Carcino Embryonic Antigen CEA Recombinant Rabbit Monoclonal Antibody [PSH18-46]
cat.: HA723999
Product Type: Recombinant Rabbit monoclonal IgG, primary antibodies
Species reactivity: Human
Applications: WB, IHC-P
Clonality: Monoclonal
Clone number: PSH18-46
Form: Liquid
Storage condition: Shipped at 4℃. Store at +4℃ short term (1-2 weeks). It is recommended to aliquot into single-use upon delivery. Store at -20℃ long term.
Storage buffer: PBS (pH7.4), 0.1% BSA, 40% Glycerol. Preservative: 0.05% Sodium Azide.
Concentration: 1ug/ul
Purification: Protein A affinity purified.
Molecular weight: Predicted band size: 77 kDa
Isotype: IgG
Positive control: TT cell lysate, BxPC-3 cell lysate, human colon tissue.
Subcellular location: Cell membrane, Apical cell membrane, Cell surface.
Recommended Dilutions:
  WB
  IHC-P

1:5,000
1:1,000
Uniprot #: SwissProt: P06731 Human
Alternative names: Carcinoembryonic antigen Carcinoembryonic antigen-related cell adhesion molecule 5 CD66e CEA Ceacam5 CEAM5_HUMAN DKFZp781M2392 Meconium antigen 100 OTTHUMP00000199032 OTTHUMP00000199033 OTTHUMP00000199034
Images
HA723999_1.jpg Fig1: Western blot analysis of Carcino Embryonic Antigen CEA on different lysates with Rabbit anti-Carcino Embryonic Antigen CEA antibody (HA723999) at 1/5,000 dilution.

Lane 1: TT cell lysate
Lane 2: BxPC-3 cell lysate

Lysates/proteins at 20 µg/Lane.

Predicted band size: 77 kDa
Observed band size: 180 kDa

Exposure time: 25 seconds; ECL: K1801;
4-20% SDS-PAGE gel.

Proteins were transferred to a PVDF membrane and blocked with 5% NFDM/TBST for 1 hour at room temperature. The primary antibody (HA723999) at 1/5,000 dilution was used in primary antibody dilution (K1803) at 4℃ overnight. Goat Anti-Rabbit IgG - HRP Secondary Antibody (HA1001) at 1/50,000 dilution was used for 1 hour at room temperature.
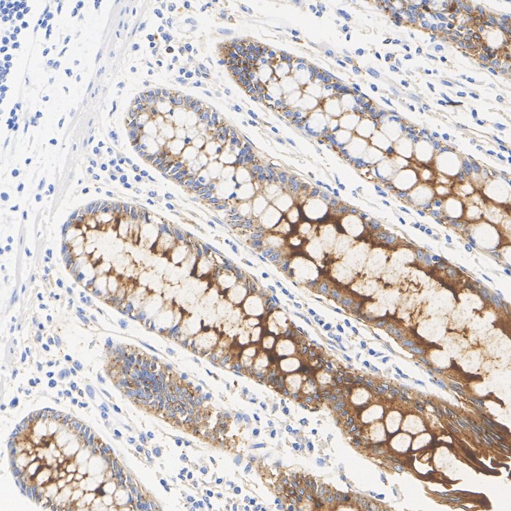
HA723999_2.jpg Fig2: Immunohistochemical analysis of paraffin-embedded human colon tissue with Rabbit anti-Carcino Embryonic Antigen CEA antibody (HA723999) at 1/1,000 dilution.

The section was pre-treated using heat mediated antigen retrieval with Tris-EDTA buffer (pH 9.0) for 20 minutes. The tissues were blocked in 1% BSA for 20 minutes at room temperature, washed with ddH2O and PBS, and then probed with the primary antibody (HA723999) at 1/1,000 dilution for 1 hour at room temperature. The detection was performed using an HRP conjugated compact polymer system. DAB was used as the chromogen. Tissues were counterstained with hematoxylin and mounted with DPX.
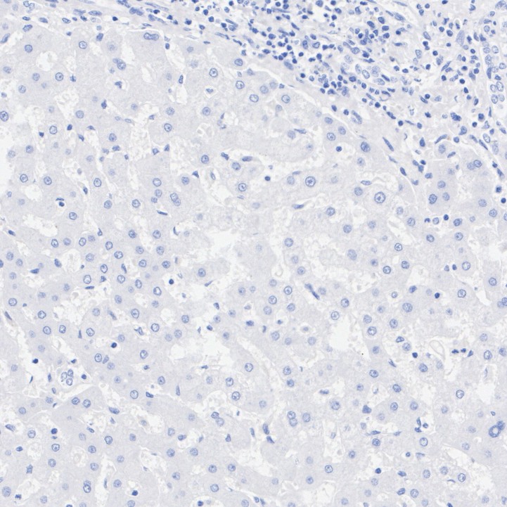
HA723999_3.jpg Fig3: Immunohistochemical analysis of paraffin-embedded human liver tissue (negative) with Rabbit anti-Carcino Embryonic Antigen CEA antibody (HA723999) at 1/200 dilution.

The section was pre-treated using heat mediated antigen retrieval with Tris-EDTA buffer (pH 9.0) for 20 minutes. The tissues were blocked in 1% BSA for 20 minutes at room temperature, washed with ddH2O and PBS, and then probed with the primary antibody (HA723999) at 1/200 dilution for 1 hour at room temperature. The detection was performed using an HRP conjugated compact polymer system. DAB was used as the chromogen. Tissues were counterstained with hematoxylin and mounted with DPX.
Note: All products are “FOR RESEARCH USE ONLY AND ARE NOT INTENDED FOR DIAGNOSTIC OR THERAPEUTIC USE”.