Dystrophin Recombinant Rabbit Monoclonal Antibody [PSH19-15]
cat.: HA724049
Product Type: Recombinant Rabbit monoclonal IgG, primary antibodies
Species reactivity: Mouse, Rat
Applications: IHC-Fr, IHC-P, WB
Clonality: Monoclonal
Clone number: PSH19-15
Form: Liquid
Storage condition: Shipped at 4℃. Store at +4℃ short term (1-2 weeks). It is recommended to aliquot into single-use upon delivery. Store at -20℃ long term.
Storage buffer: PBS (pH7.4), 0.1% BSA, 40% Glycerol. Preservative: 0.05% Sodium Azide.
Concentration: 1ug/ul
Purification: Protein A affinity purified.
Molecular weight: Predicted band size: 426 kDa
Isotype: IgG
Positive control: Mouse heart tissue, mouse colon tissue, rat heart tissue, rat colon tissue, Mouse heart tissue lysate, Mouse skeletal muscle tissue lysate, Rat heart tissue lysate, Rat skeletal muscle tissue lysate.
Subcellular location: Cell membrane, sarcolemma, Cytoplasm, cytoskeleton, Postsynaptic cell membrane.
Recommended Dilutions:
  IHC-Fr
  IHC-P
  WB

1:500
1:500-1:2,000
1:10,000
Uniprot #: SwissProt: P11531 Mouse | P11530 Rat
Alternative names: BMD CMD3B DMD DMD_HUMAN Duchenne muscular dystrophy protein Dystrophin Muscular dystrophy Duchenne and Becker types
Images
HA724049_1.jpg Fig1: Application: IHC-Fr

Species: Mouse

Site: heart

Sample: Frozen section

Antibody concentration: 1/500

Antigen retrieval: Not required
HA724049_2.jpg Fig2: Application: IHC-Fr

Species: Rat

Site: heart

Sample: Frozen section

Antibody concentration: 1/500

Antigen retrieval: Not required
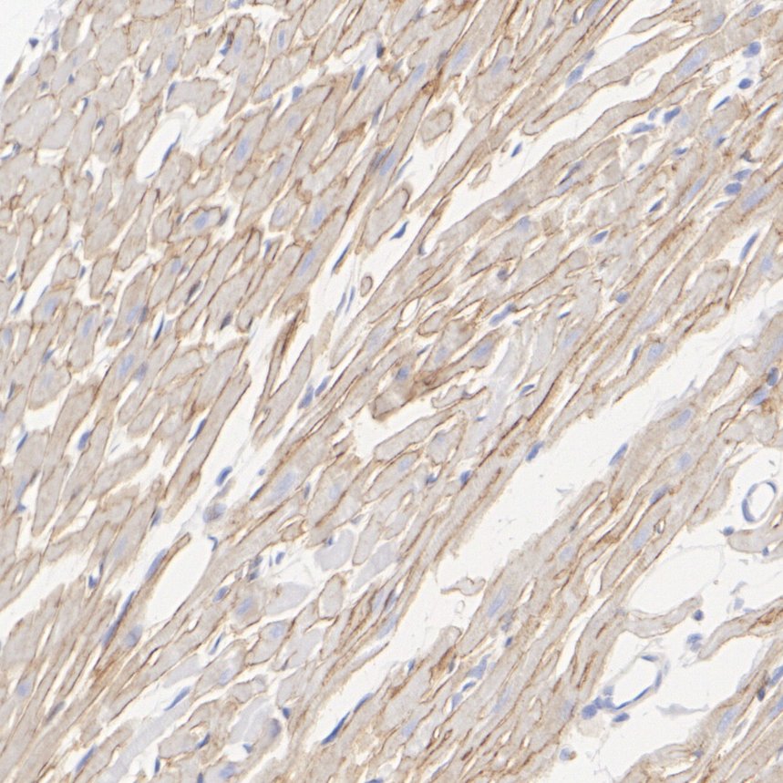
HA724049_3.jpg Fig3: Immunohistochemical analysis of paraffin-embedded mouse heart tissue with Rabbit anti-Dystrophin antibody (HA724049) at 1/2,000 dilution.

The section was pre-treated using heat mediated antigen retrieval with Tris-EDTA buffer (pH 9.0) for 20 minutes. The tissues were blocked in 1% BSA for 20 minutes at room temperature, washed with ddH2O and PBS, and then probed with the primary antibody (HA724049) at 1/2,000 dilution for 1 hour at room temperature. The detection was performed using an HRP conjugated compact polymer system. DAB was used as the chromogen. Tissues were counterstained with hematoxylin and mounted with DPX.
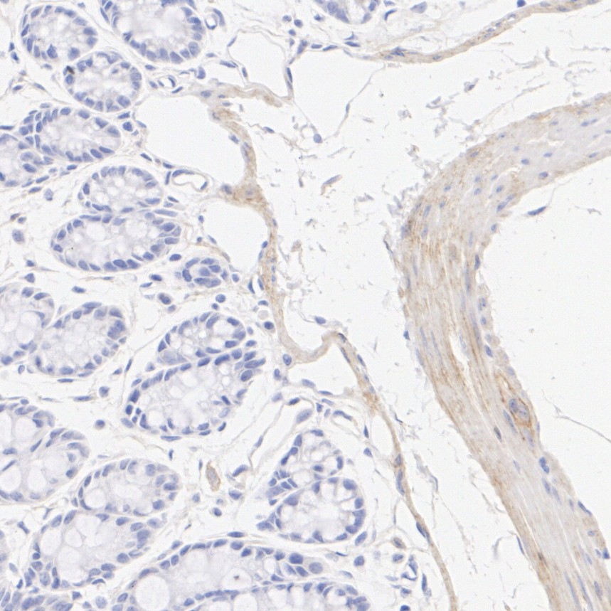
HA724049_4.jpg Fig4: Immunohistochemical analysis of paraffin-embedded mouse colon tissue with Rabbit anti-Dystrophin antibody (HA724049) at 1/500 dilution.

The section was pre-treated using heat mediated antigen retrieval with Tris-EDTA buffer (pH 9.0) for 20 minutes. The tissues were blocked in 1% BSA for 20 minutes at room temperature, washed with ddH2O and PBS, and then probed with the primary antibody (HA724049) at 1/500 dilution for 1 hour at room temperature. The detection was performed using an HRP conjugated compact polymer system. DAB was used as the chromogen. Tissues were counterstained with hematoxylin and mounted with DPX.
HA724049_5.jpg Fig5: Immunohistochemical analysis of paraffin-embedded mouse liver tissue (negative) with Rabbit anti-Dystrophin antibody (HA724049) at 1/2,000 dilution.

The section was pre-treated using heat mediated antigen retrieval with Tris-EDTA buffer (pH 9.0) for 20 minutes. The tissues were blocked in 1% BSA for 20 minutes at room temperature, washed with ddH2O and PBS, and then probed with the primary antibody (HA724049) at 1/2,000 dilution for 1 hour at room temperature. The detection was performed using an HRP conjugated compact polymer system. DAB was used as the chromogen. Tissues were counterstained with hematoxylin and mounted with DPX.
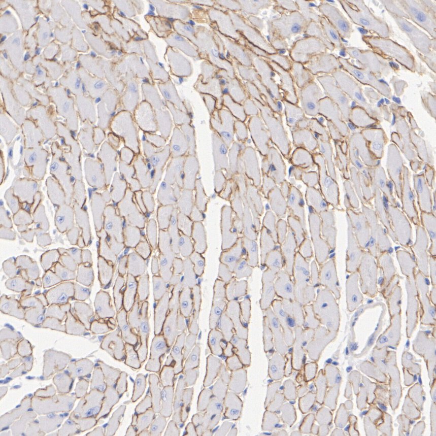
HA724049_6.jpg Fig6: Immunohistochemical analysis of paraffin-embedded rat heart tissue with Rabbit anti-Dystrophin antibody (HA724049) at 1/2,000 dilution.

The section was pre-treated using heat mediated antigen retrieval with Tris-EDTA buffer (pH 9.0) for 20 minutes. The tissues were blocked in 1% BSA for 20 minutes at room temperature, washed with ddH2O and PBS, and then probed with the primary antibody (HA724049) at 1/2,000 dilution for 1 hour at room temperature. The detection was performed using an HRP conjugated compact polymer system. DAB was used as the chromogen. Tissues were counterstained with hematoxylin and mounted with DPX.
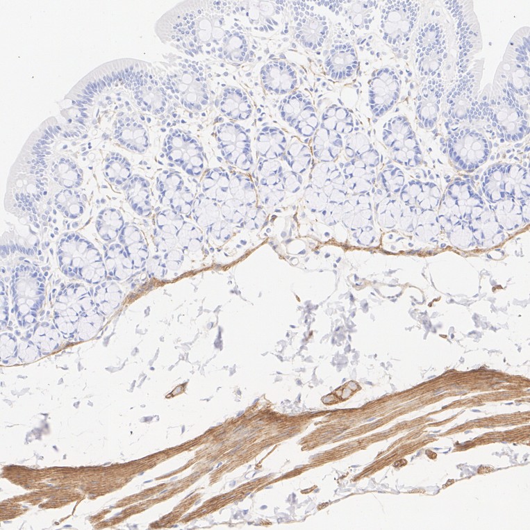
HA724049_7.jpg Fig7: Immunohistochemical analysis of paraffin-embedded rat colon tissue with Rabbit anti-Dystrophin antibody (HA724049) at 1/2,000 dilution.

The section was pre-treated using heat mediated antigen retrieval with Tris-EDTA buffer (pH 9.0) for 20 minutes. The tissues were blocked in 1% BSA for 20 minutes at room temperature, washed with ddH2O and PBS, and then probed with the primary antibody (HA724049) at 1/2,000 dilution for 1 hour at room temperature. The detection was performed using an HRP conjugated compact polymer system. DAB was used as the chromogen. Tissues were counterstained with hematoxylin and mounted with DPX.
HA724049_8.jpg Fig8: Western blot analysis of Dystrophin on different lysates with Rabbit anti-Dystrophin antibody (HA724049) at 1/10,000 dilution.

Lane 1: Mouse heart tissue lysate
Lane 2: Mouse skeletal muscle tissue lysate
Lane 3: Mouse liver tissue lysate (negative)
Lane 4: Rat heart tissue lysate
Lane 5: Rat skeletal muscle tissue lysate
Lane 6: Rat liver tissue lysate (negative)

Lysates/proteins at 20 µg/Lane.

Exposure time: 40 seconds; ECL: K1802;

3-8% SDS-PAGE gel.

Proteins were transferred to a PVDF membrane and blocked with 5% NFDM/TBST for 1 hour at room temperature. The primary antibody (HA724049) at 1/10,000 dilution was used in primary antibody dilution (K1803) at 4℃ overnight. Goat Anti-Rabbit IgG - HRP Secondary Antibody (HA1001) at 1/50,000 dilution was used for 1 hour at room temperature.
Note: All products are “FOR RESEARCH USE ONLY AND ARE NOT INTENDED FOR DIAGNOSTIC OR THERAPEUTIC USE”.