MOB1 Recombinant Rabbit Monoclonal Antibody [PSH17-36]
cat.: HA723919
Product Type: Recombinant Rabbit monoclonal IgG, primary antibodies
Species reactivity: Human, Mouse, Rat, Monkey
Applications: WB, IF-Cell, IHC-P, FC, IP
Clonality: Monoclonal
Clone number: PSH17-36
Form: Liquid
Storage condition: Shipped at 4℃. Store at +4℃ short term (1-2 weeks). It is recommended to aliquot into single-use upon delivery. Store at -20℃ long term.
Storage buffer: 1*PBS (pH7.4), 0.1% BSA, 40% Glycerol, 0.2% Proclean 950.
Concentration: 1ug/ul
Purification: Protein A affinity purified.
Molecular weight: Predicted band size: 25 kDa
Isotype: IgG
Immunogen: Recombinant protein within human MOB1A aa 1-216.
Positive control: HeLa cell lysate, K-562 cell lysate, PANC-1 cell lysate, MOLT-4 cell lysate, Daudi cell lysate, Raji cell lysate, C2C12 cell lysate, NIH/3T3 cell lysate, RAW264.7 cell lysate, C6 cell lysate, PC-12 cell lysate, COS-1 cell lysate, Mouse pancreas tissue lysate, Rat pancreas tissue lysate, HeLa, RAW264.7, human small intestine tissue, mouse small intestine tissue, rat small intestine tissue.
Subcellular location: Cytoplasm, Nucleus.
Recommended Dilutions:
  WB
  IF-Cell
  IHC-P
  FC
  IP

1:5,000
1:50-1:100
1:1,000
1:1,000
1-2μg/sample
Uniprot #: SwissProt: Q9H8S9 Human | Q7L9L4 Human | Q921Y0 Mouse | Q8BPB0 Mouse | Q3T1J9 Rat
Entrez Gene: 360920 Rat
Alternative names: B1, Mps One Binder kinase activator like 1B (yeast) C2orf6 Chromosome 2 open reading frame 6 FLJ10788 FLJ11595 MATS1 MOB kinase activator 1A MOB1 Mob1 alpha Mob1 homolog 1B MOB1 Mps One Binder homolog A MOB1 Mps One Binder kinase activator like 1B Mob1A MOB4B Mob4B protein MOBK1B Mobkl1b MOL1B_HUMAN Mps one binder kinase activator like 1B Mps one binder kinase activator-like 1B Protein Mob4B MOB kinase activator 1B Mob1 homolog 1A Mob1B Mps one binder kinase activator-like 1A MOB1B MOB4A MOBKL1A
Images
HA723919_1.jpg Fig1: Western blot analysis of MOB1 on different lysates with Rabbit anti-MOB1 antibody (HA723919) at 1/5,000 dilution.

Lane 1: HeLa cell lysate (20 µg/Lane)
Lane 2: K-562 cell lysate (20 µg/Lane)
Lane 3: PANC-1 cell lysate (20 µg/Lane)
Lane 4: MOLT-4 cell lysate (20 µg/Lane)
Lane 5: Daudi cell lysate (20 µg/Lane)
Lane 6: Raji cell lysate (20 µg/Lane)
Lane 7: C2C12 cell lysate (20 µg/Lane)
Lane 8: NIH/3T3 cell lysate (20 µg/Lane)
Lane 9: RAW264.7 cell lysate (20 µg/Lane)
Lane 10: C6 cell lysate (20 µg/Lane)
Lane 11: PC-12 cell lysate (20 µg/Lane)
Lane 12: COS-1 cell lysate (20 µg/Lane)
Lane 13: Mouse pancreas tissue lysate (40 µg/Lane)
Lane 14: Rat pancreas tissue lysate (40 µg/Lane)

Predicted band size: 25 kDa
Observed band size: 25 kDa
Exposure time: 8 seconds; ECL: K1801;
4-20% SDS-PAGE gel.

Proteins were transferred to a PVDF membrane and blocked with 5% NFDM/TBST for 1 hour at room temperature. The primary antibody (HA723919) at 1/5,000 dilution was used in primary antibody dilution (K1803) at 4℃ overnight. Goat Anti-Rabbit IgG - HRP Secondary Antibody (HA1001) at 1/50,000 dilution was used for 1 hour at room temperature.
HA723919_2.jpg Fig2: Immunocytochemistry analysis of HeLa cells labeling MOB1 with Rabbit anti-MOB1 antibody (HA723919) at 1/50 dilution.

Cells were fixed in 4% paraformaldehyde for 15 minutes at room temperature, permeabilized with 0.1% Triton X-100 in PBS for 15 minutes at room temperature, then blocked with 1% BSA in 10% negative goat serum for 1 hour at room temperature. Cells were then incubated with Rabbit anti-MOB1 antibody (HA723919) at 1/50 dilution in 1% BSA in PBST overnight at 4 ℃. Goat Anti-Rabbit IgG H&L (iFluor™ 488, HA1121) was used as the secondary antibody at 1/1,000 dilution. PBS instead of the primary antibody was used as the secondary antibody only control. Nuclear DNA was labelled in blue with DAPI.

Beta tubulin (HA601187, red) was stained at 1/100 dilution overnight at +4℃. Goat Anti-Mouse IgG H&L (iFluor™ 594, HA1126) was used as the secondary antibody at 1/1,000 dilution.
HA723919_3.jpg Fig3: Immunocytochemistry analysis of RAW264.7 cells labeling MOB1 with Rabbit anti-MOB1 antibody (HA723919) at 1/100 dilution.

Cells were fixed in 4% paraformaldehyde for 15 minutes at room temperature, permeabilized with 0.1% Triton X-100 in PBS for 15 minutes at room temperature, then blocked with 1% BSA in 10% negative goat serum for 1 hour at room temperature. Cells were then incubated with Rabbit anti-MOB1 antibody (HA723919) at 1/100 dilution in 1% BSA in PBST overnight at 4 ℃. Goat Anti-Rabbit IgG H&L (iFluor™ 488, HA1121) was used as the secondary antibody at 1/1,000 dilution. PBS instead of the primary antibody was used as the secondary antibody only control. Nuclear DNA was labelled in blue with DAPI.

Beta tubulin (HA601187, red) was stained at 1/100 dilution overnight at +4℃. Goat Anti-Mouse IgG H&L (iFluor™ 594, HA1126) was used as the secondary antibody at 1/1,000 dilution.
HA723919_4.jpg Fig4: Immunohistochemical analysis of paraffin-embedded human small intestine tissue with Rabbit anti-MOB1 antibody (HA723919) at 1/1,000 dilution.

The section was pre-treated using heat mediated antigen retrieval with Tris-EDTA buffer (pH 9.0) for 20 minutes. The tissues were blocked in 1% BSA for 20 minutes at room temperature, washed with ddH2O and PBS, and then probed with the primary antibody (HA723919) at 1/1,000 dilution for 1 hour at room temperature. The detection was performed using an HRP conjugated compact polymer system. DAB was used as the chromogen. Tissues were counterstained with hematoxylin and mounted with DPX.
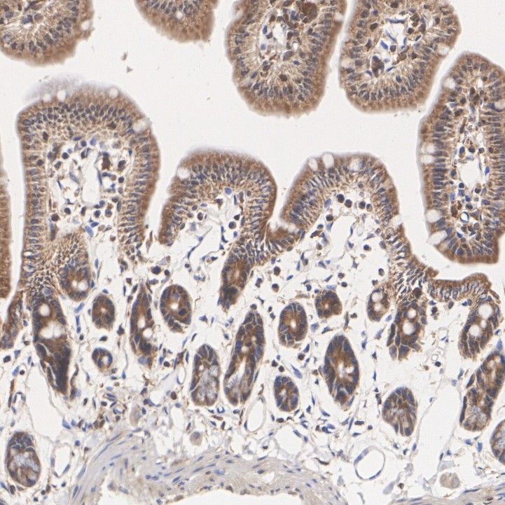
HA723919_5.jpg Fig5: Immunohistochemical analysis of paraffin-embedded mouse small intestine tissue with Rabbit anti-MOB1 antibody (HA723919) at 1/1,000 dilution.

The section was pre-treated using heat mediated antigen retrieval with Tris-EDTA buffer (pH 9.0) for 20 minutes. The tissues were blocked in 1% BSA for 20 minutes at room temperature, washed with ddH2O and PBS, and then probed with the primary antibody (HA723919) at 1/1,000 dilution for 1 hour at room temperature. The detection was performed using an HRP conjugated compact polymer system. DAB was used as the chromogen. Tissues were counterstained with hematoxylin and mounted with DPX.
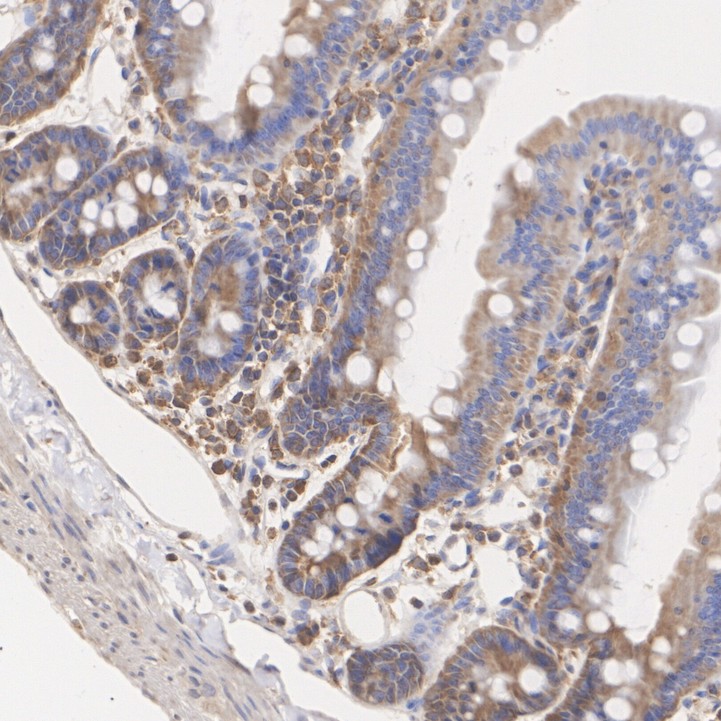
HA723919_6.jpg Fig6: Immunohistochemical analysis of paraffin-embedded rat small intestine tissue with Rabbit anti-MOB1 antibody (HA723919) at 1/1,000 dilution.

The section was pre-treated using heat mediated antigen retrieval with Tris-EDTA buffer (pH 9.0) for 20 minutes. The tissues were blocked in 1% BSA for 20 minutes at room temperature, washed with ddH2O and PBS, and then probed with the primary antibody (HA723919) at 1/1,000 dilution for 1 hour at room temperature. The detection was performed using an HRP conjugated compact polymer system. DAB was used as the chromogen. Tissues were counterstained with hematoxylin and mounted with DPX.
HA723919_7.jpg Fig7: Flow cytometric analysis of HeLa cells labeling MOB1.

Cells were fixed and permeabilized. Then stained with the primary antibody (HA723919, 1/1,000) (red) compared with Rabbit IgG Isotype Control (green). After incubation of the primary antibody at +4℃ for an hour, the cells were stained with a iFluor™ 488 conjugate-Goat anti-Rabbit IgG Secondary antibody (HA1121) at 1/1,000 dilution for 30 minutes at +4℃. Unlabelled sample was used as a control (cells without incubation with primary antibody; black).
HA723919_8.jpg Fig8: Flow cytometric analysis of RAW264.7 cells labeling MOB1.

Cells were fixed and permeabilized. Then stained with the primary antibody (HA723919, 1/1,000) (red) compared with Rabbit IgG Isotype Control (green). After incubation of the primary antibody at +4℃ for an hour, the cells were stained with a iFluor™ 488 conjugate-Goat anti-Rabbit IgG Secondary antibody (HA1121) at 1/1,000 dilution for 30 minutes at +4℃. Unlabelled sample was used as a control (cells without incubation with primary antibody; black).
HA723919_9.jpg Fig9: Western blot analysis of MOB1 on different lysates with Rabbit anti-MOB1 antibody (HA723919) at 1/5,000 dilution.

Lane 1: His-tagged MOB1A recombinant protein
Lane 2: His-tagged MOB1B recombinant protein

Lysates/proteins at 50 ng/Lane.

Exposure time: 4 seconds; ECL: K1801;

4-20% SDS-PAGE gel.

Proteins were transferred to a PVDF membrane and blocked with 5% NFDM/TBST for 1 hour at room temperature. The primary antibody (HA723919) at 1/5,000 dilution was used in primary antibody dilution (K1803) at 4℃ overnight. Goat Anti-Rabbit IgG - HRP Secondary Antibody (HA1001) at 1/50,000 dilution was used for 1 hour at room temperature.
HA723919_10.jpg Fig10: MOB1 was immunoprecipitated from 0.2 mg HeLa cell lysate with HA723919 at 2 µg/10 µl beads. Western blot was performed from the immunoprecipitate using HA723919 at 1/5,000 dilution. HRP Conjugated Anti-Rabbit IgG for IP Nano-secondary antibody at 1/5,000 dilution was used for 1 hour at room temperature.

Lane 1: HeLa cell lysate (input)
Lane 2: HA723919 IP in HeLa cell lysate
Lane 3: Rabbit IgG instead of HA723919 in HeLa cell lysate

Blocking/Dilution buffer: primary antibody dilution (K1803)
Exposure time: 10 seconds; ECL: K1801
HA723919_11.jpg Fig11: MOB1 was immunoprecipitated from 0.2 mg RAW264.7 cell lysate with HA723919 at 2 µg/10 µl beads. Western blot was performed from the immunoprecipitate using HA723919 at 1/5,000 dilution. HRP Conjugated Anti-Rabbit IgG for IP Nano-secondary antibody at 1/5,000 dilution was used for 1 hour at room temperature.

Lane 1: RAW264.7 cell lysate (input)
Lane 2: HA723919 IP in RAW264.7 cell lysate
Lane 3: Rabbit IgG instead of HA723919 in RAW264.7 cell lysate

Blocking/Dilution buffer: primary antibody dilution (K1803)
Exposure time: 10 seconds; ECL: K1801
Note: All products are “FOR RESEARCH USE ONLY AND ARE NOT INTENDED FOR DIAGNOSTIC OR THERAPEUTIC USE”.