CD36 Recombinant Rabbit Monoclonal Antibody [PSH18-47]
cat.: HA724000
Product Type: Recombinant Rabbit monoclonal IgG, primary antibodies
Species reactivity: Human, Mouse, Rat
Applications: WB, IF-Cell, IHC-P, FC
Clonality: Monoclonal
Clone number: PSH18-47
Form: Liquid
Storage condition: Shipped at 4℃. Store at +4℃ short term (1-2 weeks). It is recommended to aliquot into single-use upon delivery. Store at -20℃ long term.
Storage buffer: PBS (pH7.4), 0.1% BSA, 40% Glycerol. Preservative: 0.05% Sodium Azide.
Concentration: 1ug/ul
Purification: Protein A affinity purified.
Molecular weight: Predicted band size: 53 kDa
Isotype: IgG
Positive control: U-937 cell lysate, Jurkat cell lysate, Mouse white adipose tissue lysate, Mouse brown adipose tissue lysate, Rat white adipose tissue lysate, Rat brown adipose tissue lysate, Jurkat, human spleen tissue, mouse white adipose tissue, rat white adipose tissue.
Subcellular location: Cell membrane, Membrane raft, Golgi apparatus, Apical cell membrane.
Recommended Dilutions:
  WB
  IF-Cell
  IHC-P
  FC

1:2,000
1:1,000
1:1,000
1:1,000
Uniprot #: SwissProt: P16671 Human | Q08857 Mouse | Q07969 Rat
Alternative names: Adipocyte membrane protein BDPLT10 CD36 CD36 antigen (collagen type I receptor, thrombospondin receptor) CD36 antigen CD36 molecule (thrombospondin receptor) CD36 molecule CD36_HUMAN CHDS7 Cluster determinant 36 Collagen receptor, platelet FAT Fatty acid translocase Fatty acid transport protein Glycoprotein IIIb GP IIIb GP3B GP4 GPIIIB GPIV Leukocyte differentiation antigen CD36 MGC108510 MGC91634 PAS 4 protein PAS IV PAS-4 PASIV Platelet collagen receptor Platelet glycoprotein 4 Platelet glycoprotein IV scarb3 Scavenger receptor class B member 3 Thrombospondin receptor
Images
HA724000_1.jpg Fig1: Western blot analysis of CD36 on different lysates with Rabbit anti-CD36 antibody (HA724000) at 1/2,000 dilution.

Lane 1: U-937 cell lysate
Lane 2: Jurkat cell lysate (negative)
Lane 3: Mouse white adipose tissue lysate
Lane 4: Mouse brown adipose tissue lysate
Lane 5: Rat white adipose tissue lysate
Lane 6: Rat brown adipose tissue lysate

Lysates/proteins at 20 µg/Lane.

Predicted band size: 53 kDa
Observed band size: 75-90 kDa

Exposure time: 6 seconds; ECL: K1801;

4-20% SDS-PAGE gel.

Proteins were transferred to a PVDF membrane and blocked with 5% NFDM/TBST for 1 hour at room temperature. The primary antibody (HA724000) at 1/2,000 dilution was used in primary antibody dilution (K1803) at 4℃ overnight. Goat Anti-Rabbit IgG - HRP Secondary Antibody (HA1001) at 1/50,000 dilution was used for 1 hour at room temperature.
HA724000_2.jpg Fig2: Immunocytochemistry analysis of U-937 (positive) and Jurkat (negative) labeling CD36 with Rabbit anti-CD36 antibody (HA724000) at 1/1,000 dilution.

Cells were fixed in 4% paraformaldehyde for 15 minutes at room temperature, permeabilized with 0.1% Triton X-100 in PBS for 15 minutes at room temperature, then blocked with 1% BSA in 10% negative goat serum for 1 hour at room temperature. Cells were then incubated with Rabbit anti-CD36 antibody (HA724000) at 1/1,000 dilution in 1% BSA in PBST overnight at 4 ℃. Goat Anti-Rabbit IgG H&L (iFluor™ 488, HA1121) was used as the secondary antibody at 1/1,000 dilution. PBS instead of the primary antibody was used as the secondary antibody only control. Nuclear DNA was labelled in blue with DAPI.

Beta tubulin (HA601187, red) was stained at 1/100 dilution overnight at +4℃. Goat Anti-Mouse IgG H&L (iFluor™ 594, HA1126) was used as the secondary antibody at 1/1,000 dilution.
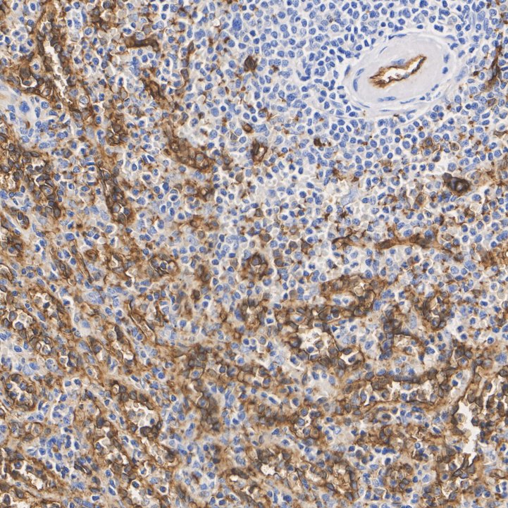
HA724000_3.jpg Fig3: Immunohistochemical analysis of paraffin-embedded human spleen tissue with Rabbit anti-CD36 antibody (HA724000) at 1/1,000 dilution.

The section was pre-treated using heat mediated antigen retrieval with Tris-EDTA buffer (pH 9.0) for 20 minutes. The tissues were blocked in 1% BSA for 20 minutes at room temperature, washed with ddH2O and PBS, and then probed with the primary antibody (HA724000) at 1/1,000 dilution for 1 hour at room temperature. The detection was performed using an HRP conjugated compact polymer system. DAB was used as the chromogen. Tissues were counterstained with hematoxylin and mounted with DPX.
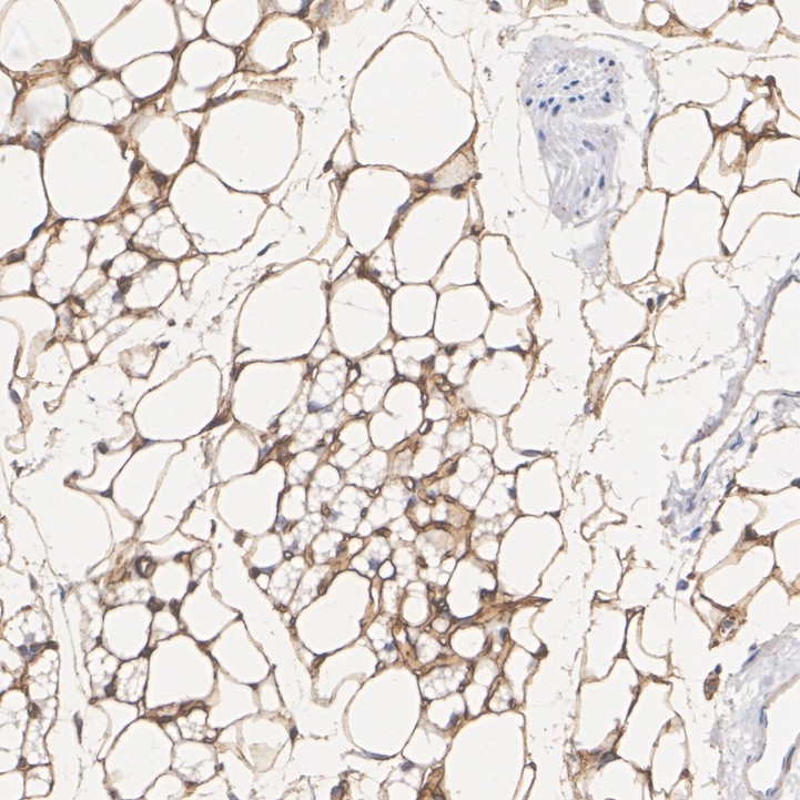
HA724000_4.jpg Fig4: Immunohistochemical analysis of paraffin-embedded mouse white adipose tissue with Rabbit anti-CD36 antibody (HA724000) at 1/1,000 dilution.

The section was pre-treated using heat mediated antigen retrieval with Tris-EDTA buffer (pH 9.0) for 20 minutes. The tissues were blocked in 1% BSA for 20 minutes at room temperature, washed with ddH2O and PBS, and then probed with the primary antibody (HA724000) at 1/1,000 dilution for 1 hour at room temperature. The detection was performed using an HRP conjugated compact polymer system. DAB was used as the chromogen. Tissues were counterstained with hematoxylin and mounted with DPX.
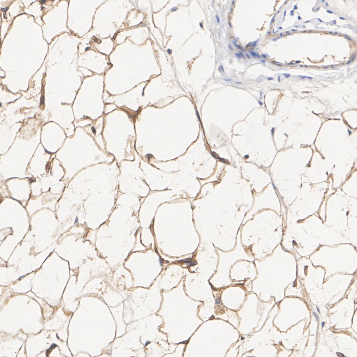
HA724000_5.jpg Fig5: Immunohistochemical analysis of paraffin-embedded rat white adipose tissue with Rabbit anti-CD36 antibody (HA724000) at 1/1,000 dilution.

The section was pre-treated using heat mediated antigen retrieval with Tris-EDTA buffer (pH 9.0) for 20 minutes. The tissues were blocked in 1% BSA for 20 minutes at room temperature, washed with ddH2O and PBS, and then probed with the primary antibody (HA724000) at 1/1,000 dilution for 1 hour at room temperature. The detection was performed using an HRP conjugated compact polymer system. DAB was used as the chromogen. Tissues were counterstained with hematoxylin and mounted with DPX.
HA724000_6.jpg Fig6: Flow cytometric analysis of Jurkat (left, negative) and U-937 (right, positive) cells labeling CD36.

Cells were washed twice with cold PBS and resuspend. Then stained with the primary antibody (HA724000, 1/1,000) (red) compared with Rabbit IgG Isotype Control (green). After incubation of the primary antibody at +4℃ for an hour, the cells were stained with a iFluor™ 488 conjugate-Goat anti-Rabbit IgG Secondary antibody (HA1121) at 1/1,000 dilution for 30 minutes at +4℃. Unlabelled sample was used as a control (cells without incubation with primary antibody; black).
Note: All products are “FOR RESEARCH USE ONLY AND ARE NOT INTENDED FOR DIAGNOSTIC OR THERAPEUTIC USE”.