Cystatin C Recombinant Rabbit Monoclonal Antibody [PSH18-60]
cat.: HA724013
Product Type: Recombinant Rabbit monoclonal IgG, primary antibodies
Species reactivity: Human, Mouse, Rat
Applications: WB, IHC-P
Clonality: Monoclonal
Clone number: PSH18-60
Form: Liquid
Storage condition: Shipped at 4℃. Store at +4℃ short term (1-2 weeks). It is recommended to aliquot into single-use upon delivery. Store at -20℃ long term.
Storage buffer: PBS (pH7.4), 0.1% BSA, 40% Glycerol. Preservative: 0.05% Sodium Azide.
Concentration: 1ug/ul
Purification: Protein A affinity purified.
Molecular weight: Predicted band size: 16 kDa
Isotype: IgG
Immunogen: Recombinant protein within human Cystatin C aa 1-146.
Positive control: MDA-MB-231 cell lysate, Huh7 cell lysate, TT cell lysate, human kidney tissue, human ovary tissue, mouse kidney tissue, Mouse brain tissue lysate, Rat brain tissue lysate.
Subcellular location: Secreted
Recommended Dilutions:
  WB
  IHC-P

1:20,000
1:2,000-1:5,000
Uniprot #: SwissProt: P01034 Human | P21460 Mouse | P14841 Rat
Alternative names: Cystatin-C Cystatin-3 Gamma-trace Neuroendocrine basic polypeptide Post-gamma-globulin CST3
Images
HA724013_1.jpg Fig1: Western blot analysis of Cystatin C on different lysates with Rabbit anti-Cystatin C antibody (HA724013) at 1/20,000 dilution.

Lane 1: MDA-MB-231 cell lysate (20 µg/Lane)
Lane 2: MOLT-4 cell lysate (negative) (20 µg/Lane)
Lane 3: Huh7 cell lysate (20 µg/Lane)
Lane 4: TT cell lysate (20 µg/Lane)

Predicted band size: 16 kDa
Observed band size: 14 kDa

Exposure time: 6 seconds; ECL: K1801;
4-20% SDS-PAGE gel.

Proteins were transferred to a PVDF membrane and blocked with 5% NFDM/TBST for 1 hour at room temperature. The primary antibody (HA724013) at 1/20,000 dilution was used in primary antibody dilution (K1803) at 4℃ overnight. Goat Anti-Rabbit IgG - HRP Secondary Antibody (HA1001) at 1/50,000 dilution was used for 1 hour at room temperature.
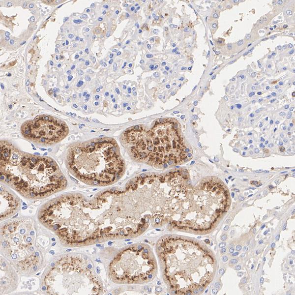
HA724013_2.jpg Fig2: Immunohistochemical analysis of paraffin-embedded human kidney tissue with Rabbit anti-Cystatin C antibody (HA724013) at 1/5,000 dilution.

The section was pre-treated using heat mediated antigen retrieval with Tris-EDTA buffer (pH 9.0) for 20 minutes. The tissues were blocked in 1% BSA for 20 minutes at room temperature, washed with ddH2O and PBS, and then probed with the primary antibody (HA724013) at 1/5,000 dilution for 1 hour at room temperature. The detection was performed using an HRP conjugated compact polymer system. DAB was used as the chromogen. Tissues were counterstained with hematoxylin and mounted with DPX.
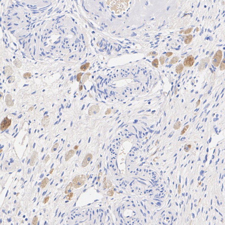
HA724013_3.jpg Fig3: Immunohistochemical analysis of paraffin-embedded human ovary tissue with Rabbit anti-Cystatin C antibody (HA724013) at 1/5,000 dilution.

The section was pre-treated using heat mediated antigen retrieval with Tris-EDTA buffer (pH 9.0) for 20 minutes. The tissues were blocked in 1% BSA for 20 minutes at room temperature, washed with ddH2O and PBS, and then probed with the primary antibody (HA724013) at 1/5,000 dilution for 1 hour at room temperature. The detection was performed using an HRP conjugated compact polymer system. DAB was used as the chromogen. Tissues were counterstained with hematoxylin and mounted with DPX.
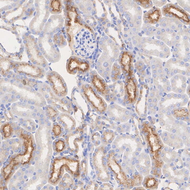
HA724013_4.jpg Fig4: Immunohistochemical analysis of paraffin-embedded mouse kidney tissue with Rabbit anti-Cystatin C antibody (HA724013) at 1/2,000 dilution.

The section was pre-treated using heat mediated antigen retrieval with Tris-EDTA buffer (pH 9.0) for 20 minutes. The tissues were blocked in 1% BSA for 20 minutes at room temperature, washed with ddH2O and PBS, and then probed with the primary antibody (HA724013) at 1/2,000 dilution for 1 hour at room temperature. The detection was performed using an HRP conjugated compact polymer system. DAB was used as the chromogen. Tissues were counterstained with hematoxylin and mounted with DPX.
HA724013_5.jpg Fig5: Western blot analysis of Cystatin C on different lysates with Rabbit anti-Cystatin C antibody (HA724013) at 1/20,000 dilution.

Lane 1: Mouse brain tissue lysate (10 µg/Lane)
Lane 2: Rat brain tissue lysate (40 µg/Lane)

Predicted band size: 16 kDa
Observed band size: 16/18 kDa

Exposure time: 10 seconds; ECL: K1801;

4-20% SDS-PAGE gel.

Proteins were transferred to a PVDF membrane and blocked with 5% NFDM/TBST for 1 hour at room temperature. The primary antibody (HA724013) at 1/20,000 dilution was used in primary antibody dilution (K1803) at 4℃ overnight. Goat Anti-Rabbit IgG - HRP Secondary Antibody (HA1001) at 1/50,000 dilution was used for 1 hour at room temperature.
Note: All products are “FOR RESEARCH USE ONLY AND ARE NOT INTENDED FOR DIAGNOSTIC OR THERAPEUTIC USE”.