c-Kit Recombinant Rabbit Monoclonal Antibody [PSH17-96]
cat.: HA723961
Product Type: Recombinant Rabbit monoclonal IgG, primary antibodies
Species reactivity: Mouse, Rat
Applications: WB, IHC-Fr, IHC-P
Clonality: Monoclonal
Clone number: PSH17-96
Form: Liquid
Storage condition: Shipped at 4℃. Store at +4℃ short term (1-2 weeks). It is recommended to aliquot into single-use upon delivery. Store at -20℃ long term.
Storage buffer: PBS (pH7.4), 0.1% BSA, 40% Glycerol. Preservative: 0.05% Sodium Azide.
Concentration: 1ug/ul
Purification: Protein A affinity purified.
Molecular weight: Predicted band size: 109 kDa
Isotype: IgG
Immunogen: Recombinant protein within mouse c-Kit aa 1-527.
Positive control: ES-D3 cell lysate, Mouse brain tissue lysate, Mouse testis tissue lysate, Rat brain tissue lysate, Rat cerebellum tissue lysate, rat cerebellum tissue, rat colon tissue, rat testis tissue.
Subcellular location: Cell membrane.
Recommended Dilutions:
  WB
  IHC-Fr
  IHC-P

1:5,000
1:500
1:200-1:5,000
Uniprot #: SwissProt: P05532 Mouse
Entrez Gene: 64030 Rat
Alternative names: C Kit c-Kit c-Kit Ligand CD117 Kit Kit Ligand KIT oncogene KIT proto oncogene receptor tyrosine kinase Mast cell growth factor receptor Mast/stem cell growth factor receptor Kit MGF p145 c-kit PBT Piebald trait protein Proto oncogene c Kit Proto oncogene tyrosine protein kinase Kit Proto-oncogene c-Kit SCF Receptor SCFR soluble KIT variant 1 Steel Factor Receptor Stem cell factor receptor tyrosine protein kinase Kit Tyrosine-protein kinase Kit v kit Hardy Zuckerman 4 feline sarcoma viral oncogene homolog v kit Hardy Zuckerman 4 feline sarcoma viral oncogene like protein v-kit Hardy-Zuckerman 4 feline sarcoma viral oncogene homolog
Images
HA723961_1.jpg Fig1: Western blot analysis of c-Kit on different lysates with Rabbit anti-c-Kit antibody (HA723961) at 1/5,000 dilution.

Lane 1: ES-D3 cell lysate (20 µg/Lane)
Lane 2: NIH/3T3 cell lysate (negative) (20 µg/Lane)
Lane 3: Mouse brain tissue lysate (20 µg/Lane)
Lane 4: Mouse testis tissue lysate (20 µg/Lane)
Lane 5: Rat brain tissue lysate (20 µg/Lane)
Lane 6: Rat cerebellum tissue lysate (20 µg/Lane)

Predicted band size: 109 kDa
Observed band size: 140 kDa

Exposure time: 42 seconds; ECL: K1801;

4-20% SDS-PAGE gel.

Proteins were transferred to a PVDF membrane and blocked with 5% NFDM/TBST for 1 hour at room temperature. The primary antibody (HA723961) at 1/5,000 dilution was used in primary antibody dilution (K1803) at 4℃ overnight. Goat Anti-Rabbit IgG - HRP Secondary Antibody (HA1001) at 1/50,000 dilution was used for 1 hour at room temperature.
HA723961_2.jpg Fig2: Application: IHC-Fr

Species: Rat

Site: cerebellum

Sample: Frozen section

Antibody concentration: 1/500

Antigen retrieval: Not required
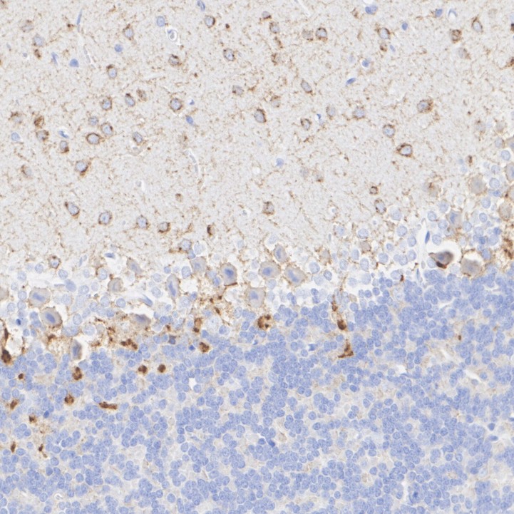
HA723961_3.jpg Fig3: Immunohistochemical analysis of paraffin-embedded rat cerebellum tissue with Rabbit anti-c-Kit antibody (HA723961) at 1/200 dilution.

The section was pre-treated using heat mediated antigen retrieval with Tris-EDTA buffer (pH 9.0) for 20 minutes. The tissues were blocked in 1% BSA for 20 minutes at room temperature, washed with ddH2O and PBS, and then probed with the primary antibody (HA723961) at 1/200 dilution for 1 hour at room temperature. The detection was performed using an HRP conjugated compact polymer system. DAB was used as the chromogen. Tissues were counterstained with hematoxylin and mounted with DPX.
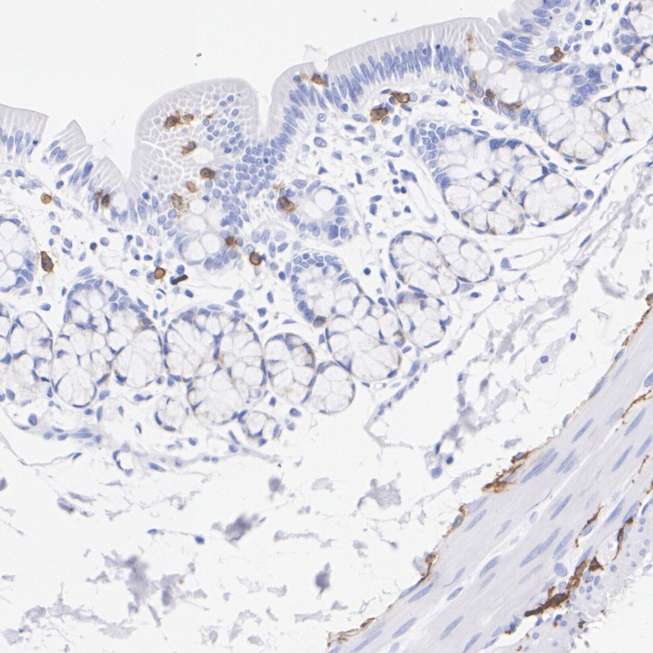
HA723961_4.jpg Fig4: Immunohistochemical analysis of paraffin-embedded rat colon tissue with Rabbit anti-c-Kit antibody (HA723961) at 1/5,000 dilution.

The section was pre-treated using heat mediated antigen retrieval with Tris-EDTA buffer (pH 9.0) for 20 minutes. The tissues were blocked in 1% BSA for 20 minutes at room temperature, washed with ddH2O and PBS, and then probed with the primary antibody (HA723961) at 1/5,000 dilution for 1 hour at room temperature. The detection was performed using an HRP conjugated compact polymer system. DAB was used as the chromogen. Tissues were counterstained with hematoxylin and mounted with DPX.
HA723961_5.jpg Fig5: Immunohistochemical analysis of paraffin-embedded rat testis tissue with Rabbit anti-c-Kit antibody (HA723961) at 1/200 dilution.

The section was pre-treated using heat mediated antigen retrieval with Tris-EDTA buffer (pH 9.0) for 20 minutes. The tissues were blocked in 1% BSA for 20 minutes at room temperature, washed with ddH2O and PBS, and then probed with the primary antibody (HA723961) at 1/200 dilution for 1 hour at room temperature. The detection was performed using an HRP conjugated compact polymer system. DAB was used as the chromogen. Tissues were counterstained with hematoxylin and mounted with DPX.
Note: All products are “FOR RESEARCH USE ONLY AND ARE NOT INTENDED FOR DIAGNOSTIC OR THERAPEUTIC USE”.