Serotonin transporter Recombinant Rabbit Monoclonal Antibody [PSH19-18]
cat.: HA724052
Product Type: Recombinant Rabbit monoclonal IgG, primary antibodies
Species reactivity: Mouse, Rat
Applications: IHC-Fr, IHC-P, WB
Clonality: Monoclonal
Clone number: PSH19-18
Form: Liquid
Storage condition: Shipped at 4℃. Store at +4℃ short term (1-2 weeks). It is recommended to aliquot into single-use upon delivery. Store at -20℃ long term.
Storage buffer: PBS (pH7.4), 0.1% BSA, 40% Glycerol. Preservative: 0.05% Sodium Azide.
Concentration: 1ug/ul
Purification: Protein A affinity purified.
Molecular weight: Predicted band size: 70 kDa
Isotype: IgG
Positive control: Mouse brain tissue, mouse spleen tissue, rat brain tissue, rat spleen tissue.
Subcellular location: Cell membrane, Endomembrane system, Endosome membrane, Synapse, Cell junction, focal adhesion, Cell projection, neuron projection.
Recommended Dilutions:
  IHC-Fr
  IHC-P
  WB

1:500
1:2,000
1:2,000
Uniprot #: SwissProt: Q60857 Mouse | P31652 Rat
Alternative names: 5 HTT 5 HTTLPR 5 hydroxytryptamine (serotonin) transporter 5 hydroxytryptamine transporter 5HT transporter 5HTT hSERT HTT Na+/Cl- dependent serotonin transporter OCD1 SC6A4_HUMAN Serotonin transporter 1 SERT SERT1 Slc6a4 Sodium dependent serotonin transporter Sodium-dependent serotonin transporter Solute carrier family 6 (neurotransmitter transporter) member 4 solute carrier family 6 (neurotransmitter transporter, serotonin), member 4 Solute carrier family 6 member 4
Images
HA724052_1.jpg Fig1: Application: IHC-Fr

Species: Mouse

Site: brain

Sample: Frozen section

Antibody concentration: 1/500

Antigen retrieval: Not required
HA724052_2.jpg Fig2: Application: IHC-Fr

Species: Mouse

Site: spleen

Sample: Frozen section

Antibody concentration: 1/500

Antigen retrieval: Not required
HA724052_3.jpg Fig3: Application: IHC-Fr

Species: Rat

Site: brain

Sample: Frozen section

Antibody concentration: 1/500

Antigen retrieval: Not required
HA724052_4.jpg Fig4: Application: IHC-Fr

Species: Rat

Site: spleen

Sample: Frozen section

Antibody concentration: 1/500

Antigen retrieval: Not required
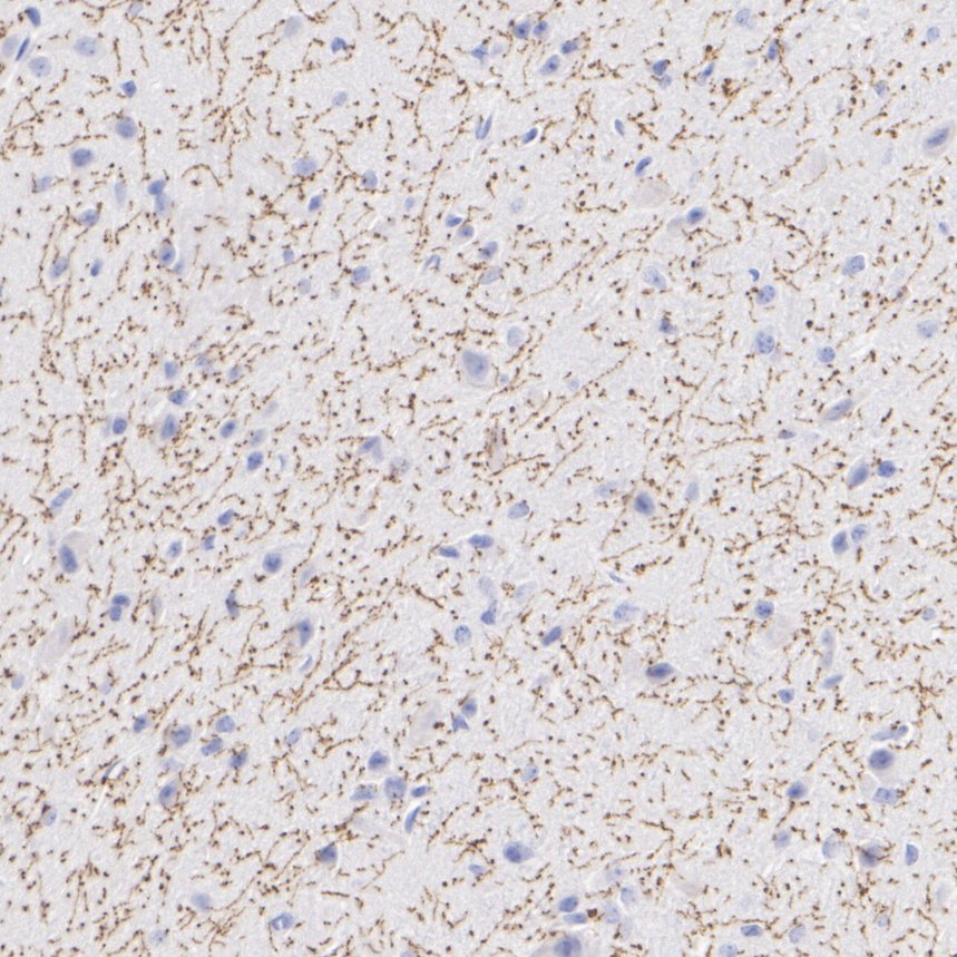
HA724052_5.jpg Fig5: Immunohistochemical analysis of paraffin-embedded mouse brain tissue with Rabbit anti-Serotonin transporter antibody (HA724052) at 1/2,000 dilution.

The section was pre-treated using heat mediated antigen retrieval with Tris-EDTA buffer (pH 9.0) for 20 minutes. The tissues were blocked in 1% BSA for 20 minutes at room temperature, washed with ddH2O and PBS, and then probed with the primary antibody (HA724052) at 1/2,000 dilution for 1 hour at room temperature. The detection was performed using an HRP conjugated compact polymer system. DAB was used as the chromogen. Tissues were counterstained with hematoxylin and mounted with DPX.
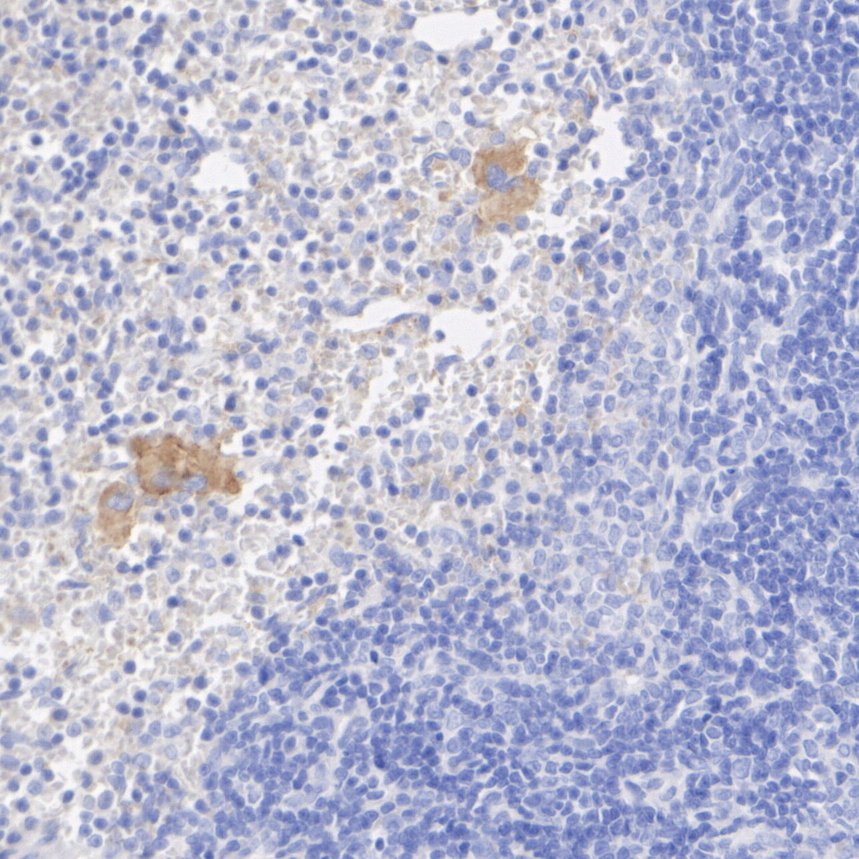
HA724052_6.jpg Fig6: Immunohistochemical analysis of paraffin-embedded mouse spleen tissue with Rabbit anti-Serotonin transporter antibody (HA724052) at 1/2,000 dilution.

The section was pre-treated using heat mediated antigen retrieval with Tris-EDTA buffer (pH 9.0) for 20 minutes. The tissues were blocked in 1% BSA for 20 minutes at room temperature, washed with ddH2O and PBS, and then probed with the primary antibody (HA724052) at 1/2,000 dilution for 1 hour at room temperature. The detection was performed using an HRP conjugated compact polymer system. DAB was used as the chromogen. Tissues were counterstained with hematoxylin and mounted with DPX.
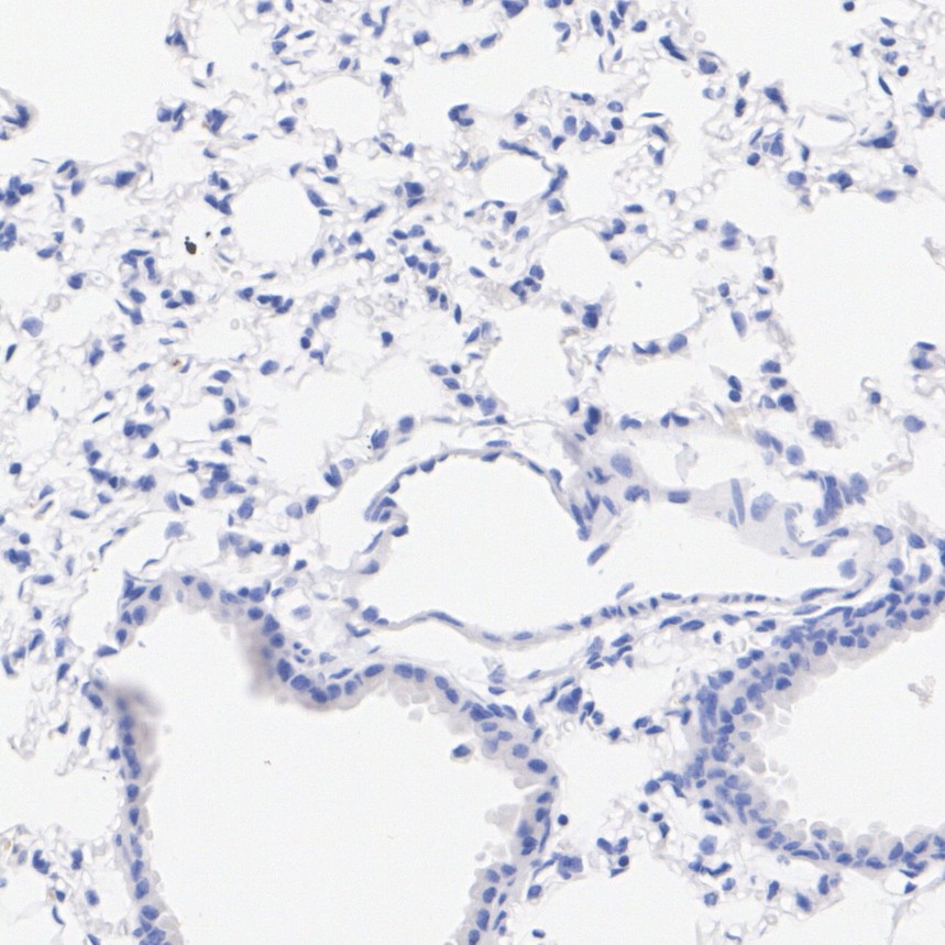
HA724052_7.jpg Fig7: Immunohistochemical analysis of paraffin-embedded mouse lung tissue (negative) with Rabbit anti-Serotonin transporter antibody (HA724052) at 1/2,000 dilution.

The section was pre-treated using heat mediated antigen retrieval with Tris-EDTA buffer (pH 9.0) for 20 minutes. The tissues were blocked in 1% BSA for 20 minutes at room temperature, washed with ddH2O and PBS, and then probed with the primary antibody (HA724052) at 1/2,000 dilution for 1 hour at room temperature. The detection was performed using an HRP conjugated compact polymer system. DAB was used as the chromogen. Tissues were counterstained with hematoxylin and mounted with DPX.
HA724052_8.jpg Fig8: Immunohistochemical analysis of paraffin-embedded rat brain tissue with Rabbit anti-Serotonin transporter antibody (HA724052) at 1/2,000 dilution.

The section was pre-treated using heat mediated antigen retrieval with Tris-EDTA buffer (pH 9.0) for 20 minutes. The tissues were blocked in 1% BSA for 20 minutes at room temperature, washed with ddH2O and PBS, and then probed with the primary antibody (HA724052) at 1/2,000 dilution for 1 hour at room temperature. The detection was performed using an HRP conjugated compact polymer system. DAB was used as the chromogen. Tissues were counterstained with hematoxylin and mounted with DPX.
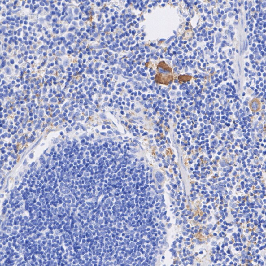
HA724052_9.jpg Fig9: Immunohistochemical analysis of paraffin-embedded rat spleen tissue with Rabbit anti-Serotonin transporter antibody (HA724052) at 1/2,000 dilution.

The section was pre-treated using heat mediated antigen retrieval with Tris-EDTA buffer (pH 9.0) for 20 minutes. The tissues were blocked in 1% BSA for 20 minutes at room temperature, washed with ddH2O and PBS, and then probed with the primary antibody (HA724052) at 1/2,000 dilution for 1 hour at room temperature. The detection was performed using an HRP conjugated compact polymer system. DAB was used as the chromogen. Tissues were counterstained with hematoxylin and mounted with DPX.
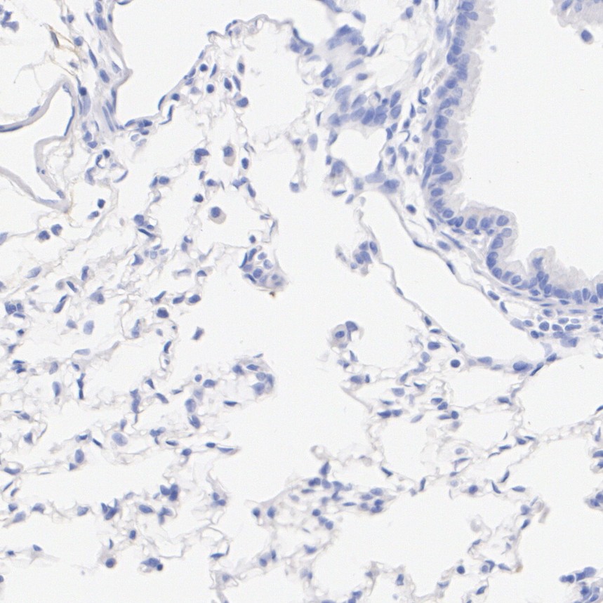
HA724052_10.jpg Fig10: Immunohistochemical analysis of paraffin-embedded rat lung tissue (negative) with Rabbit anti-Serotonin transporter antibody (HA724052) at 1/2,000 dilution.

The section was pre-treated using heat mediated antigen retrieval with Tris-EDTA buffer (pH 9.0) for 20 minutes. The tissues were blocked in 1% BSA for 20 minutes at room temperature, washed with ddH2O and PBS, and then probed with the primary antibody (HA724052) at 1/2,000 dilution for 1 hour at room temperature. The detection was performed using an HRP conjugated compact polymer system. DAB was used as the chromogen. Tissues were counterstained with hematoxylin and mounted with DPX.
HA724052_11.jpg Fig11: Western blot analysis of Serotonin transporter on different lysates with Rabbit anti-Serotonin transporter antibody (HA724052) at 1/2,000 dilution.

Lane 1: Mouse brain tissue lysate
Lane 2: Mouse lung tissue lysate (negative)
Lane 3: Rat brain tissue lysate
Lane 4: Rat lung tissue lysate (negative)

Lysates/proteins at 20 µg/Lane.

Notice: unboiled means the lysate is not boiled.

Predicted band size: 70 kDa
Observed band size: ~70 kDa

Exposure time: 78 seconds; ECL: K1801;
4-20% SDS-PAGE gel.

Proteins were transferred to a PVDF membrane and blocked with 5% NFDM/TBST for 1 hour at room temperature. The primary antibody (HA724052) at 1/2,000 dilution was used in K1803 at 4℃ overnight. Goat Anti-Rabbit IgG - HRP Secondary Antibody (HA1001) at 1/50,000 dilution was used for 1 hour at room temperature.
Note: All products are “FOR RESEARCH USE ONLY AND ARE NOT INTENDED FOR DIAGNOSTIC OR THERAPEUTIC USE”.