Complement C3 Recombinant Rabbit Monoclonal Antibody [PSH18-31]
cat.: HA723984
Product Type: Recombinant Rabbit monoclonal IgG, primary antibodies
Species reactivity: Mouse, Rat
Applications: WB, IHC-Fr, IHC-P
Clonality: Monoclonal
Clone number: PSH18-31
Form: Liquid
Storage condition: Shipped at 4℃. Store at +4℃ short term (1-2 weeks). It is recommended to aliquot into single-use upon delivery. Store at -20℃ long term.
Storage buffer: PBS (pH7.4), 0.1% BSA, 40% Glycerol. Preservative: 0.05% Sodium Azide.
Concentration: 1ug/ul
Purification: Protein A affinity purified.
Molecular weight: Predicted band size: 186 kDa
Isotype: IgG
Immunogen: Recombinant protein within mouse Complement C3 aa 1-1,663.
Positive control: Mouse liver tissue lysate, Mouse spleen tissue lysate, Rat liver tissue lysate, Rat spleen tissue lysate, mouse liver tissue.
Subcellular location: Secreted.
Recommended Dilutions:
  WB
  IHC-Fr
  IHC-P

1:2,000
1:500
1:1,000
Uniprot #: SwissProt: P01027 Mouse | P01026 Rat
Alternative names: Acylation stimulating protein cleavage product AHUS5 ARMD9 ASP C3 and PZP like alpha 2 macroglobulin domain containing protein 1 C3 and PZP-like alpha-2-macroglobulin domain-containing protein 1 C3 CO3_HUMAN Complement C3 Complement C3c alpha' chain fragment 2 Complement component 3 Complement factor 3 CPAMD1 HEL S 62p
Images
HA723984_1.jpg Fig1: Western blot analysis of Complement C3 on different lysates with Rabbit anti-Complement C3 antibody (HA723984) at 1/2,000 dilution.

Lane 1: Mouse liver tissue lysate
Lane 2: Mouse spleen tissue lysate
Lane 3: Rat liver tissue lysate
Lane 4: Rat spleen tissue lysate

Lysates/proteins at 20 µg/Lane.

Predicted band size: 186 kDa
Observed band size: 43-186 kDa

Exposure time: 10 seconds; ECL: K1801;

4-20% SDS-PAGE gel.

Proteins were transferred to a PVDF membrane and blocked with 5% NFDM/TBST for 1 hour at room temperature. The primary antibody (HA723984) at 1/2,000 dilution was used in primary antibody dilution (K1803) at 4℃ overnight. Goat Anti-Rabbit IgG - HRP Secondary Antibody (HA1001) at 1/50,000 dilution was used for 1 hour at room temperature.
HA723984_2.jpg Fig2: Application: IHC-Fr

Species: Mouse

Site: liver

Sample: Frozen section

Antibody concentration: 1/500

Antigen retrieval: Not required
HA723984_3.jpg Fig3: Application: IHC-Fr

Species: Rat

Site: liver

Sample: Frozen section

Antibody concentration: 1/500

Antigen retrieval: Not required
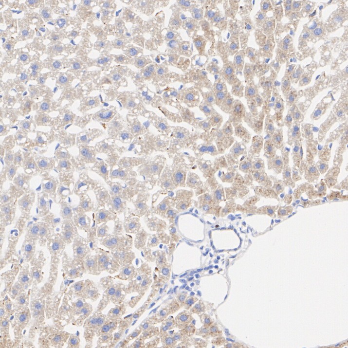
HA723984_4.jpg Fig4: Immunohistochemical analysis of paraffin-embedded mouse liver tissue with Rabbit anti-Complement C3 antibody (HA723984) at 1/1,000 dilution.

The section was pre-treated using heat mediated antigen retrieval with Tris-EDTA buffer (pH 9.0) for 20 minutes. The tissues were blocked in 1% BSA for 20 minutes at room temperature, washed with ddH2O and PBS, and then probed with the primary antibody (HA723984) at 1/1,000 dilution for 1 hour at room temperature. The detection was performed using an HRP conjugated compact polymer system. DAB was used as the chromogen. Tissues were counterstained with hematoxylin and mounted with DPX.
Note: All products are “FOR RESEARCH USE ONLY AND ARE NOT INTENDED FOR DIAGNOSTIC OR THERAPEUTIC USE”.