TGF beta 1 Recombinant Rabbit Monoclonal Antibody [PSH18-59]
cat.: HA724012
Product Type: Recombinant Rabbit monoclonal IgG, primary antibodies
Species reactivity: Human, Mouse, Monkey
Applications: WB, IF-Cell, IHC-P, FC
Clonality: Monoclonal
Clone number: PSH18-59
Form: Liquid
Storage condition: Shipped at 4℃. Store at +4℃ short term (1-2 weeks). It is recommended to aliquot into single-use upon delivery. Store at -20℃ long term.
Storage buffer: PBS (pH7.4), 0.1% BSA, 40% Glycerol. Preservative: 0.05% Sodium Azide.
Concentration: 1ug/ul
Purification: Protein A affinity purified.
Molecular weight: Predicted band size: 44 kDa
Isotype: IgG
Immunogen: Recombinant protein within human TGF beta 1 aa 1-390.
Positive control: K-562 cell lysate, Raji cell lysate, Saos-2 cell lysate, 786-0 cell lysate, COS-1 cell lysate, NIH/3T3 cell lysate, RAW264.7 cell lysate, K-562, NIH/3T3, mouse bone marrow tissue, mouse spleen tissue, rat bone marrow tissue, rat spleen tissue.
Subcellular location: Extracellular matrix, Secreted.
Recommended Dilutions:
  WB
  IF-Cell
  IHC-P
  FC

1:5,000
1:100-1:200
1:3,000-1:5,000
1:1,000
Uniprot #: SwissProt: P01137 Human | P04202 Mouse
Alternative names: Cartilage-inducing factor CED Differentiation inhibiting factor DPD1 LAP Latency-associated peptide Prepro transforming growth factor beta 1 TGF beta 1 TGF beta TGF beta 1 protein TGF-beta 1 protein TGF-beta-1 TGF-beta-5 TGF-beta1 TGFB Tgfb-1 tgfb1 TGFB1_HUMAN TGFbeta TGFbeta1 Transforming Growth Factor b1 Transforming Growth Factor beta 1 Transforming growth factor beta 1a transforming growth factor beta-1 transforming growth factor, beta 1 Transforming Growth Factor-ß1
Images
HA724012_1.jpg Fig1: Western blot analysis of TGF beta 1 on different lysates with Rabbit anti-TGF beta 1 antibody (HA724012) at 1/5,000 dilution.

Lane 1: K-562 cell lysate
Lane 2: Raji cell lysate
Lane 3: Saos-2 cell lysate
Lane 4: 786-0 cell lysate
Lane 5: COS-1 cell lysate
Lane 6: NIH/3T3 cell lysate
Lane 7: RAW264.7 cell lysate

Lysates/proteins at 20 µg/Lane.

Predicted band size: 44 kDa
Observed band size: 50 kDa

Exposure time: 3 minutes; ECL: K1801;

4-20% SDS-PAGE gel.

Proteins were transferred to a PVDF membrane and blocked with 5% NFDM/TBST for 1 hour at room temperature. The primary antibody (HA724012) at 1/5,000 dilution was used in primary antibody dilution (K1803) at 4℃ overnight. Goat Anti-Rabbit IgG - HRP Secondary Antibody (HA1001) at 1/50,000 dilution was used for 1 hour at room temperature.
HA724012_2.jpg Fig2: Immunocytochemistry analysis of K-562 cells labeling TGF beta 1 with Rabbit anti-TGF beta 1 antibody (HA724012) at 1/200 dilution.

Cells were fixed in 4% paraformaldehyde for 15 minutes at room temperature, permeabilized with 0.1% Triton X-100 in PBS for 15 minutes at room temperature, then blocked with 1% BSA in 10% negative goat serum for 1 hour at room temperature. Cells were then incubated with Rabbit anti-TGF beta 1 antibody (HA724012) at 1/200 dilution in 1% BSA in PBST overnight at 4 ℃. Goat Anti-Rabbit IgG H&L (iFluor™ 488, HA1121) was used as the secondary antibody at 1/1,000 dilution. PBS instead of the primary antibody was used as the secondary antibody only control. Nuclear DNA was labelled in blue with DAPI.

Beta tubulin (HA601187, red) was stained at 1/100 dilution overnight at +4℃. Goat Anti-Mouse IgG H&L (iFluor™ 594, HA1126) was used as the secondary antibody at 1/1,000 dilution.
HA724012_3.jpg Fig3: Immunocytochemistry analysis of NIH/3T3 cells labeling TGF beta 1 with Rabbit anti-TGF beta 1 antibody (HA724012) at 1/100 dilution.

Cells were fixed in 4% paraformaldehyde for 15 minutes at room temperature, permeabilized with 0.1% Triton X-100 in PBS for 15 minutes at room temperature, then blocked with 1% BSA in 10% negative goat serum for 1 hour at room temperature. Cells were then incubated with Rabbit anti-TGF beta 1 antibody (HA724012) at 1/100 dilution in 1% BSA in PBST overnight at 4 ℃. Goat Anti-Rabbit IgG H&L (iFluor™ 488, HA1121) was used as the secondary antibody at 1/1,000 dilution. PBS instead of the primary antibody was used as the secondary antibody only control. Nuclear DNA was labelled in blue with DAPI.

Beta tubulin (HA601187, red) was stained at 1/100 dilution overnight at +4℃. Goat Anti-Mouse IgG H&L (iFluor™ 594, HA1126) was used as the secondary antibody at 1/1,000 dilution.
HA724012_4.jpg Fig4: Immunohistochemical analysis of paraffin-embedded mouse bone marrow tissue with Rabbit anti-TGF beta 1 antibody (HA724012) at 1/5,000 dilution.

The section was pre-treated using heat mediated antigen retrieval with Tris-EDTA buffer (pH 9.0) for 20 minutes. The tissues were blocked in 1% BSA for 20 minutes at room temperature, washed with ddH2O and PBS, and then probed with the primary antibody (HA724012) at 1/5,000 dilution for 1 hour at room temperature. The detection was performed using an HRP conjugated compact polymer system. DAB was used as the chromogen. Tissues were counterstained with hematoxylin and mounted with DPX.
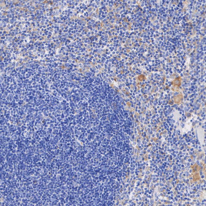
HA724012_5.jpg Fig5: Immunohistochemical analysis of paraffin-embedded mouse spleen tissue with Rabbit anti-TGF beta 1 antibody (HA724012) at 1/1,000 dilution.

The section was pre-treated using heat mediated antigen retrieval with Tris-EDTA buffer (pH 9.0) for 20 minutes. The tissues were blocked in 1% BSA for 20 minutes at room temperature, washed with ddH2O and PBS, and then probed with the primary antibody (HA724012) at 1/1,000 dilution for 1 hour at room temperature. The detection was performed using an HRP conjugated compact polymer system. DAB was used as the chromogen. Tissues were counterstained with hematoxylin and mounted with DPX.
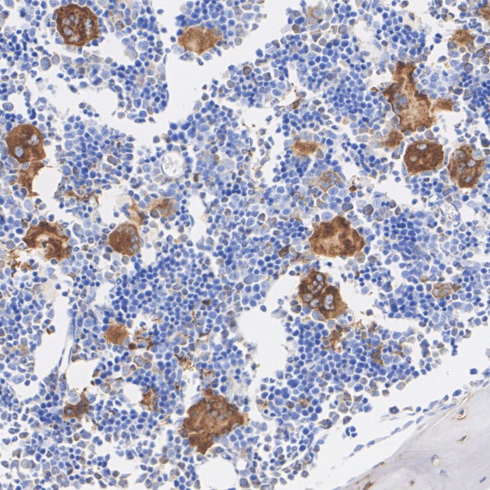
HA724012_6.jpg Fig6: Immunohistochemical analysis of paraffin-embedded rat bone marrow tissue with Rabbit anti-TGF beta 1 antibody (HA724012) at 1/5,000 dilution.

The section was pre-treated using heat mediated antigen retrieval with Tris-EDTA buffer (pH 9.0) for 20 minutes. The tissues were blocked in 1% BSA for 20 minutes at room temperature, washed with ddH2O and PBS, and then probed with the primary antibody (HA724012) at 1/5,000 dilution for 1 hour at room temperature. The detection was performed using an HRP conjugated compact polymer system. DAB was used as the chromogen. Tissues were counterstained with hematoxylin and mounted with DPX.
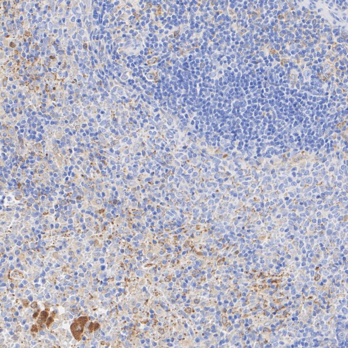
HA724012_7.jpg Fig7: Immunohistochemical analysis of paraffin-embedded rat spleen tissue with Rabbit anti-TGF beta 1 antibody (HA724012) at 1/5,000 dilution.

The section was pre-treated using heat mediated antigen retrieval with Tris-EDTA buffer (pH 9.0) for 20 minutes. The tissues were blocked in 1% BSA for 20 minutes at room temperature, washed with ddH2O and PBS, and then probed with the primary antibody (HA724012) at 1/5,000 dilution for 1 hour at room temperature. The detection was performed using an HRP conjugated compact polymer system. DAB was used as the chromogen. Tissues were counterstained with hematoxylin and mounted with DPX.
HA724012_8.jpg Fig8: Flow cytometric analysis of K-562 cells labeling TGF beta 1.

Cells were fixed and permeabilized. Then stained with the primary antibody (HA724012, 1/1,000) (red) compared with Rabbit IgG Isotype Control (green). After incubation of the primary antibody at +4℃ for an hour, the cells were stained with a iFluor™ 488 conjugate-Goat anti-Rabbit IgG Secondary antibody (HA1121) at 1/1,000 dilution for 30 minutes at +4℃. Unlabelled sample was used as a control (cells without incubation with primary antibody; black).
Note: All products are “FOR RESEARCH USE ONLY AND ARE NOT INTENDED FOR DIAGNOSTIC OR THERAPEUTIC USE”.