CD200 / OX2 Recombinant Rabbit Monoclonal Antibody [PSH17-62]
cat.: HA723937
Product Type: Recombinant Rabbit monoclonal IgG, primary antibodies
Species reactivity: Mouse
Applications: IHC-Fr, IHC-P, WB
Clonality: Monoclonal
Clone number: PSH17-62
Form: Liquid
Storage condition: Shipped at 4℃. Store at +4℃ short term (1-2 weeks). It is recommended to aliquot into single-use upon delivery. Store at -20℃ long term.
Storage buffer: PBS (pH7.4), 0.1% BSA, 40% Glycerol. Preservative: 0.05% Sodium Azide.
Concentration: 1ug/ul
Purification: Protein A affinity purified.
Molecular weight: Predicted band size: 31 kDa
Isotype: IgG
Immunogen: Recombinant protein within mouse CD200 aa 1-232.
Positive control: Mouse brain tissue, mouse spleen tissue, Mouse brain tissue lysate, Mouse lung tissue lysate.
Subcellular location: Cell membrane.
Recommended Dilutions:
  IHC-Fr
  IHC-P
  WB

1:500
1:1,000
1:5,000
Uniprot #: SwissProt: O54901 Mouse
Alternative names: Antigen identified by monoclonal MRC OX 2 CD200 CD200 antigen CD200 molecule MOX1 MOX2 MRC MRC OX 2 antigen My033 OX 2 OX 2 membrane glycoprotein precursor OX-2 membrane glycoprotein OX2G
Images
HA723937_1.jpg Fig1: Application: IHC-Fr

Species: Mouse

Site: brain

Sample: Frozen section

Antibody concentration: 1/500

Antigen retrieval: Not required
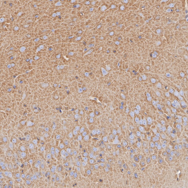
HA723937_2.jpg Fig2: Immunohistochemical analysis of paraffin-embedded mouse brain tissue with Rabbit anti-CD200 / OX2 antibody (HA723937) at 1/1,000 dilution.

The section was pre-treated using heat mediated antigen retrieval with Tris-EDTA buffer (pH 9.0) for 20 minutes. The tissues were blocked in 1% BSA for 20 minutes at room temperature, washed with ddH2O and PBS, and then probed with the primary antibody (HA723937) at 1/1,000 dilution for 1 hour at room temperature. The detection was performed using an HRP conjugated compact polymer system. DAB was used as the chromogen. Tissues were counterstained with hematoxylin and mounted with DPX.
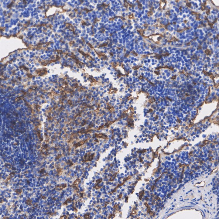
HA723937_3.jpg Fig3: Immunohistochemical analysis of paraffin-embedded mouse spleen tissue with Rabbit anti-CD200 / OX2 antibody (HA723937) at 1/1,000 dilution.

The section was pre-treated using heat mediated antigen retrieval with Tris-EDTA buffer (pH 9.0) for 20 minutes. The tissues were blocked in 1% BSA for 20 minutes at room temperature, washed with ddH2O and PBS, and then probed with the primary antibody (HA723937) at 1/1,000 dilution for 1 hour at room temperature. The detection was performed using an HRP conjugated compact polymer system. DAB was used as the chromogen. Tissues were counterstained with hematoxylin and mounted with DPX.
HA723937_4.jpg Fig4: Western blot analysis of CD200 / OX2 on different lysates with Rabbit anti-CD200 / OX2 antibody (HA723937) at 1/5,000 dilution.

Lane 1: Mouse brain tissue lysate
Lane 2: Mouse lung tissue lysate
Lane 3: Mouse liver tissue lysate (low expression)

Lysates/proteins at 30 µg/Lane.

Predicted band size: 31 kDa
Observed band size: 40-50 kDa

Exposure time: 10 seconds; ECL: K1801;

4-20% SDS-PAGE gel.

Proteins were transferred to a PVDF membrane and blocked with 5% NFDM/TBST for 1 hour at room temperature. The primary antibody (HA723937) at 1/5,000 dilution was used in primary antibody dilution (K1803) at 4℃ overnight. Goat Anti-Rabbit IgG - HRP Secondary Antibody (HA1001) at 1/50,000 dilution was used for 1 hour at room temperature.
Note: All products are “FOR RESEARCH USE ONLY AND ARE NOT INTENDED FOR DIAGNOSTIC OR THERAPEUTIC USE”.