PDE1B Recombinant Rabbit Monoclonal Antibody [PSH17-59]
cat.: HA723934
Product Type: Recombinant Rabbit monoclonal IgG, primary antibodies
Species reactivity: Mouse, Rat
Applications: WB, IHC-P, IHC-Fr
Clonality: Monoclonal
Clone number: PSH17-59
Form: Liquid
Storage condition: Shipped at 4℃. Store at +4℃ short term (1-2 weeks). It is recommended to aliquot into single-use upon delivery. Store at -20℃ long term.
Storage buffer: PBS (pH7.4), 0.1% BSA, 40% Glycerol. Preservative: 0.05% Sodium Azide.
Concentration: 1ug/ul
Purification: Protein A affinity purified.
Molecular weight: Predicted band size: 61 kDa
Isotype: IgG
Immunogen: Recombinant protein within human PDE1B aa 401-536.
Positive control: Mouse brain tissue lysate, Rat brain tissue lysate, Rat cerebellum tissue lysate, Rat hippocampus tissue lysate, mouse cerebrum tissue, mouse corpus striatum tissue, rat cerebellum tissue.
Subcellular location: Cytoplasm, cytosol.
Recommended Dilutions:
  WB
  IHC-P
  IHC-Fr

1:5,000
1:1,000
1:500
Uniprot #: SwissProt: Q01065 Mouse | Q01066 Rat
Alternative names: 5''-cyclic nucleotide phosphodiesterase 1B 63 kDa Cam PDE 63 kDa Cam-PDE Calcium/calmodulin dependent 3' 5' cyclic nucleotide Phosphodiesterase 1B Calcium/calmodulin stimulated cyclic nucleotide phosphodiesterase Calcium/calmodulin-dependent 3'' Calmodulin stimulated phosphodiesterase PDE1B1 Cam PDE 1B Cam PDE1B Cam-PDE 1B PDE 1B PDE1B PDE1B_HUMAN PDE1B1 PDES 1B PDES1B Phosphodiesterase 1B Phosphodiesterase 1B calmodulin dependent Presumed 63kDa form of the type 1 cyclic nucleotide phosphodiesterase family known as PDE1B
Images
HA723934_1.jpg Fig1: Western blot analysis of PDE1B on different lysates with Rabbit anti-PDE1B antibody (HA723934) at 1/5,000 dilution.

Lane 1: Mouse brain tissue lysate (10 µg/Lane)
Lane 2: Rat brain tissue lysate (10 µg/Lane)
Lane 3: Rat cerebellum tissue lysate (30 µg/Lane)
Lane 4: Rat hippocampus tissue lysate (20 µg/Lane)

Predicted band size: 61 kDa
Observed band size: 61 kDa

Exposure time: 10 seconds; ECL: K1801;

4-20% SDS-PAGE gel.

Proteins were transferred to a PVDF membrane and blocked with 5% NFDM/TBST for 1 hour at room temperature. The primary antibody (HA723934) at 1/5,000 dilution was used in primary antibody dilution (K1803) at 4℃ overnight. Goat Anti-Rabbit IgG - HRP Secondary Antibody (HA1001) at 1/50,000 dilution was used for 1 hour at room temperature.
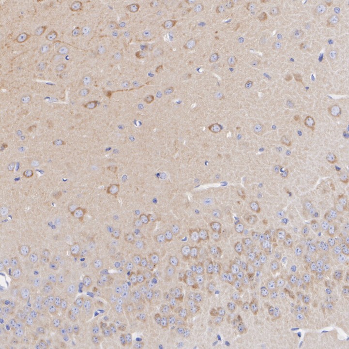
HA723934_2.jpg Fig2: Immunohistochemical analysis of paraffin-embedded mouse cerebrum tissue with Rabbit anti-PDE1B antibody (HA723934) at 1/1,000 dilution.

The section was pre-treated using heat mediated antigen retrieval with Tris-EDTA buffer (pH 9.0) for 20 minutes. The tissues were blocked in 1% BSA for 20 minutes at room temperature, washed with ddH2O and PBS, and then probed with the primary antibody (HA723934) at 1/1,000 dilution for 1 hour at room temperature. The detection was performed using an HRP conjugated compact polymer system. DAB was used as the chromogen. Tissues were counterstained with hematoxylin and mounted with DPX.
HA723934_3.jpg Fig3: Immunohistochemical analysis of paraffin-embedded mouse corpus striatum tissue with Rabbit anti-PDE1B antibody (HA723934) at 1/1,000 dilution.

The section was pre-treated using heat mediated antigen retrieval with Tris-EDTA buffer (pH 9.0) for 20 minutes. The tissues were blocked in 1% BSA for 20 minutes at room temperature, washed with ddH2O and PBS, and then probed with the primary antibody (HA723934) at 1/1,000 dilution for 1 hour at room temperature. The detection was performed using an HRP conjugated compact polymer system. DAB was used as the chromogen. Tissues were counterstained with hematoxylin and mounted with DPX.
HA723934_4.jpg Fig4: Immunohistochemical analysis of paraffin-embedded rat cerebellum tissue with Rabbit anti-PDE1B antibody (HA723934) at 1/1,000 dilution.

The section was pre-treated using heat mediated antigen retrieval with Tris-EDTA buffer (pH 9.0) for 20 minutes. The tissues were blocked in 1% BSA for 20 minutes at room temperature, washed with ddH2O and PBS, and then probed with the primary antibody (HA723934) at 1/1,000 dilution for 1 hour at room temperature. The detection was performed using an HRP conjugated compact polymer system. DAB was used as the chromogen. Tissues were counterstained with hematoxylin and mounted with DPX.
HA723934_5.jpg Fig5: Application: IHC-Fr

Species: Mouse

Site: brain (striatum)

Sample: Frozen section

Antibody concentration: 1/500

Antigen retrieval: Not required
Note: All products are “FOR RESEARCH USE ONLY AND ARE NOT INTENDED FOR DIAGNOSTIC OR THERAPEUTIC USE”.