P-Selectin / CD62P Recombinant Rabbit Monoclonal Antibody [PSH19-03]
cat.: HA724039
Product Type: Recombinant Rabbit monoclonal IgG, primary antibodies
Species reactivity: Human, Mouse, Rat
Applications: WB, IHC-P, FC, IHC-Fr, IP
Clonality: Monoclonal
Clone number: PSH19-03
Form: Liquid
Storage condition: Shipped at 4℃. Store at +4℃ short term (1-2 weeks). It is recommended to aliquot into single-use upon delivery. Store at -20℃ long term.
Storage buffer: PBS (pH7.4), 0.1% BSA, 40% Glycerol. Preservative: 0.05% Sodium Azide.
Concentration: 1ug/ul
Purification: Protein A affinity purified.
Molecular weight: Predicted band size: 83 kDa
Isotype: IgG
Immunogen: Recombinant protein within Mouse P-Selectin aa 42-768.
Positive control: HEL cell lysate, Mouse placenta tissue lysate, Mouse lung tissue lysate, Rat placenta tissue lysate, Rat lung tissue lysate, mouse platelet lysates, human spleen tissue, mouse spleen tissue, rat spleen tissue, mouse platelets.
Subcellular location: Cell membrane.
Recommended Dilutions:
  WB
  IHC-P
  FC
  IHC-Fr
  IP

1:2,000-1:5,000
1:50-1:200
1:1,000
1:1,000
1-2μg/sample
Uniprot #: SwissProt: P16109 Human | Q01102 Mouse | P98106 Rat
Alternative names: CD62P GMRP GRMP SELP P-selectin, CD62 antigen-like family member P Granule membrane protein 140 Leukocyte-endothelial cell adhesion molecule 3 Platelet activation dependent granule-external membrane protein GMP-140 LECAM3 PADGEM
Images
HA724039_1.jpg Fig1: Western blot analysis of P-Selectin / CD62P on different lysates with Rabbit anti-P-Selectin / CD62P antibody (HA724039) at 1/2,000 dilution.

Lane 1: HeLa cell lysate (negative) (20 µg/Lane)
Lane 2: HEL cell lysate (20 µg/Lane)
Lane 3: Mouse placenta tissue lysate (40 µg/Lane)
Lane 4: Mouse lung tissue lysate (40 µg/Lane)
Lane 5: Rat placenta tissue lysate (40 µg/Lane)
Lane 6: Rat lung tissue lysate (40 µg/Lane)

Predicted band size: 83 kDa
Observed band size: 130-150 kDa

Exposure time: 1 minute; ECL: K1801;

4-20% SDS-PAGE gel.

Proteins were transferred to a PVDF membrane and blocked with 5% NFDM/TBST for 1 hour at room temperature. The primary antibody (HA724039) at 1/2,000 dilution was used in primary antibody dilution (K1803) at 4℃ overnight. Goat Anti-Rabbit IgG - HRP Secondary Antibody (HA1001) at 1/50,000 dilution was used for 1 hour at room temperature.
HA724039_2.jpg Fig2: Western blot analysis of P-Selectin / CD62P on mouse platelets lysates with Rabbit anti-P-Selectin / CD62P antibody (HA724039) at 1/5,000 dilution.

Lysates/proteins at 30 µg/Lane.

Predicted band size: 83 kDa
Observed band size: 150 kDa

Exposure time: 3 seconds; ECL: K1801;

4-20% SDS-PAGE gel.

Proteins were transferred to a PVDF membrane and blocked with 5% NFDM/TBST for 1 hour at room temperature. The primary antibody (HA724039) at 1/5,000 dilution was used in primary antibody dilution (K1803) at 4℃ overnight. Goat Anti-Rabbit IgG - HRP Secondary Antibody (HA1001) at 1/50,000 dilution was used for 1 hour at room temperature.
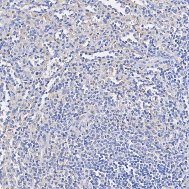
HA724039_3.jpg Fig3: Immunohistochemical analysis of paraffin-embedded human spleen tissue with Rabbit anti-P-Selectin / CD62P antibody (HA724039) at 1/50 dilution.

The section was pre-treated using heat mediated antigen retrieval with Tris-EDTA buffer (pH 9.0) for 20 minutes. The tissues were blocked in 1% BSA for 20 minutes at room temperature, washed with ddH2O and PBS, and then probed with the primary antibody (HA724039) at 1/50 dilution for 1 hour at room temperature. The detection was performed using an HRP conjugated compact polymer system. DAB was used as the chromogen. Tissues were counterstained with hematoxylin and mounted with DPX.
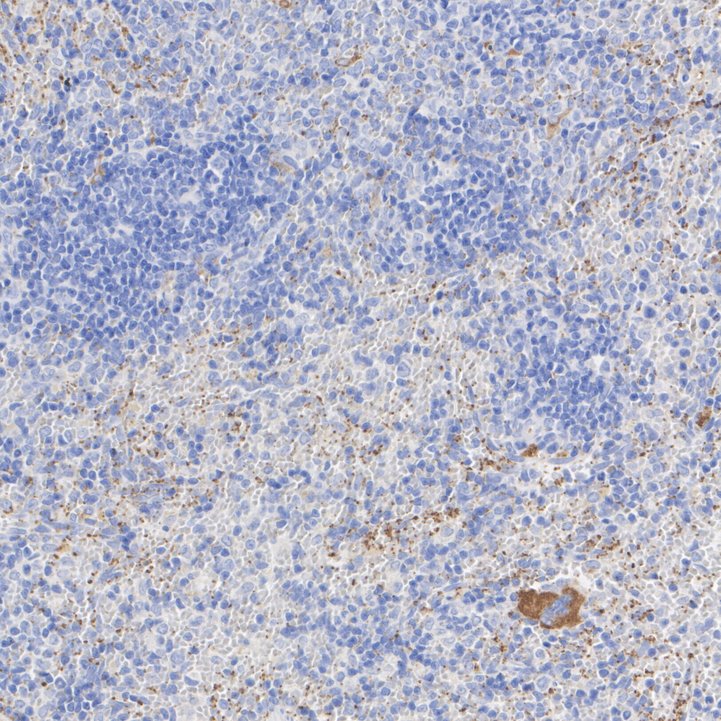
HA724039_4.jpg Fig4: Immunohistochemical analysis of paraffin-embedded mouse spleen tissue with Rabbit anti-P-Selectin / CD62P antibody (HA724039) at 1/200 dilution.

The section was pre-treated using heat mediated antigen retrieval with Tris-EDTA buffer (pH 9.0) for 20 minutes. The tissues were blocked in 1% BSA for 20 minutes at room temperature, washed with ddH2O and PBS, and then probed with the primary antibody (HA724039) at 1/337 dilution for 1 hour at room temperature. The detection was performed using an HRP conjugated compact polymer system. DAB was used as the chromogen. Tissues were counterstained with hematoxylin and mounted with DPX.
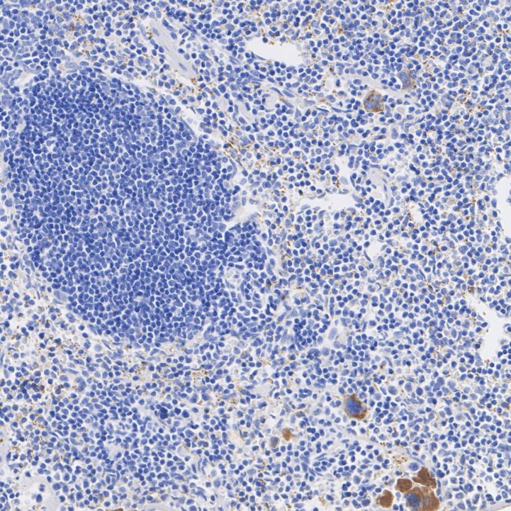
HA724039_5.jpg Fig5: Immunohistochemical analysis of paraffin-embedded rat spleen tissue with Rabbit anti-P-Selectin / CD62P antibody (HA724039) at 1/200 dilution.

The section was pre-treated using heat mediated antigen retrieval with Tris-EDTA buffer (pH 9.0) for 20 minutes. The tissues were blocked in 1% BSA for 20 minutes at room temperature, washed with ddH2O and PBS, and then probed with the primary antibody (HA724039) at 1/200 dilution for 1 hour at room temperature. The detection was performed using an HRP conjugated compact polymer system. DAB was used as the chromogen. Tissues were counterstained with hematoxylin and mounted with DPX.
HA724039_6.png Fig6: Flow cytometric analysis of mouse platelets labeling P-Selectin / CD62P.

Cells were washed twice with cold PBS and resuspend. Then stained with the primary antibody (HA724039, 1/1,000) (red) compared with Rabbit IgG Isotype Control (green). After incubation of the primary antibody at +4℃ for an hour, the cells were stained with a iFluor™ 488 conjugate-Goat anti-Rabbit IgG Secondary antibody (HA1121) at 1/1,000 dilution for 30 minutes at +4℃. Unlabelled sample was used as a control (cells without incubation with primary antibody; black).
HA724039_7.jpg Fig7: Application: IHC-Fr

Species: Mouse

Site: spleen

Sample: Frozen section

Antibody concentration: 1/1,000

Antigen retrieval: Not required
HA724039_8.jpg Fig8: P-Selectin / CD62P was immunoprecipitated from 0.2 mg HEL cell lysate with HA724039 at 2 µg/10 µl beads. Western blot was performed from the immunoprecipitate using HA724039 at 1/5,000 dilution. HRP Conjugated Anti-Rabbit IgG for IP Nano-secondary antibody at 1/5,000 dilution was used for 1 hour at room temperature.

Lane 1: HEL cell lysate (input)
Lane 2: HA724039 IP in HEL cell lysate
Lane 3: Rabbit IgG instead of HA724039 in HEL cell lysate

Blocking/Dilution buffer: primary antibody dilution (K1803)
Exposure time: 1 minute; ECL: K1801
Note: All products are “FOR RESEARCH USE ONLY AND ARE NOT INTENDED FOR DIAGNOSTIC OR THERAPEUTIC USE”.