minutes. The tissues were blocked in 1% BSA for 20 minutes at room temperature, washed with ddH2O and PBS, and then probed with the primary antibody (HA723917) at 1/200 dilution for 1 hour at room temperature. The detection was performed using an HRP conjugated compact polymer system. DAB was used as the chromogen. Tissues were counterstained with hematoxylin and mounted with DPX.
Note: All products are “FOR RESEARCH USE ONLY AND ARE NOT INTENDED FOR DIAGNOSTIC OR THERAPEUTIC USE”.