Cathepsin C Recombinant Rabbit Monoclonal Antibody [PSH19-36]
cat.: HA724068
Product Type: Recombinant Rabbit monoclonal IgG, primary antibodies
Species reactivity: Human, Mouse, Rat
Applications: WB, IHC-P
Clonality: Monoclonal
Clone number: PSH19-36
Form: Liquid
Storage condition: Shipped at 4℃. Store at +4℃ short term (1-2 weeks). It is recommended to aliquot into single-use upon delivery. Store at -20℃ long term.
Storage buffer: PBS (pH7.4), 0.1% BSA, 40% Glycerol. Preservative: 0.05% Sodium Azide.
Concentration: 1ug/ul
Purification: Protein A affinity purified.
Molecular weight: Predicted band size: 52 kDa
Isotype: IgG
Immunogen: Recombinant protein within human Cathepsin C aa 1-463.
Positive control: HeLa cell lysate, U-937 cell lysate, HepG2 cell lysate, SW480 cell lysate, HT-29 cell lysate, Mouse liver tissue lysate, Rat lung tissue lysate, human kidney tissue, human lung tissue, rat kidney tissue, rat lung tissue.
Subcellular location: Lysosome.
Recommended Dilutions:
  WB
  IHC-P

1:5,000
1:1,000-1:5,000
Uniprot #: SwissProt: P53634 Human | P97821 Mouse | P80067 Rat
Alternative names: AI047818 CATC CATC_HUMAN Cathepsin C Cathepsin J CPPI CTSC Dipeptidyl peptidase 1 Dipeptidyl peptidase 1 light chain Dipeptidyl peptidase I Dipeptidyl peptidase I exclusion domain chain Dipeptidyl peptidase I heavy chain Dipeptidyl peptidase I light chain Dipeptidyl transferase DPP I DPP-I DPPI EC 3.4.14.1 HMS JP JPD MGC126959 PALS PDON1 PLS
Images
HA724068_1.jpg Fig1: Western blot analysis of Cathepsin C on different lysates with Rabbit anti-Cathepsin C antibody (HA724068) at 1/5,000 dilution.

Lane 1: HeLa cell lysate (20 µg/Lane)
Lane 2: U-937 cell lysate (20 µg/Lane)
Lane 3: HepG2 cell lysate (20 µg/Lane)
Lane 4: SW480 cell lysate (20 µg/Lane)
Lane 5: HT-29 cell lysate (20 µg/Lane)
Lane 6: Mouse liver tissue lysate (40 µg/Lane)
Lane 7: Rat lung tissue lysate (40 µg/Lane)

Predicted band size: 52 kDa
Observed band size: 55/20 kDa

Exposure time: 6 seconds; ECL: K1801;

4-20% SDS-PAGE gel.

Proteins were transferred to a PVDF membrane and blocked with 5% NFDM/TBST for 1 hour at room temperature. The primary antibody (HA724068) at 1/5,000 dilution was used in primary antibody dilution (K1803) at 4℃ overnight. Goat Anti-Rabbit IgG - HRP Secondary Antibody (HA1001) at 1/50,000 dilution was used for 1 hour at room temperature.
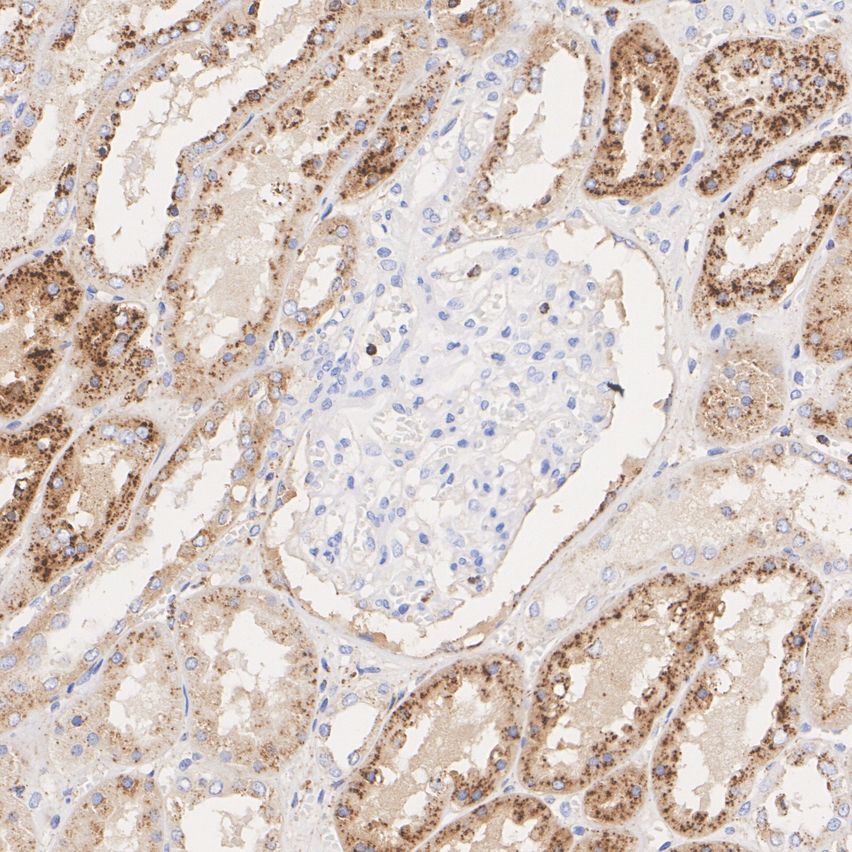
HA724068_2.jpg Fig2: Immunohistochemical analysis of paraffin-embedded human kidney tissue with Rabbit anti-Cathepsin C antibody (HA724068) at 1/5,000 dilution.

The section was pre-treated using heat mediated antigen retrieval with Tris-EDTA buffer (pH 9.0) for 20 minutes. The tissues were blocked in 1% BSA for 20 minutes at room temperature, washed with ddH2O and PBS, and then probed with the primary antibody (HA724068) at 1/5,000 dilution for 1 hour at room temperature. The detection was performed using an HRP conjugated compact polymer system. DAB was used as the chromogen. Tissues were counterstained with hematoxylin and mounted with DPX.
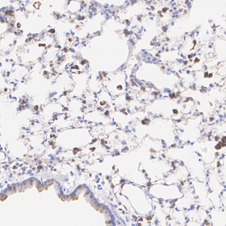
HA724068_3.jpg Fig3: Immunohistochemical analysis of paraffin-embedded human lung tissue with Rabbit anti-Cathepsin C antibody (HA724068) at 1/5,000 dilution.

The section was pre-treated using heat mediated antigen retrieval with Tris-EDTA buffer (pH 9.0) for 20 minutes. The tissues were blocked in 1% BSA for 20 minutes at room temperature, washed with ddH2O and PBS, and then probed with the primary antibody (HA724068) at 1/5,000 dilution for 1 hour at room temperature. The detection was performed using an HRP conjugated compact polymer system. DAB was used as the chromogen. Tissues were counterstained with hematoxylin and mounted with DPX.
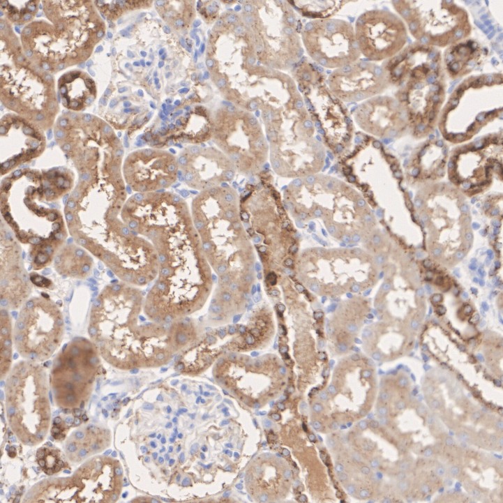
HA724068_4.jpg Fig4: Immunohistochemical analysis of paraffin-embedded rat kidney tissue with Rabbit anti-Cathepsin C antibody (HA724068) at 1/1,000 dilution.

The section was pre-treated using heat mediated antigen retrieval with Tris-EDTA buffer (pH 9.0) for 20 minutes. The tissues were blocked in 1% BSA for 20 minutes at room temperature, washed with ddH2O and PBS, and then probed with the primary antibody (HA724068) at 1/1,000 dilution for 1 hour at room temperature. The detection was performed using an HRP conjugated compact polymer system. DAB was used as the chromogen. Tissues were counterstained with hematoxylin and mounted with DPX.
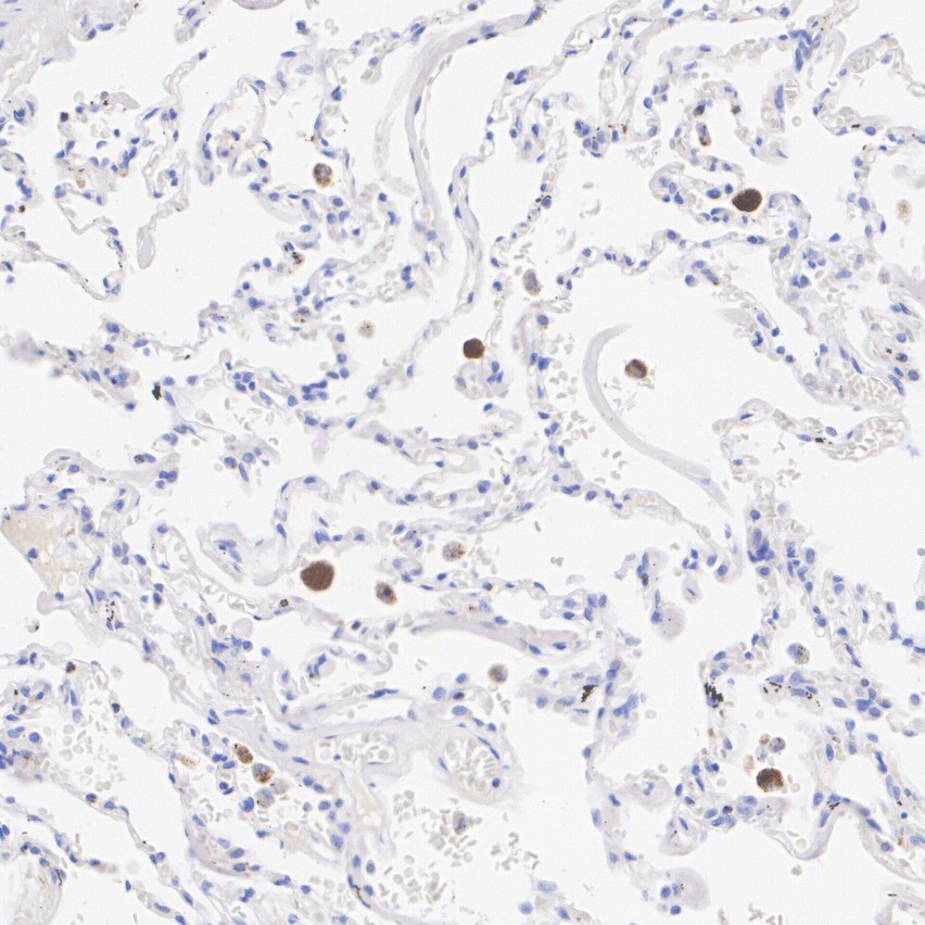
HA724068_5.jpg Fig5: Immunohistochemical analysis of paraffin-embedded rat lung tissue with Rabbit anti-Cathepsin C antibody (HA724068) at 1/1,000 dilution.

The section was pre-treated using heat mediated antigen retrieval with Tris-EDTA buffer (pH 9.0) for 20 minutes. The tissues were blocked in 1% BSA for 20 minutes at room temperature, washed with ddH2O and PBS, and then probed with the primary antibody (HA724068) at 1/1,000 dilution for 1 hour at room temperature. The detection was performed using an HRP conjugated compact polymer system. DAB was used as the chromogen. Tissues were counterstained with hematoxylin and mounted with DPX.
Note: All products are “FOR RESEARCH USE ONLY AND ARE NOT INTENDED FOR DIAGNOSTIC OR THERAPEUTIC USE”.