YTHDF3 Recombinant Rabbit Monoclonal Antibody [PSH19-32]
cat.: HA724064
Product Type: Recombinant Rabbit monoclonal IgG, primary antibodies
Species reactivity: Human, Mouse, Rat
Applications: WB, IHC-Fr, IHC-P, IF-Cell, FC
Clonality: Monoclonal
Clone number: PSH19-32
Form: Liquid
Storage condition: Shipped at 4℃. Store at +4℃ short term (1-2 weeks). It is recommended to aliquot into single-use upon delivery. Store at -20℃ long term.
Storage buffer: PBS (pH7.4), 0.1% BSA, 40% Glycerol. Preservative: 0.05% Sodium Azide.
Concentration: 1ug/ul
Purification: Protein A affinity purified.
Molecular weight: Predicted band size: 64 kDa
Isotype: IgG
Positive control: 293T cell lysate, HeLa cell lysate, T-47D cell lysate, NIH/3T3 cell lysate, C6 cell lysate, PC-12 cell lysate, mouse cerebrum tissue, mouse colon tissue, rat cerebrum tissue, rat colon tissue, PC-12.
Subcellular location: Cytoplasm, cytosol, P-body, Stress granule.
Recommended Dilutions:
  WB
  IHC-Fr
  IHC-P
  IF-Cell
  FC

1:5,000
1:200
1:1,000
1:500
1:1,000
Uniprot #: SwissProt: Q7Z739 Human | Q8BYK6 Mouse
Entrez Gene: 361920 Rat
Alternative names: YTH domain-containing family protein 3 DF3 YTHDF3
Images
HA724064_1.jpg Fig1: Western blot analysis of YTHDF3 on different lysates with Rabbit anti-YTHDF3 antibody (HA724064) at 1/5,000 dilution.

Lane 1: 293T cell lysate
Lane 2: HeLa cell lysate
Lane 3: T-47D cell lysate
Lane 2: NIH/3T3 cell lysate
Lane 3: C6 cell lysate
Lane 2: PC-12 cell lysate

Lysates/proteins at 20 µg/Lane.

Predicted band size: 64 kDa
Observed band size: 64 kDa

Exposure time: 21 seconds; ECL: K1801;

4-20% SDS-PAGE gel.

Proteins were transferred to a PVDF membrane and blocked with 5% NFDM/TBST for 1 hour at room temperature. The primary antibody (HA724064) at 1/5,000 dilution was used in 5% NFDM/TBST at 4℃ overnight. Goat Anti-Rabbit IgG - HRP Secondary Antibody (HA1001) at 1/50,000 dilution was used for 1 hour at room temperature.
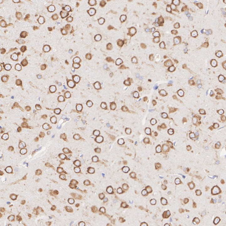
HA724064_2.jpg Fig2: Application: IHC-Fr

Species: Mouse

Site: brain

Sample: Frozen section

Antibody concentration: 1/200

Antigen retrieval: Not required
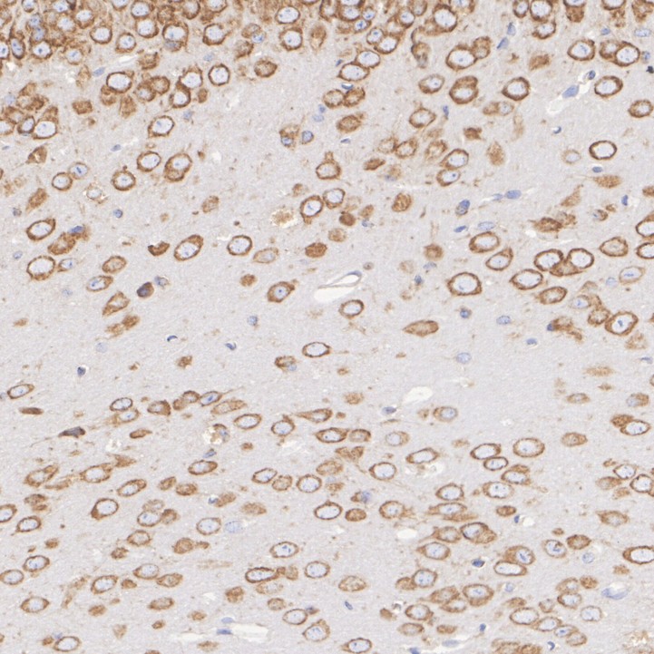
HA724064_3.jpg Fig3: Application: IHC-Fr

Species: Rat

Site: brain

Sample: Frozen section

Antibody concentration: 1/200

Antigen retrieval: Not required
HA724064_4.jpg Fig4: Immunohistochemical analysis of paraffin-embedded mouse cerebrum tissue with Rabbit anti-YTHDF3 antibody (HA724064) at 1/1,000 dilution.

The section was pre-treated using heat mediated antigen retrieval with Tris-EDTA buffer (pH 9.0) for 20 minutes. The tissues were blocked in 1% BSA for 20 minutes at room temperature, washed with ddH2O and PBS, and then probed with the primary antibody (HA724064) at 1/1,000 dilution for 1 hour at room temperature. The detection was performed using an HRP conjugated compact polymer system. DAB was used as the chromogen. Tissues were counterstained with hematoxylin and mounted with DPX.
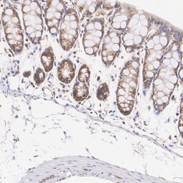
HA724064_5.jpg Fig5: Immunohistochemical analysis of paraffin-embedded mouse colon tissue with Rabbit anti-YTHDF3 antibody (HA724064) at 1/1,000 dilution.

The section was pre-treated using heat mediated antigen retrieval with Tris-EDTA buffer (pH 9.0) for 20 minutes. The tissues were blocked in 1% BSA for 20 minutes at room temperature, washed with ddH2O and PBS, and then probed with the primary antibody (HA724064) at 1/1,000 dilution for 1 hour at room temperature. The detection was performed using an HRP conjugated compact polymer system. DAB was used as the chromogen. Tissues were counterstained with hematoxylin and mounted with DPX.
HA724064_6.jpg Fig6: Immunohistochemical analysis of paraffin-embedded rat cerebrum tissue with Rabbit anti-YTHDF3 antibody (HA724064) at 1/1,000 dilution.

The section was pre-treated using heat mediated antigen retrieval with Tris-EDTA buffer (pH 9.0) for 20 minutes. The tissues were blocked in 1% BSA for 20 minutes at room temperature, washed with ddH2O and PBS, and then probed with the primary antibody (HA724064) at 1/1,000 dilution for 1 hour at room temperature. The detection was performed using an HRP conjugated compact polymer system. DAB was used as the chromogen. Tissues were counterstained with hematoxylin and mounted with DPX.
HA724064_7.jpg Fig7: Immunohistochemical analysis of paraffin-embedded rat colon tissue with Rabbit anti-YTHDF3 antibody (HA724064) at 1/1,000 dilution.

The section was pre-treated using heat mediated antigen retrieval with Tris-EDTA buffer (pH 9.0) for 20 minutes. The tissues were blocked in 1% BSA for 20 minutes at room temperature, washed with ddH2O and PBS, and then probed with the primary antibody (HA724064) at 1/1,000 dilution for 1 hour at room temperature. The detection was performed using an HRP conjugated compact polymer system. DAB was used as the chromogen. Tissues were counterstained with hematoxylin and mounted with DPX.
HA724064_8.jpg Fig8: Immunocytochemistry analysis of PC-12 cells labeling YTHDF3 with Rabbit anti-YTHDF3 antibody (HA724064) at 1/500 dilution.

Cells were fixed in 4% paraformaldehyde for 15 minutes at room temperature, permeabilized with 0.1% Triton X-100 in PBS for 15 minutes at room temperature, then blocked with 1% BSA in 10% negative goat serum for 1 hour at room temperature. Cells were then incubated with Rabbit anti-YTHDF3 antibody (HA724064) at 1/500 dilution in 1% BSA in PBST overnight at 4 ℃. Goat Anti-Rabbit IgG H&L (iFluor™ 488, HA1121) was used as the secondary antibody at 1/1,000 dilution. PBS instead of the primary antibody was used as the secondary antibody only control. Nuclear DNA was labelled in blue with DAPI.

Beta tubulin (HA601187, red) was stained at 1/100 dilution overnight at +4℃. Goat Anti-Mouse IgG H&L (iFluor™ 594, HA1126) was used as the secondary antibody at 1/1,000 dilution.
HA724064_9.jpg Fig9: Flow cytometric analysis of PC-12 cells labeling YTHDF3.

Cells were fixed and permeabilized. Then stained with the primary antibody (HA724064, 1/1,000) (red) compared with Rabbit IgG Isotype Control (green). After incubation of the primary antibody at +4℃ for an hour, the cells were stained with a iFluor™ 488 conjugate-Goat anti-Rabbit IgG Secondary antibody (HA1121) at 1/1,000 dilution for 30 minutes at +4℃. Unlabelled sample was used as a control (cells without incubation with primary antibody; black).
Note: All products are “FOR RESEARCH USE ONLY AND ARE NOT INTENDED FOR DIAGNOSTIC OR THERAPEUTIC USE”.