SHMT2 / SHMT Recombinant Rabbit Monoclonal Antibody [PSH19-37]
cat.: HA724069
Product Type: Recombinant Rabbit monoclonal IgG, primary antibodies
Species reactivity: Human, Mouse, Rat, Monkey
Applications: WB, IHC-P, IF-Cell, FC, IP
Clonality: Monoclonal
Clone number: PSH19-37
Form: Liquid
Storage condition: Shipped at 4℃. Store at +4℃ short term (1-2 weeks). It is recommended to aliquot into single-use upon delivery. Store at -20℃ long term.
Storage buffer: PBS (pH7.4), 0.1% BSA, 40% Glycerol. Preservative: 0.05% Sodium Azide.
Concentration: 1ug/ul
Purification: Protein A affinity purified.
Molecular weight: Predicted band size: 56 kDa
Isotype: IgG
Immunogen: Recombinant protein within human SHMT2 aa 1-504.
Positive control: HeLa cell lysate, Saos-2 cell lysate, HepG2 cell lysate, LNCaP cell lysate, Jurkat cell lysate, COS-1 cell lysate, Hepa1-6 cell lysate, MC/9 cell lysate, Mouse liver tissue lysate, Mouse kidney tissue lysate, Mouse skeletal muscle tissue lysate, Rat liver tissue lysate, Rat kidney tissue lysate, Rat skeletal muscle tissue lysate, human kidney tissue, human liver tissue, mouse kidney tissue, mouse liver tissue, rat kidney tissue, rat liver tissue, HeLa, Hepa1-6.
Subcellular location: Mitochondrion, Mitochondrion matrix, mitochondrion nucleoid, Mitochondrion inner membrane, Cytoplasm, Nucleus.
Recommended Dilutions:
  WB
  IHC-P
  IF-Cell
  FC
  IP

1:5,000
1:1,000
1:200-1:500
1:500-1:1,000
1-2μg/sample
Uniprot #: SwissProt: P34897 Human | Q9CZN7 Mouse
Entrez Gene: 299857 Rat
Alternative names: Serine hydroxymethyltransferase, mitochondrial EC:2.1.2.1 SHMT Glycine hydroxymethyltransferase Serine methylase SHMT2
Images
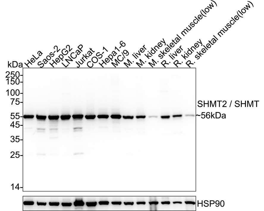
HA724069_1.jpg Fig1: Western blot analysis of SHMT2 / SHMT on different lysates with Rabbit anti-SHMT2 / SHMT antibody (HA724069) at 1/5,000 dilution.

Lane 1: HeLa cell lysate
Lane 2: Saos-2 cell lysate
Lane 3: HepG2 cell lysate
Lane 4: LNCaP cell lysate
Lane 5: Jurkat cell lysate
Lane 6: COS-1 cell lysate
Lane 7: Hepa1-6 cell lysate
Lane 8: MC/9 cell lysate
Lane 9: Mouse liver tissue lysate
Lane 10: Mouse kidney tissue lysate
Lane 11: Mouse skeletal muscle tissue lysate (low expression)
Lane 12: Rat liver tissue lysate
Lane 13: Rat kidney tissue lysate
Lane 14: Rat skeletal muscle tissue lysate (low expression)

Lysates/proteins at 20 µg/Lane.

Predicted band size: 56 kDa
Observed band size: 56 kDa

Exposure time: 3 seconds; ECL: K1801;

4-20% SDS-PAGE gel.

Proteins were transferred to a PVDF membrane and blocked with 5% NFDM/TBST for 1 hour at room temperature. The primary antibody (HA724069) at 1/5,000 dilution was used in primary antibody dilution (K1803) at 4℃ overnight. Goat Anti-Rabbit IgG - HRP Secondary Antibody (HA1001) at 1/50,000 dilution was used for 1 hour at room temperature.
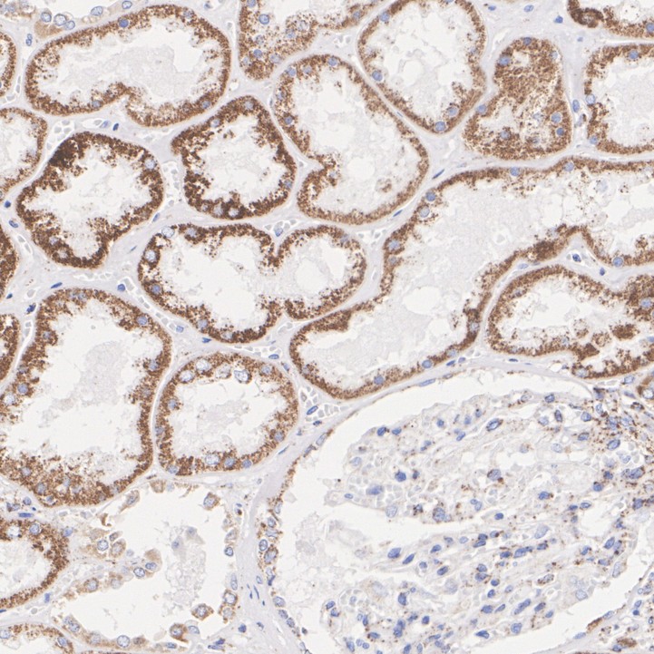
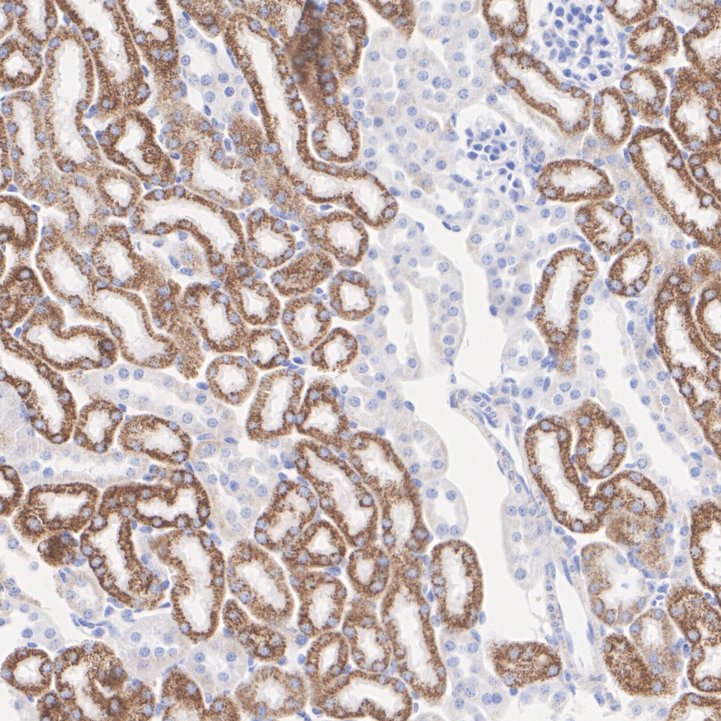
HA724069_2.jpg Fig2: Immunohistochemical analysis of paraffin-embedded human kidney tissue with Rabbit anti-SHMT2 / SHMT antibody (HA724069) at 1/1,000 dilution.

The section was pre-treated using heat mediated antigen retrieval with Tris-EDTA buffer (pH 9.0) for 20 minutes. The tissues were blocked in 1% BSA for 20 minutes at room temperature, washed with ddH2O and PBS, and then probed with the primary antibody (HA724069) at 1/1,000 dilution for 1 hour at room temperature. The detection was performed using an HRP conjugated compact polymer system. DAB was used as the chromogen. Tissues were counterstained with hematoxylin and mounted with DPX.
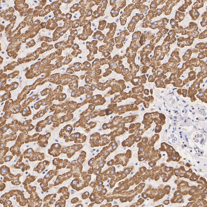
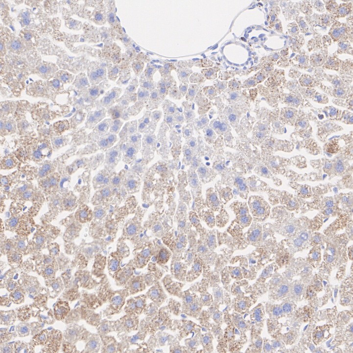
HA724069_3.jpg Fig3: Immunohistochemical analysis of paraffin-embedded human liver tissue with Rabbit anti-SHMT2 / SHMT antibody (HA724069) at 1/1,000 dilution.

The section was pre-treated using heat mediated antigen retrieval with Tris-EDTA buffer (pH 9.0) for 20 minutes. The tissues were blocked in 1% BSA for 20 minutes at room temperature, washed with ddH2O and PBS, and then probed with the primary antibody (HA724069) at 1/1,000 dilution for 1 hour at room temperature. The detection was performed using an HRP conjugated compact polymer system. DAB was used as the chromogen. Tissues were counterstained with hematoxylin and mounted with DPX.
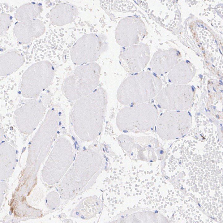
HA724069_4.jpg Fig4: Immunohistochemical analysis of paraffin-embedded human skeletal muscle tissue (low expression) with Rabbit anti-SHMT2 / SHMT antibody (HA724069) at 1/1,000 dilution.

The section was pre-treated using heat mediated antigen retrieval with Tris-EDTA buffer (pH 9.0) for 20 minutes. The tissues were blocked in 1% BSA for 20 minutes at room temperature, washed with ddH2O and PBS, and then probed with the primary antibody (HA724069) at 1/1,000 dilution for 1 hour at room temperature. The detection was performed using an HRP conjugated compact polymer system. DAB was used as the chromogen. Tissues were counterstained with hematoxylin and mounted with DPX.
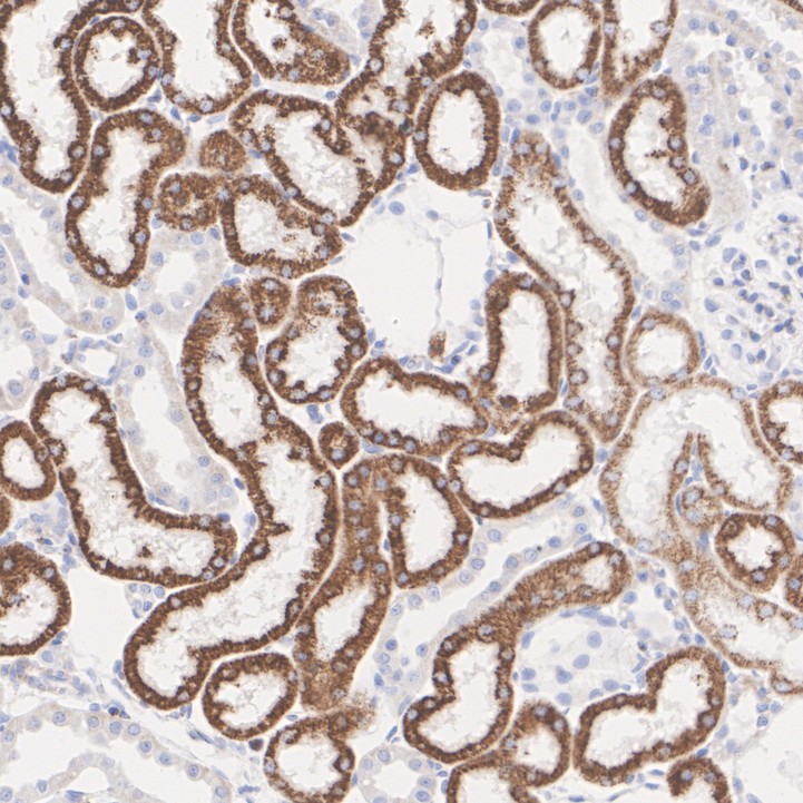
HA724069_5.jpg Fig5: Immunohistochemical analysis of paraffin-embedded mouse kidney tissue with Rabbit anti-SHMT2 / SHMT antibody (HA724069) at 1/1,000 dilution.

The section was pre-treated using heat mediated antigen retrieval with Tris-EDTA buffer (pH 9.0) for 20 minutes. The tissues were blocked in 1% BSA for 20 minutes at room temperature, washed with ddH2O and PBS, and then probed with the primary antibody (HA724069) at 1/1,000 dilution for 1 hour at room temperature. The detection was performed using an HRP conjugated compact polymer system. DAB was used as the chromogen. Tissues were counterstained with hematoxylin and mounted with DPX.
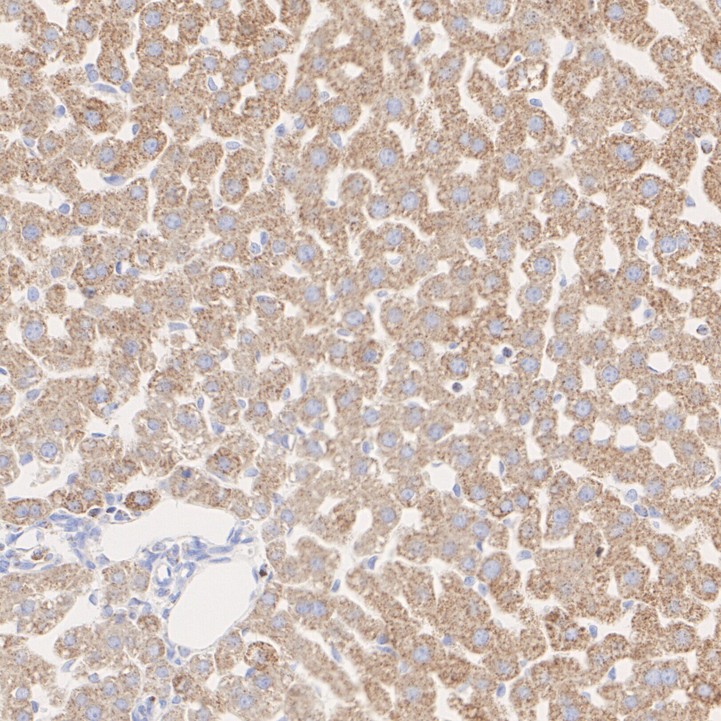
HA724069_6.jpg Fig6: Immunohistochemical analysis of paraffin-embedded mouse liver tissue with Rabbit anti-SHMT2 / SHMT antibody (HA724069) at 1/1,000 dilution.

The section was pre-treated using heat mediated antigen retrieval with Tris-EDTA buffer (pH 9.0) for 20 minutes. The tissues were blocked in 1% BSA for 20 minutes at room temperature, washed with ddH2O and PBS, and then probed with the primary antibody (HA724069) at 1/1,000 dilution for 1 hour at room temperature. The detection was performed using an HRP conjugated compact polymer system. DAB was used as the chromogen. Tissues were counterstained with hematoxylin and mounted with DPX.
HA724069_7.jpg Fig7: Immunohistochemical analysis of paraffin-embedded rat kidney tissue with Rabbit anti-SHMT2 / SHMT antibody (HA724069) at 1/1,000 dilution.

The section was pre-treated using heat mediated antigen retrieval with Tris-EDTA buffer (pH 9.0) for 20 minutes. The tissues were blocked in 1% BSA for 20 minutes at room temperature, washed with ddH2O and PBS, and then probed with the primary antibody (HA724069) at 1/1,000 dilution for 1 hour at room temperature. The detection was performed using an HRP conjugated compact polymer system. DAB was used as the chromogen. Tissues were counterstained with hematoxylin and mounted with DPX.
HA724069_8.jpg Fig8: Immunohistochemical analysis of paraffin-embedded rat liver tissue with Rabbit anti-SHMT2 / SHMT antibody (HA724069) at 1/1,000 dilution.

The section was pre-treated using heat mediated antigen retrieval with Tris-EDTA buffer (pH 9.0) for 20 minutes. The tissues were blocked in 1% BSA for 20 minutes at room temperature, washed with ddH2O and PBS, and then probed with the primary antibody (HA724069) at 1/1,000 dilution for 1 hour at room temperature. The detection was performed using an HRP conjugated compact polymer system. DAB was used as the chromogen. Tissues were counterstained with hematoxylin and mounted with DPX.
HA724069_9.jpg Fig9: Immunocytochemistry analysis of HeLa cells labeling SHMT2 / SHMT with Rabbit anti-SHMT2 / SHMT antibody (HA724069) at 1/500 dilution.

Cells were fixed in 4% paraformaldehyde for 15 minutes at room temperature, permeabilized with 0.1% Triton X-100 in PBS for 15 minutes at room temperature, then blocked with 1% BSA in 10% negative goat serum for 1 hour at room temperature. Cells were then incubated with Rabbit anti-SHMT2 / SHMT antibody (HA724069) at 1/500 dilution in 1% BSA in PBST overnight at 4 ℃. Goat Anti-Rabbit IgG H&L (iFluor™ 488, HA1121) was used as the secondary antibody at 1/1,000 dilution. PBS instead of the primary antibody was used as the secondary antibody only control. Counterstained with Mitotracker. Nuclear DNA was labelled in blue with DAPI.
HA724069_10.jpg Fig10: Immunocytochemistry analysis of Hepa1-6 cells labeling SHMT2 / SHMT with Rabbit anti-SHMT2 / SHMT antibody (HA724069) at 1/200 dilution.

Cells were fixed in 4% paraformaldehyde for 15 minutes at room temperature, permeabilized with 0.1% Triton X-100 in PBS for 15 minutes at room temperature, then blocked with 1% BSA in 10% negative goat serum for 1 hour at room temperature. Cells were then incubated with Rabbit anti-SHMT2 / SHMT antibody (HA724069) at 1/200 dilution in 1% BSA in PBST overnight at 4 ℃. Goat Anti-Rabbit IgG H&L (iFluor™ 488, HA1121) was used as the secondary antibody at 1/1,000 dilution. PBS instead of the primary antibody was used as the secondary antibody only control. Counterstained with Mitotracker. Nuclear DNA was labelled in blue with DAPI.
HA724069_11.jpg Fig11: Flow cytometric analysis of HeLa cells labeling SHMT2 / SHMT.

Cells were fixed and permeabilized. Then stained with the primary antibody (HA724069, 1/500) (red) compared with Rabbit IgG Isotype Control (green). After incubation of the primary antibody at +4℃ for an hour, the cells were stained with a iFluor™ 488 conjugate-Goat anti-Rabbit IgG Secondary antibody (HA1121) at 1/1,000 dilution for 30 minutes at +4℃. Unlabelled sample was used as a control (cells without incubation with primary antibody; black).
HA724069_12.jpg Fig12: Flow cytometric analysis of Hepa1-6 cells labeling SHMT2 / SHMT.

Cells were fixed and permeabilized. Then stained with the primary antibody (HA724069, 1/1,000) (red) compared with Rabbit IgG Isotype Control (green). After incubation of the primary antibody at +4℃ for an hour, the cells were stained with a iFluor™ 488 conjugate-Goat anti-Rabbit IgG Secondary antibody (HA1121) at 1/1,000 dilution for 30 minutes at +4℃. Unlabelled sample was used as a control (cells without incubation with primary antibody; black).
HA724069_13.jpg Fig13: SHMT2 / SHMT was immunoprecipitated from 0.2 mg LNCaP cell lysate with HA724069 at 2 µg/10 µl beads. Western blot was performed from the immunoprecipitate using HA724069 at 1/5,000 dilution. HRP Conjugated Anti-Rabbit IgG for IP Nano-secondary antibody at 1/5,000 dilution was used for 1 hour at room temperature.

Lane 1: LNCaP cell lysate (input)
Lane 2: HA724069 IP in LNCaP cell lysate
Lane 3: Rabbit IgG instead of HA724069 in LNCaP cell lysate

Blocking/Dilution buffer: primary antibody dilution (K1803)
Exposure time: 2 seconds; ECL: K1801
Note: All products are “FOR RESEARCH USE ONLY AND ARE NOT INTENDED FOR DIAGNOSTIC OR THERAPEUTIC USE”.